Перелом 1, 2, 3, 4, 5 пястной кости со смещением и без: сколько заживает, восстановление

Переломы пястной кости не являются редкостью в травматологии и часто встречаются у всех слоев населения, однако, когда речь идет о пястной кости, переломы чаще встречаются у мужчин, занимающихся спортом, особенно, единоборствами. Пястная кость является трубчатой костью и располагается в кисти руки. Всего пястных костей пять, считать их следует, начиная c большого пальца.
Строение пястных костей такое же, как и у остальных костей — головка, шейка, тело и основание. Конец каждой косточки соединен с суставом фаланги и приводит в движение пальцы руки.
Наиболее часто возникает перелом 4-й и 5-й пястной кости, а если судить о расположении перелома пястной кости, то чаще всего ломается ее шейка.
Очень часто при переломе в третьей кости повреждаются тыльные метакарпальные сосуды, отвечающие за питание пальца.
Причины
Наиболее часто повреждается пясть правой руки, так как она является ведущей у большинства людей. Причиной травмы может стать следующее:
- Бытовое происшествие — защемление кисти дверью, падение на кисть тяжелого предмета, удар кистью обо что-то твердое;
- Спортивная травма — падения на руку, удары кулаком во время тренировок или спаррингов;
- Криминальное происшествие — драка, нападение.
Часто такую травму получают боксёры, отрабатывая удары на груше. Довольно распространенным такое повреждение является среди людей, злоупотребляющих алкоголем, так как во время опьянения они могут стучать кулаком об стену, либо другой твердый предмет, выплескивая злость или ярость.
Классификация
Когда ломается пястная кость, перелом может носить открытый или закрытый характер. Первый встречается немного реже, однако открытые повреждения заживают дольше и могут протекать с осложнениями.
В зависимости от количества поврежденных пястных костей может быть множественный или единичный перелом.
По расположению костных отломков относительно друг друга бывает перелом пястной кости со смещением и без него.
Линия разлома при переломе 4-й пястной кости или любой другой косточки в пясти может проходить параллельно оси, перпендикулярно, винтообразно, косо, также возможен ротационный перелом пястных костей. При переломе нескольких отдельных фрагментов, можно говорить о многооскольчатой травме. Помимо этого перелом может располагаться внутри сустава и за его пределами.
Внутрисуставная травма
Если 2-я или любая другая кость пясти ломается в районе диафиза, то травму классифицируют как внутрисуставную. Часто при получении человеком такого повреждения, у него еще диагностируется переломовывих Беннета. Один отломок кости при этом остается внутри суставной капсулы, а второй вместе с пальцем уходит в сторону.
Внесуставная травма
К околосуставным повреждениям можно отнести многооскольчатый перелом Роландо. Во время травмы пястных костей сместившиеся отломки не повреждают капсулу сустава, а сдвигаются к лучу. Получается угол с указывающей на запястье вершиной.
Перелом пятой пястной кости со смещением не является редкостью, так как мизинец расположен с края ладони. Помимо него со сдвигами протекают переломы 1-й пястной кости и второй косточки. При переломе 3-й пястной кости или если человек сломал четвертую кость, сдвиг, обычно, не происходит.
Клиническая картина
Если имеет место перелом первой пястной кости, то большой палец загибается к ладошке пострадавшего. Возле лучезапястного сустава доктор может прощупать небольшой выступ, даже если произошел перелом кости без смещения. Основными признаками травмы являются:
- сильный болевой синдром, иррадиирующий в ладонь, который становится сильнее, когда пострадавший пытается шевелить пальцем или кистью;
- отечность тканей в области перелома и около него;
- подкожное кровоизлияние, приводящее к образованию гематомы;
- рана и торчащие из нее отломки при открытом типе повреждения.
При многооскольчатой травме происходит укорачивание пальца, его посинение и прижимание к ладони. Если пострадавший попытается пошевелить пальцем, то доктор услышит крепитацию отломков. При возникновении любых симптомов, указывающих на данную травму, следует сразу же оказать пострадавшему первую помощь и доставить его в травматологический пункт.
Оказание доврачебной помощи
При открытом типе повреждения в первую очередь следует остановить кровотечение, так как обильная кровопотеря может стать причиной травматического шока.
После остановки крови следует обработать антисептическим раствором края раны и наложить стерильную сухую повязку.
Если перелом закрытый, то следует приложить к месту травмы лед и дать человеку обезболивающий препарат, после чего провести иммобилизацию кисти.
При наложении шины нельзя выпрямлять согнутые пальцы, так как это может привести к смещению отломков и повреждению тканей, сосудов и нервов.

Шина должна начинаться около запястья и на пару сантиметров выступать за кончики пальцев. В качестве шины можно использовать любую палку, линейку, карандаш. При отсутствии данных предметов, можно туго обмотать кисть бинтом, стараясь не нарушить положение костей.
Постановка диагноза
Чтобы кость срослась правильно, необходимо назначить пациенту лечение, подходящее именно для этого вида травмы, поэтому доктор должен в процессе обследования поставить точный диагноз. Для диагностики врач делает следующее:
- Собирает анамнез. При поступлении пациента в травматологический пункт, доктор спрашивает, как давно была получена травма, какие присутствуют симптомы, как оказывалась первая помощь и какие принимались обезболивающие препараты.
- Проводит осмотр. При пальпации врач отмечает, есть ли крепитация и присутствует ли патологическая подвижность кости. Доктор может нащупать сместившиеся фрагменты и определить, какая из костей пясти подверглась перелому.
- Выполняет инструментальное обследование. Для постановки точного диагноза необходимо проведение рентгена в трех проекциях. Если есть подозрение на внутрисуставный или многооскольчатый перелом, то проводится магнитно-резонансная или компьютерная томография.
После того как диагноз будет поставлен, пациента направляют на стационарное лечение в отделение травматологии или хирургии.
Лечебные мероприятия
Лечение травмы подразумевает восстановление и сохранение кисти в анатомическом положении. Врачам необходимо сделать так, чтобы была сохранена длина, форма и мобильность пальцев и костей пясти. Быстрое восстановление функциональности кисти зависит от некоторых факторов:
- возраст пациента;
- скорость оказания первой помощи и начала лечения;
- общее состояние больного;
- время, за которое срастается перелом в каждом индивидуальном случае.
Лечение может проводиться как консервативным, так и хирургическим методом, в зависимости от сложности перелома.
Источник:
Перелом пятой плюсневой кости: симптомы, лечение, осложнения

Пожалуйста, ознакомьтесь с информацией, касающейся того, с чем вы можете столкнуться после операции, в соответствующем разделе нашего сайта.
Вы должны понимать, что ниже представлен лишь примерный план реабилитации, в то время, как у каждого пациента процесс выздоровления проходит по-своему.
Данная информация призвана помочь вам понять суть своего состояния, возможности лечения и реабилитации.
Приведенные нами временные рамки – это лишь минимум, и, принимая решение в пользу оперативного лечения, вы должны иметь ввиду, что в вашем случае процесс заживления и реабилитации может продлиться дольше.
Ранний послеоперационный период
Пожалуйста, не снимайте самостоятельно повязку до следующей встречи с вашим лечащим врачом.
В течение 6-8 недель после операции вы должны передвигаться с использованием двух костылей без нагрузки на оперированную стопу. Перед выпиской домой вас проконсультирует физиотерапевт, который в т.ч. расскажет вам о том, как правильно пользоваться костылями.
В первые 2 недели после операции старайтесь придавать стопе возвышенное положение и держать ее в этом положении 95% времени. В течение всего этого периода вам рекомендуется находиться дома.
Возвышенное положение стопы и голеностопного сустава
У большинства людей дома конечно же нет функциональной кровати, как здесь на этом фото. Однако того же эффекта можно добиться и на обычной кровати или диване, подложив под стопы подушку. Не следует придавать возвышенное положение стопе, когда вы сидите на стуле. И еще раз советуем все первые две недели оставаться дома.

С тем, чтобы минимизировать риск инфекции, держите стопу в сухости и прохладе. Избегайте избыточной влажности и жары. Когда принимаете душ, надевайте на стопу герметичный мешок.
С целью профилактики тромбозов вен регулярно выполняйте движения в стопе и голеностопном суставе. Употребляйте достаточное количество жидкости. При наличии факторов риска тромбозов обязательно сообщите об этом своему лечащему врачу, при необходимости он может назначить вам антикоагулянты.
Две недели после операции
Вас осмотрит ваш лечащий врач и будет сделана перевязка.
На данном этапе, если отек купировался в достаточной мере, стопу рекомендуется держать в горизонтальном положении в течение дня 50-75% времени. Послеоперационную обувь вы должны носить еще 4 недели.
Однако это не значит, что вам можно нагружать стопу. Послеоперационный ботинок предназначен для того, чтобы защитить вашу стопу, если вы, к примеру, вдруг споткнетесь.
Ненадолго разрешается выходить на улицу, длительность прогулок ограничивается болевыми ощущениями и отеком стопы.
Вождение автомобиля допускается только в случаях, когда у вас оперирована левая стопа, а автомобиль с автоматической трансмиссией. Если оперирована правая стопа, то за руль рекомендуется садиться не раньше, чем через 8-10 недель после операции.
Мероприятия, направленные на снижение чувствительности рубца, начинаются только после полного заживления раны. С этой целью вы можете воспользоваться массажным кремом (например, Е45), который следует втирать в область рубца и вокруг него.
Шесть-восемь недель после операции
Перед визитом к врачу вам будет выполнена контрольная рентгенография. С этими снимками вас осмотрит ваш лечащий врач и у вас будет возможность сравнить рентгенограммы до и после операции. Признаки сращения обычно становятся видны не раньше, чем через 6-8 недель после операции.
На данном этапе, если процесс заживления протекает благоприятно, отек и кровоизлияния должны практически полностью исчезнуть, хотя некоторый отек может сохраняться до 3-4 месяцев.
При наличии рентгенологических признаков консолидации вам будет разрешено дозированно, по мере переносимости, нагружать стопу. За время иммобилизации, которая продолжалась 6-8 недель, голеностопный сустав и суставы стопы становятся очень скованными, а мышцы бедра и голени – гипотрофичными.
Восстановить движения в голеностопном суставе и стопе вам поможет гидротерапия (упражнения в бассейне), а также общеукрепляющие упражнения на все группы мышц.
Бег в бассейне в спасательном жилете является прекрасным методом, позволяющим, не нагружая суставы, восстановить силу мышц и прочность костной ткани.
После того, как вам будет разрешено нагружать оперированную стопу, для восстановления силы мышц можно начать заниматься на велотренажере. На данном этапе вы будете направлены к физиотерапевту, который будет контролировать процесс вашей реабилитации.
Три-шесть месяцев после операции
Если вы удовлетворены результатом, этот ваш последний визит к врачу.
Источник:
Перелом 5-ой плюсневой кости стопы: признаки, реабилитация и восстановление

Перелом 5-ой плюсневой кости является распространенной травмой стопы у лиц, ведущих активный образ жизни. В наибольшей степени этому перелому подвержены лица, имеющие избыточную массу тела.
У них многократно возрастает нагрузка на все мелкие кости ступни.
Происходит первичная дегенерация на фоне ишемии и наблюдается частичная остеомаляция, что влечет за собой неизбежные многочисленные переломы.
Также перелом 5-ой плюсневой кости стопы может быть спровоцирован неправильной постановкой ног (плоскостопием или косолапостью), вальгусной или варусной деформацией голени, развитием остеоартроза сустава большого пальца и другими заболеваниями.
Следует правильно подбирать обувь для повседневной ходьбы и занятий спортом.
Неправильно подобранная обувь не только не обеспечивает защиту ступни, но и способствует повышенному травматизму при падениях, неудачных прыжках, скручиваниях и других видах травматического воздействия.

Каждая плюсневая косточка имеет пять зон: проксимальная бугристость, основание, диафиз (тело), дистальная шейка и головка.
В районе основания наблюдается крепление сухожильных волокон малоберцовых мышц (длинной и короткой), поэтому при травмах голени может наблюдаться частичный перелом или трещина основания плюсневой кости.
Еще одна малоберцовая мышца крепится своими сухожильными волокнами в области диафиза, поэтому тут тоже вероятны вторичные переломы костной ткани.
Плюсневая кость имеет три зоны образования переломов:
- основание подвергается нарушению целостности в большинстве случаев, это обусловлено анатомическим особенностями системы распределения нагрузки;
- первая зона подвергается травматическому воздействию в результате формированной инверсии ступни – страдает бугорок;
- форсированная аддукция приводит к образованию трещины во второй зоне – между диафизом и шейкой (здесь практически отсутствует кровоснабжение, поэтому высокий риск несращения костной ткани);
- переломы в третьей зоне появляются в основном при регулярных повышенных нагрузках на стопу.
Наибольшую опасность представляет собой перелом основания. Он часто сопряжен с вывихом или нестабильностью сустава Лисфранка и разрывом связочного аппарата.
Также усиленное внимание травматологи уделяют лечению переломов в области метафизарно-диафизарного перехода. Травма также сопряжена с повреждением предплюсне-плюсневого сустава и растяжением связочного аппарата.
Также стоит обратить внимание на коллатеральную схему кровоснабжения.
Оно осуществляется метафизарной и диафизарной артериями, которые не кровоснабжают область второй зоны. Поэтому при образовании лаже трещины высока вероятность того, что она не срастется без остеопластики.
После перелома 5-ой плюсневой кости пациенту требуется комплексная реабилитация для полного восстановления поврежденных тканей и ослабленных сухожилий. Проводить реабилитацию нужно под контролем со стороны опытного врача.
Вы можете записаться на первичный бесплатный прием к ортопеду в Москве в нашей клинике мануальной терапии. Вам будет предложен индивидуальный план проведения восстановительной реабилитации и даны все необходимые рекомендации.
Перелом 5-ой плюсневой кости без смещения
Перелом основания 5-ой плюсневой кости часто не осложняется смещением костных осколков. Для его лечения может быть избрана исключительно консервативная тактика. Накладывается гипсовая повязка на 3 недели. За это время образует обширная костная мозоль, восстанавливающая целостность основания.
Перелом 5-ой плюсневой кости без смещения позволяет сократить время терапевтической иммобилизации до минимума. Поэтому последующая реабилитация заключается в основном в нормализации работоспособности мышц свода стопы и малоберцовых мышц. Применяется лечебная гимнастика, массаж и остеопатия.
Перелом 5-ой плюсневой кости со смещением
Оскольчатые переломы встречаются в местах крепления сухожилий. При травматическом воздействии на мышцы происходит их резкое и чрезмерное сокращение. Они могут подвергнуться разрывам и растяжениям. Но часто происходит отрыв костной ткани в месте крепления сухожильных волокон. Плюсневая кость в большинстве случаев травмируется таким образом в области диафиза и основания.
Любой перелом 5-ой плюсневой кости ноги во второй зоне требует хирургического лечения. Если это перелом 5-ой плюсневой кости со смещением, то используется метод остеосинтеза с помощью внедрения винтов. Они устанавливаются внутри интрамедуллярного канала до полного сращения кости.
Проксимальный смещенный перелом диафизной части плюсневой кости часто возникает у профессиональных бегунов и прыгунов. Он может приводить к нестабильности межплюсневого сочленения костей, что вызывает серьёзную деформацию стопы.
Считается стрессовым переломом и требует длительного периода реабилитации перед возвращением в спорт. Часто после данной травмы формируется устойчивая кавоварусная деформация.
Могут развиваться сенсорные нефропатии стопы и пальцев с утратой чувствительности и периодически возникающими парестезиями.
Перелом головки и диафиза 5-ой плюсневой кости
Полный перелом головки 5-ой плюсневой кости встречается часто у женщин, которые предпочитают носить обувь на высоком каблуке. Происходит деформация сустава между плюсневой и фаланговой костью.
При небольшом травматическом воздействии на сустав происходит смещение головки и возникает трещина костной ткани.
Эта травма успешно поддается лечению с помощью гипсования и не требует хирургического вмешательства.

Частичный или полный перелом диафиза 5-ой плюсневой кости в большей степени наблюдается рядом с головкой. Это обусловлено анатомическим сужением данной части. Здесь очень узкий внутрикостный канал и заметно снижена микроциркуляция крови в области надкостницы. Поэтому плотность костной ткани может быть снижена.
Перелом диафиза может случиться при:
- прыжках с высоты и в длину;
- длительном нахождении на ногах в обуви, сдавливающей стопу;
- беге в обуви, которая не амортизирует оказываемые нагрузки;
- длительно протекающих явлениях остеомаляции и остеопороза.
Несомненным фактором риска является избыточная масса тела и ведение малоподвижного образа жизни. Существенное влияние на состояние костной ткани оказывают сосудистые патологии, такие как диабетическая ангиопатия, атеросклероз, варикозное расширение вен нижних конечностей, облитерирующий эндартериит.
У пациентов следует исключать ряд эндокринных патологий, которые могут спровоцировать разрушение костной ткани.
Также с целью профилактики переломов мелких костей ступни следует оказываться от систематического прима гормональных препаратов, в том числе и используемых для лечения заболеваний опорно-двигательного аппарата.
Сколько заживает перелом 5-ой плюсневой кости
То, сколько заживает перелом 5-ой плюсневой кости, зависит от целого ряда факторов. В первую очередь – это место перелома. Если оно располагается во второй и третьей зоне, то высока вероятность того, что травма без хирургического вмешательства самостоятельно в принципе не заживет.
Поэтому при диагностировании подобных переломов опытные травматологии сразу же направляют пациента на операцию по остеосинтезу. При переломе основания плюсневой кости заживление происходит в течение 3 – 4 недель. Остаточные явления могут присутствовать на протяжение последующих 6-7 месяцев.
Это небольшая по интенсивности боль в области плюсневой кости, скованность в утренние часы, мышечная слабость, ощущение нестабильности при постановке стопы.
Второй важный фактор – состояние кальциево-фосфорного обмена в организме человека. В зоне риска находятся женщины, вступившие в климактерическую менопаузу.
У них понижены женские половые гормоны, в результате чего может наблюдаться процесс вымывания кальция из костной ткани.
В такой ситуации для успешного восстановления целостности 5-ой плюсневой кости необходима коррекция гормонального баланса и восстановление кальциево-фосфорного обмена.
Зачастую пациенту назначается витамин D и комплекс минеральных добавок для ускорения образования костной мозоли.
Третий фактор, от которого зависит срок восстановления – правильность проводимого лечения. Как уже говорилось выше, не стоит ждать успешного восстановления целостности костной ткани, если перелом произошел во второй или третей зоне. Здесь фактически отсутствуют ресурсы для восстановления, поскольку зоны очень слабо снабжаются кровью.
Пациент должен с точностью выполнять все рекомендации лечащего врача. Только в этом случае высока вероятность полного сращения костной ткани в максимально сжатые сроки. Обратите внимание, что потребуется реабилитация для полного восстановления функциональности повреждённой стопы.
Реабилитация после перелома 5-ой плюсневой кости
Правильная и своевременная реабилитация после перелома 5-ой плюсневой кости позволяет полностью восстановить функциональность стопы и избежать развития в будущем серьезных патологий. Довольно часто подобная травма провоцирует:
- повторные переломы рядом с образовавшейся костной мозолью;
- нарушение микроциркуляции крови в области травмы и рубцевание окружающих мягких тканей;
- отложение солей кальция в сухожильных волокнах, что приводит к развитию крепитирующего тендовагинита;
- развитие плантарного фасциита и пяточной шпоры;
- развитие остеоартроза мелких суставов кости;
- появление плоскостопия или косолапости (в зависимости от места перелома).
Комплексная реабилитация после перелома 5-ой плюсневой кости позволяет избежать всех этих последствий и восстановить нормальное функционирование стопы. Проводить реабилитационные мероприятия лучше под контролем со стороны опытного врача ортопеда. Он поможет также исключить вероятные отклонения в постановке стопы, которые могли повлечь за собой перелом плюсневой кости.

Реабилитация при переломе 5-ой плюсневой кости стопы начинается сразу же после снятия гипса и рентгенографического подтверждения полного восстановления целостности поврежденной ткани. Курс разрабатывается индивидуально. В нашей клинике мануальной терапии для восстановления после перелома 5-ой плюсневой кости применяются следующие методики:
- лечебная гимнастика – позволяет восстановить тонус мышц, сухожилий и связок, улучшить кровоснабжение и ускорить процесс диффузного питания хрящевых и соединительных тканей;
- остеопатия – улучшает процесс микроциркуляции крови и лимфатической жидкости;
- массаж – повышает эластичность мягких тканей, снимает избыточное напряжение;
- физиотерапия – стимулирует процессы регенерации тканей;
- рефлексотерапия – запускает процесс естественной регенерации тканей.
Если вам необходимо провести полноценный курс реабилитации после перенесённого перелома костей стопы, то вы можете обратиться в нашу клинику мануальной терапии. Первичная консультация для каждого пациента проводится бесплатно. В ходе приема доктор проводит осмотр и мануальное обследование. Затем разрабатывается индивидуальный курс для восстановления всех тканей стопы.
Консультация врача бесплатно. Не занимайтесь самолечением, позвоните и мы поможем +7 (495) 505-30-40
Источник:
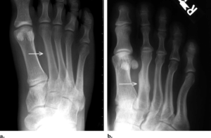
Перелом пятой пястной кости

Перелом пятой пястной кости со смещением – нарушение целостности кости с полным или частичным повреждением и сопутствующим суставным смещением. Такая травма также носит название «перелом боксера», поскольку часто возникает в результате сильного удара.
Характеристика травмы и ее причины
Пятая пястная кость имеет изогнутую форму и принимает непосредственное участие в процессе сгибания и разгибания пальцев, захвата предметов. Перелом 5 кости может иметь следующие разновидности:
- Открытый.
- Закрытый.
- Оскольчатый.
- Со смещением.
- Без смещения.
Боксерские переломы со смещением, при которых наблюдается сдвиг костных обломков, по мнению травматологов, считаются наиболее опасными и сложными.
Спровоцировать данное повреждение могут следующие факторы:
- Травмы.
- Удары.
- Наличие внутрикостного опухолевого новообразования, ослабляющего структуры костной ткани.
- Падение на кулак или же сильный удар кулаком.
Согласно статистическим данным, данный тип травматического повреждения встречается в 40% случаев. Причем представители сильного пола сталкиваются с такой травмой почти в три раза чаще, нежели женщины. Пятая пястная кость может ломаться и смещаться при занятиях такими травматичными видами спорта, как карате, бокс, борьба, баскетбол, волейбол и т. д.
Как проявляется?
Перелом пятой пястной кости характеризуется сильным болевым синдромом, возникающим непосредственно после травмы. При этом отмечается явная тенденция к усилению болевых ощущений при попытке совершить какие-либо движения пальцами. Помимо этого, у пострадавших наблюдаются следующие характерные клинические симптомы:
- Деформация, западание головки 5 пястной кости.
- Патологическая подвижность при движениях пальцами.
- Отечность.
- Кровоизлияние, гематомы.
- Укорачивание пальца.
- Появление специфического хруста.
- Изменение кистевого контура.
У пациентов также заметно ослабляется хватательная функция, они не могут сжать руку в кулак и испытывают при таких попытках острую, нестерпимую боль. При выявлении подобных симптомов необходимо как можно скорее доставить пострадавшего в травмпункт, где ему окажут квалифицированную медицинскую помощь, поскольку такого рода травмы часто влекут за собой очень серьезные последствия.
Возможные осложнения
Если человеку с «переломом боксера» не оказана своевременная помощь или лечение не было полноценным, то возникает вероятность развития следующих, крайне нежелательных осложнений:
- Повреждение коллатеральных связок.
- Неправильное положение костных фрагментов с сопутствующей асимметрией.
- Нарушения разгибательного механизма.
- Повреждение разгибательного сухожилия.
- Периферическое смещение.
- Деформация пальца.
При открытых переломах, в результате инфицирования, могут развиваться абсцессы, нагноения, сепсис.
В результате, пациент может полностью утратить способность нормально работать, двигать поврежденной конечностью.
К счастью, достижения современной медицины, при своевременном обращении к специалисту и соблюдении всех врачебных рекомендаций, позволяют избежать развития столь нежелательных последствий.
Как помочь пострадавшему?
Первая помощь предполагает обязательное проведение иммобилизации, причем, чем скорее это будет сделано, тем лучше.
Поврежденную конечность следует зафиксировать в стабильном положении при помощи шины (можно использовать любые подручные средства, например, дощечку или сложенный журнал), таким образом, чтобы кисть была чуть разогнута, а пальцы находились в полусогнутом состоянии. После этого следует прибинтовать руку или же подвесить ее на косынку.
В случае открытого перелома, начинать необходимо с остановки кровотечения и обработки раневой поверхности антисептическим средством, а также наложения стерильной повязки, чтобы не допустить дальнейшего инфицирования.
С целью устранения отечности и облегчения состояния пострадавшего к пораженному участку прикладывается холод, ледяной компресс, грелка со льдом. При сильном болевом синдроме можно дать человеку выпить обезболивающий препарат.
Не пытайтесь заниматься самолечением, поскольку в данном случае это очень опасно! Постарайтесь как можно скорее доставить потерпевшего в травматологическое отделение лечебного учреждения для проведения диагностики и последующего лечения!
Если не обратиться к специалисту, возможно дальнейшее усугубление травматического повреждения, неправильное сращивание костных фрагментов.
В таких случаях, пациентов ожидает очень неприятная и болезненная процедура – ломание костей, с последующим наложением гипса или же хирургическое вмешательство! Причем, положительный исход таких процедур гарантировать невозможно, всегда есть серьезная вероятность инвалидности, поэтому лучше проявить бдительность и не рисковать своим здоровьем!
Методы диагностики
Диагностика перелома пятой пястной кости начинается с осмотра потерпевшего врачом – хирургом или же травматологом. Как правило, вывить характер травмы не составляет труда для опытного специалиста.
Однако, с целью постановки точного диагноза и определения разновидности перелома, пациентам назначается обязательное рентгенографическое исследование, позволяющее выявить все возможные сколы и смещения. Рентгеновский снимок делается в трех проекциях.
В случаях внутрисуставного, многооскольчатого перелома, может быть рекомендовано проведение компьютерной томографии или же магнитно-резонансной томографии.
Методы консервативного лечения
Все лечебные мероприятия в случае перелома 5 пястной кости, в первую очередь, должны быть направлены на восстановление целостности костной ткани, нормальное ее функционирование и физиологическое положение. Любые манипуляции осуществляются исключительно под действием местной анестезии, поскольку, в противном случае, высока вероятность болевого шока.
В простых клинических случаях предпочтение отдается консервативному лечению.
Специалист путем давления на тыльную кистевую сторону направляет сместившийся костный фрагмент в правильное физиологическое положение, после чего фиксирует конечность, накладывает на кисть гипс.
Через несколько недель проводится повторное рентгенографическое исследование, позволяющее отследить динамику, процесс сращивания перелома.
Хирургическое лечение
Хирургические методы лечения назначаются при осложненных переломах со смещением и предполагают госпитализацию пострадавшего. В ходе операции через ногтевую фалангу пациента вводится специальная спица, способствующая скелетному вытяжению обломков.
В наиболее тяжелых случаях проводится хирургическое вмешательство под действием общего наркоза. Кисть разрезается, проводится вправление и сопоставление костных фрагментов. Специалист придает кисти и пальцам правильное положение, после чего вводится спица. В завершение операции накладываются швы и фиксирующая гипсовая повязка.
Реабилитационный период
Реабилитация после перелома пятой пястной кости предполагает максимальное ограничение двигательной активности, часто пациентам назначаются медикаментозные препараты противовоспалительного, обезболивающего действия, хондропротекторы, витаминно-минеральные комплексы, кальций.
Дальнейшие реабилитационные мероприятия, направленные на функциональное восстановление поврежденной кости, начинаются, как правило, после снятия гипса (приблизительно на 4–6 неделе после травмы).
Пациентам рекомендуются следующие физиотерапевтические процедуры:
- Магнитотерапия.
- УВЧ-терапия.
- Прогревания синей лампой.
Большое значение имеют занятия лечебной физкультурой. Кроме того, пациентам рекомендуется регулярно выполнять особый комплекс упражнений, направленных на разработку двигательной активности и мелкой моторики. Вот, что следует делать в период реабилитации:
- Перебирание круп.
- Собирание моделей из детского конструктора.
- Выполнение круговых движений кистью и пальцами рук.
- Сжимание пальцев в кулак.
- Упражнения с экспандером.
Проводить такие занятия следует регулярно и систематически, от трех до пяти раз на протяжении суток.

Продолжительность реабилитационного периода зависит от многих факторов, таких как степень тяжести повреждения, характер перелома, метод лечения, возраст и индивидуальные особенности пациента. В среднем, восстановление длится 2–3 месяца.
О профилактике
Профилактика «переломов боксера» заключается в максимальной осторожности и соблюдении правил безопасности при спортивных тренировках, соревнованиях, подъемах тяжестей.
Профессиональным спортсменам и лицам, занимающимся тяжелой физической работой, которые находятся в группе высокого потенциального риска, рекомендуется регулярно делать специальные упражнения, укрепляющие кисти рук, принимать препараты кальция, витамины, способствующие повышению прочности костной ткани.
Боксерский перелом — достаточно тяжелая и широко распространенная травма. Для того чтобы избежать многочисленных неблагоприятных последствий, важно грамотно оказать пострадавшему первую помощь и как можно скорее доставить его в травмпункт.
Лечение осуществляется, как консервативными, так и хирургическими методами, и подбирается специалистом индивидуально, в зависимости от характера травмы. В случае своевременного обращения к врачу, грамотного лечения и реабилитации, медицинский прогноз при данном виде травматического повреждения считается вполне благоприятным.
Источник:
Перелом 5 плюсневой кости стопы: диагностика, реабилитация, прогнозы
Основные вопросы у пациентов при обращении к травматологу с переломом плюсневых костей: «Как долго придется носить гипс? Обязательно ли ходить с костылями после перелома? Как встать на ноги после травмы?» Эта статья ответит на эти и многие другие интересующие вопросы.
Человеческая стопа представляет собой сложную структуру в анатомическом плане и состоит из костей, мышц, связок и сухожилий, и в том числе из мягких тканей. Суммарно человеческая стопа состоит из 26 костей, среди которых только пять называются плюсневыми. Они являются самыми длинными в стопе. Чем грозит перелом 5 плюсневой кости? Об этом далее.
Актуальность проблемы
По данным статистики на сегодняшний день, если говорить о переломах плюсневых костей, это пять-шесть процентов общего количества всех переломов костей человеческого скелета.
Данные травмы не редкость как у мужского, так и у женского пола.
Наиболее часто встречается перелом 5 плюсневой кости, а также 4 (на это влияет их расположение в анатомическом плане, третью плюсневую кость ломают очень редко).
Кости, из которых состоит стопа человека, создают достаточно сложный механизм, выполняющий множество функций, а именно: осуществляют движение человека, выдерживают тяжелые нагрузки разного характера. Они обеспечивают смягчение ударов в процессе человеческой ходьбы.
Все кости стопы у людей, а их количество составляет 26 шт., очень тесно связаны друг с другом. Если травмируется одна из них, повреждается или смещается, то это может повлиять на дальнейшие деформации и дисфункции остальных.
Группы, на которые распространяются риски переломов:
- Люди в возрасте от двадцати до сорока лет.
- Мужчины, активно занимающиеся спортом.
- Балерины.
- Футболисты.
Открытый либо закрытый перелом 5 плюсневой кости – частое явление в этих категориях.
Анатомическое строение стопы человека
- Плюсневые кости представляют собой 5 трубчатых костей, расположенных между фалангами пальцев и костями предплюсны. их функция — обеспечивать активное движение стопы и играть роль рычага (бег, ходьба и прыжки).
- Короткие трубчатые кости (фаланги) пальцев ног. 1-й палец ноги состоит из 2-х фаланг, все остальные из 3-х. Общее количество их на каждой ноге 14. Перелом 5 плюсневой кости может произойти абсолютно случайно.
- Три клиновидные кости.
Они имеют такое название из-за своей формы, напоминающей клин.
- Кубовидная кость находится у боковой части стопы.
- Ладьевидная кость находится у передней части стопы.
- Таранная кость.
- Пяточная кость.
Если человек получил перелом 5 плюсневой кости, то ему следует обратиться к травматологу-ортопеду.
Под переломом плюсневых костей понимается нарушение их целостности вследствие травмы.

Они классифицируются как:
- Появившиеся в результате травмы.
- Появившиеся по причине усталости или стресса.
Различные линии перелома:
- Поперечная.
- Косая.
- Т-образная.
- В виде клина.
Переломы по причине травмы
Рассмотрим переломы, появившиеся вследствие травмы. Образоваться они могут из-за удара по стопе тяжелым предметом, а также подвертывания стопы в процессе ходьбы или бега.
Классифицируют переломы следующих видов:
- Перелом 5 плюсневой кости со смещением — в результате перелома костные отломки смещаются.
- Костные отломки не смещаются.
- Открытые переломы.
- Закрытый перелом 5 плюсневой кости стопы.
Если человек получил такую травму без смещения, то элементы поврежденной кости останутся в том же положении. Открытый перелом сопровождается нарушением целостности кожных покровов, в таком случае в ране можно увидеть части костей.
Открытый перелом опасен для человека, так как процент заражения и появления в будущем осложнений, таких как флегмона, остеомиелит, сепсис, гангрена и столбняк, очень высок. Сколько заживает перелом 5 плюсневой кости? Об этом ниже.
Основные клинические признаки
- Болевые ощущения в месте перелома данных костей появляются либо сразу после травмы, либо спустя некоторое время.
- Повреждение костей непосредственно в момент травмы сопровождается хрустом, который может услышать больной.
- Возможно отклонение плюсневой кости в сторону.
- У пациента визуально укорочен палец стопы.
- Возможен отек на следующий день после перелома или в тот же день.
Перелом Джонса
Одной из разновидностей подобных травм является перелом Джонса. Это перелом 5 плюсневой кости со смещением, при котором медленно срастаются отломки. После него у некоторых пациентов кость не срастается никогда.
Зачастую пациентам могут произвести неправильное диагностирование. В результате назначают лечение растяжения связок стопы.
Переломы вследствие усталости
Это травмы, которые характеризуются малозаметными на рентгене трещинами.
Причины данного явления:
- Тяжелые физические нагрузки на область стопы.
- В частности наблюдаются среди спортсменов, которые в процессе бега быстро увеличивают километраж в марафонах.
- Структура и форма плюсневых костей с отклонением.
- Изменение формы стопы.
- Воздействие узкой обуви при ее ношении.
- Часто диагностируется у людей, занимающихся бальными танцами на профессиональном уровне.
- Остеопороз.
При вышеуказанных видах переломов требуется обязательное и своевременное лечение. Халатное отношение к подобной травме может тяжело сказаться на состоянии стопы в будущем.
По каким признакам диагностировать такой перелом?
- У пациента есть болевые ощущения в стопе после нагрузок (продолжительная ходьба или бег).
- Боль проходит после кратковременного отдыха, а затем снова усиливается, если человек начинает ходить по комнате или стоит на одном месте в течение продолжительного времени.
- При прощупывании стопы пациент указывает точечную боль в месте перелома.
- Внешний признак перелома – отечность стопы, но без кровоподтека.
Вышеперечисленные симптомы говорят о том, что нужно обратиться к травматологу.
Схожие признаки наблюдаются при переломе плюсневых костей и растяжении связок. Ошибочным считается убеждение: если пациент ходит, то медицинская помощь ему не нужна.
Диагностика перелома основания 5 плюсневой кости стопы, проведенная несвоевременно, и неквалифицированное лечение любых переломов, в том числе и усталостных, приводит к тяжелым последствиям.
Какие бывают осложнения?
- Изменяется костная структура человеческой стопы, что ведет к ограничению движения и затрудняет ношение обуви.
- Возможно развитие артроза в месте травмы.
- Важным является выравнивание смещенных элементов костей, в противном случае может появиться угловая деформация.
- Пациент страдает от хронических болей в стопе.
- У больного быстро ощущает усталость в ногах, а особенно когда он ходит или стоит на месте.
- Если перелом не срастается, то необходимо делать операцию.
Диагностика
После перелома основания 5 плюсневой кости поставить диагноз можно по наличию травмы, жалобам пациента, визуальному осмотру стопы, а также с использованием рентгенологического оборудования.
Лечение
Современные виды лечения в травматологии:
- Наложение гипсовой повязки. Применяется в случае, когда произошел перелом 5 плюсневой кости стопы без смещения отломков.
- Гипсовая повязка используется для защиты места травмы от разных видов воздействия на перелом, обеспечивает правильное положение фрагментов костей в анатомическом плане и неподвижность стопы, что необходимо для быстрого заживления.
- Хирургическая операция. Смещение костных отломков в результате перелома плюсневых костей требует операционного вмешательства, а также использование миниимплантов для их фиксации и сопоставления.
- Больному нужно использовать костыли в процессе ходьбы весь период, вне тзависимости от вида лечения (оперативное или консервативное). Костыли помогают исключить нагрузку на стопу.
- Когда пациенту будет разрешено снять повязку, то его ждет курс реабилитации для возвращения к активной жизни и восстановления функции стопы.
Современная медицина предоставляет новый метод лечения, так называемый остеосинтез, с помощью которого врач имеет возможность сопоставить фрагменты костей и придать им правильное положение. С помощью специального стержня осуществляют фиксацию внутри кости. Данная методика дает возможность на ранних этапах использовать нагрузку на стопу и совершать больше движений пальцами стопы.
Необходимость иммобилизации
Для того чтобы минимизировать острые последствия травмы плюсневых костей, нужен покой и ограниченый набор движений, что, в свою очередь, поможет исключить вторичное смещение и создаст все благоприятные условия для реабилитации.

Если у пострадавшего нет смещения отломков, то гипс при переломе 5 плюсневой кости меняют на специальный ортез.
Он позволяет делать физическую нагрузку на ногу, без провоцирования болевых ощущений и отечности мягких тканей стопы.
Совместно с иммобилизацией перелома можно назначать обезболивающие средства, физиотерапевтические процедуры, препараты для сосудов и противоотечные мази. Спад данного явления говорит о том, что через пять-семь дней после перелома 5 плюсневой кости возможно провести контрольную рентгенографию.
Итак, резкое увеличение физических нагрузок на стопу ноги приводит к переломам пятой плюсневой кости. Больные жалуются на боль, когда занимаются регулярно спортом. Сначала она дает о себе знать только во время нагрузки, затем симптомы проявляются все чаще, в результате складывается клиническая картина «свежего перелома».
Врач должен произвести обследование. Ему необходимо осмотреть обе лодыжки, ладьевидную кость и основание 5 плюсневой кости. Проводят исследование при помощи рентгенологического оборудования.
При любом переломе, а особенно 5-й плюсневой кости, осуществляется рентгенография стопы в 3-х проекциях: боковая, переднезадняя и косая.
В тяжелых случаях возможно применение других методов лучевой диагностики: МРТ или метод функциональной визуализации.
Первая помощь пострадавшему
К первой помощи на догоспитальном этапе относится:
- Создание необходимого покоя для стопы.
- Необходимо наложение холода на область пятой плюсневой кости. Очень хорошо помогает пузырь со льдом внутри. Его используют для уменьшения отечности мягких тканей и снижения боли в стопе. В домашних условиях подойдет обычное полотенце, в которое заворачивается лед. Существует определенный период времени, на который можно прикладывать холод. Делать такую процедуру необходимо на двадцать минут каждый час.
- Эластичный бинт подходит для фиксации стопы, чтобы в дальнейшем надеть на ногу компрессионный чулок. Его использование требует равномерного бинтования, для того чтобы исключить нарушение кровообращения нижней конечности.
- Поврежденную стопу следует положить на возвышение. Пациент располагает стопу чуть выше бедра.
- Возможно наложение шины на стопу.
- Найти ближайший травмпункт для получения медицинской помощи.
Перелом 5 плюсневой кости: реабилитация
Гипсовая повязка при переломе носится в течение полутора месяцев.
Лечащий доктор (врач-травматолог) может разрешить пациенту наступать на поломанную ногу только в том случае, если на рентгенограмме виден сросшийся перелом плюсневых костей. Гипсовая лонгета должна сниматься только с разрешения врача. Делать это преждевременно и самому запрещено. Физическую нагрузку в восстановительный период важно дозировать.
Первое, что должен делать больной, это наступать исключительно на пятку и со временем подвергать нагрузке всю стопу. Врач назначает лечебную физкультуру, которая способствует быстрому восстановлению функции и помогает вернуть больного с переломом к нормальной жизни.
В случае появления болевых ощущений в процессе физкультуры необходимо приостановить прописанный курс.
Позитивно сказываются занятия плаванием, массаж и физиопроцедуры. Водные упражнения при незначительных нагрузках эффективно восстанавливают нормальную работу стопы. Если увеличилась отечность ноги, можно использовать мази «Лиотон 1000» или «Троксевазин».
Специальные ортопедическая обувь и стельки, назначенные врачом, делают процесс реабилитации более комфортным. Также рекомендуется выполнять «домашнюю зарядку».
Упражнения
«Домашняя зарядка» для стопы состоит в следующем:
- Сгибание и разгибание пальцев ног.
- Сидя на стуле, требуется «вставать» на носочки и на пятки.
- Потянуть стопу на себя (десять-пятнадцать раз).
- Вытягивать стопу от себя (десять-пятнадцать раз).
- Поворачивать стопу влево (десять раз).
- Поворачивать стопу вправо (десять раз).
Функции стопы обычно нормализуются через 1 месяц после снятия гипса. Для укрепления кости больной должен ежедневно употреблять в пищу продукты с высоким содержанием кальция и витаминов.
Перелом может случиться у каждого, особенно если человек ведет активный образ жизни. Необходимо быть осторожным, стараться избегать травматических моментов, носить удобную обувь и стараться употреблять продукты с достаточным содержанием в них кальция.
Источник:
