Идиопатический легочный фиброз: что это такое, симптомы и лечение

Легочный фиброз – заболевание, которое сейчас встречается все чаще. Как правило, его провоцирует современный образ жизни, и справиться с ним достаточно трудно.
К группе фиброзных заболеваний относятся такие как:
- идиопатический фиброз,
- интерстициальная остротекущая пневмония,
- другие типы пневмонии и воспаления легких.
Что такое фиброзирующие альвеолиты?
Идиопатический фиброз – одно из заболеваний, принадлежащих к группе фиброзирующих альвеолитов. Все заболевания, относящиеся к этому типу, характеризуются одним и тем же течением: образованием в легких фиброзных уплотнений из быстро разрастающейся соединительной ткани.
Такие уплотнения похожи на грубые шрамы или рубцы на ткани легких, они препятствуют нормальной циркуляции кислорода и, соответственно, дыханию всего организма, заставляя его обходиться все меньшими и меньшими порциями воздуха.
Еще одно заболевание фиброзного типа – остротекущая пневмония, также называемая синдромом Хаммена-Рича.
Ход болезни как таковой не отличается от общей схемы, но ее развитие происходит необычайно стремительно.
В этом случае всего нескольких месяцев может быть достаточно, чтобы количество скопившихся в легких фиброзных тканей спровоцировало тяжелое состояние организма, а после и летальный исход.
Механизм развития этих болезней выглядит так:
- Отеки альвеолярных и интерстициональных тканей.
- Развитие воспаления.
- Постепенное уничтожение альвеолярных стенок, рост соединительной фиброзной ткани, формирующей рубцы. От этого структура легких существенно изменяется, ее вид напоминает соты.
Есть и еще несколько типов фиброзных заболеваний, среди которых другие виды пневмонии и воспаления легких – они не вызывают такого обширного накопления фиброзных тканей в легких. Основная проблема, которую они вызывают, – острое воспаление легких. Среди этих болезней следующие:
- неспецифический пневмонит,
- криптогенный пневмонит,
- респираторный бронхиолит,
- десквамативный пневмонит,
- лимфоидный пневмонит,
- неклассифицируемый пневмонит.
Все перечисленные болезни относятся к виду интерстициальных и смертельно опасны. Говоря о болезнях фиброзной группы, следует помнить, что только те из них, которые в основном провоцируют воспаления, а не развития массы соединительной ткани в легких, дают больному достаточно долгую отсрочку: до 10 лет активной жизни без лечения и обращения к врачам.
Ни идиопатический фиброз, ни остротекущую пневмонию вылечить или приостановить невозможно – единственный адекватный способ лечения, существующий на настоящий момент, – пересадка легкого.
Максимальная продолжительность жизни в случае появления одного из этих заболеваний при отсутствии адекватного лечения не превышает 5 лет.
При первом подозрении на подобное заболевание нужно немедленно обращаться к врачу. Болезни воспалительной группы на ранних стадиях могут быть купированы современной терапией и сильными лекарственными препаратами.
Клинические особенности и диагностика недуга
Первый и основной симптом идиопатического фиброза – быстрое развитие одышки, в особенности, у человека, ранее ею не страдавшего. Со временем появляются такие симптомы как:
- Сильные боли в груди.
- Сухой кашель (поздние стадии заболевания порой предусматривают появление гнойной мокроты).
- Набухающие лимфоузлы и вены на шее.
- Тахикардия.
- Резкая потеря веса (этот симптом активно проявляется только на последних стадиях болезни).
- Утолщение кончиков пальцев.
Как правило, заболевание находится уже в достаточно запущенной форме, когда больные обращаются к врачу. Поскольку именно одышка является первичным симптомом, ее склонны связывать с изменениями веса или снижением спортивной формы, и потому большинство больных просто не обращают на нее внимания. В среднем срок обращений составляет от 3 месяцев до 2 лет после начала болезни.

Точные причины развития легочного фиброза на данный момент никому не известны. Тем не менее, уже понятно, что в группе риска, в первую очередь, люди, которые:
- много курят,
- регулярно вдыхают химические и промышленные испарения,
- регулярно вдыхают частицы органической и неорганической пыли (работники фабрик по производству удобрений, птичников, хлебозаводов),
- обладают кислотным рефлюксом,
- ранее болели легочными инфекциями.
Кроме того, зачастую идиопатический легочный фиброз является «семейной» болезнью, поражающей несколько поколений подряд, и это плотно связывает его с генетической предрасположенностью к определенному типу заболеваний.
Наиболее часто он развивается у людей, достигших 40 лет, причем, у мужчин чаще, чем у женщин. Жители больших городов подвержены ему в большей степени, чем те, кто живет вдали от большого количества выделяемой мелкодисперсной пыли и углекислого газа.
Идиопатический легочный фиброз определяется следующим ходом диагностики:
- Опрос больного о его жалобах и образе жизни.
- Анализ выделяемой им мокроты, если таковая есть.
- Рентгенограмма легких. Как правило, характерные затемнения на полученных снимках уже дают возможность предполагать наличие именно фиброзного заболевания.
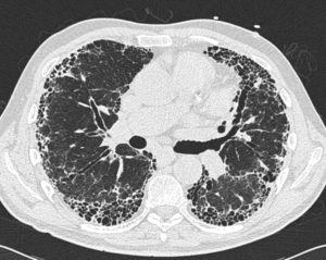
- Компьютерная томография – на снимках заметен характер изменений в легких, объемы и структура разрастающейся ткани.
- Спирографические исследования направленны на изучение того, насколько свободно воздух проходит через легкие.
- Бодиплезмотографические исследования, дополняющие результаты спирографических.
- Бронхоскопические методы забора частиц легких для последующего анализа.
- Биопсический метод, представляющий собой изучение фрагмента больной ткани. Он полезен только в случае, когда болезнь достигла наиболее тяжелой формы, или как подтверждающий в тех ситуациях, когда она диагностируется неоднозначно.
Способы лечения
Способа полного излечения этого заболевания сейчас еще не существует. Тем не менее, есть несколько вариантов, которые помогут снизить его симптоматику и дать возможность благополучно дождаться легкого на пересадку. При этом эффект от лечебных процедур тем выше, чем на более ранней стадии произошло обращение к врачу.
- Использование глюкокортикостероидовых веществ, препятствующих развитию соединительных тканей и, соответственно, появлению рубцов в легких. Они хорошо работают вместе с цитостатиками, а вот полезные при многих заболеваниях антибиотики ничем не смогут помочь.
- Использование кислородной терапии, т.е., вдыхание больным чистого кислорода с помощью маски или трубки. Такой тип воздействия обеспечивает попадание в организм достаточного количества кислорода и обеспечивает возможность активного движения для больного с легкой формой фиброза. При тяжелой форме заболевания он может быть одним из вариантов, спасающих жизнь пациента.
- Процесс легочной реабилитации, в ходе которого больной может взять под контроль некоторые типы симптомов, а также в какой-то мере компенсировать повреждения легкого умением дышать определенным способом, доставляющим в организм больше кислорода.
- Использование антифиброзной терапии, направленной на уменьшение скорости разрастания соединительной ткани в легких.
- Использование противовоспалительной терапии.
- Типы терапий, предназначенных для устранения конкретных симптомов: например, бронхолитическая, ослабляющая уровень отдышки.
Пересадка легких является единственным абсолютно надежным средством, решающим проблему с вероятностью летального исхода.
Тем не менее, и в этом отношении есть сложности: прежде всего, больному порой приходится долгое время ожидать органа, достаточно совместимого с его собственным телом. Тех, у кого фиброз достиг наиболее тяжелой стадии, стараются оперировать первыми, но, из-за непредсказуемости даты появления донорских органов, даже это не всегда возможно.
Последствия и профилактика
Непосредственно после пересадки период адаптации составляет около месяца в легких случаях. В целом же он может достигать полугода. Все это время человек проводит в больнице.
Когда период адаптации благополучно пройдет, может потребоваться регулярный прием лекарств, поддерживающих пересаженный орган и оберегающих его от отторжения, на протяжении всей жизни больного, а также постоянные осмотры у ревматолога и пульмонолога.
https://youtube.com/watch?v=tOWPfwwI2Y4
Не до конца пролеченный фиброз может оставлять после себя множество последствий, связанных с дыхательными путями и недостатком кислорода в крови. Это:
- проблемы дыхательной недостаточности,
- рост давления в легочной артерии,
- хроническая сердечная недостаточность,
- легочный тромбоз,
- инфаркт,
- инсульт,
- развитие вторичной инфекции,
- развитие рака легкого.
Все это сугубо индивидуально, и в случае, если будет замечено развитие любого из этих последствий, необходимо сразу же обращаться к врачу. Только так можно быть уверенным, что оно будет пролечено в соответствии с конкретным типом спровоцировавшего его фиброзного заболевания и учетом состояния организма.
Полноценного рецепта того, как уберечься от фиброза или его последствий, нет, но в первую очередь следует:
- бросить курить,
- избегать мест с обильным накоплением вредных веществ в воздухе,
- хорошим решением станет увеличение физической активности – это даст тренировку легким, а ее виды, связанные с упражнениями на свежем воздухе, еще и помогут вдыхать больше кислорода,
- сразу же пролечивать все инфекции, едва они дают о себе знать,
- беречься от сезонных заболеваний (полезно будет сделать прививки от гриппа и пневмонии).
Соблюдение всех этих условий позволит по возможности сократить риск заболевания идиопатическим легочным фиброзом. А если он уже был перенесен – они поспособствуют также возвращению к обычной жизни, позволят вернуться к привычной деятельности и до некоторой степени способны послужить профилактикой заболеваний, которые развиваются как последствия фиброза.
Загрузка…
Источник:
Идиопатический легочный фиброз. Эффективный метод снижения одышки

Идиопатический легочный фиброз – заболевание легких, при котором происходит повреждение и утолщение стенок легочных альвеол. Альвеолы это такие маленькие «мешочки», через стенки которых происходит проникновение кислорода из воздуха в кровь.
При поражении альвеол легочная ткань уплотняется (фиброзируется), что приводит к необратимому прогрессирующему снижению функции легких. Синонимами идиопатического легочного фиброза являются: идиопатический фиброзирующий альвеолит, фиброзирующий альвеолит.
Как правило, заболевание возникает в возрасте старше 40 лет. К сожалению, до сих пор причина этой болезни не известна.
У кого может возникнуть идиопатический легочный фиброз (илф)?
В группе риска находятся:
- курильщики;
- люди, работающие во вредных производственных условиях;
- пациенты с отягощенной наследственностью (если ИЛФ есть у близких родственников).
Симптомы идиопатического легочного фиброза
Как правило, заболевание начинается медленно и незаметно для больного.
Позднее появляются следующие симптомы:
- сухой кашель;
- одышка при физической нагрузке (сначала при выраженной нагрузке, затем и в покое).
Идиопатический легочный фиброз, диагностика
Для подтверждения диагноза доктору обязательно нужно исключить заболевания легких известной природы, которые могут также проявляться кашлем и прогрессирующей одышкой. Если в результате тщательного обследования явной причины этих симптомов не найдено, то заболевание считают идиопатическим (неизвестной природы).
При подозрении на идиопатический легочный фиброз минимальный план обследования включает:
- анализ крови;
- исследование функции внешнего дыхания (спирография), которая помогает более точно определить причину одышки, т.к. она чаще всего встречается при ХОБЛ, эмфиземе легких , бронхиальной астме и других заболеваниях;
- компьютерную томографию легких.
В настоящее время компьютерная томография легких является одной из самых точных методик диагностики идиопатического легочного фиброза.

Если после тщательно проведенного расспроса, осмотра и проведенных исследований у доктора остаются сомнения в диагнозе, то проводится биопсия легких.
Биопсия – процедура, при которой хирург оперативным путем получает маленький участок ткани пациента (в данном случае – легочной ткани).
Затем полученный образец под микроскопом исследует врач-патоморфолог, для того чтобы найти признаки идиопатического легочного фиброза.
Лечение идиопатического легочного фиброза
До сих пор, к сожалению, не разработано достаточно эффективного медикаментозного лечения ИЛФ. Заболевание медленно и неуклонно прогрессирует, одышка постепенно нарастает и беспокоит при малейших физических усилиях, даже при разговоре.
При ИЛФ условно выделяют стабильную стадию (ремиссия) и ухудшение (обострение)
При быстром ухудшении самочувствия, внезапном нарастании одышки необходимо срочно обратиться к Вашему доктору. Такая ситуация часто требует госпитализации в больницу.
Так же при обострении ИЛФ доктор дополнительно назначит на короткое время гормональные препараты (глюкокортикоиды, например, преднизолон) и антибиотики (при присоединении воспаления легких).
Для профилактики обострений Ваш лечащий доктор может рекомендовать противогриппозную вакцинацию 1 раз в год и однократную антипневмококковую вакцинацию (для профилактики развития воспаления легких).
При ИЛФ в стабильной стадии (ремиссия) больному необходимо:
- обязательно прекратить курение (в том числе пассивное), т.к. оно способствует прогрессированию болезни;
- участвовать в программах легочной реабилитации. Инструктор лечебной физкультуры расскажет Вам о различных дыхательных упражнениях, которые способствуют уменьшению одышки и общей слабости;
- лечить рефлюксную болезнь (при ее наличии). Гастроэзофагеальная (желудочно-пищеводная) рефлюксная болезнь – заболевание, при котором происходит заброс небольшого количества кислоты из желудка в пищевод и дыхательные пути. Доказано, что это заболевание способствует прогрессированию ИЛФ. Лечение рефлюксной болезни поможет уменьшить повреждение легких при ИЛФ;
- регулярно принимать лекарственные препараты, которые назначил Ваш лечащий доктор. В последние годы ведется активная разработка перспективных препаратов для лечения больных с ИЛФ. Уточните у своего лечащего врача о возможности наблюдения и лечения в крупном научно-исследовательском учреждении (например, НИИ пульмонологии), где могут быть доступны современные препараты;
- проводить длительную кислородотерапию. При ИЛФ, со временем, возникает гипоксемия (низкое содержание кислорода в крови).
Косвенно определить наличие гипоксемии может Ваш доктор. Для этого необходим пульсоксиметр. При гипоксемии только лечение кислородом может уменьшить одышку. В настоящее время самым удобным способом для длительной кислородотерапии является использование кислородных концентраторов. Это приборы, которые вырабатывают кислород из окружающего воздуха.
Кроме устранения одышки, длительная кислородотерапия позволяет продлить жизнь пациентам с ИЛФ и дождаться радикального и самого эффективного способа лечения – трансплантации легких. Трансплантация легких – хирургическая операция по замене 1 или обоих поврежденных легких на легкие здорового донора.
Позвоните прямо сейчас по телефону 8 (495) 636-28-33 и получите качественную консультацию касательно выбора оборудования!
Источник:
Фиброз легких: причины и лечение

Фиброз легких — патология, при которой высок риск тяжелой формы COVID-2019. И она же относится к серьезным последствиям коронавирусной инфекции. Рассказываем о причинах и симптомах этого заболевания.
Что такое фиброз легких?
Фиброзом легких называют патологию, при которой в тканях легкого образуется рубцовая (фиброзная) ткань.
Из-за этого эластичность тканей легких снижается. Кислород и углекислый газ хуже проходят сквозь стенки легочных пузырьков — альвеол.
Все это становится причиной нарушения дыхательной функции, одышки, нехватки кислорода. При отсутствии лечения и прогрессировании болезни срок жизни составляет не более трех лет.
В чем причины образования рубцов в легком?
Воспалительные процессы на альвеолах — основная причина формирования соединительной ткани и ее разрастания. Что может спровоцировать воспаление?
Важную роль отводят наследственному фактору. Склонность к фиброзу проявляется в семейном анамнезе у 20% больных.

Спровоцировать процесс фиброза легкого могут и другие факторы. Если есть семейная история болезни — риск значительно повышается.
Но и без наследственной предрасположенности фиброз легких возникает у тех, кто курит, занят на вредном производстве.
Чаще всего болезнь выявляется у людей старше 50 лет. Мужчин с таким диагнозом в 2 раза больше, чем женщин. Основная причина — курение.
Осложненные легочные болезни — альвеолит, асбестоз, туберкулез, саркоидоз, тяжелые пневмонии — тоже могут стать причиной фиброза тканей.
Именно по этой причине фиброз легких относят к осложнениям коронавирусной инфекции. Он может развиваться как следствие тяжелого воспаления легких.
Внелегочные патологии тоже могут провоцировать фиброз легкого. К ним относятся склеродермия, ревматоидный артрит, красная волчанка и т. д.
Интоксикации летучими химическими веществами, долгий прием некоторых лекарственных препаратов, радиоактивное излучение тоже приводят к разрастанию рубцовой ткани.
Среди лекарств, которые могут провоцировать легочный фиброз, метотрексат, антибиотик сульфасалазин, производные антимикробного вещества нитрофурана, средства от аритмии амиодарон, пропранолол.
Виды и формы фиброза легкого
Идиопатической (первичной) называют форму легочного фиброза с неустановленной этиологией — когда непонятно, почему возникла болезнь.
При интерстициальном легочном фиброзе есть возможность установить причину болезни. В зависимости от причин выделяют несколько видов.
Фиброзы вследствие пылевых заболеваний возникают на фоне силикоза, асбестоза — вдыхания силикатной пыли, мельчайших частиц асбеста.
Лекарственный легочный фиброз может развиваться из-за длительного курса терапии средствами от аритмии, химиотерапии опухолей, некоторых антибиотиков, антимикробных препаратов.
Фиброзы разных органов, в том числе и легких, возникают на фоне болезней соединительных тканей.
Легочный фиброз может поражать только часть одного легкого, целое легкое или весь парный орган.
Среди стадий выделяют фиброз или пневмофиброз с умеренным тяжистым разрастанием рубцовой ткани, склероз (пневмосклероз) с грубым замещением участков и цирроз легкого.
При последней стадии — циррозе — легочная ткань полностью замещается рубцовой. Повреждаются бронхи и кровеносные сосуды.
Симптомы легочного фиброза
Основной и ведущий симптом — это одышка. На начальной стадии фиброза легких она появляется только при физических нагрузках.
С прогрессированием заболевания и разрастанием фиброзной ткани газообмен ухудшается. Ощущение нехватки воздуха нарастает, одышка появляется даже в состоянии покоя.
Кашель — тоже один из ведущих признаков фиброзных изменений в тканях легких. Как правило, он сухой, непродуктивный. Возможно отделение небольшого количества мокроты.
Один из вероятных признаков — гастроэзофагеальный рефлюкс с частой изжогой.
Из-за недостатка кислорода нарушается кровообмен. Первыми страдают кожные покровы. Это заметно по бледности, цианозу (синюшному оттенку кожи).
Слабость, нарастание утомляемости, невозможность к тяжелой, а затем умеренной и легкой физической нагрузке тоже входят в признаки фиброза легких.
Если болезнь длительная, у половины пациентов начинается изменение формы пальцев рук — синдром «барабанных палочек». Они становятся толще, ногтевая пластина выпуклая, похожа на лупу.
При значительном поражении легких симптоматика дополняется картиной «легочного сердца», признаками сердечной недостаточности. В этом списке признаков — выраженная одышка, ускоренное сердцебиение, отечность ног, боли за грудиной, набухание, пульсация вен на шее.
Как лечат фиброз легких?
Специальной и эффективной терапии для легочного фиброза нет.
Ведутся разработки и тестирование препаратов, направленных на уменьшение количества рубцовой ткани — для течения всех видов фиброзов.
Некоторые, в частности, иммунодепрессанты, способны уменьшать процесс рубцевания за счет подавления реакции организма на воспаление. Однако список побочных эффектов от такой терапии пока слишком велик.

К основным рекомендациям лечения относят исключение воздействия вредных факторов — курения, профессиональных вредностей, лечение основного заболевания.
Помогает поддерживать состояние пациента кислородотерапия, некоторые противовоспалительные препараты.
Если фиброз выражается ограниченными участками пневмосклероза и клинически не проявляется, терапию не проводят.
При наличии тотального фиброза помогает только хирургическое лечение: удаление части легкого или его пересадка.
Чем опасен фиброз легких?
При фиброзе легкого к опасным осложнениям относят хроническую дыхательную недостаточность и все последствия нехватки кислорода для организма.
Средняя продолжительность жизни при идиопатическом легочном фиброзе — 3 года.
Воспаления легких любой этиологии — бактериальной или вирусной — возникают легче и протекают намного тяжелее, чем у здоровых людей.
Болезнь легче предупредить, чем вылечить. Для профилактики надо отказаться от курения, использовать средства индивидуальной защиты на вредной работе, своевременно лечить воспалительные процессы в легких.
Если требуется прием лекарственных средств, повышающих риск фиброза, нужен регулярный контроль состояния легочных тканей: рентген, КТ, МРТ, дыхательные тесты.
Источник:
Легочный фиброз

Легочный фиброз или Идиопатический легочный фиброз (также ИЛФ) специфическое поражение легких, морфологическим субстратом которого является интерстициальная пневмония. Синонимы идиопатический фиброзирующийальвеолит (ИФА), криптогенныйфиброзирующийальвеолит.
Если проще то легочный фиброз это заболевание легких неизвестного происхождения, характеризующееся прогрессирующей отдышкой и фиброзными изменениями в легких. Эти изменения приводят к затруднению дыхания.
При этой болезни повреждаются воздушные мешочки (альвеолы) в легких, которые отвечают за насыщение крови кислородом. Так же повреждение легких вызывает развитие фиброзной ткани, рубцовой деформации легких. Эти болезненные изменения в легочной ткани проявляется у пациента в виде кашля и прогрессирующей одышке.
Люди, которые страдают ИЛФ, обычно старше 40 лет, чаще болеют мужчины, летальность при ИЛФ составляет 3,3 случая на 100000 населения (для мужчин) и 2,5 на 100000 у женщин. Это — очень тяжелая болезнь имеет прогрессирующее течение, приводит к значительным ухудшениям в течение долгого времени.
Почему я заболел легочным фиброзом?
Медицинской науке во всем мире неизвестна причина возникновения ИЛФ. Известны группы риска, в которых пациенты могут заболеть ИЛФ. Это следующие категории людей:
- Курильщики
- Люди, вдыхавшие много и длительное время летучие ядохимикаты или промышленные загрязнения
- Люди, связанные с вдыханием мельчайшей органической и неорганической пыли (мука, работники птицеводческих ферм, производство удобрений) в течение многих лет
- Семейная предрасположенность к развитию легочного фиброза
Каковы симптомы легочного фиброза?
Характеристика симптомов:
- Незаметное и медленное начало болезни
- На момент обращения к врачу длительность симптомов может составить 1-3 года, и никогда менее 3 месяцев
Ведущие симптомы могут включать:
- Одышка при физической нагрузке, одышка носит прогрессирующий характер
- Сухой кашель, кашель с мокротой встречается у 20% пациентов с ИЛФ изменение ногтевых фаланг в виде «барабанных палочек»
Есть ли тесты на легочный фиброз?
— Да.
Пульмонолог проведет Вам следующие исследования:
- Анализы крови, чтобы исключить другие заболевания, которые могут приводить к таким жалобам. Необходимо знать, что нет никакого специального анализа крови на ИЛФ!
- Дыхательные, функциональные тесты (ФВД, бодиплетизмография +диффузия). Эти тесты позволяют показать вызвана ли Ваша одышка ИЛФ или другой болезнью. Например, такой как эмфизема легких.
- Компьютерная томография высокого разрешения (КТВР, МСКТ КТВР) это специальное рентгенографическое исследование. Достоверность диагноза ИЛФ при применении использовании этого метода составляет 90%. На снимках отчетливо видны все фиброзные изменения легких вызванных ИЛФ
- Если доктор не уверен, что у Вас есть ИЛФ после компьютерной томографии, он должен предложить проведение биопсии легкого. Это хирургическое вмешательство позволяющее взять участок поврежденной ткани и оценить образец под микроскопом. Эффективность метода 100%, при правильной методике забора образцов.
Как легочный фиброз лечат?
— на сегодняшний день в мире нет никакого лечения, чтобы вылечить ИЛФ. Это заболевание характеризуется медленным, но необратимым ухудшением.
Но совместно с Вашим врачом Вы можете уменьшить выраженность некоторых симптомов и еще более замедлить процесс развития болезни.

Если Вы курите, то необходимо бросить курить — это крайне важно для Вас.
Лечение, назначенное докторами может включать:
- Кислородотерапию – она необходима при ухудшении состояния и нарастании одышки. Дышат пациенты через специальные кислородные концентраторы в домашних условиях. В продаже имеется портативные концентраторы, позволяющие даже гулять с ними.
- Легочная реабилитация – в легочной реабилитации, люди изучают упражнения и способы дышать, что эффективно облегчает дыхание.
- Медикаментозное лечение включает использование глюкокортикостероидов в комбинации с цитостатиками.
- Обязательным элементом терапии лечение изжоги. Изжога – это состояние и жалоба вызванная забросом кислоты из желудка в пищевод. Попадание кислоты в глотку, а затем в трахею может усилить симптомы ИЛФ. Если с изжогой удается справиться, то и развитие ИФЛ замедлиться.
- Пересадка легкого – это серьезное хирургическое вмешательство, при котором заменяется одно или оба легких. В Москве уже успешно проводятся эти сложные операции. Операция по пересадке легких становится возможной при соблюдения ряда условий.
- Важную роль в профилактике обострений при ИЛФ играют профилактическая вакцинация от гриппа и пневмоний. Ваш доктор всегда поможет Вам выбрать правильную вакцину и сроки ее проведения.
Клинические испытания препаратов для лечения ИФЛ активно ведутся во всем мире, но пока средство не найдено и медицина бессильна в радикальном решении проблемы медикаментозным путем.
Источник:
Идиопатический легочный фиброз
Идиопатический легочный фиброз (ИЛФ) — это тип заболевания легких, приводящее к образованию рубцов (фиброзу) легких по неизвестной причине. Со временем рубцы усиливаются, больному становится трудно сделать глубокий вдох, а легкие не могут впитать достаточное количество кислорода.
ИЛФ является формой интерстициального заболевания легких, в основном вовлекающего интерстиций (ткани и пространство вокруг воздушных мешков легких), и не затрагивающего непосредственно дыхательные пути или кровеносные сосуды. Существует много других видов интерстициальных заболеваний легких, которые также могут вызывать воспаление и/или фиброз.
Причины идиопатического легочного фиброза
Причина идиопатического фиброза легких до конца не выяснена. Никто не знает, что вызывает заболевание или почему некоторые люди ею болеют. Общие факторы риска ИЛФ включают:
- Генетика (семейный анамнез): до 20% людей с ИЛФ имеют другого члена семьи с интерстициальным заболеванием легких. Если у более чем одного члена семьи есть ИЛФ, болезнь называется семейным фиброзом легких.
- Курение сигарет: Приблизительно 75% людей с ИЛФ являются нынешними или предыдущими курильщиками.
- Кислотный рефлюкс (гастроэзофагеальная рефлюксная болезнь [ГЭРБ]): приблизительно у 75% людей с ИЛФ наблюдаются симптомы кислотного рефлюкса или изжоги.
- Мужской пол: Приблизительно 75% пациентов с ИЛФ — мужчины.
- Возраст: почти все пациенты с ИЛФ старше 50 лет
Диагностика
Идиопатический легочный фиброз может быть трудно диагностировать, поскольку многие заболевания легких могут вызывать одышку и кашель, а некоторые из этих других заболеваний могут иметь схожие симптомы и результаты рентгенологического исследования. Больному, возможно, придется обратиться к нескольким специалистам, включая пульмонологу, чтобы помочь с диагнозом.
- Врач задаст пациенту вопросы о домашнем и рабочем окружении, истории курения и истории болезни. Это поможет ему определить, были ли какие-либо экологические, профессиональные, генетические или другие факторы, которые могли быть связаны с развитием легочного фиброза.
- Врач проведет физический осмотр легких, а также осмотрит другие части тела, включая сердце, суставы, ногти, кожу и мышцы.
Хотя ни один тест не может диагностировать идиопатический легочный фиброз, врач может порекомендовать ряд различных тестов, включая:
- Тест легочной функции (ТЛФ): ТЛФ, или дыхательный тест, является простым тестом, чтобы измерить, сколько воздуха человек может вдохнуть и выдохнуть, и насколько легкие могут поглощать кислород.
- Тест 6-минутной ходьбы: Тест помогает определить физическую форму пациента, а также количество кислорода в крови в покое и при физической активности.
- Рентгенография грудной клетки: Рентгенография грудной клетки — это простое проекционное рентгенографическое исследование грудной клетки, которые могут быть использованы для выявления интерстициальных заболеваний легких и иногда могут быть полезны для контроля за прогрессированием заболевания.
- Анализы крови: Для определения других причин интерстициального заболевания легких может потребоваться ряд анализов крови.
- Компьютерная томография (КТ): Методы диагностики, дающие полную картину состояния организма, показывает наличие рубцов в легких и помогает определить подтип интерстициального заболевания легких.
- Бронхоскопия. Бронхоскопия — это процедура, при которой небольшая гибкая трубка, называемая бронхоскопом, вводится через рот или нос в легкие. Процедура не обязательна для диагностики, но некоторые пациенты с возможным ИЛФ проходят эту процедуру, чтобы помочь идентифицировать наличие инфекции или предложить другие подтипы интерстициального заболевания легких.
- Хирургическая биопсия легкого. Пациенты с неясным диагнозом иногда подвергаются хирургической биопсии легкого, проводимой хирургом под общим наркозом. Этот анализ включает в себя небольшие разрезы на боковой поверхности грудной клетки, что позволяет удалить легочную ткань и исследовать ее в лаборатории под микроскопом.
Изменения образа жизни
ИЛФ является необратимым, прогрессирующим заболеванием. Поэтому важно выучить хорошие навыки преодоления трудностей и узнать как можно больше о болезни.
- Бросить курить — это самая важная вещь, которую вы можете сделать, чтобы помочь замедлить прогрессирование любого заболевания легких.
- Делайте прививку от гриппа каждый год.
- Спросите своего врача о прививке от пневмонии.
- Держитесь подальше от людей с инфекциями грудной клетки и простудой.
- Мойте руки тщательно и часто.
Кислородный аппарат для дыхания в домашних условиях
Рубцы в легких могут предотвратить поглощение кислорода в теле. Низкий уровень кислорода может вызвать одышку и усталость.
Если уровень кислорода в крови слишком низкий, врач может назначить дополнительный кислород (кислородный аппарат для дыхания в домашних условиях). Это помогает уменьшить одышку и может помочь быть более активным.
Некоторые люди с идиопатическим легочным фиброзом могут нуждаться в кислородной терапии все время, в то время как другие могут нуждаться в ней только во время физических упражнений или сна.
https://youtube.com/watch?v=fBped9hffwA
Если врач назначит дополнительный кислород, важно использовать его по назначению. Многие пациенты боятся, что они станут «зависимыми» от дополнительного кислорода.
Дополнительный кислород не вызывает привыкания, и тело нуждается только в необходимом количестве для поддержания нормальных функций организма.
Люди, которые принимают дополнительный кислород, должны продолжать принимать и лекарства.
Не каждый, у кого есть ИЛФ, должен быть на кислородном аппарате. Как правило, кислородная терапия может помочь только людям с очень низким уровнем кислорода в крови (гипоксемия). Чтобы узнать, нужен ли вам дополнительный кислород, поговорите со своим врачом.
Лекарственные препараты
Нет лекарств, что излечили бы ИЛФ или уменьшили бы количество рубцов в легких. Однако, некоторые лекарства помогают замедлить прогрессирование легочного фиброза.
Очень трудно найти лекарства, которые подойдут всем с ИЛФ. Лекарства от идиопатического легочного фиброза вызывают побочные эффекты у некоторых пациентов, поэтому важно поговорить с врачом о возможных рисках.
Как и в случае с любым лекарством от любого заболевания, больному следует поговорить с врачом о других различных вариантах лечения и спросить о побочных эффектах лекарства.
Пирфенидон.
Пирфенидон — препарат против рубцов (антифиброзный), замедляющий прогрессирование ИЛФ. Некоторые пациенты, принимающие пирфенидон, имеют побочные эффекты, чаще всего расстройство желудка и кожную сыпь, особенно при нахождении на солнце. Пирфенидон был одобрен для лечения ИЛФ от легкой до умеренной степени тяжести.
Нинтеданиб.
Нинтеданиб — препарат против рубцов (антифиброзный), который замедляет прогрессирование ИЛФ. У некоторых пациентов, принимающих нинтеданиб, наблюдаются побочные эффекты, чаще всего диарея.
Кортикостероиды (таблетки).
Кортикостероиды (например, Преднизон) могут уменьшить воспаление в легких, подавляя иммунную систему. Кортикостероиды используются только у пациентов с ИЛФ, которые имеют острое обострение фиброза легких, и могут быть вредными пациентам с ИЛФ, у которых рубцы стабильны или медленно ухудшаются.
N-ацетилцистеин (перорально или в виде аэрозоля).
N-ацетилцистеин (АЦЦ, Мукомист) является антиоксидантом, который часто используется у пациентов с ИЛФ. Однако большое клиническое исследование, опубликованное в мае 2014 года, показало, что ацетилцистеин не замедляет прогрессирование заболевания.
Легочная реабилитация
Легочная реабилитация — это программа упражнений и обучения, разработанная специально для пациентов с заболеваниями легких. Легочная реабилитация может помочь обучить пациентов с ИЛФ тому, как более эффективно дышать и выполнять свою повседневную деятельность с меньшим дыханием.
Хотя большинство программ легочной реабилитации предназначены для людей с ХОБЛ (эмфизема и хронический бронхит), они отлично помогают людям с идиопатическим легочным фиброзом.
Пересадка легких
Трансплантация легких подходит не всем, но для некоторых людей это может быть вариант лечения. Важно поработать с врачом, чтобы выяснить, подходит ли вам пересадка легких.
Если человек имеет право на пересадку легкого, его помещают в лист ожидания для донорства органов. Ожидание может быть долгим, а операция — рискованной. Люди, которым пересадили органы должны принимать лекарства против его отторжения (иммунодепрессанты) остальную часть их жизни.
Прогноз
Идиопатический легочный фиброз предвещает плохой прогноз. Что касается ожидаемой продолжительности жизни при идиопатическом фиброзе легких, предполагаемая средняя выживаемость составляет 2-5 лет с момента постановки диагноза. По оценкам, смертность составляет 64,3 смертей на миллион среди мужчин и 58,4 смертей на миллион среди женщин.
Смертность среди пациентов с ИЛФ увеличивается с возрастом, у мужчин она выше, чем у женщин, и подвержена сезонным колебаниям, причем самые высокие показатели смертности наблюдаются зимой, даже если исключены инфекционные причины.

Наиболее распространенные причины смерти пациентов с ИЛФ включают острые обострения идиопатического легочного фиброза, острые коронарные синдромы, застойную сердечную недостаточность, рак легких, инфекционные причины и венозную тромбоэмболическую болезнь.
Источник:
Идиопатический легочный фиброз (симптомы, причины, лечение, продолжительность жизни) — Новости — 2020
- Идиопатический легочный фиброз (IPF) представляет собой специфическую форму прогрессирующего фиброзирующего интерстициального заболевания легких, которое может вызвать пневмонию.
- Ожидаемая продолжительность жизни для идиопатического легочного фиброза составляет от 2 до 5 лет.
У людей, у которых есть трансплантат легких, уровень смертности составляет от 50 до 56% через пять лет, поэтому прогноз идиопатического легочного фиброза обычно справедлив для бедных. Людям с болезнью легких и их семьям настоятельно рекомендуется связаться с группами поддержки, включенными в эту информацию.
- Этапы идиопатического легочного фиброза не стандартизированы, но некоторые системы постановки предназначены для включения определенных критериев: традиционно идиопатический легочный фиброз был поставлен как умеренный, умеренный или тяжелый.
- Симптомы идиопатического легочного фиброза включают шестимесячную историю
- одышка и / или кашель,
- усталость,
- мягкие лихорадки,
- потеря веса,
- совместный дискомфорт,
- боли в мышцах,
- клубы,
- отек лодыжки и
- в некоторых пациентах, ропот сердца.
- Идиопатический легочный фиброз не имеет известной причины.
- Врачи, которые лечат идиопатический фиброз легких, являются врачами первичной медико-санитарной помощи, пульмонологами, гастроэнтерологами и хирургами-трансплантатами.
- Диагноз идиопатического легочного фиброза является одним из исключений других интерстициальных заболеваний легких.
Кроме того, высокоточная компьютерная томография (компьютерная томография) и хирургическая биопсия ткани легкого помогают подтвердить диагноз.
- Лечение идиопатического легочного фиброза может включать медикаменты, вспомогательную терапию и / или трансплантацию легких.
- Рекомендации многих организаций рекомендуют использовать пирфенидон (Esbriet) и nintedanib (Ofev).
- Трансплантация легких — это вариант лечения, который показывает преимущества выживания по сравнению с медикаментозной терапией.
- Поскольку идиопатический легочный фиброз является идиопатическим (неизвестной причины), исследователи не уверены, как предотвратить заболевание, но предполагают, что избегать курения и снижения или устранения воздействия токсинов или паров, которые могут повредить легкие, может снизить риск идиопатического легочного фиброза.
Идиопатический легочный фиброз (IPF) определяется как специфическая форма прогрессирующего фиброза, которая вызывает интерстициальную пневмонию, обычно у пожилых людей, и ограничивается легкими. Фибротическая (рубцовая) ткань развивается в дыхательных путях легких, что затрудняет организму получение необходимого ему кислорода. Идиопатический легочный фиброз отличается от легочного фиброза тем, что причина неизвестна, тогда как известны причины легочного фиброза. Хотя и не очень распространенный, идиопатический легочный фиброз считается изнурительным, неизлечимым и конечным, многими медицинскими работниками и исследователями.
Симптомы идиопатического легочного фиброза не являются специфическими и подобны многим другим типам заболеваний сердца легких.
Большинство людей с заболеванием имеют примерно 6-месячную или более историю одышки и / или непроизводительного кашля.
Около 5% людей с идиопатическим легочным фиброзом не имеют симптомов, и заболевание диагностируется, когда он или она подвергается обследованию на другие медицинские проблемы.

Признаки и симптомы, которые могут возникнуть у некоторых людей с идиопатическим легочным фиброзом, следующие:
- Шесть месяцев или больше история одышки и / или кашель
- Усталость
- Легкие лихорадки
- Потеря веса
- Совместное дискомфорт
- Боли в мышцах
- Клубничество или увеличение пальцев
- Опухоль лодыжки
- Сердечный шум (трикуспидальная регургитация)
Что вызывает идиопатический фиброз легких?
Включение слова «идиопатический» означает, что этот тип фиброза имеет неизвестную причину.
Текущие гипотезы включают воздействие какого-либо типа агента (например, пыль окружающей среды, вирусная инфекция, рефлюкс, аспирация содержимого желудочно-кишечного тракта и др.), Что приводит к альвеолярному повреждению в легких.
Исследователи далее предполагают, что в попытке восстановить повреждение альвеолы, фиброз и рубцевание легких, чтобы произвести в конечном итоге клинический фиброз легких.
Стационарные системы для идиопатического легочного фиброза могут помочь медицинским работникам и исследователям лучше определить состояние здоровья своих пациентов. Однако для идиопатического легочного фиброза система постановки постоянно переопределяется.
Например, первые системы постановки традиционно считали болезнь легкой, умеренной или тяжелой, в то время как другие считали этапы ранними или продвинутыми. Этапы относительно условны и свободно основаны на тестах на функции легких. К сожалению, нет стандартизированных определений для легкого, умеренного и тяжелого идиопатического легочного фиброза.
Несмотря на произвольность, эти системы постановки дают медицинским работникам основу для диагностики и лечения пациентов с идиопатическим легочным фиброзом.
Например, некоторые врачи рассматривают лечение пирфенидоном для легкой и умеренной болезни и трансплантацию легких при тяжелом идиопатическом легочном фиброзе.
Существуют исследователи, которые разработали новые системы лечения идиопатической легочной фиброзы, основанные на других критериях, таких как возраст, госпитализация, базовая функция легких и 24-недельное изменение функции, в то время как другие исследователи выбирают другие параметры, такие как различные физиологические измерения легких. Пациент и их врач (ы) могут обсудить, какую систему постановки они предпочитают использовать.
Существует ли тест на диагностику идиопатического легочного фиброза?
Диагноз идиопатического легочного фиброза несколько затруднен. Это диагноз исключения других известных причин интерстициальных заболеваний легких, включая воздействие на окружающую среду и наркотики.
В настоящее время нет лабораторных исследований, которые могут в конечном счете диагностировать идиопатический фиброз легких; однако до 30% людей с идиопатическим легочным фиброзом могут иметь положительные тесты на антиядерные антитела и / или ревматоидный фактор.
Высокомощная компьютерная томография (HRCT) несколько более специфична и чувствительна к диагнозам идиопатического легочного фиброза, хотя и не является окончательной, то же самое верно для легочных функциональных тестов.
Тем не менее, повторные тесты функции легких, которые показывают снижение в течение шести месяцев, когда они учитываются с другими неспецифическими данными, добавляют к возможному диагнозу.
Тем не менее, картина обычной интерстициальной пневмонии (UIP) на HRCT требует четырех особенностей для диагностики интерстициальной пневмонии:
- Приземное, базальное преобладание прозрачности стального стекла
- Ретикулярные аномалии
- Соты с или без тягового бронхоэктаза
- Отсутствие признаков, перечисленных как несовместимое с UIP
Бронхоскопия и хирургическая биопсия легких также используются, чтобы помочь различать UIP и идиопатический фиброз легких. Следовательно, новейшие диагностические критерии идиопатического легочного фиброза требуют:
- Исключение других известных причин интерстициального заболевания легких (воздействие на окружающую среду, заболевание соединительной ткани и / или токсичность лекарств)
- Наличие описанной выше схемы UIP на HRCT у пациентов, не подвергшихся хирургической биопсии
- Конкретные комбинации HRCT и хирургических образцов биопсии легких у пациентов, подвергшихся хирургической биопсии легких
Рекомендации по лечению идиопатического легочного фиброза
Лечение идиопатического легочного фиброза зависит от стадии заболевания и обычно начинается с медицинского лечения, поддерживающих мероприятий и, возможно, хирургической трансплантации легких.
Часто во время легкой и умеренной болезни начинается медицинское обслуживание.
Однако идиопатический легочный фиброз иногда прогрессирует быстро, поэтому, если диагностирован идиопатический фиброз легких, хирург-трансплантат следует проконсультироваться раньше, так как человек с IPF может в конечном итоге потребовать трансплантацию легкого.
Рекомендации по лечению идиопатического легочного фиброза были опубликованы несколькими учреждениями, включая американские, европейские, японские, латиноамериканские торакальные общества и / или ассоциации. Ниже приводится сокращенное резюме этих рекомендаций:
- Они условно рекомендуют использовать пирфенидон и нинтаданиб, одобренные FDA в 2014 году.
- Они не условно рекомендуют использовать иматиниб (Gleevec), варфарин (Варфарин, Джантовен), комбинацию преднизона с N-ацетилцистеином и несколько других препаратов.
- Они условно рекомендуют антикислотные препараты даже у пациентов с идиопатическим легочным фиброзом без симптомов рефлюкса.
- Поощряйте пациента бросить курить.
- Поощрять вакцинацию против гриппа и пневмококковых инфекций.
- Они предлагают пациентам с гипоксемией (низкий уровень кислорода в крови, например, пульсоксиметрия, измеренная менее 88%) используют кислородную терапию для поддержания насыщения не менее 90% во время всех видов деятельности, включая сон.
Пациенты должны обсудить со своими врачами, как лучше всего лечить эту прогрессирующую болезнь на индивидуальной основе.
Трансплантация легких рассматривается, когда у пациента развивается тяжелая стадия (также называемая конечной стадией) идиопатического легочного фиброза.
Трансплантация легких действительно дает преимущество в плане выживания в связи с медикаментозной терапией.
Идиопатический легочный фиброз теперь заменил хроническую обструктивную болезнь легких (ХОБЛ) как наиболее распространенную причину трансплантации легких в США.
Любой пациент с идиопатическим легочным фиброзом следует отнести к хирургу-трансплантату, чтобы определить раннее, если пациент может соответствовать критериям для трансплантации легкого. Некоторые люди могут претендовать на однократную или двойную трансплантацию легкого. Сообщенные пятилетние показатели выживаемости при трансплантации легких составляют от 50 до 56%.
Критерии трансплантации несколько меняются, поэтому важно, чтобы пациент и медицинская бригада (врач первичной медико-санитарной помощи, пульмонолог и хирург-трансплантат) согласились с потенциальными критериями для отдельного пациента.
Какова продолжительность жизни и прогноз для человека с идиопатическим легочным фиброзом (IPF)?
Идиопатический легочный фиброз имеет плохой прогноз. Среднее время выживания или «продолжительность жизни» составляет от 2 до 5 лет с момента постановки диагноза.
Чаще всего человек испытывает острое обострение идиопатического легочного фиброза, а затем умирает из-за болезни.
У лиц с IPF, которые проходят трансплантацию легких, уровень смертности составляет от 50 до 56% через пять лет, поэтому трансплантация может увеличить продолжительность жизни у некоторых людей с этим заболеванием.
Какие специальности врачей лечат идиопатический фиброз легких?
Хотя врачи первичной медико-санитарной помощи помогают управлять пациентами с идиопатическим легочным фиброзом, обычно с пульмонологом (специалистом по лечению) консультируются во время диагностики и лечения идиопатического легочного фиброза.
Некоторые врачи предполагают, что хирург с трансплантацией легких консультируется, когда у пациента диагностируется идиопатический фиброз легких, если нет противопоказаний (пересадка легких может быть более вредной для некоторых людей) для трансплантации.
Из-за высокой распространенности гастроэзофагеального рефлюкса (ГЭРБ) у пациентов с идиопатическим легочным фиброзом можно проконсультироваться с гастроэнтерологом.
Можно ли предотвратить идиопатический легочный фиброз?
Поскольку идиопатический легочный фиброз является «идиопатическим», профилактика затруднена. Тем не менее, многие медики-специалисты и исследователи теоретизируют, что риск идиопатического легочного фиброза может быть снижен у некоторых людей, если они бросят курить, а также уменьшают или устраняют их воздействие на токсины или пары, которые могут повредить легкие.
Поддержка семей и друзей
Источник:
