Болезнь Шейермана-Мау: причины, симптомы, лечение

Примерно у 1% детей в период активного роста наблюдается патологическая деформация грудного отдела позвоночника – прогрессирующий кифоз, или болезнь Шейермана-Мау.
При отсутствии своевременного лечения заболевание переходит в тяжелую форму, провоцирует развитие серьезных осложнений и почти не поддается консервативным методикам.
Почему возникает эта патология и как распознать ее на ранней стадии?
Болезнь Шейермана-Мау
Характеристика заболевания
Юношеский кифоз чаще всего диагностируют у детей в возрасте от 8 до 15 лет, причем поражает болезнь в равной степени и мальчиков, и девочек.
Почти у трети больных грудной кифоз сочетается со сколиозом, что значительно сильнее сказывается на состоянии позвоночника и сопровождается множеством осложнений.
Патология характеризуется изменением формы позвонков, уменьшением их высоты в передней части, вследствие чего изгиб позвоночника превышает 45 градусов и у человека образуется горб.
Вследствие деформации позвонков у больного формируется горб
Деформация позвонков приводит к неправильному распределению нагрузки, и больше всего от этого страдают межпозвоночные диски. Под давлением позвонков диски разрушают замыкательные пластинки, и часть пульпозного ядра проникает в костную ткань – так формируется грыжа Шморля.
Удерживающие позвоночник связки в результате этого воздействия утолщаются и влияют на рост позвонков: они тормозят развитие передней части структуры, в то время как задняя часть разрастается чрезмерно.
Постепенно это приводит к изменению формы не только позвоночника, но и всей грудной клетки.
Заболевание характеризуется изменением формы позвонков и наличием вертикальных грыж
Классифицируется заболевание по локализации поражения позвонков и стадии развития патологии. По локализации выделяют два типа болезни:
- грудной – изменения захватывают средние и нижние грудные позвонки (преимущественно с 6 по 10, чаще всего поражаются 7, 8 и 9 позвонки);
- пояснично-грудной – поражение охватывает нижние позвонки грудного отдела и верхние поясничного. Обычно протекает в более тяжелой форме и характеризуется наличием множественных вертикальных грыж в поясничном отделе.
Шейный отдел данная патология не затрагивает, да и в целом шейный кифоз – очень редкое явление. Оба типа болезни имеют несколько стадий развития, отличающиеся степенью клинических проявлений.
Таблица. Стадии болезни Шейермана-Мау
| Латентная | Обычно диагностируется у детей 8-14 лет. Не имеет выраженной симптоматики, жалобы, в основном, касаются небольшого ограничения подвижности позвоночника и появления умеренных болей в спине после активных физических нагрузок. Внешние проявления более заметны: в боковой проекции у больного хорошо просматривается дугообразное искривление в верхней части спины и усиление лордоза в области поясницы. |
| Ранняя | Диагностируется в возрасте от 15 до 20 лет. Проявляется выраженным болевым синдромом, защемлением нервных окончаний, возможно образование межпозвоночных грыж. Наблюдаются характерные внешние признаки: дугообразная спина, усиленный изгиб вперед в поясничной зоне, сильная сутулость. |
| Поздняя | Запущенная стадия заболевания, которая выявляется у взрослых пациентов. Имеет обширную симптоматику с ярко выраженным болевым синдромом и резким ограничением подвижности. На фоне основного заболевания наблюдаются вторичные патологии дегенеративно-дистрофического характера: спондилоартроз, остеохондроз, многочисленные грыжевые выпячивания. |
Важно! При позднем обнаружении шансы на полное выздоровление очень низкие, и даже оперативное вмешательство направлено, в основном, на устранение симптомов заболевания и повышение качества жизни больного. Вот почему так важно выявить болезнь на ранней стадии, пока поражения минимальны и опасности для здоровья не представляют.
Причины патологии
Несмотря на то, что болезнь Шейермана-Мау хорошо изучена, точно сказать, почему она возникает, специалисты не могут. Самой вероятной причиной считается генетическая предрасположенность, поскольку у большинства детей с таким диагнозом хотя бы один из родителей тоже имел данное заболевание.

Основной причиной болезни специалисты считают генетическую предрасположенность
К факторам, провоцирующим развитие болезни Шейермана-Мау, также относятся:
- врожденные патологии формирования костной и соединительной ткани;
- нарушение кровоснабжения хрящей в результате травм, спинальных инфекций или неправильного питания;
- мышечные патологии;
- гормональные сбои в пубертатном периоде.
Нарушения осанки причиной деформации позвонков не являются, но способствуют ее усилению, как и малоподвижный образ жизни или ожирение. Особенно опасно сочетание нескольких из указанных факторов в период активного роста ребенка.
Нарушение осанки способствует усилению деформации позвоночника
Симптоматика болезни Шейермана-Мау
Первые признаки болезни обычно проявляются с началом полового созревания. Внешне они выражаются усиленной сутулостью, нарушением осанки, при этом жалобы на ухудшение самочувствия отсутствуют.
Изменения в самих позвонках хорошо просматриваются на рентгеновских снимках, поэтому, если родители вовремя обратили внимание на ухудшение осанки и обратились к врачу, искривление удается легко устранить.
Если же ранние признаки были проигнорированы, болезнь прогрессирует, и появляются новые симптомы, выраженность которых со временем только возрастает.
Современные способы диагностики позволяют выявить малейшие изменения в позвоночнике и устранить заболевание на ранней стадии
Типичная симптоматика болезни Шейермана-Мау включает:
- дискомфорт в области лопаток;
- ноющие боли в спине, усиливающиеся при физических нагрузках и длительном нахождении в статичной позе;
- постепенное ухудшение подвижности позвоночника;
- острые болевые приступы, вызванные защемлением корешков;
- быстрая утомляемость;
- слабость в мышцах спины;
- нарушение чувствительности.
Заболевание проявляется болями в спине тянущего и острого характера
Чем больше болезнь прогрессирует, тем сильнее внешние проявления: увеличивается сутулость, голова выступает вперед, на спине формируется горб, изменяется походка.
При сильной деформации органы грудной клетки сдавливаются, смещаются, перестают правильно функционировать, что выражается дополнительными симптомами – одышкой, болями в сердце, проблемами с давлением.
При наличии множественных грыж и сдавливании ими спинного мозга у больного наблюдаются парезы конечностей, сильные головокружения, нарушения выделительных функций.
В запущенной стадии болезни деформация позвоночника влияет на работу органов грудной клетки, что часто проявляется болями в сердце
Методы диагностики
Основным методом диагностирования болезни Шейермана-Мау является рентгенологическое исследование. На снимках позвоночника хорошо просматривается угол изгиба, клиновидная форма грудных позвонков, грыжи Шморля.
При значительных деформациях и поражении нервных корешков больному назначают КТ либо МРТ, как более точные методы оценки состояния костной ткани и околопозвоночных структур.
Для проверки функционального состояния мышц и нервных волокон проводят электромиографию.
Для точной оценки состояния позвоночника больному назначают МРТ
Если вы хотите более подробно узнать, как проходит процедура МРТ позвоночника, а также рассмотреть, когда показано магнитно-резонансное исследование, вы можете прочитать статью об этом на нашем портале.
Дополнительно могут назначаться обследования других специалистов, например, пульмонолога или кардиолога, нейрохирурга. Все зависит от масштаба поражения органов и систем.
Как лечить заболевание
На лечении данной патологии специализируются ортопеды и вертебрологи. Следует учесть, что в большинстве случаев лечебный процесс очень длительный и требует строгого соблюдения назначенных врачом мер.
Как правило, применяют консервативные методики, основными из которых являются ЛФК, лечебный массаж и физиотерапия.
Хирургическое вмешательство показано лишь в крайних случаях, когда консервативная терапия результатов не дает, и состояние пациента резко ухудшается.

Методику лечения болезни Шейермана-Мау врач подбирает индивидуально каждому пациенту по результатам обследования
Лечебная гимнастика
Положительный эффект дают только регулярные занятия: в течение первых 2-3 месяцев упражнения нужно делать каждый день, в дальнейшем – 3 раза в неделю. Комплекс упражнений подбирается отдельно каждому пациенту с учетом стадии заболевания и общего состояния организма.
Гимнастика направлена на проработку мышц спины и шеи, тонус которых нарушен из-за неправильно распределенной нагрузки.
Также в комплекс входят дыхательные упражнения, способствующие нормализации работы органов грудной клетки, насыщению тканей кислородом и улучшению самочувствия.
– Упражнения при деформации грудного отдела позвоночника
Отдельные виды физической активности при болезни Шейермана-Мау противопоказаны. Прежде всего, это силовые упражнения, занятия с отягощениями, накачивание мышц грудной клетки. Также запрещены занятия акробатикой, прыжки, любые травмоопасные виды спорта. Зато плавание и оздоровительная ходьба будут очень полезным дополнением к ЛФК, независимо от стадии заболевания.
Скандинавская ходьба является отличным дополнением к лечебной физкультуре, поскольку способствует укреплению спинных мышц и выравниванию осанки
Массаж
Массаж при кифозе должен проводиться исключительно специалистом, поскольку деформированные позвонки и пораженные околопозвоночные ткани требуют максимально осторожного воздействия.
При отсутствии опыта правильно массировать самые уязвимые участки вряд ли получится, а вот спровоцировать смещение позвонков или компрессию нервных окончаний можно легко.
Обычно массаж назначают курсами по 8-10 сеансов примерно два раза в год, при регулярном наблюдении у лечащего врача.
Массаж при болезни Шейермана-Мау должен проводить опытный специалист
Физиотерапия
Способствуют восстановлению тканей и физиотерапевтические процедуры. Как и массаж, они назначаются курсами с интервалами от 3 месяцев до полугода. К таким процедурам относится лечение ультразвуком, электрофорез, грязевые обертывания, согревающие аппликации.
Физиотерапия имеет свои противопоказания, поэтому пациент не может самостоятельно подбирать вид процедур по своему усмотрению. Все назначения делает лечащий врач после тщательного обследования больного. Еще одним эффективным способом лечения является мягкое вытяжение позвоночника, которое осуществляется в воде.
Процедура абсолютна безболезненна и при грамотном выполнении не дает никаких побочных эффектов, в отличие от сухого вытяжения.
Подводное вытяжение позвоночника
Помимо указанных методик нередко назначается ношение корсета. Фиксация позвоночника в правильном положении позволяет скорректировать рост костей и устранить имеющиеся деформации.
Как правило, использовать корсет можно лишь по несколько часов в день, так как при длительном ношении развивается атрофия спинных мышц, что только ухудшает состояние больного.
Что касается медикаментозной терапии, то ее применение ограничивается обезболивающими и противовоспалительными средствами при наличии стойкого болевого синдрома. Если боли умеренные или вовсе отсутствуют, лекарства пациенту не назначаются.
Специальный корсет позволяет зафиксировать позвоночник в правильном положении, чем способствует выпрямлению изгиба
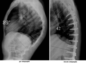
Если такими способами остановить прогрессирование болезни не удается, и угол изгиба превышает 70 градусов, показана операция на позвоночнике. Также хирургическое вмешательство оправдано при непрекращающемся болевом синдроме, серьезных нарушениях кровообращения, резком ухудшении работы органов дыхания. Выравнивание позвонков происходит за счет вживления специальных металлических конструкций.
Оперативное лечение болезни Шейермана-Мау
Профилактика болезни
Меры профилактики болезни Шейермана-Мау такие же, как и для других патологий опорно-двигательной системы.
Основной упор делают на физическую активность: умеренные регулярные нагрузки полезны для укрепления мышечного каркаса и связок и нормализации обменных процессов в организме. Очень важен постоянный контроль осанки, и здесь многое зависит от родителей.
Если ребенок с самого начала приучен к правильной осанке, риск возникновения проблем с позвоночником в подростковом возрасте минимален.
Приучать ребенка держать осанку следует как можно раньше — это поможет избежать многих проблем с позвоночником
Дополнительно имеет значение, в каких условиях ребенок занимается и проводит свой досуг. Стулья для детей рекомендуется приобретать ортопедические, разработанные с учетом анатомических факторов.
Стол для занятий должен иметь правильную высоту и быть максимально удобным.
То же относится и к организации спального места: кровать или диван обязательно подбираются с учетом роста ребенка, матрас и подушку желательно приобретать ортопедические.
Место для занятий ребенка должно быть организовано правильно
– Болезнь Шейермана-Мау
Источник:
Болезнь Шейермана-Мау — что это такое? Симптомы и лечение

Болезнь Шейермана-Мау, что это такое и что из себя представляет это прогрессирующее заболевание позвоночника? Болезнь проявляется в подростковом возрасте (примерно у 1% населения) и диагностируется в равной степени у мальчиков и девочек. При отсутствии лечения последствия недуга сохраняются на всю жизнь в виде сутулости или горба, но при адекватной терапии его можно вылечить без потерь для здоровья больного.
Характеристика болезни Шейермана-Мау
Ювенильный кифоз позвоночника (синдром Шейермана-Мау) – это дегенеративная патология тканей позвоночника, проявляющаяся деформацией шейно-грудного отдела.
У здоровых людей он имеет легкий изгиб, напоминающий вытянутую букву S, а у людей, страдающих болезнью Шейермана-Мау, этот изгиб усиливается и постепенно превращается в искривление.
В результате нарушается работа опорно-двигательного аппарата, теряется подвижность и равновесие, страдают внутренние органы.
Впервые заболевание было диагностировано и описано врачем из Дании Шейерманом (Holger Werfel Scheuermann) в 1920 году.
Причины
Точные причины болезни Шейермана-Мау неизвестны, но существует ряд факторов, которые могут спровоцировать развитие патологии:
- наследственная предрасположенность (в семьях, где один из родителей страдает от данного недуга, случаи заболевания встречаются гораздо чаще);
- травмы костных тканей спины в зоне их роста, полученные в пубертатный период;
- аваскулярный некроз замыкательных пластинок позвоночника, которые отделяют межпозвонковые диски друг от друга (возникает из-за нарушения кровообращения);
- остеопороз позвоночника после переломов позвонков;
- стремительный рост костной ткани в определенных зонах тел позвонков;
- отложение солей в области связочного аппарата. позвоночником позвоночник позвоночника
К косвенным причинам возникновения болезни Шейермана-Мау относятся вредные привычки матери при вынашивании беременности, интоксикация плода, недостаток массы тела ребенка, нерациональное питание и авитаминоз.
Признаки
Основной симптом болезни Шейермана-Мау – сутулость и сильное нарушение осанки у ребенка (шея и грудной отдел позвоночника искривляются, появляется сильный наклон верхней части корпуса). Подвижность тела ограничивается, появляется скованность и боли между лопаток, которые проявляются после долгого пребывания в положении сидя.
Признаки болезни Шейермана-Мау на рентгеновских снимках
По мере прогрессирования патологии неприятные ощущения усиливаются, деформация позвоночника становится ярко выраженной, в тяжелых случаях появляется горб.
Ребенок чувствует тяжесть, дискомфорт и быструю утомляемость спины после физических нагрузок.
При значительном искривлении ткани позвоночника начинают давить на спинной мозг, из-за чего нарушается чувствительность и подвижность конечностей.
Классификация
Болезнь Шейермана-Мау характеризуется тремя стадиями, каждая из которых имеет свои симптомы.
- Латентная (ортопедическая) стадия. Протекает в течение 8-14 лет от начала заболевания практически бессимптомно. Иногда больные чувствуют легкий дискомфорт в спине и ограничение подвижности позвоночника, у них наблюдается небольшое искривление грудного отдела.
- Ранняя стадия. Продолжается около 20 лет от появления первых симптомов. В этот период больные чувствуют сильный дискомфорт в области поврежденного отдела позвоночника.
- Поздняя стадия. Характеризуется серьезными ортопедическими деформациями, выраженным искривлением позвоночника, корешковым синдромом и межпозвоночными грыжами.
Стадии болезни Шейермана-Мау
Возможные осложнения
Помимо косметических дефектов позвоночника, болезнь Шейермана-Мау влечет за собой следующие осложнения:
- между позвонками и продольными связками откладываются соли кальция и образовываются остеофиты, из-за чего разгибание позвоночника становится невозможным;
- сильные боли в позвоночнике как результат повреждения нервных тканей;
- из-за изменений формы грудной клетки нарушается вентиляция легких, развиваются застойные явления и вторичные дыхательные заболевания;
- на поздних стадиях у больных нарушается работа сердечно-сосудистой системы, развивается аритмия и сердечная недостаточность;
- мышечные волокна спины атрофируются, что затрудняет выполнение бытовых задач.
Диагностика
Для постановки точного диагноза осуществляется сбор анамнеза: основные жалобы пациента, время появления первых симптомов, наличие болезни Шейермана-Мау у ближайших родственников, возможные травмы позвоночника. Во время внешнего осмотра врач устанавливает степень деформации позвоночника, наличие мышечного напряжения и корешкового синдрома.
https://youtube.com/watch?v=ko5Xu5LR1OM
В качестве дополнительного исследования назначается рентген позвоночника, который позволяет увидеть изменение формы позвонков и определить угол отклонения позвоночного столба от вертикальной оси. Для выявления возможных травм и осложнений со стороны разных органов и систем проводится МРТ и КТ, а также назначается консультация невролога, пульмонолога и кардиолога.
Берут ли в армию с болезнью Шейермана-Мау?
Болезнь Шейермана-Мау является основанием для освобождения молодых людей от армейской службы, но решение о пригодности или непригодности принимает специальная комиссия.
В каких случаях больным дают инвалидность?
Сама по себе болезнь Шейермана-Мау не является противопоказанием для трудовой деятельности или признания человека нетрудоспособным.
Если же недуг прогрессировал и повлек за собой серьезные осложнения (например, атрофию мышц, серьезную дисфункцию опорно-двигательной системы, сильный болевой синдром), больной может получить инвалидность.
Как и в предыдущем случае, окончательное решение принимает медицинская комиссия, основываясь на тяжести состояния больного и его самочувствии.
Как лечить болезнь Шейермана-Мау?
Лечение болезни Шейермана-Мау зависит от степени повреждения позвоночника, наличия осложнений и других факторов. Терапия может проводиться консервативными или хирургическими методами, причем оперативное вмешательство применяется только в сложных случаях преимущественно у взрослых пациентов, а также при быстропрогрессирующих формах и наличии тяжелых осложнений.
Лечение болезни Шейермана-Мау хирургическим путем
Консервативное лечение
Терапия при синдроме Шейермана-Мау включает следующие мероприятия: прием медикаментозных средств, ортопедическая коррекция позвоночника, лечебная физкультура, массаж спины. Они позволяют устранить основные симптомы заболевания, предотвратить осложнения и исправить дефекты позвоночного столба.
Медикаментозные средства
Лечение медикаментозными средствами предполагает устранение основных симптомов заболевания и облегчение общего состояния пациентов.
- Нестероидные противовоспалительные средства и местные анестетики. Используются для купирования боли и воспалительного процесса (особенно при наличии корешкового синдрома).
- Миорелаксанты. Устраняют наиболее распространенные симптомы недуга – напряжение и спазмы мышц.
- Хондропротекторы. Назначаются для профилактики формирования грыж и разрушения хрящевой ткани
- Витамины. Витаминотерапия укрепляет общий иммунитет пациентов и улучшает состояние опорно-двигательного аппарата.
Лечебная физкультура и мануальная терапия
ЛФК при болезни Шейермана-Мау считается наиболее эффективным способом лечения, который позволяет скорректировать патологию и полностью устранить симптомы. Упражнения направлены на укрепление и растяжение мышц спины, груди и шеи, а также на увеличение объема легких и расширение грудной клетки.
Чтобы занятия были максимально эффективными, комплекс упражнений для позвоночника должен быть разработан специалистом по ЛФК. Нагрузка наращивается постепенно, начиная с 20 минут и заканчивая двумя часами, упражнения выполняются через день не менее 3-х раз в неделю. Первые результаты появляются через 2-3 месяца регулярных занятий.
Помимо ЛФК, больным рекомендуется заниматься плаванием, ездой на велосипеде и ходьбой. Тяжелая атлетика, прыжки и травмоопасные виды спорта исключаются.
Массаж и мануальная терапия необходимы для нормализации мышечного тонуса и улучшение кровоснабжения, а ортопедическая коррекция (ношение корсетов и бандажей) помогает снять нагрузку с поврежденных отделов позвоночника и уменьшить неприятные проявления болезни.
Прогноз и профилактика
Прогноз болезни Шейермана-Мау, как правило, благоприятный, так как она относится к медленно прогрессирующим патологиям.
При ранней постановке диагноза и правильном лечении она не влияет на состояние здоровья и качество жизни больного.

Для профилактики развития патологии родителям следует внимательно следить за осанкой и правильным питанием ребенка, приобщать его к занятиям физкультурой и регулярно проходить профилактическое обследование у ортопеда.
Источник:
Болезнь Шейермана-Мау: симптомы, диагностика, лечение

Болезнь Шейермана-Мау – это прогрессирующая кифотическая деформация грудного отдела позвоночника, возникающая в период активного роста и обусловленная формированием клиновидной формы тел 3 и более позвонков. Это заболевание называется также дорзальным юношеским кифозом.
Почему возникает кифоз
Хотя болезнь Шейермана-Мау была описана впервые в 1921г., до сих пор не выяснена точная причина ее развития. Есть достаточно много теорий, описывающих возможный механизм появления юношеского кифоза, но ни одна из них не признана ведущей. Скорее всего, в каждом случае имеется сочетание разных предрасполагающих факторов.
Причиной развития характерной деформации может быть:
- наследственная патология, приводящая к нарушению остео- и хондрогенеза (закладки и развития костной и хрящевой ткани), к изменению структуры соединительной ткани;
- локальные нарушения микроциркуляции, приводящие к асептическому некрозу замыкательных пластинок тел позвонков (что было описано рентгенологом Шейерманом и потом подтверждено в ряде экспериментов врачом Мау);
- травмы грудного отдела спины в период активного роста позвоночника;
- повышенные нагрузки на позвоночник в сочетании с неравномерным ростом и развитием опорно-двигательного аппарата, длительные неправильные нагрузки при нарушении посадки за столом;
- ювенильный остеопороз вследствие метаболических нарушений, приводящий к разрежению костной ткани тел позвонков и склонности к патологическим переломам;
- гормональные нарушения в период роста, приводящие к изменению структуры костно-хрящевых образований (адипозогенитальная дистрофия и гипогонадизм);
- мышечная патология, изменяющая поддержку позвоночника, нарушение тонуса и развития паравертебральных мышц;
- неравномерный рост позвонков.
Нередко у одного подростка выявляются одновременно несколько факторов. В группе риска по этому заболеванию находятся дети с неврологическими и эндокринными нарушениями, а также имеющие родственников с нарушением осанки, кифозом и хондропатиями.
Симптомы
Юношеский кифоз прогрессирует медленно. Появление первых симптомов связано по времени с подростковым периодом, когда происходит активный рост опорно-двигательной системы, то есть примерно с 9–10 лет. Явные изменения могут быть замечены родителями к 14–16-летнему возрасту ребенка.
Основной внешний признак болезни Шейермана-Мау – это появление чрезмерного изгиба позвоночника назад в грудном отделе. Плечи отводятся вперед, лопатки несколько расходятся, а спина становится угловатой или дугообразно выгнутой.
Формируется позвоночный горб с вершиной ниже угла физиологического кифоза. Его отличие от нарушения осанки заключаются в том, что подросток с этой болезнью не может произвольно выпрямить позвоночник. Ведь при этом меняется форма позвонков, что приводит к стойкой кифотической деформации.
Даже при наклоне вперед и в положении лежа патологический изгиб сохраняется.
Дополнительно к этим симптомам отмечается изменение формы передней брюшной стенки и сглаживание поясничного лордоза (естественного прогиба в пояснице). Снижается подвижность позвоночника, ограничивается амплитуда движений при наклонах вперед и назад.
Но еще до появления явного кифоза подросток может отмечать чувство усталости в межлопаточной области после физических нагрузок, при длительном сидении.
Также могут появляться боли в спине умеренной интенсивности без иррадиации (распространения на другие участки тела). Этот период можно называть латентным или стадией ортопедических нарушений.
Врачебный осмотр выявляет признаки кифоза, но пациент и его родители обычно сами еще не замечают имеющиеся изменения.

По мере прогрессирования деформации появляются неврологические осложнения. Причем чаще всего поначалу симптоматика связана с компенсаторными изменениями на поясничном уровне, а не с грудным отделом.
Появляются боли в пояснице (люмбалгия), возможен рецидивирующий корешковый синдром на этом уровне.
При выраженном кифозе появляются боли в грудной клетке и мышцах живота, развивается миофасциальный синдром.
Если позвоночный канал узкий или если была дополнительная травма позвоночника, возможно подострое развитие компрессии спинного мозга. При этом возникают симптомы его поперечного поражения, все двигательные и чувствительные изменения обнаруживаются чуть ниже места компрессии.
В зрелом возрасте у людей с болезнью Шейермана-Мау рано возникают выраженные вторичные дегенеративно-дистрофические процессы в позвоночнике.
Это нередко сопровождается не только картиной ущемления корешков спинно-мозговых невов, но и хронической прогрессирующей миелопатией (дистрофией ткани спинного мозга). Кроме того, нарушение хода крупных сосудов из-за деформации грудной клетки приводит к их раннему и выраженному атеросклеротическому поражению.
Стадии болезни
Стадии юношеского кифоза связаны с физиологическими возрастными изменениями позвоночника. Патологический процесс начинается в период, когда в грудных позвонках краевые участки еще состоят из хряща. Прогрессирование болезни связано с активным ростом, сопровождающимся оссификацией (окостенением) позвонков.
В 10–11 лет у ребенка постепенно появляются зоны окостенения в апофизах позвонков, то есть около дисков. Они сливаются и формируют треугольную область по краям позвонков, отделенную от основной части тела позвонка хрящевой прослойкой с зоной роста. В возрасте 17–18 лет происходит слияние этих областей, позвонок принимает свою окончательную форму.
С учетом естественных процессов оссификации в болезни Шейермана-Мау выделяют несколько стадий:
- латентная или предшествующая (до появления апофизов), начинающаяся в 8–10 лет;
- ранняя или флоридная (до окончания роста и формирования позвонков), длящаяся с 11 до 17–18 лет;
- поздняя или резидуальная, при которой уже окостеневшие позвонки продолжают меняться, в них идет процесс дегенерации.
Как выявить и подтвердить юношеский кифоз
Диагностическими критериями болезни Шейермана-Мау являются характерные внешние симптомы, появление их в подростковом возрасте и рентгенологически подтвержденные изменения грудного отдела позвоночника.
Рентгенография является основным методом исследования, дающим основную часть необходимой информации.
Лишь при появлении неврологической патологии для уточнения характера и степени поражения спинного мозга дополнительно проводится МРТ, при необходимости дополняющаяся ЭМГ.
При рентгенографии позвоночника важна боковая проекция. Для подтверждения диагноза юношеского кифоза должны быть выявлены следующие признаки:
- наличие кифотической деформации с углом кифоза более 45º;
- изменение апофизов в период их формирования;
- клиновидная деформация 3 и более позвонков (с сужением их передних отделов);
- снижение высоты дисков;
- изменение структуры замыкательных пластинок позвонков и образование грыж Шморля (выпячиваний ядер дисков внутрь тела позвонка).
Кроме того, необходимо исключить другие причины кифоза, особенно инфекционное и опухолевое поражение позвонков.
Лечение
При болезни Шейермана-Мау в основном проводят консервативное лечение. Используют ортопедические приспособления, укладки и разгрузки, лечебную физкультуру, массаж и мануальную терапию, прием медикаментов и физиотерапию.
Ограничиваются осевые нагрузки на позвоночник. Поэтому к минимуму сводится время сидения за столом. Уроки рекомендовано делать лежа на животе со специальной подкладкой под грудь, помогающей разгрузить пораженный отдел.
При быстром прогрессировании процесса, компрессионном синдроме может быть рекомендовано использование индивидуальных гипсовых кроваток, ортезов и реклинаторов. Используется также метод вытяжения, позволяющий снять нагрузку с позвонков и дисков между ними.
Недопустимы силовые упражнения с подъемом тяжестей.

Для улучшения кровоснабжения и купирования болевого и мышечно-тонического синдрома назначают массаж и мануальную терапию в сочетании с пассивной коррекцией и лечебными укладками.
Физиотерапия повышает обменные процессы в пораженной области, позволяет справиться с некоторыми симптомами при болезни Шейермана-Мау.
Используют диатермию, ультразвук, импульсную магнитотерапию, электрофорез с новокаином, прозерином, препаратами кальция, фосфора и магния. Также проводят грязелечение.
Возможно назначение хондропротекторов, миорелаксантов центрального действия, нестероидных противовоспалительных препаратов, витаминов Д и группы В.
Необходимы регулярные занятия ЛФК. Комплекс подобранных упражнений должен быть направлен на укрепление мышечного корсета спины и мышц брюшного пресса, восстановление подвижности позвоночника и предотвращение вторичных деформаций в поясничном и шейном отделах.
К оперативному лечению прибегают при выраженном кифозе с углом более 60º, компрессии спинного мозга, стойком болевом синдроме. При этом возможно установление поддерживающих конструкций (мост) с частичной коррекцией искривления позвоночника, удаление грубо измененных позвонков и дисков.
Экспертиза при болезни Шейермана-Мау
У молодых людей с дорзальным юношеским кифозом проводится военная экспертиза для оценки пригодности к службе в армии.
Согласно действующему Постановлению правительства РФ от 04.07.2013, лица с кифозом 3 степени не пригодны к службе в армии.
Также ограниченно годны к службе юноши с 2 степенью кифоза (с углом 41–50º), деформацией 3 и более позвонков и функциональными нарушениями.
Проводится медико-социальная экспертиза, по решению которой определяется группа инвалидности, разрабатывается индивидуальная программа реабилитации и могут быть выписаны дорогостоящие ортопедические приспособления.
При решении вопроса о наличии инвалидности учитываются стойкость и выраженность симптомов (особенно болевого и компрессионного), нарушение способности к самостоятельному передвижению и самообслуживанию, количество дней нетрудоспособности по данному заболеванию в течение года, а также скорость прогрессирования процесса.
Болезнь Шейермана-Мау развивается постепенно, имеет тенденцию к прогрессированию с формированием выраженного грудного кифоза. Но своевременно начатое комплексное интенсивное длительное лечение у ортопеда в сочетании с ЛФК позволяет приостановить течение процесса и предотвратить неврологические осложнения.
Источник:
Болезнь Шейермана-Мау

Болезнь Шейермана-Мау (дорзальный юношеский кифоз) – прогрессирующая кифотическая деформация позвоночника, преимущественно возникающая в период интенсивного роста в возрасте 10–16 лет. Заболевание встречается у 1% подростков, причем одинаково часто как среди мальчиков, так и среди девочек.
Главным клиническим проявлением Шейермана-Мау является патологический кифоз грудного отдела позвоночника, возникающий в результате клиновидной деформации нескольких позвонков данного отдела (чаще всего 7, 8 и 9), при которой передняя часть тела позвонка уменьшается в высоте. Подобное изменение формы смежных позвонков приводит к искривлению cзади всего позвоночного столба и формированию горба.
Позвоночник человека имеет четыре умеренных естественных изгиба, которые в здоровом состоянии позволяют равномерно распределять вертикальные нагрузки на весь позвоночный столб, помогают сохранить равновесие и эффективно амортизируют толчки и сотрясения, возникающие при ходьбе, беге, прыжках.
При болезни Шейермана-Мау угол грудного кифоза, составляющий в норме от 20 до 40 градусов, увеличивается до 45–75 градусов. Это приводит к значительному перераспределению нагрузок на все отделы позвоночника и влечет за собой развитие множества осложнений.
Причины возникновения заболевания
На сегодняшний день истинный механизм развития болезни Шейермана-Мау не неизвестен. Однако существует несколько этиологических теорий:
- Наиболее вероятной причиной заболевания принято считать генетическую предрасположенность. Замечено, что в семьях, где один из родителей страдает от болезни Шейермана-Мау, данная патология у детей встречается гораздо чаще.
- Заболевание может быть спровоцировано травматизацией зон роста костной ткани в период активного развития ребенка.
- Причиной болезни Шейермана-Мау может служить нарушение артериального кровоснабжения тел позвонков, которое приводит к омертвению расположенных между позвонками и межпозвоночными дисками замыкательных пластинок, нарушению роста костной ткани и формированию характерной клиновидной деформации.
- Болезнь Шейермана-Мау может развиваться под влиянием остеопоротических процессов в позвоночнике. При остеопорозе происходит постепенное уменьшение костной массы, и позвонки утрачивают присущую им прочность. Возникающие компрессионные микропереломы и могут стать причиной кифотической деформации позвоночника.
- Некоторые специалисты склоняются к тому, что болезнь Шейермана-Мау является следствием избыточного роста костной ткани в одних участках тел позвонков при ее недостаточным образовании в других.
- Кроме того, среди вероятных причин развития болезни Шейермана-Мау рассматривают также нарушение нормального анатомического строения или функционирования околопозвоночных мышц. Их патологическое несбалансированное воздействие приводит к тому, что некоторые из позвонков страдают от повышенной нагрузки. Это нарушает биомеханику всего позвоночного столба и со временем приводит к его деформации.
Если у Вас возникли вопросы, спросите нашего специалиста!
Задать вопрос
Симптомы болезни Шейермана-Мау
В редких случаях первыми симптомами развития патологического процесса, возникающими еще до появления внешних проявлений заболевания или рентгенологических признаков, могут быть боли в спине между лопаток, быстрая утомляемость или дискомфорт при длительном сидении.

Однако гораздо чаще болезнь диагностируется, когда родители отмечают у ребенка сутулость, сколиоз или другие нарушения осанки и обращаются за помощью к врачу.
Болезнь Шейермана-Мау, как правило, прогрессирует очень медленно. Но со временем при отсутствии надлежащей терапии позвоночник становится все более ригидным – причем трудности появляются как с наклоном вперед, так и с разгибанием спины.
На последних стадиях спина приобретает округлые очертания, в области грудного отдела позвоночника образуется горб.
Поскольку деформируется также и грудная клетка, возможно возникновение серьезных трудностей с дыханием и развитие различных нарушений деятельности сердца.
По мере развития деформации и тугоподвижности позвоночника болевой синдром также становится все более выраженным и в отдельных случаях доставляет больному серьезные мучения даже ночью.
Стадии заболевания
В зависимости от клинических проявлений выделяют несколько стадий болезни Шейермана-Мау:
- Латентная (ортопедическая) стадия (8–14 лет) протекает практически без жалоб на самочувствие. Иногда возможны лишь несущественные боли в спине после физической нагрузки. При этом наблюдаются признаки искривления (кифоз грудного отдела позвоночника или сглаженный поясничный лордоз) и ограничение подвижности позвоночного столба.
- Стадия ранних неврологических проявлений (15–20 лет) характеризуется частыми или постоянными болями в области грудного и поясничного отделов позвоночника, мышцах живота, которые обычно вызваны компрессией корешков спинного мозга.
- Стадия поздних неврологических осложнений (после 20 лет) связана с быстрым прогрессированием в позвоночнике вторичных дегенеративных процессов: остеохондроза, межпозвонковых грыж, деформирующего спондилеза , спондилоартроза, оссифицирующего лигаментоза, структурного гиперлордоза. На этой стадии большинство пациентов страдают от постоянной боли в грудном и поясничном отделах позвоночника, иррадиирующей также в конечности и грудную клетку, нарушений чувствительности по ходу затронутых нервов. Со временем у пожилых больных возможно развитие миелопатии грудного и шейного отдела спинного мозга, а также атеросклероза аорты и ее ветвей.
Как диагностируется заболевание Шейрмана?
Диагностика болезни Шейермана-Мау включает в себя тщательный сбор анамнеза (жалобы, образ жизни, травмы, наличие заболевания у ближайших родственников, время и обстоятельства появления первых болей и т.д.
), а также подробное физикальное обследование – проводится внешний осмотр пациента на наличие визуальной деформации, определяются имеющиеся функциональные нарушения, с помощью пальпации выявляются болезненные участки и зоны аномального напряжения мышц.
Для уточнения или подтверждения диагноза применяются инструментальные методы диагностики, основным из которых является рентгенологическое обследование позвоночника.
Оно позволяет точно установить наличие клиновидной деформации позвонков (для заболевания характерно изменение формы не менее трех позвонков) и определить угол отклонения позвоночника от вертикальной оси.
Одним из основным рентгенологических признаков болезни являются грыжи Шморля, при которых происходит выпячивание хрящевой ткани межпозвоночного диска в тело расположенного выше или ниже позвонка.
При необходимости проведения более глубокого обследования или при наличии выраженной неврологической симптоматики назначают магнитно-резонансную томографию позвоночника и электронейромиографию.
На основании результатов такой комплексной диагностики может быть назначено лечение, основная цель которого – сохранить функциональность позвоночника и предупредить развитие опасных осложнений.
Лечение болезни Шейермана-Мау
Лечение болезни Шейермана-Мау может проводиться двумя способами – с помощью консервативных методов лечения и хирургически. Выбор тактики лечения зависит от степени деформации и выраженности клинических проявлений, распространенности патологических процессов, гибкости позвоночника, а также возраста, пола и общего состояния больного.
Хирургическое лечение
Поскольку проведение операции на позвоночнике всегда сопряжено с определенной долей риска, к хирургическому вмешательству прибегают только в самых крайних случаях.

Оперативное лечение требуется в ситуации, когда угол кифоза достигает 75 градусов. Кроме того, показаниями к операции выступают стойкий болевой синдром, не поддающийся купированию консервативными методами лечения, а также нарушение функций органов грудной клетки.
Хирургическое лечение болезни Шейермана-Мау предполагает выпрямление и укрепление позвоночного столба с помощью специальной металлической конструкции.
Статью рецензировал доктор медицинских наук, профессор Шварцман Григорий Исаакович,
Северо-Западный медицинский университет им. И.И.Мечникова.
Источник:
