Рентгенологическое исследование легких – доступный и информативный метод диагностики

Легкие выступают одним из частых объектов рентгенологического исследования.
Множество опасных заболеваний бронхолегочной системы протекают без каких-либо симптомов, и их затруднительно выявить на ранней стадии обычным осмотром.
Рентген легких позволяет получить черно-белое изображение органов грудной клетки, с помощью которого специалист имеет возможность увидеть патологические изменения и подобрать подходящее лечение.
Врач изучает рентгеновский снимок легких
Рентгенография легких получила широкое распространение за счет высокой информативности и низкой стоимости метода. Исследование незаменимо в терапевтической, пульмонологической, фтизиатрической, онкологической практике и в области торакальной хирургии.
Рентген легких значительно упрощает выявление пневмоний и плевритов различного происхождения, злокачественных образований на ранней стадии развития, метастазирования в легкие и бронхи, а также пневмотораксов, туберкулеза, признаков системных заболеваний (волчанки, саркоидоза и других) и профессиональных изменений органов дыхания (антракоз, силикоз).
Показания к рентгену легких
Рентген легких назначают при наличии следующих симптомов у пациента:
- Длительный не проходящий кашель.
- Упорный подъем температуры тела до субфебрильных цифр.
- Лихорадочное состояние неясной этиологии.
- Усиленное потоотделение в ночные часы.
- Отделение мокроты с прожилками крови.
- Одышка, синюшность кожных покровов.
- Травмы грудной клетки.
Помимо диагностики имеющихся патологий, рентген органов дыхания ежегодно проводят в качестве профилактической меры у населения, попадающего в группу риска. В нее входят работники вредного производства – шахтеры, каменщики, труженики химического предприятия; люди, проживающие в неблагоприятных экологических условиях и родственники больных туберкулезом.
Рентгенологическое исследование легких выявляет следующие патологии:
- Воспаление легких (пневмония).
- Пневмоторакс/гидроторакс (скопление воздуха/жидкости в плевральной полости).
- Хронические заболевания легких – силикозы, саркоидоз, системная красная волчанка.
- Туберкулез.
- Злокачественные и доброкачественные новообразования.
Именно с помощью рентгена возможно раннее выявление серьезных заболеваний, что в несколько раз повышает успешность лечения и снижает вероятность развития негативных последствий.
Однако важно учитывать, что рентгенография не дает 100% верный результат – в некоторых случаях снимки показывают ложноотрицательный результат, что чаще всего связано с неверно выбранной позой пациента в процессе сканирования или же патологический очаг имеет слишком маленькие размеры. В таких случаях для уточнения диагноза врач может направить пациента на компьютерную томографию, имеющую более высокую точность, чем рентген легких.
Подготовка и методика проведения
Рентген-лаборант готовит кабинет к работе
Обычно перед прохождением процедуры рентгенографии легких пациент посещает врача – терапевта или пульмонолога, который и направляет его на это обследование.
Подготовку накануне исследования проводить не нужно. Непосредственно перед процедурой следует снять все металлические предметы и украшения с головы и шеи, так как они могут исказить конечный результат.
Сама процедура сканирования не занимает много времени – пациент раздевается по пояс и занимает необходимое положение, которое зависит от выбора проекции. Чаще всего используется передняя или задняя проекция.
Пациент в ходе процедуры стоит на ногах лицом к пленке (для получения снимков в прямой проекции) или же спиной к ней (задняя проекция). В некоторых случаях, при особых показаниях, положение тела меняется.
Например, для диагностики пневмоторакса снимки делают в положении лежа на боку.
Сроки получения результатов зависят от вида аппарата, на котором происходило сканирование.
Современные устройства оснащены цифровыми регистраторами, за счет чего процесс получения снимков занимает несколько секунд – они просто отображаются на экране. Аппараты старого образца для выведения изображения используют рентгеновскую пленку, поэтому для проявления снимков требуется некоторое время.
Расшифровка результатов исследования
Анализом полученных изображений занимаются квалифицированные специалисты, так как человеку без специального образования трудно отличить норму от патологии.
Существуют определенные критерии и алгоритм описания рентгеновских снимков, пользуясь которыми врачи подробно расписывают состояние каждого анатомического образования.
Признаков, по которым можно диагностировать патологию, много, но выделяют три самых главных – просветление легочного поля или отдельной части, затемнение легочного поля или части и изменение корневого и легочного рисунка.
Просветление легочных полей – о чем говорит?
Участки просветления на снимке появляются в результате повышенной воздушности легочной ткани. Такие изменения нередко сопровождают пневмоторакс (попадание воздуха в плевральную полость), эмфизему (уменьшение количества ткани с увеличением количества воздуха в этой области), низкого притока крови к легкому (малокровие), который нередко сопровождает врожденные пороки сердца.
Затемнение легочных полей
Затемненные участки легочной ткани на снимках вызваны уплотнением мягких тканей, что приводит к снижению или полному отсутствию воздушности.
Очаги уплотнения сильнее поглощают рентгеновские лучи, за счет чего на фоне светлых легочных полей появляются тени, или, говоря языком рентгенологов, участки затемнения.
Такие изменения на рентгеновских снимках характерны для многих заболеваний бронхолегочной системы, при этом от величины поражения зависит форма и объемы затемнения. Тень по всему объему легкого чаще всего сопровождает ателектаз легкого и закупорку главного бронха.
Изменение корневого и легочного рисунка
Изменение рисунка легких – также часто встречающийся патологический симптом. Зачастую он сопровождается нарушением структуры корней легкого. Корни легкого – анатомические образования, включающие в себя главный бронх, легочную вену и легочную артерию.
Признаки пневмоний на рентгеновских снимках
Острое воспаление легких всегда сопровождается инфильтрацией мягких тканей. В зоне воспаления происходит заполнение альвеол экссудатом, в связи с чем снижается воздушность легких, а патологически измененные участки интенсивнее поглощают рентгеновские лучи.
Рентгеновское исследование является основным способом диагностики пневмоний, так как оно позволяет выявить степень распространения воспалительного процесса, интенсивность изменений в корнях легких, плевре и диафрагме.
Помимо этого, рентгенография помогает своевременно обнаружить осложнения и проконтролировать эффективность лечебных процедур.
Хронические бронхиты
Хронические бронхиты – достаточно распространенная патология, выражающаяся в выраженном воспалительном процессе в бронхиальном дереве различной этиологии. Рентгенологическими признаками бронхитов выступают:
- Изменение структуры корня легкого.
- Корень расширенный и расплывчатый.
- Легочный рисунок усиленный и измененный.
- Стенки бронхов утолщены.
Туберкулез легких
Существует несколько форм туберкулеза легких:
- Диссеминированный туберкулез – на снимках видны многочисленные мелкие очаги затемнения размером до 2 мм с четкими контурами.
- Очаговый туберкулез – на рентгенограмме определяется один или несколько очагов размерами до 2 см. Очаги чаще всего округлой формы, нередко несколько очагов сливаются в один.
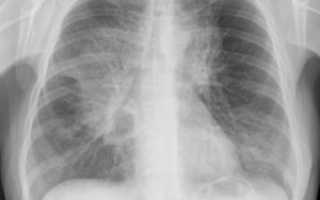
Очаговый туберкулез на рентгенограмме
- Инфильтративный туберкулез – на снимке легких выявляются очаговые или распространенные затемнения с неровными контурами. Чаще всего очаги инфильтрации располагаются в верхних долях легких, при этом от пораженного участка нередко прослеживается «дорожка», идущая к корню легкого.
- Кавернозный туберкулез – признаком распада легочной ткани является очаговое затемнение с ярко выраженным просветлением в центре очага.
- Казеозная пневмония – это одна из самых тяжелых форм заболевания. Рентгенографически она определяется массивным затемнением одой доли или нескольких, однородной структуры с постепенным переходом в негомогенную по мере распада легочной ткани.
Рентгенография при раке легкого
Рентгенологических признаков рака легкого, как и его клинических симптомов, множество, и в некоторых случаях их достаточно сложно выявить. Основным изменением на рентгене являются участки затемнения, отражающие основные элементы патологического процесса:
- Первичный опухолевый очаг, имеющий разнообразные характеристики в зависимости от исходной локализации новообразования — существуют центральные и периферические формы рака легких. В зависимости от типа роста опухоли делят на узловые, инфильтрирующие и разветвленные.
- Внутригрудные метастазы.
- Вторичные патологические изменения – бронхоэктазии, ателектаз, пневмонит, плеврит, пневмосклероз.
Рентгенологические признаки центрального рака проявляются не на ранней стадии, а только после прорастания в бронхиальное дерево; в этом случае нарушается проходимость бронха и на снимке это отражается картиной ателектаза или эмфиземы. Периферический рак характеризуется появлением очагов округлой или неправильной овальной формы различных размеров, с гомогенной структурой и четкими контурами.
Рентген легких – информативный метод, позволяющий врачам своевременно выявить тяжелые заболевания и предотвратить развитие опасных осложнений.
Источник:
Что показывает рентген легких и бронхов

Рентгенография – широко известный метод диагностики, используемый с целью оценки состояния внутренних органов и костной системы. В этой статье мы рассмотрим, что показывает рентген легких и бронхов, что можно увидеть на снимках, как проходит процедура и когда назначается.
Рентген легких у взрослых может показать практически все серьезные патологии на ранней стадии. Диагностика выявляет следующие заболевания: эмфизему, пневмонию, плеврит, раковые опухоли и другие новообразования, бронхит, спайки в лёгких, туберкулез, отек легких, саркоидоз, абсцесс легкого, фиброз лёгких.
На рентгене видно тень и просветление, так как снимок является негативом пленки. Тень указывает на уплотненные области легких, а белые пятна указывают на скопление воздуха или жидкости. Для получения полной картины процедуру проводят в двух или трех проекциях (прямая, косая, боковая). Туберкулез на рентгене лёгких хорошо виден на самой ранней стадии.
Диагностика позволяет определить локализацию очага и область распространения в тканях.
Покажет ли рентген воспаление легких, бронхит и насколько целесообразен при пневмонии?
В первую очередь рентгенография легких назначают именно при подозрении на пневмонию, онкологию или туберкулез. Многие приравнивают воспаление легких к бронхиту и считают, что при данном заболевании также показан рентген.
На самом деле сканирующие лучи не отображают непосредственно бронхи. Диагностировать бронхит по снимку невозможно, но можно предположить этот диагноз по косвенным признакам.
Например, по присутствию отёка легкого, изменению его формы, деформации ткани, расположению просветов.
Рентген показал затемнение в легких что это может означать?
Тень в лёгком может указывать как на опасные лёгочные болезни, так и на бракованную пленку. Не стоит впадать в панику, ведь рентгенография является дополнительной диагностикой и по одному снимку никогда не ставят диагноз. Затемнение на пленке выглядит как белое пятно, происхождение которого может быть вызвано множеством причин.
Для правильного описания врачи-рентгенологи используют классификаций теней по размерам, локализации, степени уплотнения и даже геометрической форме. Например, треугольная форма указывает на осумкованный плеврит или ателектаз. Пятно может быть тотальным, очаговым, сегментарным, субтотальным. Также важно учитывать местоположение, которое может быть лёгочным или внелёгочным.
Любые новообразования, будь то опухоль, киста или абсцесс также дают тень. Уплотнение ткани в легких означает воспалительный процесс. Затемнения вне лёгких могут означать наличие жидкости, аневризму аорты, увеличение лимфоузлов, возможно опухоли позвоночника, пищевода и другие патологии органов грудной клетки.
Для правильного описания снимка необходимо знание всевозможных форм заболеваний и большой практический опыт. Для уточнения диагноза необходимо провести другие обследования и осмотр пациента. Рентгенография выступает дополнительным инструментом получения данных. Пневмосклероз на рентгене — что это значит для тех, у кого в заключении описан этот диагноз.
К сожалению, данное заболевание необратимо и требует пожизненного наблюдения у врача. Такая патология выражается в том, что легочная ткань деформируется и утрачивает способность наполнять альвеолы воздухом, а значит в них не происходит газообмен. Основной причиной болезни является длительное влияние инфекции в организме.
На ранней стадии заболевание протекает без выраженных симптомов, но на флюорографии пневмосклероз будет прекрасно виден и обнаружен. При наличии подозрительных симптомов следует обратиться к врачу, не дожидаясь ежегодной диспансеризации.
https://youtube.com/watch?v=-5Wbi0kt5qI
Показания для прохождения диагностики: длительный кашель, одышка, присутствующая независимо от физической нагрузки, присутствие крови или гноя в мокроте, болевые ощущения при вдохе или выдохе, боли в грудной клетке без видимых причин.
Если вас беспокоит какая-то проблема со здоровьем, запишитесь на диагностику. Успех лечения зависит от правильно поставленного диагноза.
Как проводится процедура?
Как делают рентген легких знают все, кто хоть раз проходил флюорографию. Процедура проводится абсолютно таким же способом.
Пациент освобождает верхнюю половину тела от украшений и одежды, плотно прижимается грудью или спиной к аппарату и задерживает дыхание на момент снимка. Процедура занимает не более пяти минут и не доставляет дискомфорта.
Рентгенолог приступает к описанию сразу же и отдает результат на руки больному. Далее снимок можно показать своему лечащему врачу или любым другим специалистам при необходимости.
Сколько раз в год можно делать рентгенографию зависит от преследуемых целей обследования. Обычно рекомендуется проходить данную диагностику не чаща двух раз в год. Можно ли часто делать и насколько вреден рентген легких зависит от нескольких факторов.
Необходимо учитывать возраст пациента, уровень излучения рентген аппаратом и самое главное, показания для проведения обследования. При заболеваниях, угрожающих жизни, вред от излучения будет наименьшим злом для больного, но большим шансом на эффективное лечение.
Опасность рентгена легких при родинках на коже безосновательна, так как доза облучения безопасна для здоровья. Если у вас большая родинка в области обследования, предупредите об этом врача, чтобы он учитывал вероятность тени от нее на снимке.
Противопоказаний диагностика не имеет, но есть ограничения по возрасту. Крайне нежелательно проводить процедуру детям до 14 лет.
Подготовка к исследованию
Подготовки не требуется, но вопросы можно ли курить перед рентгеном и можно ли есть перед рентгеном остаются актуальны для многих людей. Курение никак не изменит результат обследования, а вот кушать не стоит слишком обильно, так как при полном желудке диафрагма немного смещается вверх, следовательно, результат на снимке может быть искажен.
В чем разница кт и рентгена легких?
Кроме рентгенографии исследование легких делается на компьютерном томографе.
При выборе метода диагностики возникают вопросы что лучше КТ или рентген легких? Принцип исследования остается прежней, просвечивание органов рентгеновскими лучами, но рентген дает снимок в одной плоскости, а КТ позволяет получить трехмерное изображение.
Что точнее рентген или КТ лёгких? Компьютерная томография дает возможность изучить органы грудной клетки более детально. Преимуществом томографии является информативность, недостатком – высокая доза облучения. Целесообразность в каждом случае определяет врач, учитывая индивидуальные обстоятельства и показания.
Делать рентген легких в профилактических целях рекомендуется один раз в год. Людям входящих в группу риска рекомендовано проходить обследование дважды в год. К такой категории относятся сотрудники медицинских учреждений, люди, имеющие в анамнезе хронические заболевания такие как гепатит, ВИЧ, астма и те, кто контактирует с больными туберкулёзом.
Источник:
Рентген легких: показания к проведению, оценка вредности и особенности процедуры

Флюорография много лет включена в программу обязательной диспансеризации. Процедура отличается технической простой и является низкозатратным профилактическим методом обследования. Однако в последние годы все чаще врачи отказываются от флюорографии в пользу рентгена. Почему? В чем особенность рентгенографического исследования? Рассмотрим вопрос подробно.
Чем отличается рентген легких от флюорографии?
Рентгенологическое исследование грудной клетки является информативным и подробным обследованием. Оно позволяет диагностировать:
- туберкулез;
- травмы груди;
- пневмоторакс;
- пневмокониозы;
- патологии сердечной мышцы;
- тромбоэмболию (ТЭЛА);
- наличие инородных предметов;
- заболевания органов кроветворения;
- воспалительные заболевания плевры;
- паразитарные заболевания грудной клетки;
- скопление жидкости в плевральной полости;
- опухолевые и воспалительные процессы в легких, бронхах, трахее.
Принцип получения снимка с помощью рентгеновских лучей основан на разнице поглощения радиоактивных частиц тканями организма. Так, богатые кальцием кости скелета задерживают максимальное количество Х-лучей.
Вследствие этого на полученном изображении костные ткани выглядят самыми яркими. Жир, мышцы, жидкости и соединительная ткань поглощают меньше рентгеновского излучения. Поэтому на снимке они отображаются градациями серого. Воздух пропускает сквозь себя максимум рентгеновских лучей.
Из-за этого заполненные им полости смотрятся наиболее темными.
Но в чем же разница между классической флюорографией и рентгеном ? Казалось бы, принцип диагностики един и отличий быть не должно, но они есть и обусловлены различиями технологий получения изображений. Прежде всего, каждый человек, направляющийся в рентген-кабинет, должен знать, что:
- при флюорографическом обследовании небольшие размеры патологии видны только как малозаметные нити, поэтому при появлении малейших подозрений назначается рентген. Таким образом, сегодня флюорография относится скорее к профилактическим методам исследования;
- рентген позволяет получать изображение с разрешением на порядок выше, благодаря этому их можно увеличивать до огромных размеров;
- доза облучения, полученная при рентгене, меньше в несколько раз.
Традиционная флюорография признана устаревшим методом и во многих странах уже не применяется. Тогда как рентгенография – более точный метод диагностирования, позволяющий не только выявить патологические процессы на ранних стадиях, но и оперативно отслеживать их изменение. Однако цена рентгена в несколько раз выше классического флюорографического анализа.
Показания к проведению рентгена и флюорографии
Поводом для рентгенографии могут послужить разные симптомы. Основные из них – это боль в легких, сухой кашель, кровохарканье, общая слабость и беспричинная потеря веса.
Обратите внимание!
Категорических противопоказаний для прохождения рентгена легких нет. Но направляя беременную женщину на обследование, врач должен тщательно взвесить все факторы «за» и «против».
Обязательная флюорография предусмотрена в профилактических целях для пациентов:
- обратившихся в медучреждение впервые;
- проживающих с новорожденными и беременными;
- являющихся призывниками или поступающими на воинскую службу по контракту;
- с выявленой ВИЧ-инфекцией.
Для остальных категорий населения предусмотрена профилактическая флюорография не реже 1 раза в 2 года.
Как часто можно делать рентген-исследование и вредно ли оно?
Приумножение знаний о влиянии рентгеновского излучения на человеческий организм запустило процесс разработки государственных и международных стандартов, регламентирующих допустимую величину облучения.
Современные методы рентгенодиагностики подразумевают применение ничтожно малых доз радиации, абсолютно безопасных для организма человека. Однако чтобы не подвергать себя опасности, следует не превышать среднюю годовую величину облучения. Российская официальная медицина считает допустимой дозу в 1,4 мЗв в год на человека.
Для сопоставления: в США и Франции средняя эффективная годовая доза соответствует 0,4 мЗв, в Японии – 0,8 мЗв, Великобритания придерживается стандарта в 0,3 мЗв. Если проходить рентгенографию в лучших клиниках страны на цифровом оборудовании, то за 1 процедуру больше чем 0,03 мЗв вы не получите.
Устаревшие пленочные рентген-аппараты дают разовую величину облучения в 0,3 мЗв, что является годовой нормой для Великобритании.
Стоит сказать, что современное цифровое оборудование, применяемое для рентген-диагностики, излучает дозу, сравнимую с приобретаемой в естественной среде за 10 дней. Подобная рентгенографическая система максимально снижает риск возможного неблагоприятного воздействия лучей на организм человека.
Вопрос о том, насколько часто допустимо выполнение рентгена легких, является индивидуальным. Врач решает его, оценивая общее состояние здоровья пациента и уровень достижения средней допустимой дозы облучения.
Если говорить о беременных женщинах и детях, то им гораздо реже назначают рентгенологическое обследование. Однако даже эти пациенты при необходимости его проходят.
Наличие современного, со сниженной лучевой нагрузкой, оборудования, соблюдение правил техники безопасности и грамотное обслуживание рентгенодиагностической системы, являются залогом результативного и безвредного обследования.
В отличие от рентгена, флюорография законодательно запрещена детям младше 15 лет.
Описание процедуры рентгенографии легких
Проведение рентгенографического исследования легких не требует никакой подготовки пациента к анализу. Равно как и отхода от привычного образа жизни после его выполнения.
Современный рентген-аппарат представляет собой сложное высокотехнологичное оборудование, которое позволяет заметить изменения размером менее 1 мм. С результатами обследования, предоставляемыми через несколько минут, можно обращаться в любое медицинское учреждение. Формат получаемого изображения отвечает российским и международным стандартам.
Процедура обследования на рентгеновском аппарате занимает всего несколько минут. Благодаря внедрению инновационных технологий процесс стал моментальным, информация сразу же отображается на экране.
Для выполнения рентген-анализа следует раздеться по пояс и снять все металлические украшения. Наличие заколок или пуговиц на одежде способно ухудшить качество снимка.
Современная аппаратура позволяет проводить съемку и в нательном белье, главное, чтобы оно не содержало синтетику и металл. Возможно выполнение процедуры в положении стоя, лежа или сидя. На момент прохождения рентгеновских лучей пациента просят задержать дыхание.
Если проводится обследование ребенка, специалист сам выбирает оптимальное время процедуры.
Стоит также отметить, что в настоящее время выделяют два подхода выполнения исследования – обзорную и прицельную рентгенографию. Под обзорным рентген-исследованием легких подразумевают выполнение снимков в двух проекциях: прямой и боковой. Прицельная методика состоит в фокусировке аппарата на определенном участке.
Анализ рентген-снимков легких
Результаты рентгенологического исследования представляются в одном из трех вариантах:
- на бумаге (допускается, если патологии не найдены);
- на специальной пленке (печатается на специальном принтере высокого разрешения);
- непосредственно в цифровом виде (имеет место только в случае проведения рентгенографии), причем не только в стандартном графическом формате, но и в форматах DICOM, или RAW, с размещением на диске специализированной программы-просмотрщика.
Принципиальным является отличие «медицинских» файлов от «классических»: специальные графические форматы позволяют хранить в файле несопоставимо больше информации, которая становится видна человеческому глазу после применения фильтров и ограничителей, предусмотренных программами-просмотрщиками.
Изучая изображение, созданное расходящимися пучками X-лучей, специалисты лучевой диагностики анализируют участки просветлений и затемнений. Начиная протокол описания рентгенограммы легких, врач-рентгенолог, прежде всего, указывает, в какой проекции был выполнен снимок.
Затем упоминается об отсутствии очаговых и инфильтративных теней. Присутствие очаговых затемнений говорит о поражении легких опухолью, туберкулезом или профессиональном заболевании (асбестоз, талькоз, силикоз). Инфильтративные тени в случае наличия сигнализируют о пневмонии, отеке либо о глистной инвазии.
Если отсутствуют нарушения кровоснабжения и циркуляции по малому и большому кругу, нет полостных и кистозных образований, не наблюдаются застойные явления, в протоколе описания содержится фраза о том, что легочный рисунок не деформирован и имеет четкую форму.
Фраза о структурности корней легких, отсутствии их расширения говорит об отсутствии дополнительных теней, способных повлиять на «ход» легочной артерии и увеличение лимфатических узлов средостения. Замеченные здесь изменения могут свидетельствовать о саркоидозе, увеличении лимфатических узлов, застое в малом круге и опухолях средостения.
Наличие тени средостения без особенностей скажет о том, что специалист не обнаружил дополнительных образований, просматривающихся из-за грудины.
Отсутствие упоминания «плюс тени» на снимке, выполненном в прямой проекции, не может служить гарантией отсутствия опухолей.
Если образование небольшое и не костной структуры, то оно может быть скрыто как грудиной, так и сердцем. Порой даже боковой снимок не способен прояснить ситуацию.
Заканчивается анализ рентген-снимка легких здорового человека сообщением о неизмененности диаграммы, свободном состоянии реберно-диафрагмальных синусов и отсутствии видимых патологий.
Качество снимков и точность диагноза
Основной причиной неверной расшифровки снимка легких служит динамическая нерезкость. Другими словами, пульсация крупных сосудов и дыхание влияют на четкость видимых контуров образований.
Правильная выдержка, мощное современное оборудование, верный учет расстояния между объектом и фокусом позволяют предотвратить это искажение. Для получения точной картины проводится рентгенография легких в 2 проекциях.
При наличии у пациента предварительного, требующего уточнения, диагноза выполняется прицельный снимок. Это несколько увеличивает дозу облучения, но безошибочность результата стоит этого.
Врач-рентгенолог также должен помнить, что синтетические волокна, металлические предметы и густой пучок волос (у женщин с длинными волосами) способны исказить или понизить прозрачность верхушек легочных полей.

Основные патологии, обнаруживаемые с помощью рентгенографии легких:
- крупные очаговые затемнения сигнализируют о пневмонии или опухоли бронхов;
- мелкие очаговые затемнения являются признаком очаговых форм пневмонии либо туберкулеза;
- большая круглая тень в легких свидетельствует об опухоли в легком либо о набирающем силу туберкулезном процессе;
- полость в легком – явный признак разложения тканей легкого, свойственного абсцессу, распаду опухоли либо очага туберкулеза;
- жидкость, находящаяся в плевральной полости, является признаком плеврита либо новообразования;
- уплощение диафрагмы говорит о наличии эмфиземы легких;
- частые мелкие очаги свидетельствуют о туберкулезе или саркозиде.
Также возможно нахождение большого количества мелких патологий легких и легочных тканей, способных при всестороннем анализе внести ясность в диагноз пациента.
Картина станет полной после оценки объема легких, расположения их корней, степени воздушности бронхов и прочих физиологических показателей.
Как видим, цифровая рентгенография позволяет быстро и четко провести сложнейшие исследования и поставить точный диагноз через несколько минут.
Источник:
Когда делают рентгенографию легких

Рентгенография лёгких применима в рамках первичной диагностики состояний парных органов и дыхательной системы. Речь идёт об общедоступном, простом и точном методе обследования, который в настоящее время можно провести даже на дому.
Около 80% всех бронхолегочных недугов выявляется на рентгенограмме. Специалист имеет возможность анализировать снимок, на котором определимы незначительные проявления заболевания.
С какой целью проводится рентген
Что показывает врачу рентген лёгких? Зачем он нужен?
Проекционное исследование даёт возможность определить патологические процессы, затрагивающие органы дыхания. Специалист проводит анализ интенсивности теней, охват и очертания.
Снимок лёгких — норма
В числе вероятных диагнозов, поставленных на основе полученной информации:
- воспаление бронхов, плевры, лёгочной ткани;
- эмфизема;
- туберкулёз;
- злокачественное образование;
- отёк органов дыхания;
- перелом ребра;
- пневмоторакс и пр.
Помимо помощи в постановке диагноза, рентген лёгких обеспечивает контроль осуществляемого лечения всех патологических процессов дыхательной системы.
Влияние облучения на пациента
Обследование проводится посредством радиационного излучения. Согласно санитарным правилам и нормативам, допустимая годовая норма облучения человека не должна превышать 5 мЗВ. В случае применения устаревшей аппаратуры, доля однократного радиационного излучения составляет 0,3 мЗВ.
При прохождении цифровой рентгенодиагностики эта цифра уменьшается в 10 раз. Следовательно, в случае необходимости проведения неоднократного рентгена, диагностика не станет причиной развития патологических процессов в организме.
Показания
Синдром уплотнения. Очаг низкой и средней плотности. Туберкулез.
В числе вероятных жалоб пациента:
- продолжительный кашель;
- прогрессирующая одышка;
- повышение температуры тела;
- активная выработка пота;
- болевой синдром в груди;
- хрипы;
- кашель с выделением крови или мокроты;
- упадок сил.
Помимо этого, обследованию подвергаются пациенты с подозрениями на туберкулёз, плеврит, пневмонию, сердечные недуги, травмы парных органов и костной ткани.
В целях профилактики снимок лёгких делают лицам, трудящимся на производстве с вредными условиями. Например, шахтёрам, каменщикам, персоналу тубдиспансеров и пр.
Подготовительный этап и проведение обследования
Флюорограф цифровой сканирующий (самый безопасный и современный метод диагностики)
Перед проведением рентгена специальной подготовки не требуется. Действия пациента во время обследования следующие:
- Раздевается выше пояса и снимает предметы из металла (часы, очки, украшения и др.).
- Убирает волосы с обследуемой области.
- Прислоняется к оборудованию.
- Делает глубокий вдох и задерживает дыхание, слушая команду доктора.
- Восстанавливает дыхание после завершения процедуры.
В процессе исследования пациенту требуется оставаться в неподвижном состоянии. Для этих целей в ходе диагностики детей применяются фиксирующие изделия и подставки.

Продолжительность процедуры — несколько секунд. Обычно прибегают к обзорной рентгенографии лёгких, выполняя снимок в прямой проекции. Больной направлен передней частью груди к матрице. Иногда пациенту необходимо встать боком, в таком случае рентген делается в двух проекциях.
Результаты рентгенограммы
Синдром уплотнения. Инфильтрат. Рак.
К расшифровке снимка приступает врач-рентгенолог. (Воспользуйтесь бесплатной расшифровкой от наших врачей). Специалист совершает ряд последовательных действий:
- Оценивает очертания корней лёгких, сердца.
- Анализирует тень средостения и костей.
- Производит осмотр лёгочной ткани и синусов.
Рентгенограмма лёгких описывается с применением пары понятий:
- тень (отображает уплотнённые области);
- просветление (указывает на места повышенной воздушности).
Что означают затемнения на снимке
Визуализируемое просветление (затемнение в органах на рентгене, поскольку снимок — это негатив), его форма, интенсивность окраски, контуры помогают специалисту произвести оценку состояния лёгких и сделать заключение.
При расшифровке снимка в обязательном порядке указывается, в какой проекции выполнялось обследование (обзорная рентгенография в прямой проекции, в двух плоскостях или отображение в трёх проекциях).
В таблице ниже представлен перечень диагнозов с соответствующим каждому из них рентгеновским рисунком:
| Туберкулёз | Большое количество небольших затемнений, усиленный лёгочный рисунок, чёткая контурная линия лёгких |
| Экссудативный плеврит | Тоненькая затемнённая линия на нижней краевой стороне рёберной дуги. Трахея перемещена или вытянута вперёд |
| Отёк парных органов | Неравномерно распределённые тени, похожие на хлопья |
| Венозный застой лёгочного круга | Расширение краевой части органов, которые становятся похожи на крылья мотылька |
| Онкология | Затемнения круглой формы, имеющие строго очерченную контурную линию |
| Эмфизема лёгких | Уплотнение диафрагмы, высокая воздушность полей лёгкого |
| Перитонит | Концентрация газов в области брюшины, под куполом диафрагмы отсутствует просветление |
| Ателектаз | Затемнение заднего средостения (на снимке боковой проекции) |
| Сердечные недуги (увеличение размеров желудочков и предсердий) | Тень сердца имеет округлую границу справа или слева. При увеличенном правом желудочке визуализируется наращивание затемнения слева |
Отдельно стоит коснуться темы рентгенодиагностики пневмонии и дать оценку целесообразности проведения рентгенографии при подозрении на воспаление лёгких.
Демонстрирует ли рентген воспаление лёгких
В процессе рентгеновского обследования можно выявить явную симптоматику, которая укажет на развитие пневмонии. В частности:
- затемнения с нечёткими контурами;
- разрастание лёгкого на стороне развития патологии;
- деформированный, усиленный сосудистый рисунок в зоне поражения.
Крупозная форма воспаления проявляется на рентгене в виде небольшого увеличения интенсивности затемнений, незначительного расширения корня лёгкого, уплотнения плевральных листков и снижения прозрачности лёгочного поля. Эти признаки могут быть упущены специалистами или же быть приняты за проявления бронхита.
В качестве альтернативного метода диагностики воспаления лёгких может быть проведена и флюорография. Однако чаще подобная методика применима лишь в профилактических целях. При сравнении двух снимков разница очевидна: на рентгене визуализируются хорошо различимые затемнения при воспалении, во втором случае чётких признаков наблюдать не придётся.
В клинических случаях прибегают к проведению решающего метода диагностики — рентгеноскопии. Эта процедура отличается от двух других, поскольку рентгеноскопия помогает наблюдать за органами дыхания в реальном времени. Изображение в таком случае отображается на монитор.
Рентгеноскопия
Рентгенограмма курильщика
Здоровые органы отличаются чёткой контурной линией и хорошей природной формой. Когда человек курит, лёгкие выглядят так, будто их подкоптили.

Внешний вид органов дыхания постепенно изменяется, даже если человек курит редко, предпочитает исключительно дорогие сигареты или же только вдыхает сигаретный дым (курит пассивно).
Специалисты сравнивают рентген лёгких курильщика с решетом или половой тряпкой. Подобная картинка обуславливается образованием в поле органов множественных пор, вызванных развивающимися воспалительными процессами и дефектами в бронхах.
По мере того как человек продолжает курить, в лёгких образуется нефункциональная соединительная ткань (как раз в тех местах, где гибнет отравленная никотином клетка дыхательного дерева).
На фоне этого процесса происходит сбой в работе альвеол, которые призваны связывать кислород из внешней среды и доставлять его к тканям. Результат — у курильщика диагностируется дыхательная недостаточность. На этом этапе снимок демонстрирует просветления в области лёгочного поля.
В нижней трети органов — повышенная воздушность. С течением времени просветления перемещаются по направлению вверх.
Грудная клетка курильщика со стажем на рентгенограмме визуализируется в тандеме с дополнительными тенями, которые могут быть сформированы рядом болезней: туберкулёзом, бронхитом, бронхиальной астмой, диафрагмальной грыжей и пр.
Рентгенография грудной клетки применима в медицинской практике для обнаружения локальных заболеваний и контроля динамики проводимого лечебного курса. Показаниями к назначению процедуры могут стать как болезненные проявления (кашель, выделение мокроты, высокая температура тела, боль в грудной клетке, одышка и пр.), так и определённый род деятельности пациента.
В диагностических целях чаще прибегают к проведению обзорной рентгенографии, реже требуются снимки в двух, трёх проекциях. Процедура не требует подготовки, занимает несколько секунд, результаты больной получает сразу после обследования.
При расшифровке рентгеновского снимка специалист оперирует понятиями затемнения и просветления, даёт оценку контурной линии, форме лёгких. В числе вероятных диагнозов, выставляемых после обследования: туберкулёз, пневмония, рак лёгких, перитонит и пр.
Источник:
Что показывает рентген легких? Грамотная расшифровка рентгена легких
Одним из лучевых методов диагностики внутренних органов является просвечивание рентгеновскими лучами, или рентгенография. Полученное изображение наносится на жесткий диск, специальную пленку или бумагу.
Цель назначения обследования
Рентгеноскопия легких – это самый распространенный и информативный метод исследования. Этот способ диагностики позволяет выявить наличие заболеваний органов дыхания:
С целью профилактики легочных болезней у граждан, занятых на вредных производствах (химическая промышленность, строительство (каменщики), горнодобывающие работы (шахтеры) и др.), раз в год (при необходимости чаще) проводится рентген легких. Что показываютрезультаты исследований в таких случаях?
Ответ рентгеноскопии позволяет своевременно предупредить или распознать заболевание и назначить необходимую лекарственную или иную терапию.
Влияние облучения на организм человека
Просвечивание лучами рассматривается как радиационное воздействие, и некоторые люди отказываются от проведения данной процедуры. Однако это напрасно, в медицине используются лучи низкой энергии, доза облучения ничтожно мала, и тело человека подвергается их воздействию малый период.
Еще несколько лет назад учеными было доказано, что даже неоднократные проведения рентгенографии (при медицинских показаниях) не способны навредить здоровью. В некоторых случаях эту процедуру назначают и беременным женщинам. Серьезные болезни, которые с помощью рентгена можно диагностировать, имеют более тяжкие последствия, чем минимальная доза радиации.
В качестве альтернативы обычному традиционному рентгену в настоящее время доступен и цифровой с еще меньшей дозой облучения.
Рассмотрим симптомы, при которых лечащий доктор назначает рентген легких. Что покажетснимок, от этого будет зависеть тактика дальнейшего ведения пациента.
- Периодические боли в области грудины.
- Одышка.
- Высокая температура тела, которая держится длительное время.
- Кровь в мокроте.
- Длительный изматывающий кашель.
- Большое количество отделяемой мокроты.
- Сухой кашель.
С целью профилактики флюорография, или рентген, показана всем гражданам с периодичностью не реже одного раза в два года или чаще в соответствии с рекомендациями медицинского работника.
Подготовка и проведение процедуры
Направление на рентген легких выписано, как же подготовиться к нему? Предварительной подготовки не требуется. Перед проведением процедуры надо снять украшения (цепочки, бусы, колье), чтобы они не исказили результат.
Непосредственно перед процедурой медицинский работник попросит вас надеть специальную запахивающуюся на талии юбку для защиты половых органов от облучения. Далее доктор выбирает необходимую проекцию (переднюю, заднюю или иногда снимок делается в положении лежа на боку).
В зависимости от того, на каком оборудовании выполнялся рентген легких, результаты будут мгновенными (цифровой метод) или через некоторое время после обработки и проявки пленки.
Сделали рентген легких? Что показывает расшифровка, рассмотрим ниже:
- Дефекты диафрагмы.
- Наличие в плевральной полости жидкости. Исключают опухоль или плеврит.
- Полость в легком свидетельствует о некрозе легочной ткани. Диагностируют туберкулез, рак или абсцесс.
- Очаговые затемнения мелкие являются признаками пневмонии, туберкулеза. Крупные – опухоль бронхов, метастазы в легкие.
- Мелкие очаги, встречающиеся очень часто, – саркоидоз или туберкулез.
- Большая тень круглой формы – туберкулез в стадии прогрессирования или злокачественное новообразование.
За исключением вышеперечисленного, обнаруживают и другие изменения легочной ткани и легких, которые помогают поставить верный диагноз и назначить лечение.
К сожалению, бывают случаи и ложного результата, или в случаях проведения исследования на ранних стадиях болезни ее можно не увидеть.
Для точного заключения в дополнение к полученным результатам кроме рентгена используют и другие методы диагностики, а также проводят необходимые лабораторные исследования.
Затемнения на рентгеновском снимке
Рентген показал пятна на легких? Причинами их появления могут быть: неправильное положение пациента во время процедуры, некачественное оборудование, наличие патологии. Точную расшифровку данных рентгенографии может сделать только врач.
Образования в виде белых пятен говорят о наличии туберкулеза, бронхита, пневмонии, патологии в плевре, профессиональных заболеваний. В случае если человек переболел бронхитом, воспалением легких, то на рентгеновском снимке можно обнаружить пятна. Их расценивают как остаточные проявления болезни, и они через некоторое время исчезнут.
Если светлые пятна обнаруживаются в верхних отделах легкого, то диагностируют туберкулез, основным признаком на первой стадии которого является светлая дорожка, идущая от места, где имеется воспалительный процесс, к корневой системе. При своевременном и правильном лечении воспаление уменьшается и ткани подвергаются рубцеванию. На снимке вместо белого появляется темное пятно.
Если снимокрентгена легких показывает, чтовидны черные пятна, это говорит об обострении и наличии хронического воспаления легких.
После курса медикаментозного лечения и полного выздоровления пятна исчезают. Темные образования могут быть причиной и злокачественных патологий.
Выявление темных пятен у практически здорового человека свидетельствует о многолетнем курении, у детей – об инородном теле.
Показывает ли рентген воспаление легких?
Рентгеновское исследование при пневмонии это и метод выявления болезни, и контроль за ее течением. Для того чтобы распознать пневмонию, надо знать, как выглядят пятна на снимках при такой патологии. Они могут отличаться размерами и расположением:
- глобальные пятнистые образования на всей поверхности легких;
- субтотальные – полностью все поля (исключение – верхние доли);
- сегментарные – пятна в границах сегмента;
- мелкие пятнистые образования до 3 мм с ограниченными полями.
В результате развития воспалительного процесса в легких человека образуются нечеткие с размытыми контурами пятна и рентген показывает воспаление легких. Проявление пятнистых образований зависит от стадии заболевания. Более выражены пятна в запущенных случаях.
Рентгеновский снимок при бронхите
Симптомы болезни сходны с пневмонией. Для подтверждения диагноза при затяжном течении болезни назначают определенные виды обследований, в том числе и рентгенографию, которая позволит оценить состояние органов дыхательной системы и уточнить диагноз. Симптомы у пациента, при которых показана флюорография (рентген легких показывает бронхит в этом случае):
- изменение в крови, по данным лабораторных исследований;
- сильная постоянная одышка;
- длительное повышение температуры тела;
- предположение воспаления в легких;
- признаки обструкции.
По результатам проведенного исследования на рентгеновских снимках обращают внимание на следующие моменты в легких:
- нечеткие контуры;
- наличие деформации корня;
- изменения в рисунке;
- наличие пластинчатых очагов;
- участки скопления жидкости.
Мнения специалистов об информативности рентгеновских снимков при выявлении заболевания бронхит разделились. Однако этот вид исследования широко применяется в практической медицине.
Рентгенография при туберкулезе
При подозрении на это тяжелое заболевание данный вид обследования легких позволит исключить или подтвердить патологию. Преимуществами рентгеноскопии при туберкулезе легких является возможность:
- провести различную диагностику болезни;
- исключить другие патологии органов дыхания, например пневмонию, рак, абсцесс и другие;
- определить характер повреждения тканей легкого;
- увидеть распространенность поражения;
- посмотреть расположение патологических очагов.
Поэтому на вопрос,покажет ли рентген туберкулез легких, можно ответить утвердительно. Однако это не исключает проведение дополнительных манипуляций для точного подтверждения диагноза. На рентгеновских снимках выявляют разные виды туберкулеза:
- внутригрудных лимфатических узлов;
- диссеминированный;
- очаговый;
- инфильтрационный;
- казеозная пневмония;
- фиброзно-кавернозный;
- цирротический.
Показывает ли рентген рак легких?
Это заболевание является одним из грозных недугов человека в последние десятилетия. Рентген грудной клетки считается диагностическим методом выявления этой патологии на самых ранних этапах ее развития. Признаками или симптомами болезни могут быть:
- вялость, постоянная сонливость и слабость;
- работоспособность на нуле;
- регулярные лихорадки при видимом благополучии;
- одышка;
- дыхание со свистом;
- затяжной кашель, который не поддается терапии;
- выделение мокроты с кровью;
- отсутствие аппетита;
- при приступах кашля наличие болевого синдрома.
Для исключения заболевания доктор назначает обследование. Рентген покажет рак легкихобязательно, так как этот метод высокоинформативный. В зависимости от вида опухоли и ее расположения будет разная картина на рентгенологических снимках. Для постановки точного диагноза лечащий доктор проведет дополнительные обследования и, оценив общее состояние пациента, назначит адекватную терапию.
Рентгенография легких у детей
Если вашему ребенку назначили рентген, то следует ознакомиться со следующими моментами:
- имеется ли альтернативный вид обследования;
- есть ли жизненная необходимость проведения данной процедуры.
В случае сомнений получите консультацию у другого специалиста.

Подрастающему поколению в исключительных случаях назначают рентгенографию. В основном, когда это единственная манипуляция, при помощи которой существует возможность исключить или подтвердить диагноз. В кабинет вместе с ребенком заходит и один из родителей.
Для того чтобы снизить негативное воздействие облучения, все участки тела малыша и его представителя защищают свинцовыми экранами. Процедура длится несколько минут, и ваш малыш не устанет.
Если рентген легких показывает, что очаг патологии присутствует, врач назначит лечение и ребенок пойдет быстро на поправку.
Рентгеноскопия – это результативный метод диагностики различных заболеваний и в опытных руках оказывает неоценимую помощь медицинскому сообществу.
Источник:
