Операция на позвоночнике вставлены титановые болты: показания, виды операций, методы реабилитации, инвалидность

Одной из распространенных патологий позвоночника является его повреждение. При разрушении позвоночного столба обычно проводится стабилизация позвоночника с помощью металлоконструкций.
После такой операции следует длительный восстановительный период, на протяжении которого необходимо соблюдать все предписания врача.
Сроки восстановления после хирургического вмешательства для каждого индивидуальны и зависят от множества факторов.
В результате ударов, падений или аварий позвоночник становится нестабильным, меняется его форма. Все это существенно сказывается на состоянии здоровья пациента и его образе жизни.
Для стабилизации деформированных позвоночных сегментов проводится операция, во время которой на позвоночный столб крепятся титановые пластины или другие металлоконструкции.
Установка в позвоночник металлических конструкций проводится при наличии таких показаний:
- межпозвоночная грыжа;
- дегенеративно-дистрофические изменения связок, дисков;
- сужение спинномозгового канала;
- нарушение целостности позвонков вследствие травмы.
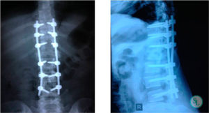
При наличии данных патологических состояний проводится операция, на позвоночнике вставлены болты, делающие поврежденные сегменты неподвижными.
Техники операции
Для стабилизации поврежденного отдела позвоночника могут применяться следующие виды хирургического вмешательства:
- Динамическая фиксация. Данная техника протезирования способствует стабилизации позвонков, при которой сохраняется незначительная подвижность позвонков. Чаще всего имплантат, в качестве которого преимущественно применяются титановые пластины, вживляется между остистыми отростками в пояснично-крестцовом отделе. Такая операция обычно проводится при стенозе, радикулопатии, грыже или смещении позвонков назад.
- Транспедикулярная стабилизация. С помощью специальной ножки (педикулы) в смежные позвоночные тела вставляется корригирующая металлическая конструкция в виде винтов, крепко соединенных между собой штангами. Подобная техника чаще всего применяется при смещении или переломе позвонков.
- Транскутанная фиксация. Суть данной операции заключается в следующем. Через небольшой разрез в травмированный сегмент позвоночника вводится зонд, с помощью которого происходит вживление в костные структуры стабилизирующего импланта. Благодаря тому, что стабилизация проводится транскутанно (через кожу), данная техника является наиболее безопасной.
Техника стабилизации поврежденных позвонков подбирается специалистом в индивидуальном порядке, учитывая множество факторов: тип повреждения, возраст и состояние здоровья пациента, наличие противопоказаний. Для операции могут применяться различные металлоконструкции: винты, пластины, стержни, скобы.
Реабилитация
После того, как было проведено хирургическое вмешательство, организму необходимо восстановиться и адаптироваться к вживленной металлоконструкции.
Реабилитация после операции на позвоночнике с металлоконструкцией может длиться от пары дней до нескольких лет.
Для того чтобы ускорить процесс полного выздоровления, пациент должен заниматься консервативным лечением, ЛФК и правильно питаться.
Медикаменты
Первые несколько дней, а то и недель после операции на позвоночнике, пациент должен соблюдать постельный режим и принимать медикаменты, прописанные врачом. Во время реабилитации чаще всего назначаются такие лекарства:
- Наркотические анальгетики для снятия болевого синдрома: Морфин, Трамадол, Фентанил.
- НПВС для устранения боли, воспаления: Диклофенак, Ибупрофен, Мелоксикам.
- Миорелаксанты для расслабления мускулатуры: Мидокалм, Сирдалуд, Ксеомин.
- Хондропротекторы для восстановления хрящевой ткани: Артра, Терафлекс, Дона.
- Антикоагулянты, препятствующие образованию тромбов: Гепарин, Синкумар, Варфарин.
- Антибиотики, предупреждающие инфицирование тканей: Доксициклин, Амоксиклав, Цефазолин.
При необходимости назначаются дополнительные специфические препараты. Также необходимо принимать витамины группы В, витаминно-минеральные комплексы.
ЛФК и гимнастика
Первое время, после того, как была сделана операция по стабилизации позвоночника поясничного отдела, необходимо соблюдать строгий постельный режим. Начинать двигаться можно только с разрешения врача, причем, первые телодвижения должны быть самыми простыми:
- движение пальцами рук, ног;
- шевеление кистями;
- сгибание-разгибание локтей, коленей;
- различные дыхательные упражнения.
Через несколько дней больному разрешают подниматься с постели, но садиться после такой операции можно только через 2-3 месяца. Во время реабилитации обязательно назначается лечебная физкультура, способствующая восстановлению функций позвоночника, укреплению мышечного корсета, улучшению метаболизма. Гимнастический комплекс подбирается индивидуально.

Рекомендуется выполнение таких упражнений:
- ИП: лежа на спине, ноги на ширине плеч, руки сжаты в кулаки. Одновременно совершайте кулаками и стопами круговые движения внутрь, а затем в обратную сторону.
- ИП: лежа на спине, ноги вместе, руки сжаты в кулаки. Одновременно нужно приподнять голову и потянуть стопы на себя, расслабиться.
- ИП: лежа на спине, руки вдоль туловища. Выполните упражнение «велосипед» сначала левой, а затем правой ногой. После этого сделайте упражнение обеими конечностями.
- ИП: лежа на животе, руки вытянутые вперед, ноги вместе. Одновременно поднимите левую руку, правую ногу и голову, вытянитесь и вернитесь в начальное положение. Повторите на другие конечности.
- ИП: стоя, ноги на ширине плеч, руки на поясе. Поднимите руки вверх и хорошо потянитесь, вытягивая позвоночник.
ЛФК после операции на позвоночнике с металлоконструкцией необходимо выполнять регулярно, не совершая резких движений, поворачиваний или наклонов. Категорически запрещаются кардиоупражнения. Для достижения лучшего результата необходимо совмещать гимнастику с массажем, ношением ортопедического корсета.
Питание
Питание после стабилизации нестабильных сегментов позвоночника – это важный момент восстановления. В первый день после операции пациенту разрешается употреблять только негазированную минеральную воду.
Начиная со второго дня реабилитационного периода, в рацион питания постепенно вводятся молочные продукты, чай, сухари, жидкая, перетертая пища. Первое время после хирургического вмешательства на позвоночнике необходимо употреблять легкую, нежирную пищу, насыщенную витаминами и минералами, в особенности кальцием.
Питаться нужно не менее 5 раз на день небольшими порциями. Очень важно соблюдать питьевой режим, употреблять не менее 1,5 литра воды.
Физиотерапия
Это один из важнейших этапов в реабилитационном периоде после операции на позвоночнике. Магнитотерапия, электрофорез, воздействие звуковыми волнами или ультразвуком, а также применение холода или тепла – все эти физиопроцедуры способствуют восстановлению кровообращения, ускоряют процесс регенерации и снимают болевые ощущения.
Сроки восстановления
Сроки восстановления после операции на позвоночнике с металлоконструкцией в каждом случае индивидуальны и зависят от ряда факторов: тяжести операции, возраста и состояния пациента, наличия осложнений, соблюдения предписаний врача и так далее. Продолжительность восстановления во многом зависит от площади работы. Чем больше позвонков соединяются между собой, тем дольше организм будет восстанавливаться.
Если операция простая (удаление грыжи), то период реабилитации составляет всего пару дней. В тяжелых случаях (при повреждении спинного мозга, параличе) на восстановление может потребоваться несколько лет. В среднем период реабилитации занимает 3-5 месяца. Чем раньше пациент начнет выполнять реабилитационные мероприятия, тем быстрее пойдет на поправку.
Образ жизни после операции
После стабилизации позвонков с помощью металлоконструкций образ жизни больного меняется.
На протяжении первого года он должен носить специальный ортопедический корсет, ежедневно заниматься ЛФК, соблюдать правильное питание, укреплять иммунную систему.
Во избежание сдвига позвонков первые 2-3 месяца пациенту запрещается наклоняться и резко поворачиваться. После хирургического вмешательства на позвоночнике нельзя сильно нагружать спину, поднимать тяжести, физически перенапрягаться.
Также необходимо запомнить следующие важные моменты:
- При наличии избыточного веса, от него необходимо избавиться, так как лишние килограммы оказывают сильную нагрузку на спину.
- Прием алкоголя во время реабилитационного периода недопустим.
- К половой жизни после операции можно вернуться через 2-3 недели, при условии отсутствия осложнений. Во время занятий сексом не должно возникать перенапряжения спины.
- Женщинам разрешается беременеть и рожать только по истечению 1 года с момента операции, когда позвоночник окончательно окрепнет.
В остальном образ жизни после операции на позвоночнике с металлоконструкцией не меняется.
Осложнения
После того, как была проведена декомпрессивно-стабилизирующая операция на поясничном отделе позвоночника, может возникнуть боль. В норме болезненные ощущения должны быть слабыми и быстро пройти. Но если болевой синдром не дает покоя и постоянно усиливается, то необходимо обратиться к врачу, так как это может свидетельствовать о развитии таких осложнений:
- отторжение имплантата;
- инфицирование позвоночника;
- образование ложного сустава;
- сомнительное качество металлоконструкции.
При развитии подобных осложнений производится удаление вживленного имплантата.
Инвалидность
Хирургическое вмешательство на позвоночнике — это сложнейшая манипуляция, нуждающаяся в длительном восстановительном периоде.
Поэтому многие интересуются, дают ли инвалидность после операции на позвоночнике? Само по себе вживление металлоконструкции в кость не означает инвалидизацию человека, но при развитии осложнений больной вполне способен оформить инвалидность. Врач направляет пациента на медико-социальную экспертизу (МСЭК) при наличии таких показаний:
- отсутствие положительного результата на протяжении 6 месяцев реабилитации;
- частые обострения патологии после операции;
- ограничение подвижности;
- продолжительная нетрудоспособность больного;
- появление особого типа головных болей – цефалгии.
МСЭК после детального изучения пакета документов пациента и оценки состояния его здоровья, отказывает или присваивает инвалидность после операции на позвоночнике с металлоконструкцией. Чаще всего после подобного хирургического вмешательства назначается временная 3 группа инвалидности, которая после перекомиссии часто снимается. При наличии в
ыраженного болевого синдрома и нарушении функционирования организма присваивается 2 группа. Первая группа инвалидности назначается только в очень тяжелых случаях, когда медицина не способна справиться с возникшими после операции осложнениями и больной нуждается в постоянной посторонней помощи.
Вывод
Если позвонки становятся нестабильными или деформируются, то проводится операция, характеризующаяся фиксацией проблемного участка позвоночника при помощи титановых болтов или металлоконструкции другого типа.
Подобное хирургическое вмешательство является достаточно сложной процедурой, нуждающейся в длительном восстановительном периоде. Реабилитация осуществляется на протяжении нескольких месяцев и включает в себя прием медикаментов, физиотерапию, массаж, правильное питание и регулярные занятия ЛФК.
Соблюдение всех рекомендаций врача позволяет избежать развития осложнений и быстро вернуться к нормальному образу жизни.
Источник:
Компрессионный перелом позвоночника — лечение и реабилитация

Компрессионный перелом позвоночника – одна из самых распространенных травм спины, которая возникает при одновременном сжатии и сгибании позвоночника. Наиболее часто страдает поясничный отдел, на который приходится тяжелая нагрузка.
Лечение и реабилитация занимают длительное время и проводятся под строгим наблюдением специалиста. Класс МКБ компрессионного перелома позвоночника – 10.
Что это такое?
Компрессионная травма возникает вследствие сжатия и сгибания позвоночного столба. Под высоким давлением происходит сжатие позвоночника, и он трескается.
Самыми распространенными считаются травмы нижегрудного (11-12 позвонки) и поясничного отдела (в первом позвонке).
Компенсированные переломы шейного и грудного отдела позвоночника возникают редко. Чаще всего они являются следствием автомобильных травм и ударов по голове.
Причиной компрессионного и импрессионного перелома являются различные травмы, удары и ушибы при нырянии и плавании, занятиях спортом, падении с высоты и неправильном распределении нагрузки.
Компрессия может возникнуть при таком заболевании, как остеопороз (недостаток кальция в организме).
Неосложненный перелом часто остается не диагностированным, так как он имеет неярко выраженные симптомы и редко повреждается конский хвост (пучок нервных волокон).
Какие виды бывают?
Выделяют переломы следующих отделов:
- Поясничного.
- Шейного.
- Грудного.
- Копчикового.
- Крестцового.
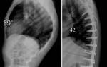
Кроме того, выделяют следующие степени переломов позвоночника в зависимости изменения высоты позвонка:
- 1 степени. Высота уменьшается менее, чем на треть.
- 2 степень. Высота уменьшается менее, чем на половину.
- 3 степень. Уменьшение более, чем на половину.
По характеру травмы выделяют:
- Клиновидный.
- Компрессионно- оскольчатый.
По тяжести травмы:
- Неосложнённый.
- Осложненный.
Менее опасным является перелом 1 степени – он редко приводит к необратимым последствиям. Признаки перелома незначительные, а при своевременной диагностике он эффективно поддается лечению.
Переломы последних стадий часто требуют длительного восстановления и могут стать причиной остеопороза, неврологических патологий, перелоцировать позвонки и других осложнений.
Симптомы
Клиника заболевания зависит от степени тяжести и локализации трещины.
Общими симптомами, характерными для сломанного позвоночника, являются:
- Боли в зоне позвоночника. Иногда в районе нижних или верхних конечностей.
- Ограничение подвижности.
- Усиление дискомфорта во время движения.
В зависимости от локализации кататравма проявляется:
- Шейный отдел. Боль в области шеи, усиливающаяся при движении. Клиновидная деформация позвонков проявляется болезненностью при пальпации и поворотах головы.
- Грудной и поясничный отдел. Дискомфорт возникает при движении. Однако и в положении лежа при декомпрессионном переломе наблюдается боль, особенно при поворотах со спины и подъеме ног.
При неосложненном переломе 1 степени позвонка l1, 2,3, 4, 5,6, 7, 8, 11 может не наблюдаться каких-либо признаков травмы, кроме незначительной болезненности и чувства дискомфорта.

Многие люди в таком случае не обращаются к специалисту, не подозревая, что любая травма позвонка – это опасность для организма.
В тяжелых случаях могут наблюдаться:
- Нарушение мочеиспускания.
- Проблемы с опорожнением кишечника.
- Онемение.
- Нестерпимые боли.
Не зависимо от травмы и интенсивности болевого синдрома, человек обязательно должен посетить специалиста. Это поможет поставить верный диагноз и подобрать грамотное лечение.
В домашних условиях при травмах первого, второго, третьего, Th5, тела th7,
Th11, Th12 и других позвонков провести качественное лечение невозможно.
Импрессионные, компрессорные и трансмиссионные переломы нередко требуют проведения операции на позвоночнике.
Диагностика
Основной симптом заболевания – боль, и она может появиться при самых разных заболеваниях костной системы.
Диагностические процедуры включают:
- Рентген.
- КТ.
- Миелографию или МРТ.
- Неврологический осмотр.
Только после проведения данных процедур врач сможет поставить точный диагноз и выявить степень повреждения.
Первая помощь
Не зависимо от типа и формы компрессионного перелома, первая помощь заключается в следующих действиях:
- Ограничить любые движения пострадавшего. Нельзя вставать, ходить и присаживаться. Зафиксировать травмированный участок, а лучше весь позвоночный столб.
- Вызвать бригаду скорой помощи.
- Проверить, находится ли человек в сознании, если ли у него пульс и признаки дыхания.
- В случае сильных болей можно сделать укол обезболивающих препаратов.
- Если дыхание и пульс отсутствуют, проводят сердечно-легочную реанимацию.
- Транспортировка пострадавшего осуществляется на носилках минимум 3 человеками.
Очень важно зафиксировать шейный отдел позвоночника, даже если он не поврежден. Движения головы будут приводить к ненужным колебаниям в области позвоночного столба. Сделать это можно с помощью специального воротника или самостоятельно изготовить его из картона, ваты и мягкой ткани, после чего сверху замотать бинтом.
Как лечить?
Какой нужен врач, зависит от клиники заболевания, но, в целом, лечением занимаются:
- Ортопед.
- Хирург.
- Невролог.
Лечение травм и переломов позвоночника включает:
- Обезболивающие препараты.
- Физиотерапию.
- Массаж и специальные упражнения.
- Хирургическое лечение.
Самое важное – фиксация травмированного отдела позвоночника. Пациенту показан строгий постельный режим. Часто используется корсет при компрессионном переломе и различные реклинаторы.
Сколько носить корсет, зависит от тяжести перелома, но в среднем – от 2-х месяцев.
Операция показана в тяжелых случаях, и в настоящее время наиболее часто проводят кифопластику или вертебропластику.
- Можно ли ходить и сидеть при переломе, зависит от его тяжести и характера повреждения. В среднем несколько недель человеку запрещено вставать с постель и нужно правильно лежать.
- Запрещена любая нагрузка как физическая, так и эмоциональная, важно полноценное и высококалорийное питание. Спать нужно не менее 9 часов в сутки.
- Когда можно садиться, скажет только врач, основываясь на результатах обследования.
- Больничный при компрессионном переломе позвоночника выдается примерно на 12 недель по усмотрению лечащего специалиста.
- Сломанная спина требует длительного лечения – от 3-х месяцев. У детей этот период проходит немного быстрее, а у взрослых может растянуться на год.
Компрессионное расстройство требует на протяжении всего лечения делать рентген или КТ, чтобы определить степень восстановления позвонка.
Цена лечения
| Консультация невролога, травматолога, хирурга или ортопеда | 2000-2500 |
| МРТ | От 3000 |
| Рентгенография | От 1700 |
| Консультация нейрохирурга | От 2500 |
| Массаж | От 800 |
| Консультация травматолога на дому | От 4500 |
| КТ позвоночника | От 7000 |
| Миелография | 8500- 9000 |
| МРТ позвоночника ребенку | От 10000 |
Возможные последствия
Чаще всего причиной осложнений является самолечение. Возникают консолидированные застарелые переломы, разрушение хрящей, деформация позвоночника, травмы спинного мозга и нервных корешков.

Тяжелые переломы отделов Л1, L2, S5, L3, S3, T12 могут стать причиной паралича или контузии.
Наиболее частые последствия компрессионных переломов:
- Остеохондроз.
- Радикулит.
- Люмбоишиалгия.
- Артроз.
При частых переломах, особенно у пожилых женщин, страдающих остеопорозом, возможно образование остроконечного или пологого горба. Деформация позвонка при этом вызывает сильные боли, становится причиной уменьшения объема грудины и смещения внутренних органов брюшины, невральных патологий.
Переломы и армия
При компрессионном переломе 1 степени, который был ранее, мужчина призыву не подлежит.
Для этого должны быть в наличии все необходимые документы, доказывающие данный диагноз, и наличие незначительного болевого синдрома.
Жизнь после перелома
Примерно через 1,5 месяца с начала получения перелома проводят реабилитацию, которая включает:
- Легкий массаж.
- Магнит.
- УВЧ.
- Электрофорез.
- Лфк.
Полная консолидация и стабильное срастание позвонков при отсутствии осложнений в среднем занимает 3 месяца. После этого восстановительный период длится ещё около полугода.
Закрытые и открытые компрессионные переломы поясницы или шейного отдела можно вылечить полностью за год, если все рекомендации специалиста будут строго соблюдаться.
Переломы последних степеней, оскольчатые, двояковогнутые часто требует проведения хирургического вмешательства. В таком случае проводятся манипуляции по удалению декомпрессии, чтобы восстановить функцию спинного мозга.
Применение современных синтетических материалов позволяет заменить поврежденную ткань.
Профилактика
Единственные профилактические методы, которые могут уменьшить риск переломов:
- Правильное питание, богатое белком и кальцием.
- Умеренная физическая нагрузка.
- Своевременное лечение заболеваний костной системы.
- Здоровый образ жизни.
- Профилактика авитаминозов.
Отзывы пациентов
Сергей: «У меня был компрессионный перелом пятого позвонка, который получил после ДТП. Первоначально наблюдалась высокая температура, болели руки и спина. Болевой синдром в первые три дня был невыносим.
Однако я очень быстро пошел на поправку — и через 2 месяца чувствовал себя значительно лучше. Выписали меня через 48 дней. Носил компрессионку больше полугода и делал упражнения, которые рекомендует Бубновский.
Через год проверка на рентгене подтвердила полное восстановление».
Эдуард: «Старый недолеченный перелом позвоночника иногда дает о себе знать ноющими болями в области спины. После месяца лечения и чувства полного выздоровления отказался от терапии, а теперь жалею и боюсь представить, что будет потом. Пытаюсь найти учреждение, где лечат последствия старых травм».
Источник:
Перелом позвоночника (позвонка): основные симптомы и признаки перелома

Для опорно-двигательного аппарата перелом позвоночника — самая серьёзная травма. У переломов такого рода — широкий спектр классификации и несколько разных исходов.
В одних случаях разрушение кости одного из сегментов может окончиться только долгим лечением и неудобным корсетом. В другой ситуации для излечения понадобится несколько лет, и всё равно будут последствия.
А часть пострадавших погибает ещё до приезда скорой помощи.
Что такое перелом позвоночника? Это опасная патология, которая возникает из-за нарушенной целостности костей в позвоночном столбе и грозит тяжёлыми осложнениями для дальнейшей жизни.
Причины
Перелом позвоночника возникает при разноплановых травмах. Костная ткань позвонков не выдерживает давления и разрушается в результате неудачного падения на спину, выпрямленные ноги или на ягодицы. Разрыв дисков и связок часто происходит из-за резкого торможения автомобиля и запрокидывания головы в результате ДТП.
Падение с высоты, прямой сильный удар в спину при драке или спортивных занятиях — ещё одна категория распространённых причин. Кроме этого, любой позвонок может сломаться при многолетнем остеомиелите и остеопорозе. Особенно в пожилом возрасте. Рахит, врождённые генетические патологии или онкопроцесс в костях — тоже потенциальная угроза перелома.
Классификация
Классификация переломов позвоночника включает категории по нескольким признакам. По механизму возникновения:
Флексионный — позвоночный столб внезапно сгибается при падении на ягодицы, при падении на плечи сильной тяжести и когда человек прыгает с большой высоты на прямые ноги.
Экстензионный — из-за сильного разгибания позвоночника разрывается продольная связка, межпозвоночный хрящ, и разрушается тело позвонка. Такой перелом в основном характерен для хлыстовой травмы в шейном отделе при автомобильных авариях.
Ротационный — позвоночник в шейном или поясничном отделе сгибается и поворачивается по оси. Возникает переломо-вывих или вывих позвонка. В большинстве случаев такая травма сопровождается повреждением спинного мозга и отличается последующей нестабильностью позвонков.
Компрессионный — возникает при чрезмерном вертикальном давлении на тело позвонка и межпозвоночные диски. Позвонки деформируются — сплющиваются. Часто страдает спинной мозг.
В некоторых случаях у пострадавшего диагностируют не только изолированные типы переломов, но и их комбинации.
Отдельно различают переломы по количеству сломанных позвонков:
- Множественные;
- Изолированные.
В зависимости от угрозы смещения:
- Стабильные;
- Нестабильные.
Если тело позвонка раздроблено на несколько отломков, это взрывной или оскольчатый вид перелома.
При вторичном повреждении спинного мозга, разрыве дисков и связок перелом считается осложнённым. Если пострадала исключительно кость, — перелом без осложнений.
В зависимости от определённого места повреждения травмы классифицируются на переломы шейного, грудного, поясничного, крестцового и копчикового отделов позвоночника.
Переломы шейного отдела
Семь позвонков в шейном отделе — самые хрупкие и гибкие. Целостность кости в этом сегменте может нарушиться даже от резкого поворота головы. Наиболее опасным для жизни обоснованно считается перелом с 1 по 3 позвонок. Подобные травмы в основном происходят при дорожных авариях, нырянии на мелководье, падении на голову тяжёлого предмета и во время занятий экстремальными видами спорта.
К явным признакам перелома относятся:
- Боль в шее разной интенсивности;
- Тошнота, головокружение;
- Иногда — недержание мочи;
- Гипертонус шейных мышц;
- Дисфункция дыхательной и сердечно-сосудистой систем вплоть до клинической смерти — в случаях тяжёлого осложнённого перелома;
- Нарушение чувствительности от лёгкого онемения до полной утраты тактильныхощущений как в шее, так и в конечностях.
Множественный перелом двух и более позвонков отличается затруднением дыхания, сильной головной болью с головокружением и нередко — болевым шоком. В остальных случаях перелом позвонка может ощущаться лишь как небольшой дискомфорт. И такая ситуация аналогично опасна из-за развивающихся последствий в ближайшей перспективе, если своевременно не провести диагностику.
Переломы позвоночника в шейном отделе бывают компрессионные, оскольчатые и компрессионно-оскольчатые. Последний тип перелома — самый опасный и сложный.
Переломы грудного и поясничного отдела
В сравнении с травмами в шейном отделе эти виды перелома позвоночника — явление более частое. Высокая степень подверженности травмам грудного отдела объясняется ограниченной подвижностью и в силу этого — меньшей амортизацией межпозвоночных дисков.
Наиболее часто ломаются самые крупные 10, 11 и 12 позвонки, которые функционируют как опора для грудной клетки.
Перелом тела позвонка может быть как изолированным, так и сочетаться с ЧМТ, переломами рёбер, травмами брюшной полости и переломами в верхних или нижних конечностях.
Это в основном происходит при падениях с большой высоты, происшествиях на дороге, как производственная травма и на фоне патологий костей. Например, в группе риска все, кто страдают костным туберкулёзом, остеомиелитом, остеопорозом и онкологией с метастазами в позвоночнике.

Кроме сильной боли при малейших движениях, определить перелом в грудном отделе можно по таким признакам:
- Онемение и потеря чувствительности в ногах вплоть до паралича;
- Асфиксия;
- Трудности с мочеиспусканием;
- Иррадиация боли в сердце, лопатки или брюшную полость;
- Травматический шок.
Для грудного отдела характерен компрессионный тип перелома, когда сплющивается тело позвонка под сильным давлением. Из-за непосредственной близости сердца и лёгких тяжёлые осложнённые переломы для пострадавшего оканчиваются иногда летальным исходом.
В поясничном отделе 5 позвонков. Из них наиболее уязвимый — первый, и, если случается его перелом, тело позвонка разрушается полностью. Сломанный второй позвонок встречается реже и обычно приводит к травматизации первого и третьего.
Четвёртый позвонок обычно ломается из-за компрессии второго и третьего. Это случается в результате сильного проседания межпозвоночного диска. Разрушение 5-го позвонка нередко происходит после внезапного падения на ягодицы с высоты, включая высоту собственного роста человека.
Из наиболее типичных симптомов при переломе позвоночника в этом случае отмечаются:
- Сильная мышечная слабость в ногах;
- Сильная боль в пояснице;
- Недержание мочи или наоборот — затруднённое мочеиспускание;
- Парез или полный паралич нижних конечностей.
Только спустя 3 или 4 месяца активной реабилитации наступает период, когда можно сидеть после компрессионного перелома позвоночника.
Как и в случае переломов в других позвоночных отделах, прогнозы напрямую зависят от того, задет ли спинной мозг и в какой степени. Например, его полный поперечный разрыв полностью обездвиживает пострадавшего и негативно отражается на работе прямой кишки и мочевого пузыря человека на многие годы или пожизненно.
Переломы крестцового и копчикового отделов
Перелом клиновидной кости у основания позвоночника — травма довольно редкая, но очень серьёзная. Изолированный перелом крестца встречается не более чем в 20% всех случаев травм в этом сегменте. Во всех остальных ситуациях крестец повреждается вместе с костями тазового кольца.
Среди самых частых причин перелома — падение на ягодицы с высоты, сдавление тазовых костей в результате бытовой или производственной травмы, и иногда — тяжёлые роды.
В этом случае переломы позвонков проявляются болью в пояснице и паховой области. Особенно в положении сидя. Пострадавшие также жалуются на проблемы с мочеиспусканием, ограниченность в движениях и онемение кожи в области поясницы.
Перелом копчика случается по аналогичным причинам, как и перелом крестца. К тому же среди дополнительных предрасполагающих для этого факторов — систематическая сильная тряска в процессе езды и катание с горки на пластмассовых гладких ледянках.
Заподозрить перелом можно по сильной продолжительной боли, отёку и гематоме в области копчика, затруднённой и болезненной дефекации. В некоторых случаях последствия только консервативного лечения без операции приводят к хроническим запорам, частым мигреням на фоне смещения костного мозга, подагре и воспалению нервного сплетения в копчике.
Признаки перелома
Признаки перелома позвоночника проявляются по-разному. Каждый симптом всегда зависит от локализации повреждения, затронут или нет спинной мозг, задеты ли связки и соседние органы.
При разрушении одного или нескольких позвонков у пострадавших наблюдаются:
- Локальная боль от незначительного дискомфорта до нестерпимой;
- Слабость в конечностях вплоть до парезов и паралича;
- Сильно ограниченная активность движений в повреждённом сегменте;
- Иррадиация боли в спину, голову и брюшную полость;
- Состояние травматического шока;
- Отёки и гематомы на повреждённом участке;
- Головокружение и сильная слабость;
- Затруднённое дыхание;
- Трудности с полноценным мочеиспусканием;
- Непроизвольные сокращения мышц.
Самые яркие проявления симптоматики встречаются при оскольчатых переломах позвоночника и осложнённых компрессионных повреждениях. В таких ситуациях зачастую повреждается спинной мозг, нервные окончания, сосуды, и в наличии перелома сомнений не возникает.
Операция по замене позвонка, полное восстановление

Тяжелые травматические, дегенеративно-дистрофические, воспалительные и опухолевые поражения позвоночника зачастую требуют привлечения хирургических тактик, предусматривающих удаление пострадавших позвоночных структур с последующим восполнением утраченных тканей искусственными материалами.
Такие операции часто применяются при патологиях шейных позвонков и межпозвонковых дисков.
Но это не означает, что оперативное вмешательство невозможно выполнить в другой области, и в пояснично-крестцовом, и грудном отделе необходимость в имплантации возникает, но несколько реже ввиду того, что эти зоны анатомически более крепкие и устойчивые.
Схема установки.
Итак, в первом случае процедура представляет собой замену на имплантат (цена 70-100 тыс. рублей) одного или сразу нескольких проблемных позвонков позвоночника, которые предварительно удаляются. После внедрения соответствующих размеров протезного устройства производится его фиксация к верхнему и нижнему здоровым позвонкам.
Во втором случае, если речь стоит о необходимости извлечения только деформированного диска на определенном уровне, который существенно дестабилизировал прилежащие к нему позвонки или сократил высоту между ними, выполняется вживление динамического или неподвижного межтелового имплантата в пространство между смежными костными телами.
Обо всех возможных вариантах замены позвонков и межпозвонковых дисков мы расскажем далее.
Операция при смещении позвонков
Нельзя оставлять без внимания болевой синдром, который локализируется в любой части позвоночного столба, так как он может свидетельствовать о развитии серьезной проблемы – смещении позвонков, или, как его называют по-научному, спондилолистезе.
Заболевание, которое развилось в поясничном отделе, крайне опасно своими осложнениями.
При отсутствии своевременного лечения могут произойти критические изменения в работе органов малого таза, потеря чувствительности и двигательного потенциала нижних конечностей, что в свою очередь способно обречь человека на пожизненную инвалидность. Патология 3-4 стадии лечится исключительно хирургическим путем.
Операция предполагает возвращение смещенного тела на место и его надежную фиксацию, которая стабилизирует весь позвонок правильном положении. В целях фиксации используется специальный имплант, заполненный костным аутотрансплантатом.
Он устанавливается на место изъятого межпозвонкового диска, а после закрепляется к смежным позвонкам металлической конструкцией.
С течением времени позвонковые тела прочно срастаются между собой, образуя неподвижное соединение, благодаря чему на данном уровне больше не будет происходить патологического сдвига.
Нужно знать! Спондилолистез – это аномальное смещение вышележащего тела позвонка по отношению к нижележащему элементу, чаще всего спровоцированное болезнью межпозвоночного диска.
Если позвонок сместится достаточно сильно, это приведет к стенозу позвоночного канала и компрессионному воздействию на спинной мозг, на нервные и сосудистые образования, что чревато серьезным неврологическим дефицитом и даже обездвиживанием конечностей.
Операция – единственный способ, который позволяет устранить вызванные функциональные расстройства и не допустить необратимой формы поражения ЦНС.
Коррекция клиновидных позвонков
Врожденные и приобретенные аномалии позвонков, когда конфигурация одного или нескольких тел представлена не нормальной, а клиновидной формой, лечатся в зависимости от тяжести деформации консервативными или оперативными методами. Решение по удалению позвонка, постановке стабилизирующих инструментов принимается сугубо после тщательной обзорной и функциональной диагностики, позволяющей трезво оценить патологическое состояние конкретного сегмента.
В целях хирургического лечения применяется несколько тактик, предупреждающих прогрессию патологического процесса, к ним относят:
- простой задний спондилодез с трансплантацией костного ауто- или гомологичного материала без использования металлоимплантов;
- задний артродез позвонков с дополнительным применением металлических пластин, специальной проволоки, стяжек и прочих разновидностей имплант-систем;
- комбинированное артродезирование (в процессе одного хирургического сеанса выполняется переднезадний спондилодез);
- эксцизия (удаление) дефектного позвонка до основания корня дужки с последующей коррекцией деформации путем закрепления металлоконструкции и укладки аутотрансплантатов.
Обратите внимание на клиновидную форму позвонков.
Сложный диагноз «клиновидные позвонки», сопровождающийся сколиотическими и кифотическими искривлениями, на сегодняшний день успешно поддается хирургической коррекции.
Индивидуальный подход к разрешению определенного клинического случая, адекватный выбор рационального операционного метода, правильной и полноценной постоперационной терапии – залог благополучного исхода лечения и хорошего самочувствия прооперированного человека.
Отменное качество хирургической помощи, оказываемой при любой патологии позвоночной системы, требующей вживления имплантатов и трансплантатов, предоставляют в Германии, Чехии и Израиле.
Но стоит заметить, что Чешская Республика – вне конкуренции, так как эта страна славится на весь мир самой передовой ортопедией, нейрохирургией и, что не менее важно, безупречной послеоперационной реабилитацией опорно-двигательного аппарата.
На заметку! Клиники Чехии, не только совершенны в плане профессионализма хирургов-ортопедов и реабилитологов, но еще и отличаются самыми низкими расценками на любой вид операций на позвонках. Стоимость полного курса той или иной высокотехнологичной лечебной программы в Чехии примерно в 2,5 раза дешевле, чем предлагают немецкие или израильские больницы.
Остеомиелит позвонка: как оперируют?
Все заболевания, относящиеся к позвоночнику, крайне небезопасны своими последствиями, в их числе и остеомиелит, или спондилит. Нельзя об этом забывать, тем более, если вам сказали, что нужно делать операцию. Бояться и намеренно не соглашаться на оперативное вмешательство – это подписать себе приговор на несчастное и мучительное существование, не исключается и смертельный исход.

Остеомиелит относится к инфекционной форме заболевания позвоночника, включая костный мозг губчатого вещества.
Основным толчком к развитию гнойно-некротического патогенеза в позвоночнике служит проникновение через вены и артерии в позвонки пагубных микроорганизмов, например, золотистого стрептококка, кишечной палочки или актиномицеты.
Патогенные возбудители могут проникнуть через раны, язвы, образовавшиеся на мягких тканях, или через открытый перелом. Болезнь реально вылечить консервативно, используя антибиотикотерапию, но только если пагубная среда была распознана в самом раннем ее проявлении, не позднее 6-24 месяцев с момента возникновения первых симптомов.
При диагностировании запущенного остеомиелита безотлагательно требуется хирургическая терапия. Приблизительно 10%-20% пациентов с диагнозом «спондилит» попадают в категорию лиц, которым нужна операция. Главными задачами нейрохирургического лечения являются:
- ликвидация гнойно-инфекционного очага;
- устранение развившихся последствий;
- восстановление опорных функций позвоночника.
Для достижения этих целей применяется миниинвазивный подход к поврежденному объекту, предусматривающий создание небольшого разреза в проекции интересующего сегмента нетравматическим способом (чаще переднебоковым), благодаря чему вмешательство проходит сравнительно быстро (за 1,5-2 часа) и с минимальной кровопотерей. Операция, как правило, включает в себя 2 этапа:
- радикальный – базируется на применении разных способов вскрытия абсцесса, иссечения и удаления некротических тканей, резекции смежных поверхностей поврежденных позвонков или тотального удаления пораженных тел, оказания декомпрессионного воздействия на спинной мозг и корешков нерва;
- восстановительный – основывается на осуществлении спондилодеза, воссоздании целостности и опороустойчивости позвоночного столба путем костной пластики, установки трансплантатов (материалы берутся обычно из ребра или гребня повздовшной кости пациента) для формирования костного блока, а также посредством выполнения ламинарной металлофиксации.
Послеоперационная реабилитация всегда строится на ЛФК и физиотерапии. Подниматься с постели пациенту разрешается в промежутке между 5 и 10 днем после выполненных манипуляций. После процедуры назначается прием антибиотиков по установленной врачом схеме, в среднем в течение 4-6 недель, и иммунотерапия.
Сегодня технологии спинальной нейрохирургии предполагают применение высокоэффективных операций, которые выполняются максимально щадящими и безопасными способами, с минимальным риском осложнений.
Другими словами, то, что знают и умеют современные спинальные хирургии, – полная противоположность тем принципам хирургии, которыми владели и применяли на практике 5-10 лет назад, не говоря о более долгом времени.
Вмешательство на 12 позвонке грудного отдела
На 12 позвонке операция весьма распространена при компрессионных переломах. Этот позвонок является одним из опорных элементов грудной клетки, и разрушается он чаще, чем вышележащие тела данного отдела, так как испытывает наивысшую степень давления. Поэтому при неблагоприятном травматическом или патологическом (гемангиома, остеопороз и пр.) воздействии Т-12 особенно подвержен перелому.
Восстановление целостности данного сегмента возможно при помощи выполнения операции по цементированию или по имплантации. Хорошие отзывы в оперативном лечении подобных травм имеет госпиталь мкр. Купавна г. Железнодорожного (Московская обл.), являющийся филиалом ГВКГ им.Н.Н.Бурденко.
Цементирование может быть выполнено одним из 2-х малоинвазивных методов: проводится вертебропластика или кифопластика. Обе методики подразумевают пункционное заполнение разрушенного тела костным медицинским цементом, благодаря чему восстанавливается высота, форма, целостность и прочность пострадавшего позвонка.
Если определена тяжелая степень перелома с нестабильностью, специалисты считают важным применить технику стабилизации. Она предполагает извлечение раздробленных частей, установку имплантанта диска. Импланты представляют собой пластмассовые кейджи или металлические межтеловые распорки из высокотехнологичных сплавов металла.
На протезированном уровне производится транспедикулярное закрепление позвонков спицами, винтами, пластинами.
При генерализированном раздроблении позвоночного компонента, что делает невозможным его сохранение и восстановление, позвонок подлежит полному удалению с последующим замещением утраченного костного тела искусственным аналогом.
Реабилитация: как научиться ходить и жить после замены?
Послеоперационное восстановление – длительный и кропотливый этап, основополагающей целью которого является предупреждение возможных осложнений и рецидива патологии, возвращение пациента к нормальной жизни.
Сначала передвигаться будет проблематично, кроме того, пациенту потребуется ходить в специальном корсете, дополнительно опираясь на поддерживающие средства, например, трость или ходунки.
Постепенно объем, легкость движений будут увеличиваться, боль и неврологический дефицит будут устраняться.
Однако, чтобы научиться ходить правильно, свободно и безболезненно реализовывать физические задачи конечностями и позвоночником, необходимо упорно работать над своим функциональным восстановлением, четко следуя всем рекомендациям хирурга и методиста по ЛФК.
Положительные результаты не придут сами по себе, функции костно-мышечного аппарата и нервной системы не наладятся, если после оперативного сеанса не последует хорошая реабилитация, даже, несмотря на блестяще выполненную операцию.
О чем каждый должен знать!
Пациенту в индивидуальном порядке разрабатывается план реабилитации, следуя которому вы шаг за шагом придете к желаемой цели.
Обязательные условия к выполнению, без которых невозможно достичь поставленных целей, – это лечебная гимнастика, процедуры физиотерапии, массаж и медикаментозное лечение, прописанные исключительно лечащим врачом в соответствии с реабилитационными периодами, динамикой восстановительного процесса и приживления установленной системы, возрастными и весовыми характеристиками, сопутствующими проблемами со здоровьем.

Продолжительность реабилитационного периода у всех разная, все зависит от тяжести клинического случая, вида хирургического лечения и индивидуальных особенностей организма к восстановлению.
После таких операций на позвоночнике восстановление не может быть меньше 4 месяцев, но особенного охранительного режима следует придерживаться не менее 1 года.
Не ленитесь и не сдавайтесь, и все у вас будет хорошо!
Источник:
