Перибронхит

Органы дыхания в здоровом состоянии позволяют спокойно получать необходимое количество кислорода и выдыхать ненужный углекислый газ. Многие люди сталкиваются с различными респираторными заболеваниями.
Часто они болеют насморком, ОРВИ, ларингитом. Не редкостью становится бронхит, который при затяжном течении переходит в хроническую форму.
Однако если бронхит воспаляет слизистую поверхность бронхов, то перибронхит поражает наружную оболочку.
Что это за болезнь? Все о перибронхите будет идти речь на vospalenia.ru.
Что это такое – перибронхит?
Что это такое – перибронхит? Это воспаление наружного слоя клетчатки бронха, который соединяет орган с близлежащими частями. Часто заболевание развивается на фоне хронического бронхита, который характеризуется обильным воспалением слизистой бронхов.
По путям проникновения инфекции разделяют виды:
- Аэрогенный – через просвет бронхов;
- Лимфагенный – через лимфу из лимфатических узлов.
перейти наверх
По формам развития разделяют:
- Острый перибронхит с ярко выраженной симптоматикой;
- Хронический перибронхит, который развивается в результате недолеченного или нелечимого острого перибронхита. Характеризуется периодическими ремиссиями и обострениями.
перейти наверх
- Компенсаторная – когда внутренние ресурсы организма позволяют компенсировать недостаток дыхательной недостаточности. Проявляется в кашле, одышке.
- Субкомпенсаторная – грудная клетка расширяется, одышка возникает даже в спокойном состоянии. Все больше нарастает дыхательная недостаточность. Утомляемость возникает практически мгновенно.
- Декомпенсаторная – когда дыхательная недостаточность настолько высока, что человек не имеет сил для активного движения.
перейти наверх
Основной причиной перибронхита клетчатки бронхов является проникновение инфекции, которая попадает через воздух из просвета бронхов или от других органов организма, которые воспалены и через лимфу распространяют вредность.
При отсутствии лечения инфекция может распространиться на близлежащие альвеолы и ткани, провоцируя возникновение болезней бронхов (например, бронхит или бронхоэктатическая болезнь) и легких (например, пневмония).
Вредностями, которые поражают клетчатку бронхов, являются:
- Инфекции от других болезней: корь, грипп, коклюш, туберкулез и пр.
- Химические вещества, вдыхаемые через воздух.
- Застойные явления в легких из-за плохой работы сердца.
перейти наверх
Симптомы и признаки
Признаки и симптомы воспаления клетчатки бронхов возникают на фоне разрастания соединительной ткани вдоль бронхов и их рубцевания. Какие это симптомы?
- Повышение температуры до 39ºС;
- Ухудшение здоровья, что происходит очень резко;
- Выделяется обильное количество гнойной мокроты;
- Слышны шумы во время дыхания;
- Появляются симптомы бронхоэктатической болезни, которая начинает развиваться на фоне основного заболевания: снижение аппетита, потоотделение, одышка, кашель, кровохарканье, упадок сил;
- Повышенная утомляемость;
- Грудная клетка обретает округлую форму.
При кашле отходит зловонная гнойная мокрота, которая слегка улучшает общее состояние. Больному кажется, что он выздоравливает. На самом деле это не так. Перибронхит сам не излечится. Последующие приступы будут указывать лишь на развитие хронической болезни, которая будет лечиться более долго и серьезно.
перейти наверх
Перибронхит у детей
Перибронхит у детей развивается на фоне хронического бронхита, кори, гриппа, коклюша. Таким образом, следует вовремя лечить инфекционные болезни, которые провоцируют воспаление клетчатки бронхов.
перейти наверх
Перибронхит у взрослых
Перибронхит у взрослых проявляется достаточно часто, если больной пренебрегает лечением других респираторных болезней нижних отделов дыхательной системы. Вредность на работе также сказывается на развитии воспаления, соответственно, часто он встречается у мужчин, нежели у женщин.

перейти наверх
Диагностика
Симптоматика перибронхита настолько неуникальна, что ее часто путают с другими респираторными заболеваниями, например, бронхит или альвеолит. Поэтому это значительно ухудшает диагностику.
Больной обращается за помощью, чтобы устранить одну болезнь, на которую падают подозрения, а оказывается, что он страдает от другой болезни.
Инструментальные и лабораторные исследования тоже не дают точной картины, однако все-таки позволяют определить очаг воспаления:
- Делается анализ крови;
- Проводится бактериологический анализ мокроты, которая отходит вместе с кашлем;
- Проводится рентгенография, КТ и МРТ дыхательных путей;
- Проверяется аллергическая реакция на различные вещества.
перейти наверх
Лечение
Лечение перибронхита начинается с устранения основного заболевания, которое привело к развитию воспаления клетчатки бронхов. Часто данной болезнью является хронический бронхит. Лечение одной и той же области дает качественные результаты. Комплекс процедур практически одинаков.
перейти наверх
Чем лечить перибронхит?
Лекарствами:
- Антибиотиками, противовирусными или противогрибковыми препаратами, в зависимости от причины возникновения.
- Противоаллергическими препаратами, если причиной стала аллергия.
- Йодистыми препаратами, фибролизином и рассасывающими средствами.
- Мочегонными препаратами для снятия отека.
- Сульфаниламидами.
В качестве диеты выступает питание, полное углеводов. Дается больше теплой жидкости, чтобы способствовать разжижению мокроты.
В домашних условиях лечение не проводится, поскольку речь часто идет о двух заболеваниях одновременно – то, которое спровоцировало перибронхит, и само воспаление клетчатки бронхов. Здесь проводятся различные прогревающие процедуры (компрессы, аппликации, грелки, ванны), которые способствуют выздоровлению.
перейти наверх
Продолжительность жизни
Сколько живут при перибронхите? В совокупности с другими болезнями он дает неутешительный прогноз. При отсутствии должного лечения продолжительность жизни составляет несколько лет, в зависимости от осложнений, которые развиваются, и симптомов, которые они вызывают. Осложнениями являются:
- Гангрена легкого.
- Бронхит в обструктивной форме.
- Пневмония.
- Бронхоэктатическая болезнь.
- Дыхательная недостаточность.
Источник:
Механизм развития заболевания и его причины
Толчком к развитию болезни служат патологии дыхательной системы, при которых вначале воспалительный процесс охватывает слизистую оболочку бронхов, а затем распространяется в более глубокие слои (на перибронхиальные ткани). По мере развития недуга возможно образование некротических очагов поражения, уплотнений и гиперплазий в тканях дыхательного органа.
Разрастающиеся клетки начинают сдавливать кровеносные сосуды и альвеолы, бронхи сужаются и их дыхательная функция нарушается.
В результате механизм газообмена в человеческом организме ухудшается, это сказывается на свертывающей системе крови (она сгущается), сердце (оно начинает работать в усиленном режиме справа, что приводит к дистрофии миокарда), также развиваются метаболические нарушения в печени, нервной и пищеварительной системах.
Болезнь может появиться при вдыхании воздуха (бытовом контакте) с раздражающими агентами (вирусами, микрочастицами, аллергенами, бактериями) или при распространении их с током крови из других органов и систем в бронхиальное дерево.
К факторам, провоцирующим заболевание, относят:
- острые и хронические болезни органов дыхания (синуситы, риниты, тонзиллиты, фарингиты, ларингиты, трахеиты, бронхиты, пневмонии);
- специфические инфекции (корь, краснуха, туберкулез, микоз);
- аллергические реакции;
- вдыхание вредных паров или воздуха с микрочастицами химических веществ (пылью);
- заболевания сосудов с застойными явлениями в бронхах, легких, сердце, артериях, венах или капиллярах;
- травматические повреждения грудной клетки (ушибы, ранения);
- ослабление общего иммунитета;
- систематические переохлаждения;
- наследственные аутоиммунные заболевания (склеродермия, красная волчанка, васкулиты и др.);
- хронические очаги инфекции в организме (артриты, невриты, миокардиты, нефриты и др.);
- постоянное проживание в неблагоприятных климатических условиях (районах Крайнего Севера, в пустынных, степных или заболоченных зонах);
- перегрузки дыхательных органов при глубоководных погружениях, спортивных тренировках.
Симптомы перибронхита
Болезнь имеет ряд общих и специфических признаков.
К первым относят:
- повышенную утомляемость и снижение работоспособности;
- чрезмерную потливость и появление познабливания;
- эпизодические подъемы температуры;
- умеренные признаки интоксикации: головокружения, головные боли, тошнота, ломота в костях и мышцах;
- снижение аппетита и нарушения пищеварения.
Характерные признаки заболевания появляются во вторую очередь. Пациентов беспокоят:
- одышка (вначале при нагрузках, а затем и в покое);
- боли в грудине;
- синюшный оттенок кожи на лице и конечностях;
- кашель с мокротой (слизистой, гнойной, с прожилками крови).
При осмотре врач обращает внимание на увеличение объема грудной клетки. При ее выстукивании могут обнаруживаться участки с притуплением звука (это говорит о развитии воспалений в них), при выслушивании — жесткое или ослабленное дыхание, разнокалиберные хрипы, крепитация.

Со стороны сердечно-сосудистой системы бывает:
- уменьшение пульсации сосудов;
- тахи- или брадикардия;
- повышение АД.
Кроме этого, у больных перибронхитом обнаруживается увеличение печени и селезенки, отечность в области живота, лица и нижней части ног.
Стадии болезни
- Компенсаторная. В этом случае у организма еще хватает ресурсов для поддержания нормальной работы системы дыхания. Пациенты чувствуют себя в целом удовлетворительно, а одышка появляется только при физической нагрузке. Иногда в ответ на вдыхание холодного или запыленного воздуха возникает кашель. На рентгене заметны места с затемнениями в бронхах.
- Субкомпенсаторная. Здесь организм уже не в силах компенсировать патологию, поэтому заметны изменения в форме грудной клетки (она расширена), увеличение печени, пастозность и отечность подкожной клетчатки. Наблюдаются приступы одышки в покое, учащение сердечных сокращений и снижение пульсации артерий.
Рентгенограмма показывает усиление рисунка бронхиального дерева, сужение просвета бронхов, образование бронхоэктаз.
- Декомпенсированная. На этом этапе все изменения носят выраженный характер. Грудная клетка приобретает округлую (бочкообразную) форму, кожные покровы больных имеют синюшный (цианотичный) оттенок, одышка беспокоит пациентов даже во сне.
Дыхание затруднено, внешне заметны движения брюшной стенки, при прослушивании слышны влажные хрипы различной интенсивности. Отеки на конечностях занимают большую площадь, наблюдаются перебои в работе сердца, артериальная пульсация еле заметна.
На рентгенологических снимках расширения видны даже в мелких бронхах, хорошо просматриваются их патологические сужения, множественные бронхоэктазы.
Болезнь протекает длительно, от 3-х месяцев до года. Прогноз зависит от стадии развития заболевания.
Лечение перибронхита
Терапия болезни зависит от ее причины.
- При бактериальной природе воспаления показан курс приема антибиотиков широкого спектра действия (цефалоспоринов, макролидов).
- При вирусной причине болезни принимают противовирусные и иммуномодулирующие препараты.
- Аллергикам нужны антигистаминные средства.
Общую резистентность организма поднимают витаминотерапией, организацией рационального питания и полноценного отдыха, нейтрализацией раздражающих факторов, отказом от вредных привычек.
Симптоматическое лечение предусматривает прием противоотечных, спазмолитических, обезболивающих и бронхолитических средств.
С целью восстановления функций бронхов и рассасывания рубцов и спаек в них в период ремиссии показано применение биостимуляторов (Алое, Фибс) и физиопроцедур (ультразвука, УВЧ, ингаляций, ванн, грязевых обвертываний, купание в горячих источниках). Эффективно в терапии болезни санаторно-курортное лечение в специализированных учреждениях Северного Кавказа или Черноморского побережья.
Романовская Татьяна Владимировна
Источник:
Рак легких: признаки

Источник злокачественных клеток рака легких – только эпителий, выстилающий поверхность бронхов. То есть любой узел, расположенный в легочной ткани, «прикреплен» к бронху.
В легочной ткани нет чувствительных рецепторов, поэтому заболевание долго не вызывает боли или других неприятных симптомов.
Иногда его признаки маскируются другой легочной патологией, и тогда опухоль так и остается недиагностированной.
Доклинический период имеет очень мало признаков и может длиться годами. Появившиеся в дальнейшем клинические симптомы могут быть очень разнообразными, затрудняющими диагностику.
Надеюсь, что информация, приведенная в нашей статье, поможет вам вовремя заподозрить эту серьезную патологию и своевременно обратиться к врачу.
Основные симптомы
При центральном раке новообразование расположено возле бронха с большим диаметром. При росте оно раздражает его стенки, а затем сдавливает и нарушает проведение воздуха. В результате страдает снабжение кислородом частей легкого.

Нарушение прохождения воздуха по дыхательным путям ведет к спадению (ателектазу) участка легочной ткани, а это может вызвать смещение средостения – тканей, лежащих между этими органами.
При увеличении узел прорастает плевру, и тогда появляются первые симптомы – боли. Если страдают крупные нервные стволы (диафрагмальный, возвратный, блуждающий), нарушаются функции внутренних органов. В этот же период появляются отдаленные метастазы.
Периферический очаг может долго расти бессимптомно. Когда опухоль достигает большого размера, по течению она напоминает центральный рак. В центре новообразования может появиться распад ткани и кровотечение из поврежденных сосудов.
При атипичных формах рака первые признаки вызваны появлением отдаленных метастазов.
Общие и местные признаки
Симптомы рака легких, вызванные непосредственным давлением опухоли на окружающие ткани:
- кашель сухой;
- выделение слизистой или гнойной мокроты;
- кровохарканье;
- сиплый голос;
- отек лица;
- одышка;
- затруднение при глотании.
Общие признаки рака легких связаны с отравлением организма продуктами жизнедеятельности и распада раковых клеток:
- слабость;
- чувство нехватки воздуха;
- небольшое повышение температуры;
- иногда – незначительное снижение веса.
При своевременном лечении аппетит у больных улучшается, и они восстанавливают свой привычный вес или даже немного поправляются. Это не должно служить причиной отказа от диагноза злокачественной опухоли.
При новообразовании легких развивается паранеопластический синдром. Он сопровождается признаками изменения кальциевого обмена в костной ткани. Другие симптомы, сопутствующие опухоли – кожная сыпь, раздражение и воспаление кожи (дерматит), утолщение ногтевых фаланг пальцев.
Метастазы чаще поражают печень, кости и головной мозг. Клинические признаки зависят от органа. Это может быть, например, внезапный перелом или нарушение сознания.
Осложнения рака легких:
- кровотечение;
- ателектаз легкого;
- нарушение бронхиальной проходимости;
- распад легочной ткани.
Клинические варианты
Формы этого злокачественного новообразования описаны в нашей статье.
Эндобронхиальная опухоль
Образование растет внутрь бронха, раздражая его внутреннюю оболочку. Первый симптом – сухой кашель. Постепенно присоединяется небольшое количество светлой мокроты. При повреждении капилляров в ней появляются тонкие прожилки крови.
Если через бронх перестает проходить воздух, нижележащий отдел легкого спадается. Появляются соттветствующие симптомы: гнойная мокрота, лихорадка, слабость, одышка. Возникает обтурационное воспаление, то есть раковый пневмонит.
Часто эти признаки возникают на фоне сезонной простудной инфекции осенью или весной. При неэффективности обычного лечения пациента направляют на рентгенографию легких, где и выявляют заболевание.
Иногда в таких случаях раковый пневмонит принимают за обычную пневмонию. После курса антибиотиков и других средств больному становится лучше, что служит причиной диагностической ошибки. Чтобы этого избежать, нужно, как минимум делать контрольный рентгеновский снимок, а при сомнениях в диагнозе выполнять бронхоскопию.
При появлении ракового пневмонита может возникнуть плеврит. Обычно при пункции на ранней стадии злокачественных клеток в выпоте нет.
Растущая опухоль сдавливает и повреждает соседние структуры. При сдавлении возвратного нерва появляется осиплый голос (чаще при левосторонней локализации опухоли).
Повреждение блуждающего нерва вызывает симптомы ослабления симпатической нервной активации, что сопровождается учащенным пульсом, метеоризмом и жидким стулом. Прорастание диафрагмального нерва ведет к ее параличу и усилению одышки.
Если же поражается перикард, возникает такой признак, как боль в груди, с которой больного госпитализируют в кардиологическое отделение.

Синдром верхней полой вены
Симптомы рака легких нередко связаны с поражением верхней полой вены. При ее сдавлении страдает отток венозной крови и лимфы от головы, рук и верхней части корпуса. Симптомы: лицо пациента приобретает одутловатый синюшный вид, у него видны набухшие вены на шее. Больной не может лечь, и спит полусидя.
Признаки сдавления верхней полой вены наблюдается и при других тяжелых заболеваниях:
- опухоль органов средостения;
- лимфогранулематоз;
- неходжкинская лимфома;
- тромбоз полой вены.
Если рак прорастает в плевру и распространяется по ней, в плевральном выпоте находят злокачественные клетки.
Перибронхиальная опухоль
Симптомы рака легких при этой форме появляются позднее. Образование проникает внутрь бронха только небольшой своей частью, а остальная масса новообразования лежит снаружи. Бронх сдавливается медленнее. Однако первый симптом – кашель – появляется довольно быстро. Он сухой, сильный, особенно при поражении лимфоузлов и сдавлении бронхиального дерева.
Перибронхиально-разветвленный вариант проявляется признаками продолжительной пневмонии. При бронхоскопии ее обнаружить сложно, потому что в бронхиальный просвет выступает только самая незначительная часть новообразования. С этим связаны трудности диагностики.
Рак Пенкоста
Этот вид опухоли поражает верхний сегмент органа и прорастает верхушку плевры, верхние ребра и нервные сплетения, проходящие между ними. При этом возникает боль, имитирующая признаки плексита или периартрита, по поводу чего больные безуспешно лечатся у невролога.
Постепенно вовлекается симпатический нервный ствол, что сопровождается типичными симптомами: опущением верхнего века, сужением зрачка и западением глазного яблока на больной стороне.
Страдают и нервы корпуса: появляются такие признаки, как потливость половины тела, расширение сосудов, покраснение кожи.
Шаровидная опухоль
Круглое новообразование долго не вызывает никаких жалоб и выявляется случайно. Опухоль расположена далеко от центральных бронхов, поэтому существенного затруднения дыхания она не вызывает. Лишь при подробном расспросе можно выявить такие симптомы, как утомляемость при нагрузке и нередкое небольшое повышение температуры.
По мере роста очага он приближается к крупным бронхам и вызывает признаки центрального рака. Если же опухоль растет в сторону плевры, то после ее поражения возникает боль и воспаление.
Вокруг опухолевой массы появляются признаки пневмонии. После терапии антибиотиками больному становится лучше, но на рентгене сохраняется тень с лучистым контуром.
Поэтому после любой пневмонии важно повторное рентгенологическое исследование.
В центре круглой опухоли начинается распад ткани, которая выходит через бронхи с влажным кашлем. От кисты или абсцесса такая опухоль отличается неоднородностью стенки.
Пневмониеподобная форма
В одной из долей легкого возникает один или несколько небольших злокачественных очагов, которые сливаются между собой с образованием уплотнения – инфильтрата. Больного беспокоит сухой кашель.
Постепенно появляется небольшое количество мокроты, которая затем становится жидкой, обильной, пенистой. Присоединяется бактериальная инфекция, появляются признаки пневмонии: лихорадка, боль в груди, одышка, кашель.
Не исключена двусторонняя локализация опухоли.
Атипичные формы
Эти варианты опухоли легких проявляются лишь после своего метастазирования и образования отдаленных опухолевых очагов. До этого момента человек чувствует себя хорошо и не подозревает о болезни легких.
Медиастинальная форма характеризуется развитием опухолевых отсевов в лимфоузлах средостения. Они увеличиваются и сдавливают сосуды средостения. Появляются такие признаки: затрудняется отток венозной крови и лимфатической жидкости из верхней части тела. Лицо приобретает синюшную окраску, одутловатость. Вены на руках и шее хорошо видны, напряжены.

Костный вариант проявляется сначала болью в разрушенном метастазом участке кости, а затем возникает патологический перелом.
Симптомы мозговой формы связаны с повышением давления внутри черепа и нарушением общемозговых функций. Больные жалуются на постоянную головную боль, тошноту, рвоту, не приносящую облегчения.
В редких случаях симптомы атипичной опухоли имитируют признаки болезни сердца, желудка, печени.
Недифференцированный рак
Гораздо более опасны недифференцированные формы рака легкого:
- мелкоклеточный;
- светлоклеточный;
- овсяноклеточный;
- крупноклеточный;
- полиморфно-клеточный.
Такие клетки очень быстро делятся, опухоль растет и метастазирует в короткие сроки. Метастазы по кровеносным сосудам попадают в череп и вещество мозга. При мелкоклеточном раке пациенты живут не дольше 10 месяцев.
В других случаях, даже если рак легких не лечить, длительность жизни 3 – 4% пациентов достигает 5 лет. По крайней мере 92% из них проживают минимум 2 года.
Рак легких имеет разнообразные симптомы и нередко маскируется под признаки других болезней легких. Поэтому так важен здоровый образ жизни, регулярное проведение флюорографии и своевременное качественное диспансерное наблюдения у терапевта.
по теме
Об особенных симптомах рака легких рассказано в популярной передаче:
Источник:
Перибронхит: причины и механизм развития заболевания, характеристика изменений в лёгких, симптомы и лечение

08.10.2018
Существует много видов бронхита — заболевания, вызывающего воспаление слизистой оболочки бронхов. Они различаются по характеру течения, причинам и другим факторам.
Форму, при которой поражается наружная оболочка стенки бронхов, называют перибронхитом. Часто воспаление задевает также ближайшие ткани лёгких.
Болезнь носит острый или хронический характер и без соответствующего лечения быстро прогрессирует приводя в дальнейшем к опасному состоянию — фиброзу легких.
Формы перибронхита
Перибронхит развивается на фоне хронического бронхита или других заболеваний лёгких. По путям попадания инфекции в бронхи его делят на два вида.
Первый из них — аэрогенный, при котором возбудители переносятся через воздух и попадают в бронхи из органов дыхательной системы. Второй — лимфогенный, когда болезнетворные бактерии или вирусы доносятся до бронхов через лимфатические узлы вместе с жидкостью.
По характеру течения перибронхит, как и обычный бронхит, делится на острый и хронический. Первая форма характеризуется постоянным и сильным проявлением симптомов, при которых требуется немедленное врачебное вмешательство.
Вторая форма чаще всего является следствием первой и возникает из-за того, что заболевание неправильно или недостаточно лечили.
Характеризуется она чередующимися обострениями и ремиссиями, при которых симптомы почти или вовсе не проявляются.
Механизм и стадии развития
Началом заболевания чаще всего служат воспалительные процессы в разных частях лёгких. Сначала они поражают поверхностную слизистую оболочку бронхов, а затем постепенно проникают и в более глубокие слои, создавая перибронхиальные очаги.
В процессе развития воспалительных процессов возникают различные патологии, такие как избыточное образование тканей, их уплотнение и некрозы (участки омертвения тканей).
Разрастающиеся таким образом клеточные структуры начинают сужать бронхи, а также давить на альвеолы и мешать течению крови по сосудам.
В результате этих перибронхиальных изменений в лёгких ухудшается работа почти всех основных систем организма.
Газообмен нарушается, из-за чего кровь сгущается, уменьшается её свёртываемость, сердце вынуждено работать в усиленном режиме, что постепенно приводит к дистрофии миокарда и другим нарушениям.
Происходят также изменения в метаболизме веществ в печени, желудочно-кишечном тракте и нервной системе. Заболевание развивается постепенно.
Стадии развития перибронхита
Выделяют 3 основные стадии:
-
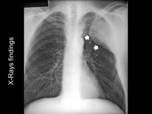
- Компенсированная.Начальная ступень развития, при которой у организма ещё хватает сил поддерживать функции дыхания и газообмена на удовлетворительном уровне. Симптомы, такие как одышка и кашель, появляются только при сильных физических нагрузках или воздействии раздражителей: горячего или холодного воздуха, пыли и так далее. При обследовании рентгеновскими лучами на снимке уже можно заметить затемнённые места.
- Субкомпенсированная. Организм больше не в состоянии компенсировать воздействие болезни. Проявляется в расширении грудной клетки, увеличении печени и селезёнки, возникновении отёков. Функция дыхания заметно угнетается, одышка возникает даже в состоянии покоя. Количество сердечных сокращений учащается. Основные системы организма вынуждены работать в усиленном режиме, чтобы выполнять свои жизненно важные функции, поэтому пациент очень быстро утомляется. На рентгене явно видно сужение просвета бронхов.
- Декомпенсированная. На этом этапе все компенсаторные механизмы истощены. Все вызванные воспалительными процессами и следующей за ними перибронхиальной инфильтрацией процессы носят ярко выраженный характер. Грудная клетка приобретает выпуклую форму, кожа и слизистые оболочки становятся синюшными. Дыхание затруднено, наблюдается постоянная одышка и влажные хрипы. Начинаются серьёзные нарушения в работе сердца, пульс становится еле заметным. Рентген показывает явное сужение даже в мелких бронхах.
Со временем организму становится всё сложнее противостоять развивающимися патологическим процессам. Если нет должного лечения, оно переходит на следующую стадию.
Причины заболевания
Заражение перибронхитом может произойти из-за вдыхания воздуха, содержащего болезнетворные микроорганизмы. Кроме того, болезнь может развиться в результате их попадания в бронхи через другие системы организма в результате различных биологических процессов. К факторам риска, способствующим возникновению этой болезни, относят:
- другие болезни и воспаления органов дыхания в острой и хронической формах: бронхит, пневмония, ринит, синусит, фарингит, ларингит и прочие патологии;
- некоторые инфекции, такие как корь, краснуха, туберкулёз бронхов и микоз;
- аутоиммунные заболевания, вызывающие повреждение организмом собственных тканей из-за восприятия их как чужеродных;
- частые переохлаждения;
- контакты с аллергенными веществами и последующие за этим реакции;
- вдыхание загрязнённого воздуха с частицами пыли и вредных химических веществ, попадание в лёгкие чужеродных газов, работа во вредных условиях — на шахтах, что приводит к силикозу;
- болезни сосудов, сопровождающиеся возникновением застойных процессов в области кровоснабжения лёгких и бронхов;
- ослабленный иммунитет;
- механические травмы грудной клетки;
- наличие в организме хронических очагов инфекции, таких как нефриты и миокардиты;
- проживание в районах с жёстким климатом, где человеку постоянно приходится дышать слишком горячим, холодным, сухим или влажным воздухом;
- чрезмерная нагрузка на органы дыхания при физических упражнениях и глубоководных погружениях.
У детей перибронхит чаще всего возникает на фоне других болезней: гриппа, бронхита, коклюша, кори. У взрослых риск воспаления увеличивается для тех, кто вынужден регулярно сталкиваться с пылью и вредными химическими веществами на рабочем месте.
Симптомы и осложнения
Симптомы воспаления клетчатки бронхов возникают на фоне избыточного разрастания тканей и возникновения рубцов. На разных стадиях наблюдаются такие признаки:
- повышенная утомляемость;
- периодическое повышение температуры тела до +39 ºC;
- чрезмерное потоотделение;
- боли в мышцах и костях;
- снижение аппетита;
- озноб;
- головокружение и головная боль;
- тахикардия или брадикардия на фоне снижения силы пульса;
- повышенное артериальное давление;
- одышка — сначала только при нагрузках, но затем переходит в постоянное состояние больного;
- боль в груди;
- посинение кожи;
- отёчность лица, живота и нижней части конечностей;
- влажный кашель, в результате которого выделяется большое количество мокроты с кровью или слизью.
В результате быстрого развития патологических процессов ухудшение самочувствия происходит очень резко. Иногда после приступов кашля больной может чувствовать облегчение, но оно носит временный характер.
Лечение болезни возможно только при своевременном и квалифицированном вмешательстве врачей.
Иначе оно может перейти в хроническую форму и вылиться в осложнения, среди которых встречаются такие опасные болезни и состояния:
- гангрена лёгких;
- пневмония;
- обструктивный бронхит;
- бронхоэктатическая болезнь, приводящая к необратимой деформации дыхательных путей;
- фиброз легких;
- пневмоторакс.
Помимо основных осложнений, развитие перибронхита приводит к обструктивной дыхательной недостаточности. Из-за этого организм не может обеспечивать достаточное насыщение крови кислородом, что приводит к необходимости более интенсивной работы дыхательной и сердечно-сосудистой систем для обеспечения жизнедеятельности человека.

Это в сочетании с воспалением, накоплением мокроты, сдавливанием сосудов и прочими особенностями развития болезни, со временем может стать причиной серьёзных нарушений в работе всего организма. Потому, даже если перибронхит находится на начальной стадии и пока ещё не проявил наиболее опасных симптомов, его лечением никогда не стоит пренебрегать.
Способы диагностики
Правильная диагностика перибронхита — первый шаг к его успешному лечению. Симптомы заболевания очень обширны и их легко спутать с другими нарушениями в работе лёгких, потому точный вердикт иногда нельзя сказать даже после сдачи анализов и их обработки профессиональным врачом.
Диагностику осуществляют поэтапно:
- Изучение общей картины состояния и жалоб пациента, выяснение о наличии у него недавних травм или наследственных патологий.
- Внешний осмотр и диагностика физическими методами — простукивание и прослушивание участков грудной клетки для определения характера изменений в работе лёгких.
- Лабораторный анализ крови — при перибронхите он показывает значительное повышение числа лейкоцитов и увеличенную скорость выработки эритроцитов.
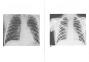
- Получение рентгеновского снимка, компьютерной и магнитно-резонансной томографии — на них явно видно расширение бронхов и усиление их рисунка.
- Анализ мокроты на наличие соответствующих бактерий-возбудителей.
- Пробы на различные аллергические реакции у пациента.
При необходимости проводится продвинутая диагностика с помощью бронхоскопии и биопсии. Процедура заключается в исследовании дыхательных путей с помощью особого оснащённого видеокамерой прибора, через которые врач может точно просмотреть их состояние. Кроме того, проводится сбор и анализ кусочка бронхов на рубцовые и дистрофические изменения.
Профилактика
В качестве профилактики перибронхита выступает ограничение контакта с вызывающими его факторами, своевременная медицинская помощь при других заболеваниях дыхательной системы. Важно будет также общее укрепление иммунитета: правильное питание с достаточным количеством витаминов, режим сна, доступ к полноценному отдыху в достаточном количестве и отказ от вредных привычек.
При проявлении первых симптомов лечение перибронхита нужно начинать как можно быстрее. Болезнь протекает длительно — от 3 месяцев до нескольких лет.
Она развивается постепенно, потому гораздо лучше начинать бороться с ней уже на ранних этапах, когда ещё не возникло осложнений, побочных симптомов и необратимых изменений в бронхах.
Хронические формы перибронхита устойчивы к терапии и могут перейти в неизлечимую стадию.
Устали покупать все новые и новые антибиотики и средства от кашля? Лечение, которое назначил врач дорогое, но помогает только частично…
Присоединяйтесь к тем, кто уже избавился от бронхита и его осложнений с помощью монастрыского сбора… Читать далее
Полезное
Лучший подарок для мужчин на 23 февраля это приманка(активатор клёва) для рыбалки Fish Drive. Прочтите отзыв Андрея Захарова известного эксперта в спортивной рыбалке. Читать далее
Поспелова Ирина
Изменения в лёгких при перибронхите, его симптомы и лечение Ссылка на основную публикацию
Источник:
Что такое перибронхит?

Перибронхит – воспалительный процесс, который поражает лимфатическую систему и кровеносные сосуды, локализующиеся в области бронхов и сопровождающиеся разрастанием соединительной ткани. Начало заболевание возникает на наружном слое бронхов, вовлекая в процесс близлежащие ткани и системы.
Этиология заболевания
Первоначальным толчком к развитию заболевания являются патологии в развитии дыхательной системы. При этом в начале воспалительный процесс располагается в слизистых оболочках бронхов, а затем распространяется в более глубокие слои. По мере развития заболевания возможно образование уплотнений, некротических очагов, гиперплазии тканей органов дыхания.
Разрастаясь, клетки передавливают альвеолы и кровеносные сосуды, вследствие чего происходит сужение бронхов и затрудняется дыхание.
Из-за ухудшедшего в результате этого газообмена в организм больного нарушается нормальная свертываемость крови, она сгущается, сердце начинает работать в усиленном режиме, что приводит к дистрофии миокарда.
Также сбои в работе происходят в печени, пищеварительной и нервной системах.

Возникновение заболевание может быть также обусловлено попаданием в дыхательную систему или распространением через кровеносную систему раздражающих частиц и оседание их на стенках бронхиального дерева.
К основным причинам возникновения перибронхита относят:
- хронические и острые заболевания органов дыхания (синуситы, фарингиты, тонзиллиты, трахеиты, бронхиты и т.д.);
- аллергические реакции, связанные с дыхательной системой;
- ослабленный иммунитет;
- специфические инфекции (краснуха, корь, микоз, туберкулез);
- болезни, связанные с застойными явлениями в органах дыхания, сердце, венах, артериях, капиллярах;
- общее систематическое переохлаждение организма;
- травмы грудной клетки;
- аутоиммунные заболевания, передаваемые генетическим путем (васкулиты, красная волчанка, склеродермия и т.д.);
- сильные нагрузки на дыхательную систему в некоторых случаях (спортивные тренировки, глубоководное погружение);
- хроническое инфицирование организма (нефриты, миокардиты, артриты и т.д.);
- проживание в районе с неблагоприятными климатическими и другими окружающими факторами.
Общие симптомы проявления
Перибронхит имеет симптомы, которые подразделяются на общие и специфические. К общим относятся:
- быстрая утомляемость;
- снижение работоспособности;
- периодическое повышение температуры;
- повышенное потоотделение;
- озноб;
- признаки интоксикации организма (головные боли, головокружения, тошнота, рвота, боль и ломота в теле);
- проблемы с пищеварением;
- потеря аппетита.
Наиболее специфическими признаками заболевания являются:
- боль в грудной клетке;
- одышка, появляющаяся при чрезмерной нагрузке – в начальных стадиях заболевания и в покое – на более поздних сроках;
- цианоз кожных покровов конечностей и лица;
- кашель с отхаркиванием секрета (гнойного, слизистого, в некоторых случаях с кровяными прожилками).
Боль в грудной клетке – один из возможных симптомов перибронхита
При осмотре врач отмечает увеличение грудной клетки. При простукивании прослушиваются участки с притупленным звуком, что может говорить о происходящем в них воспалительном процессе. Также отмечается ослабленное или жесткое дыхание, крепитация, хрипы разного звучания.
Есть признаки и со стороны сердечной деятельности:
- брадикардия или тахикардия;
- повышенное артериальное давление;
- снижение частоты пульса.
Кроме того, отмечаются: увеличение селезенки, печени, отеки в области конечностей, живота, лица.
Симптоматика у детей и взрослых практически одинаковая, отличается в зависимости от тяжести течения заболевания и сопутствующих осложнений.
Разновидности форм
Перибронхит разделяют на две формы в зависимости от течения заболевания:
- Острая – симптоматика более выраженная, самочувствие больного тяжелое, сложное.
- Хроническая – данная форма переходит от острой при отсутствии своевременной терапии или при неверно выбранной схемы лечения. Симптоматика становится менее ярко выраженной, периодически наблюдается смена периодов ремиссий и обострений.
Стадии заболевания
Также выделяют три стадии заболевания:
- компенсаторная;
- субкомпенсаторная;
- декомпенсированная.
Компенсаторная стадия перибронхита
На данной стадии заболевания пациент не замечает отклонений от нормального состояния здоровья, кроме появляющейся одышки во время усиления физической активности.
Это происходит в силу того, что ресурсов организма пока хватает на поддержание нормальной жизнедеятельности больного. В случаях попадания в дыхательную систему запыленного или холодного воздуха возможно возникновение сильного кашля.
При рентгенографическом обследовании можно обнаружить затемнения, локализующиеся в бронхах.
Субкомпенсаторная стадия перибронхита
Организм больного перестает выдерживать нагрузку и появляются более значительные сбои. Отмечается увеличение объемов грудной клетки, увеличение в размерах печени, отечность и побледнение при надавливании подкожной клетчатки.
Приступы одышки случаются в периоды покоя, частота сердечных сокращений учащается, пульс напротив увеличивается.
При рассмотрении рентгенографического снимка просматривается усиленный рисунок бронхиального дерева, просвет бронхов сужен, образуются бронхоэктазы.
Декомпенсированная стадия перибронхита
Изменения в организме приобретают более выраженный характер. Грудная клетка приобретает округлую, бочкообразную форму. Кожные покровы становятся синюшными, четко выражен цианоз. Одышка становится постоянной и беспокоит пациентов даже во время сна. Дыхание сильно затруднено. При этом заметно движение брюшной стенки.
При прослушивании специалист наблюдает хрипы разной интенсивности. Явно видны отеки конечностей, которые занимают обширную площадь. Пульсация артерий мало заметна.
На рентгенограммах просматривается расширение малых бронхов, явно заметно сужение их просвета, наблюдаются бронхоэктазы в большом количестве.
Способы лечения
Терапия подбирается врачом после тщательного обследования и установления диагноза. При этом учитывается течение заболевания и сопутствующие болезни (осложнения).
Медикаментозное лечение
При выборе лекарственных средств специалист должен учитывать причину перибронхита:
- бактериологическая форма требует прием антибиотиков соответствующего типа, который определяется анализом на резистентность;
- при вирусной этиологии требуется прием противовирусных препаратов;
- для лечения аллергического перибронхита необходим прием антигистаминных медикаментов.
Также применяют препараты, содержащие йод, фибролизин, рассасывающие средства.
Для снятия отеков используют мочегонные медикаменты.
Сульфаниламиды наиболее часто используют при перибронхите, так как они обладают противомикробными свойствами, тем самым помогая устранять патогенную микрофлору из организма.
Бронхорасширяющие препараты:
- Орципреналин;
- Сальбутамол;
- Эуфиллин.
Сальбутамол – один из препаратов для лечения перибронхита
Противовирусные препараты:
- Ремантадин;
- Осельтамивир;
- Изопринозин.
Бактериологические препараты:
- цефалоспорины;
- макролиды;
- азалиды.
Для более быстрого выздоровления и восстановления после тяжелого заболевания требуется прием иммуномодуляторов и витаминных комплексов.
Физиотерапия
В качестве физиопроцедур в данном случае применяют:
- ультразвуковая терапия;
- УВЧ;
- принятие грязевых и минеральных ванн;
- различные виды массажей – вибрационный, точечный, дренажный;
- обертывания.
Ингаляции
Ингаляции проводятся для выведения мокроты из бронхов, отхаркивающего действия.
Основные препараты, применяемые при перибронхите для ингаляций:
- Флуимуцил – отхаркивающего действия, разжижает бронхиальный секрет, облегчает его выведение;
- Беродуал – способствует расширению бронхов, расслабляет их мускулатуру, расширяет просвет, устраняет одышку;
- Рокан – обладает противовоспалительным свойством, устраняет воспалительные процессы, предотвращает повреждение дыхательных путей;
- Интерферон – иммуномодулирующий препарат, повышает защиту организма.
Флуимуцил – препарат, который назначают для проведения ингаляций при перибронхите
