Буллезная болезнь легких. Буллы лёгких

содержание
Дыхательная система человека, казалось бы, идеально приспособлена и «сконструирована» эволюцией для газообменных процессов, и единственное, что может снизить ее КПД – это недостаточное содержание кислорода в воздухе.
Однако это, к сожалению, далеко не так.
Органы дыхания сложны по строению и подвержены многочисленным заболеваниям, некоторые из которых связаны не с недостатком, а с избытком воздуха, завоздушиванием внутренних полостей легочно-бронхиальной газообменной системы.
Многим известно слово «эмфизема», которое означает избыточное содержание или скопление воздуха там, где его не должно быть вообще – как, например, при эмфиземе легких (патологическое расширение альвеол) или эмфиземе подкожной (возникающей при некоторых видах легочной травмы).
Иногда говорят также об эмфиземе буллезной, или просто о буллезной болезни (буллы легких); можно встретить термины «блебы» (от англ. blebs – пузыри), «буллезное легкое», «ложная легочная киста» и т.д.
В общей сложности употребляется свыше 20 очень близких по смыслу нозологических определений, – что и создает некоторую путаницу, поскольку каждый из терминов подразумевает те или иные нюансы сходных, но не тождественных патологических изменений.
Согласно одному из наиболее точных определений, которое было дано на международном CIBA-симпозиуме в 1958 году, буллой следует считать воздушную полость размером более 1 см (в отличие от более мелких пузырей-блебов, которые представляют собой скопления воздуха под плеврой и в легочной ткани).
Таким образом, буллы – это патологическое расширение легочных альвеол, в значительной степени утративших эластичность и способность сокращаться до нормальных размеров; буллезная болезнь (буллезная эмфизема) – расширение, увеличение легких за счет образования булл, гигантские варианты которых могут достигать 10 см в диаметре.
Статистические данные выявляют ряд возрастных и гендерных тенденций в структуре заболеваемости. В частности, установлено почти двукратное преобладание мужчин среди пациентов с буллезной болезнью, прямая корреляция частоты выявления с возрастом обследованных, и т.п.
2.Причины
Этиопатогенез буллезной болезни остается предметом исследований и обсуждений.
К основным причинам формирования альвеолярных булл относят, в частности, инфекционные заболевания легких, возрастные дистрофические изменения в стенках альвеол, экологические факторы (загрязнение воздуха в крупных городах), наличие хронического бронхита, туберкулеза, бронхиальной астмы.
Во всех без исключения исследованиях, посвященных данной проблеме, подчеркивается патогенная роль курения; так, те или иные изменения эмфиматозного типа обнаруживаются у 99% курильщиков, и этот фактор риска является доминирующим в 90% случаев диагностированной буллезной болезни.
В ряде исследований подтверждается также роль таких факторов, как высокая плотность населения и низкий социально-экономический уровень развития региона (следствием чего является нездоровый рацион питания), переохлаждения, врожденные аномалии ферментогенеза и др.
3.Симптомы и диагностика
Буллезная болезнь чревата сокращением содержания связанного кислорода в крови и нарушениями вывода отработанной углекислоты; это может привести к сердечной недостаточности (вплоть до остановки сердечной деятельности) и ряду других серьезных осложнений – в частности, истончению и разрыву альвеолярных стенок при интенсивной физической нагрузке или сильном кашле, воспалениям легочных мешков и т.д.
Однако начальные стадии, как правило, бессимптомны; лишь при значительной площади легочной ткани, пораженной буллезными расширениями, появляется одышка, физическая и умственная утомляемость, снижение массы тела (нередко с непропорциональным расширением межреберных пространств и грудной клетки в целом), хрипы и присвист в дыхании, «мокрый» кашель. По мере нарастания сердечной и дыхательной недостаточности присоединяется специфическая симптоматика в виде болей в груди, цианозной бледности, характерного цвета ногтей и пр.

Диагностика проводится с применением спирометрической аппаратуры, рентгеновских и томографических методов, лабораторных анализов крови (вкл. специальное исследование процессов газообмена).
4.Лечение
Следует отметить, что на данном этапе развития медицины патологические изменения легочной паренхимы являются необратимыми; таким образом, речь может вестись только о приостановлении процесса и паллиативном смягчении его последствий. Решающее значение имеет стадийность: чем раньше выявлена буллезная тенденция, тем эффективней указанные меры.
Лечение обычно носит комплексный или комбинированный характер, т.е. может включать как консервативные, так и радикальные подходы (малоинвазивное хирургическое вмешательство эффективней медикаментозной терапии).
В зависимости от установленной этиологии и доминирующей симптоматики, могут быть показаны диуретики, бронхолитики, антибиотики (при наличии сопутствующего или фонового воспаления), гормональные средства. Назначается также особая дыхательная гимнастика и ЛФК, периодические курсы профилактического лечения.
Строго обязательным является пожизненное исключение вредных привычек и нормализация образа жизни; в некоторых случаях рекомендуется сменить место работы, – если есть основания считать профессиональную вредность одним из этиопатогенетических факторов.
При соблюдении всех перечисленных выше условий прогноз сравнительно благоприятный; в противном случае буллезная болезнь прогрессирует, результатом чего является инвалидность, а при дальнейшем утяжелении легочно-сердечной недостаточности – летальный исход.
Источник:
Буллезная эмфизема легкого: причины заболевания, основные симптомы, лечение и профилактика

Представляет собой патологическое состояние, обусловленное развитием локального изменения легочной ткани, которая характеризуется деструкцией альвеолярных перегородок и формированием воздушных кист (булл) диаметром больше 1 см.
Причины
На сегодняшний выделено несколько теорий, объясняющих причины развития буллезной болезни: механическая, сосудистая, инфекционная, обструктивная, генетическая и ферментативная.
Сторонники механической теории указывают на то, что горизонтальное расположение I и II ребер у части людей может сопровождаться травматизацией верхушки легкого, что является основным триггером формировании апикальной буллезной эмфиземы.
Помимо этого, некоторые специалисты указывают на то, что буллы являются следствием легочной ишемии, что указывает на то, что в развитии буллезной болезни важная роль отводится сосудистому компоненту.
Инфекционная теория указывает на то, что происхождение буллезной эмфиземы легких иногда связывают с неспецифическими воспалительными процессам, которые вызваны инфекционным поражением дыхательной системы.
При этом типе заболевания локальные буллезные изменения возникают на фоне обструктивного бронхиолита, сопровождающегося перерастяжением участков легкого.
Эта теория подтверждается тем, что частые рецидивы спонтанного пневмоторакса случаются в периоды эпидемий гриппа и аденовирусной инфекции. Иногда развитие локальной буллезной эмфиземы в области верхушки легкого возникает после перенесенного туберкулеза.
Также специалисты указывают на генетическую предрасположенность в развитии буллезной эмфиземы легких. Описаны случаи семейной формы недуга, когда данное заболевание выявлялось у нескольких членов одной семьи.
Буллы могут иметь врожденный либо приобретенный характер. Врожденные морфологические изменения в легких формируются при дефиците ингибитора эластазы-a1-антитрипсина, в следствии чего возникает ферментативное разрушение легочной ткани. Риску развития буллезной эмфиземы легких подвержены пациенты с синдромом Марфана, синдромом Элерса–Данлоса и других типов соединительнотканной дисплазии.

Приобретенные буллы чаще всего возникают на фоне имеющихся эмфизематозных изменений легких и пневмосклероза. У большинства пациентов, страдающих буллезной эмфиземой легких, в анамнезе зафиксирован длительный стаж курения.
Установлено, что даже пассивное курение повышает вероятность развития буллезной болезни примерно на 43%.
К факторам, повышающим вероятность недуга относят загрязнение воздуха аэрогенными поллютантами (дымовыми газами, летучими химическими соединениями) частые респираторные заболевания, гиперреактивность бронхов и ослабление иммунной системы.
Симптомы
Лица, страдающие буллезной болезнью легких, зачастую имеют астеническую конституцию, вегетососудистые нарушения, искривление позвоночника, деформацию грудной клетки, гипотрофию мышц.
Клиническое течение буллезной эмфиземы легких определяется, преимущественно тяжестью возникших осложнений, в связи с этим заболевание может никак не проявлять себя.
Несмотря на то, что измененные участки легочной ткани не участвуют в газообмене, компенсаторные возможности легких способны длительное время обеспечивать нормальный газообмен в легких.
В том случае, если буллы достигают значительных размеров, они могут сдавливать функционирующие участки легкого, что сопровождается нарушением дыхательной функции. Симптомы дыхательной недостаточности могут выявляться у лиц с множественными, двусторонними буллами, а также буллезной болезнью, которая сопровождается диффузной эмфиземы легких.
Диагностика
При диагностировании буллезной эмфиземы легких учитываются данные клинических, функциональных и рентгенологических исследований. Рентгенография легких не всегда позволяет выявить буллезную эмфизему легких.
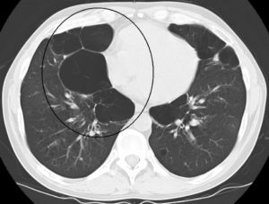
В то же время, возможность лучевой диагностики существенно расширяет применение компьютерной томографии легких. На томограммах буллы определяются как тонкостенные полости с четкими и ровными контурами.
При сомнительном диагнозе достоверную информацию позволяет получить торакоскопия.
Иногда может потребоваться проведение вентиляционно-перфузионной сцинтиграфии легких, которая позволяет оценить соотношение функционирующей и неучаствующей в вентиляции легочной ткани, что чрезвычайно важно для планирования хирургического вмешательства.
Лечение
Пациенты с бессимптомным течением буллезной эмфиземы легких и первым эпизодом спонтанного пневмоторакса должны находится под наблюдением специалиста. Они должны избегать физического напряжения и инфекционных заболеваний.
Предотвратить прогрессирование буллезной эмфиземы легких позволяют методы физической реабилитации, метаболическая терапия, физиотерапия.
При возникшем спонтанно пневмотораксе показано немедленное выполнение плевральной пункции или дренирования плевральной полости с целью расправления легкого.
В случае нарастания признаков дыхательной недостаточности, увеличения размеров полости, возникновения рецидивов пневмоторакса, неэффективности дренирующих процедур для расправления легкого, ставится вопрос о необходимости проведения хирургического лечения буллезной эмфиземы.
Профилактика
Профилактика буллезной болезни идентична методам предупреждения эмфиземы легких. Таким больным необходимо полностью отказаться от курения, контакта с вредными производственными и средовыми факторами, а также необходимо проведение мероприятий направленных на предупреждение респираторных инфекций.
Источник:
Буллы в легких: почему они появляются, и как их лечить

Буллы в легких – это образования в виде воздушных пузырьков в легочной ткани. Часто для обозначения этого явления используют термины «блеб» и «киста». Их можно рассматривать как варианты булл.
Блебом называют небольшие образования диаметром до 1 см. Строение кисты отличается от буллы качеством выстилающего ее слоя. Часто даже врачи не способны правильно дифференцировать одно от другого.
Поэтому в рамках данной статьи мы будем использовать термин «булла» в наиболее общем смысле.
Буллы могут быть единичными или множественными, одно- или многосторонними. Встречаются у взрослых, редко – у детей.
Почему возникают буллы в легком
На возникновение пузырьков в легких влияет комплекс причин, которые связаны с внешними и внутренними факторами.
[wpmfc_short code=”immuniti”]
Внешние факторы
Современные данные позволяют говорить о том, что внешнее деструктивное воздействие оказывают доминирующую роль на возникновение легочных болезней. Это, прежде всего:
- Курение;
- загрязнение воздуха;
- легочные инфекции.
Доказано, что у людей, выкуривающих пачку сигарет и более в день, буллообразование той или иной интенсивности наблюдается у 99%. Болезнь прогрессирует незаметно. У курильщиков с 20-летним стажем буллы в легких отсутствуют только у 1%. Длительное пассивное курение способно увеличивать вероятность появления легочных пузырьков.
Но так как пассивное курение редко имеет место постоянно и в течение десятилетий, вероятность этого незначительна.
Следует подчеркнуть, что у некурящих людей даже при наличии предрасполагающих факторов болезнь прогрессирует незначительно.
Проживание в неблагополучных с точки зрения экологии местах провоцирует деструктивные процессы в легких. Так же как и частые легочные инфекции.
Эти факторы по своему воздействию существенно отстают от активного курения.
Мужчины страдают от булл чаще. Это объясняется особенностями образа жизни:
- Наличием вредных привычек,
- неправильным питанием с преобладанием жиров и сахаров, дефицитом белка, овощей, витаминов;
- вредными условиями труда;
- частыми переохлаждениями и т. д.
Внутренние причины
Если деструктивный фактор внешней среды наложится на имеющуюся предрасположенность, то вероятность возникновения булл будет стремиться к 100 процентам. Среди внутренних факторов выделяют:
- Наследственный;
- ферментативный;
- механическое воздействие;
- недостаток кровоснабжения легочной ткани;
- воспалительный;
- обструктивный.
Генетические случаи образования булл возникают в любом возрасте, часто сочетаются с заболеваниями печени и связаны с недостатком белка антитрипсина и сопутствующими ферментативными изменениями.
Механический способ возникновения булл связан с анатомической особенностью первых двух ребер, которые иногда травмируют верхнюю часть легких. Было доказано, что непропорциональный рост грудной клетки (увеличение в вертикальной плоскости более чем в горизонтальной) в подростковом возрасте способен запускать процессы, ведущие к образованию булл.
Легочные пузырьки могут развиваться на фоне сосудистой ишемии легкого. Частые воспалительные процессы создают условия для ослабления стенок альвеол и ухудшения их питания.
Они ведут к изменению давления в отдельных частях бронхиол, что перенаправляет движение воздуха и способствует истончению альвеол и изменению внутриальвеолярного давления. Все это ведет к прогрессии в образовании воздушных пузырьков в легких.
Обструктивная болезнь во многих случаях является предвестником буллезных образований.
Перечисленные факторы и причины могут присутствовать комбинированно и воздействовать комплексно. Например, влияние плохого кровоснабжения легочной ткани в совокупности с перенесенным заболеванием дыхательных путей утрируется курением – все это значительно повышает вероятность развития буллезной болезни.
При каких болезнях возникает?
Появление булл в легких сопровождает следующие заболевания:
- Эмфизема различного характера;
- ложные кисты;
- легочная дистрофия;
- хроническая обструктивная болезнь легких (ХОБЛ);
- другие заболевания легких.
Легочные пузырьки возникают как основной симптом эмфиземы, при которой происходят деструктивные изменения в строении альвеолярных стенок, развиваются патологические изменения бронхиол.
В современной практике появление булл принято относить к основному симптому буллезной эмфиземы легких.
Основные проявления болезни
Течение буллезной болезни часто бессимптомно. В запущенной форме симптомы проявляются в виде осложнений:
- Пневмоторакс (в том числе с кровяным, жидкостным, гнойным выпотом-экссудатом);
- пневмомедиастинум;
- ригидное легкое;
- плевральная фистула (свищ);
- дыхательная недостаточность в хронической форме;
- кровохарканье.
Всем осложнениям свойственна однотипная клиническая картина:
- Боль в груди;
- одышка, нехватка воздуха;
- затрудненное дыхание;
- кашель;
- приступы удушья;
- учащенное сердцебиение;
- бледность кожи.
Дополнительно: при кровохарканье наблюдаются кровяные выделения из дыхательных путей алого цвета, часто – в виде пены.
Кроме того, булла может разрастаться до гигантских размеров в несколько сантиметров и оказывать давление на сердце, кровопроводящую систему, дестабилизируя их работу.
Методы диагностики
Диагностика буллезной болезни включается в себя:
- Рентгенологическое обследование;
- компьютерную томографию;
- физические методы оценки дыхательной функции;
- тораскопическое исследование с забором материала легкого.
Как лечить
На начальной стадии заболевания показаны физиотерапевтические методы лечения. Следует уделять внимание образу жизни и питанию:
- Исключить серьезные физические нагрузки, чтобы не провоцировать разрыв пузырьков;
- чаще бывать на свежем воздухе;
- беречь дыхательные пути от болезней, теплее одеваться;
- обогатить рацион питания растительной пищей;
- оказывать организму витаминную поддержку;
- отказаться от курения.
При развитии закрытого пневмоторакса лечение традиционное: пункция и дренирование плевральной полости с целью восстановления функциональности легкого.

При прогрессировании заболевания – разрастании булл, неэффективности дренажа плевральной полости, повторяющихся пневмотораксах, стойкой дыхательной недостаточности – наступает необходимость в хирургическом вмешательстве.
Нужно ли оперироваться
Медикаментозного лечения булл не существует. В зависимости от скорости прогрессии буллезной эмфиземы легкого и от выраженности осложнений решается вопрос об операции. При решении вопроса учитываются все факторы. Хирургическое вмешательство – всегда крайняя мера.
Операция по удалению булл на легком в каждом конкретном случае может проводиться как открытым способом, так и эндоскопически. В современной медицине торакальным методам отдается предпочтение. Однако величина и локализация булл иногда требует безусловного вскрытия.
Заключение
Буллезная эмфизема легкого в большинстве случае протекает бессимптомно. В зависимости от частоты и силы воздействия внешних деструктивных факторов – курения, вредного производства, плохой экологии – человек с буллами живет без каких-либо проблем десятилетия.
Заболевание, развившись, иногда прекращает прогрессирование на долгое время (например, если человек воздерживается от курения), а затем пузырьки вновь начинают увеличиваться (например, если человек вернулся к вредной привычке).
В большинстве случаев болезнь носит приобретенный характер, развивается долго и проявляет себя с возрастом. В силах человека предотвратить деструкцию собственной дыхательной системы.
Принципиальное значение имеет профилактические мероприятия, своевременное и полноценное лечение, отказ от вредных привычек, нормализация образа жизни.
На видео показан процесс образования булл в лёгких
Источник:
Буллезная болезнь (эмфизема) легких: понятие, признаки, диагностика и лечение

Буллезная эмфизема легких является распространенным легочным заболеванием, которое характеризуется образованием в легких воздушных полостей, называемых буллами. Буллы вызывают аномальное увеличение размеров легких, вследствие чего при этом заболевании количество воздуха в тканях накапливается до повышенного уровня. Что является причиной развития заболевания? Как ее лечить?
Размер булл в диаметре может достигать до 10 см и более. В зависимости от расположения выделяют:
- множественные буллы – распространены по всему объему легкого;
- одиночные буллы – образуются на конкретном участке.
Опасность такого заболевания связано с вызываемым им ухудшением процесса газообмена в легких, поэтому необходимо своевременное выявление и лечение буллезной болезни.
Выделяют различные формы эмфиземы. В зависимости от характера течения эмфизема может быть:
- Острой. Такая форма требует незамедлительного лечения.
- Хронической. Эта форма сопровождается постепенными изменениями в легких. Возможно полное излечение, если на ранней стадии обратиться к врачу.
По происхождению эмфизема легких бывает:
- Первичной. Эту форму заболевания вызывают врожденные особенности организма, она практически не поддается лечению и характеризуется быстрым прогрессом.
- Вторичной. Ее возникновение связано с обструктивными заболеваниями легкого, имеющими хроническую форму.
По степени распространения выделяют диффузную и очаговую формы эмфиземы. При развитии первой формы вся ткань легких подвергается поражению, а при второй наблюдается поражение тканей на отдельных участках.
Симптомы
Основным симптомом, свидетельствующим о развитии буллезной болезни легких, является появление одышки, которая может сопровождаться удушьем, кашлем, выделением мокроты.
Буллезная эмфизема характеризуется появлением следующих симптомов:
- Заметным увеличением размера грудной клетки, она приобретает цилиндрическую форму;
- Потерей или уменьшением подвижности диафрагмы;
- Потерей веса, связанной с большими затратами энергии на дыхательный процесс;
- Быстрой утомляемостью даже при отсутствии тяжелых физических нагрузок;
- Появлением болевых ощущений, значительно усиливающихся во время приступов кашля;
- Развитием дыхательной недостаточности, сопровождающейся вздутием и посинением вен на шее.
В большинстве случаев симптомы буллезной болезни могут в течение длительного периода никак не проявляться. Нарушение дыхательной функции вызывается при достижении буллами гигантского размера (более 10 см), вследствие чего происходит сдавливание функционирующих участков легкого.

Одним из наиболее часто встречающихся осложнений буллезной эмфиземы выступает развитие рецидивирующего пневмоторакса.
Возникновение этого заболевания связано с тем, что по различным причинам повышается внутрилегочное давление в буллах.
Признаками образования такого осложнения служат появление резких болей в грудной клетке, одышки, невозможность совершения глубокого вдоха, наличие приступообразного кашля.
Причины возникновения буллезной эмфиземы легких
К основным причинам, способствующим образованию буллезной эмфиземы и потеря эластичности и прочности тканей легких может быть нарушена вследствие:
- вдыхания воздуха, загрязненного различными вредными веществами, например, примесями табачного дыма, угольной пылью, смогом, токсинами;
- врожденных особенностей строения ткани органа;
- возрастных изменений, что связано с возрастанием чувствительности к токсинам воздуха с возрастом, а также более медленным восстановлением легочной ткани после заболеваний;
- нарушения гормонального баланса;
- наличия инфекции дыхательных путей.
Повышению давления в легких могут способствовать такие причины, как:
- Наличие хронического обструктивного бронхита, которое связано с нарушением проходимости бронхиол. Это вызывает растяжение альвеол и мелких бронх, что в свою очередь способствует возникновению полостей в легких;
- Закупорка просвета бронхов каким-либо инородным телом.
Диагностика
Для диагностики и назначения соответствующего лечения эмфиземы необходимо обратиться к врачу-пульмонологу.
Диагностика включает в себя проведение первичного обследования, состоящего из внешнего осмотра, прослушивания легких с помощью стетоскопа, постукивания по грудной клетке.
Затем с помощью специальных приборов проводится тестирование показателей дыхания: дыхательного объема легких, степени дыхательной недостаточности, степени сужения бронхов.
Также необходимо пройти процедуру рентгенологического исследования легких.
Если рентгенография не дает возможности точно удостовериться в наличии болезни, рекомендуется прохождение диагностической торакоскопии.
Лечение
После диагностики врач-пульмонолог назначает лечение, которое должно быть направлено на то, чтобы снизить дальнейшее развитие дыхательной недостаточности. К рекомендуемым мерам лечения эмфиземы, способствующих повышению эффективности работы легких, можно отнести:
- Отказ от вредных привычек, в частности, от курения;
- Выполнение дыхательной гимнастики;
- Лечение заболеваний, которые послужили причиной развития эмфиземы. К таким заболеваниям относятся, например, хронический бронхит, бронхиальная астма.
Если протекание буллезной эмфиземы легких сопровождается серьезными осложнениями, возможно применение двух основных методов лечения:
- Хирургический. Этот метод предполагает проведение операции с целью удаления образовавшихся булл, что будет способствовать уменьшению объема легких. Благодаря этому показатели дыхания приходят в норму. Операцию необходимо проводить на ранних стадиях возникновения эмфиземы, чтобы предотвратить развитие серьезных осложнений, создающих угрозу здоровью человека. При наиболее тяжелой форме заболевания требуется трансплантация или удаление легкого.
- Медикаментозный метод. Применение этого метода основано на устранении причин, спровоцировавших болезнь. Поэтому при назначении лечения от врача требуется четкое понимание того, что привело к развитию эмфиземы. В большинстве случаев врач назначает пациенту бронхолитические препараты и глюкокортикоидные гормональные средства.
Эмфизема вызвала дыхательную или сосудистую недостаточность, врач может назначить диуретики – медикаменты, направленные на вывод жидкости. Также в зависимости от особенностей развития заболевания может требоваться назначение антибактериальных средств и теофиллинов.

Кроме того, при эмфиземе легких рекомендуется выполнение общих рекомендаций. Широким применением пользуются следующие нелекарственные способы:
- Соблюдение диеты. Рацион обязательно должен содержать достаточное количество витаминов и микроэлементов. Полезно употребление сырых фруктов, овощей, соков.
- Лечение кислородотерапией, назначаемое врачом. Продолжительность этого курса обычно составляет 2-3 недели.
- Массажные процедуры, благодаря которым происходит расширение бронхов и отхождение мокроты;
- Выполнение лечебной физкультуры, направленной на снятие напряжения дыхательных мышц, быстро устающих при развитии буллезной болезни.
- Совершение непродолжительных прогулок на свежем воздухе.
Для лечения эмфиземы широко используются и народные методы, такие, как:
- Употребление сока зеленой ботвы картофеля;
- Вдыхание паров отваренного картофеля;
- Приготовление настоев на основе трав;
- Ароматерапия, для которой можно использовать эфирные масла различных растений, таких, как: лаванда, ромашка, бергамот, эвкалипт.
Чтобы предотвратить развитие буллезной эмфиземы и серьезных последствий, связанных с этой болезнью, необходимо периодическое прохождение полного медицинского обследования и назначение своевременного лечения.
Источник:
Буллы в легких: почему они появляются, и как их лечить — обновлено 03.19
Буллы в легких – это образования в виде воздушных пузырьков в легочной ткани. Часто для обозначения этого явления используют термины «блеб» и «киста». Их можно рассматривать как варианты булл.
Блебом называют небольшие образования диаметром до 1 см. Строение кисты отличается от буллы качеством выстилающего ее слоя. Часто даже врачи не способны правильно дифференцировать одно от другого.
Поэтому в рамках данной статьи мы будем использовать термин «булла» в наиболее общем смысле.
Буллы могут быть единичными или множественными, одно- или многосторонними. Встречаются у взрослых, редко – у детей.
Буллезная эмфизема легких: что это такое, продолжительность жизни, симптомы и лечение
Буллезная эмфизема легких – это одна из форм хронических заболеваний легких. Данное патологические состояние характеризуется деструкцией перегородок альвеол легкого с последующим образованием в них воздушных кист (булл).
Клинические особенности недуга
Для патологии характерно разрушение стенок альвеол из-за чрезмерного их растяжения. В результате в легких появляются участки скопления воздуха – эмфизематозные буллы. Эти легочные пузырьки постепенно сдавливают здоровые участки, что приводит к спаданию части легкого. Одна булла может достигать размера более 10 см.
Чаще буллезную болезнь в легких диагностируют у пожилых мужчин с длительным стажем курения. В группу риска входят и пассивные курильщики со слабо развитой дыхательной системой.
Схема развития эмфиземы
В основе классификации буллезной эмфиземы лежит степень распространения булл:
- Солитарная форма – образование единичной буллы.
- Локальная форма – локализация в одном-двух сегментах легкого.
- Генерализованная форма – образование легочных пузырьков более чем в трех сегментах легкого.
- Двусторонняя форма – легочные буллы появляются в двух легких.
Легочный пузырь образуется в результате комплекса причин, обоснованных влиянием внутренних и внешних факторов.
Пока не установлена точная причина заболевания, однако специалисты выделяют ряд факторов, которые провоцируют ее развитие:
- Хронические заболевания органов дыхания.
- Многолетнее курение.
- Загрязненный воздух.
- Различные легочные инфекции.
- Генетический и наследственный фактор.
- Длительная работа в запыленных непроветриваемых помещениях.
Статистика показывает, что буллы в легких образуются у 99% курящих людей, которые выкуривают больше пачки сигарет за день. Буллообразование, в этом случае, может происходить в разной степени интенсивности. Развитие болезни протекает незаметно.
https://youtube.com/watch?v=SilnJcFIeng
От булл страдают в основном мужчины. Обусловлено это особенностями их жизни: курением, неправильным питанием, не всегда благоприятными условиями труда, переохлаждением. У подростков болезнь может развиться из-за опережающего роста грудной клетки.
Буллы в легком образуются и в результате сосудистой ишемии легких. Процессы воспаления могут привести к ослаблению и истончению стенок альвеол и изменению давления внутри. В результате чего и образуются в легких пузырьки.
Вышеперечисленные факторы могут комплексно воздействовать на организм человека. Это значительно увеличивает риск развития патологии. Общими признаками болезни будут: утомляемость, потеря сна и аппетита, ощущение слабости.
Специфические симптомы буллезной эмфиземы это:
- появление одышки, которая с развитием заболевания начинает беспокоить человека и в состоянии покоя,
- кашель с незначительными выделениями мокроты,
- болевые ощущения в груди,
- увеличение грудной клетки и изменение ее формы,
- изменение цвета кожного покрова до серого или синеватого.
Заболевание длительное время может проходить бессимптомно. Признаки появляются уже на фоне осложнений, среди которых чаще всего диагностируют спонтанный пневмоторакс.
Спонтанный пневмоторакс
Буллезный спонтанный пневмоторакс возникает как осложнение буллезной болезни легких. Для спонтанного пневмоторакса характерно скопление воздуха в плевральной полости. Чаще всего такое осложнение выявляют у мужчин в возрасте до 40 лет.
Обычно поражению спонтанным пневмотораксом подвергается правое легкое. причина появления патологии – буллезное заболевание легких.
У некурящего человека со здоровыми легкими болезнь протекает в легкой форме и часто проходит сама по себе. Немедленной госпитализации и оперативного вмешательства требует осложненный пневмоторакс, вызывающий тяжелые последствия.
При спонтанном пневмотораксе происходит увеличение легочного давления внутри булл и прорыв стенки воздушной полости, что может спровоцировать коллапс легкого. Этому часто способствуют:
- сильный натужной кашель,
- поднятие тяжелых предметов,
- у женщин – изменения менструального цикла.
Спонтанный пневмоторакс редко поражает сразу два легких, в основном его определяют только в одном. Когда у пациента диагностируют осложненный пневмоторакс, то в плевральной полости органа может присутствовать серозный экссудат. Осложненный спонтанный пневмоторакс часто приводит к опасному внутриплевральному кровотечению.
Проявления патологии могут быть следующие:
- В районе пораженного легкого больной чувствует сильную колющую боль, которая часто отдает в шею, руку или живот. Болезненные ощущения иногда усиливаются при откашливании и очень глубоком вдохе.
- Одышка и затрудненное дыхание.
- Наличие сухого кашля. После откашливания больному легче не становится.
- Если спонтанный пневмоторакс приобретает серьезную форму, состояние пациента резко ухудшается. Разрыв плевры часто вызывает потерю сознания. Одновременно с этим наблюдается бледность кожных покровов, и учащается сердцебиение.
Слабый пневмоторакс обычно проходит бессимптомно или с мало выраженными признаками. Данное состояние грозит серьезными последствиями, так как больные не обращаются за медицинской помощью вовремя. Если происходит рецидив заболевания, то могут развиться такие осложнения, как гемоторакс, аспирационная пневмония, реактивный плеврит.
Диагностика и лечение буллезной эмфиземы легких
Правильной постановке диагноза помогают своевременно проведенные диагностические исследования. Определить наличие булл и точно поставить диагноз помогают следующие методы диагностики:
- Осмотр пациента и сбор анамнеза (наличие или отсутствие хронических заболеваний пациента, экологическую обстановку в месте его проживания, приверженность к курению).
- Метод перкуссии помогает определить участок повышенной воздушности.
- С помощью аускультации выявляют сухие свистящие хрипы.
- Томография и рентгенография.
- Анализ крови направлен на процентное определение углекислого газа и кислорода.
- Спирометрия помогает просчитать дыхательные объемы.
Диагностические мероприятия назначаются врачом-пульмонологом, который и ведет пациента на протяжении болезни. Если появляются осложнения, то пациента курирует торакальный хирург.

Полное излечение от заболевания возможно лишь при устранении главной причины его появления.
Пациенту необходимо:
- отказаться от курения и физических нагрузок,
- больше гулять,
- правильно питаться,
- не переохлаждаться,
- принимать поливитамины.
Лечение болезни может быть медикаментозным или хирургическим. В некоторых случаях возможна терапия народными методами.
На данный момент самым действенным считается оперативное вмешательство. Во время хирургической операции происходит удаление легочных пузырьков, в результате чего у больного происходит облегчение дыхания.
При сильном поражении легкого возможно его удаление или пересадка.
Лечить буллезную болезнь легких можно при помощи медикаментов. Врач может выписать такие препараты:
- Бронхолитики, устраняющие спазм. Часто для этого применяют различные аэрозоли.
- Препараты на основе гормонов (глюкокортикостероиды).
- Диуретические средства.
- Антибиотики (если имеет место присоединение бактериальной инфекции).
Эффективным способом лечения является оксигенотерапия. Она предполагает ингаляции газо-воздушной смесью с высоким содержанием кислорода.
Для облегчения состояния заболевшего возможно использование народных методов. Самыми известными являются следующие способы:
- применение аромамасел (бергамот и лаванда),
- массирование грудной клетки,
- использование лечебных растений (мать-и-мачехи, ромашки, липы, шалфея) для приготовления отваров.
Данные методы направлены на расслабление мышц бронхов и отхождение мокроты и являются только дополнением к основному лечению.
Прогноз
Если не проводить лечение по устранению причины буллезной эмфиземы легких, то возможно развитие серьезных осложнений, которые способствуют развитию дыхательной недостаточности, присоединению инфекции, дополнительной нагрузке на сердце и проч.
Самым опасным и тяжелым осложнением является сердечная недостаточность. Она может привести не только к потере работоспособности, но и к смерти человека.
При устранении основной причины развития заболевания и своевременной терапии пациент может полностью излечить опасный недуг. Поэтому важно при появлении первых признаков заболевания обратиться к квалифицированному специалисту, пройти диагностику и необходимое лечение.
Загрузка…
Источник:
