Что показывает и как делают рентген головы при сотрясении у ребенка и взрослого: особенности проведения процедуры

Сотрясение головного мозга возникает в результате получения травмы черепа. Распознать такое повреждение не всегда возможно, медики обычно применяют дополнительные методы обследования таких пациентов. Существует определенный набор симптомов, указывающих на характер травмы и степень ее тяжести.
Однако признаки, указывающие на сильный ушиб головы, редко диагностируются сразу, зачастую нужно подключать инструментальные способы. Патологический процесс, который развивается в результате такого ранения, можно точно выявить только с помощью КТ (компьютерной томографии), МРТ (магнитно-резонансной томографии) или рентгена.
Врачебный осмотр
Итак, как диагностировать сотрясение мозга? Дома можно понять, что травма головы вызвала сотрясение, если внимательно присмотреться к симптомам, возникшим у пострадавшего. Резко появившаяся тошнота, рвота, нарушение сознания говорят о вероятном сотрясении мозга и необходимости немедленно вызвать скорую помощь.
У маленьких детей при получении такой травмы нужно обратить внимание на состояние родничка, если он выпирает, нужен осмотр доктора. Кровь из носа, а также бледность кожи указывают на серьезную травму, игнорировать такие симптомы нельзя.
Сотрясение мозга у взрослых немного отличается от такой же травмы у детей.
Малыши более подвержены падениям, а чтобы получилось такое серьезное повреждение, им достаточно даже легкого воздействия, чтобы головной мозг встряхнулся, и кости черепа надавили на мозговую оболочку.
Ребенок не в состоянии подробно рассказать о своих ощущениях после получения повреждения, поэтому сотрясение головного мозга у него диагностируется родителями неправильно или с опозданием.
Клиническая картина
Если повреждение сильное, то орган сильно сдавливается черепными костями, нарушается ток крови в этой зоне. Основные патологии после сотрясения:
- нарушение коллоидного баланса;
- изменение состава вещества головного мозга;
- ткани органа не получают достаточного питания в результате сильного ушиба;
- связь между отдельными структурами мозга нарушается;
- появляется область повышенного давления в зоне ранения.
Поставить правильный диагноз при такой травме первой степени можно после сбора анамнеза. Врач опросит пациента о его ощущениях и симптомах, возникших после получения повреждения.
При поступлении в стационар такого больного доктор проводит осмотр, чтобы определить характер травмы.
Симптомы напрямую указывают на характер повреждения, поэтому они важны при первичном обследовании при сотрясении головного мозга.
Признаки сотрясения следующие:
- потеря памяти, носящая кратковременный характер;
- сильная тошнота и рвота;
- обморок, который длится примерно полчаса;
- шум и гул в ушах;
- кровотечения из носа;
- мигрень.
Степень поражения
Чем серьезнее повреждение, тем быстрее нужно применить ряд диагностических процедур, типа КТ или МРТ, выявляющих конкретные очаги патологии. В зависимости от степени тяжести такой травмы, симптомы могут меняться и усиливаться:
- Первая – проявляется заторможенностью больного и кратковременной спутанностью сознания.
- Вторая – характеризуется ретроградной амнезией, кратковременной дезориентацией пациента в пространстве и также заторможенностью.
- Третья – сочетает в себе все ранее описанные симптомы, а дополнительно человек надолго теряет сознание.
Чем дольше больной не приходит в себя после обморока, тем тяжелее будут последствия травмы. Когда по прошествии 6 часов пациент не очнулся, все может закончиться летальным исходом.

После того, как пострадавший пришел в себя, могут возникнуть дополнительные признаки, указывающие на вегетативное расстройство:
- Вялость, сонливость.
- Бледность кожных покровов.
- Чрезмерное выделение пота.
- Перепады температуры тела.
- Раздражительность.
Сотрясение мозга у взрослого и ребенка может сопровождаться нарушением зрительной функции, перед глазами плавают мушки, мутнеет картинка.
Если все признаки такого состояния человека диагностировались вовремя, и лечение начато своевременно, то тяжелых последствий удастся избежать большинству пострадавших.
Сотрясение мозга в домашних условиях обнаружить можно, главное – обратить внимание на характерные признаки, особенно это касается детей.
Инструментальные методы
Для проведения инструментальной диагностики сотрясения головного мозга учитывается состояния больного, особенности его организма и возраста. Способы выявления сотрясения мозга:
- Снимок рентгена. Многих волнует вопрос о том, показывает ли обычный рентген клиническую картину сотрясения полностью, выявляет ли такой метод определенные нарушения, возникшие в результате получения травмы и многие другие характеристики. Рентгеновский снимок необходим для изучения возможных структурных изменений костей черепа.
- Если результаты показали наличие микротрещин, осколков костной ткани или больших трещин, то медики диагностируют тяжелый или средний вид травмы. Недостатком этого способа является его малоинформативность, сосуды, окружающие ткани мозга, остаются неисследованными. Чтобы картина болезни была полной, нужно применить более точные методы диагностики.
- УЗИ. Исследование ультразвуком позволяет оценить состояние строения мозгового вещества и системы желудочков органа. С помощью такого обследования медики выявляют возможное формирование отечности тканей в полости черепа, кровоизлияния, скопление ликвора, а также гематомы.
- КТ. Является более сложным методом обследования головы пациента. Такой метод имеет сходство с рентгеном, но результаты проведения его гораздо точнее. С помощью КТ врачам удается обнаружить даже незначительные повреждения структуры головного мозга и различные сопутствующие патологические процессы. КТ применяется довольно часто в случаях получения людьми подобных травм.
- МРТ. Способ обследования МРТ при сотрясении головного мозга представляет собой самый точный и дорогостоящий метод, позволяющий выявить любые отклонения у пострадавшего человека. Иногда врач при сборе анамнеза больного может подозревать развитие определенной патологии, которую невозможно диагностировать другими методами, только МРТ. В этом случае такое обследование назначается.
- Энцефалография. Назначают только тогда, когда необходимо уточнить некоторые показатели КТ или МРТ. Эта процедура нужна в случае расстройства связи между отдельными частями мозга. Если у пациента выявлены приступы паники, тремор верхних конечностей или эпилептические припадки, то энцефалограмма обязательна.
- Изучение состояния глазного дна. Проводится в целях обнаружения отдаленных симптомов сотрясения головного мозга. Если к диагностированным патологическим процессам добавилось нарушение зрительной функции, то осмотр врача-офтальмолога позволит улучшить ситуацию.
После того как пострадавший поступил в отделение стационара и было проведено обследование, ему сразу показан постельный режим. Все резкие движение и любые физические нагрузки следует сократить до минимума. Глаза нуждаются в отдыхе, поэтому просмотр телевизора запрещен. Обработка повреждения на голове позволит избежать попадания в рану микробов.
Повреждения головы люди получают часто, поэтому нужно знать, как могут выглядеть признаки такого состояния. Пострадавшим должна быть оказана своевременная помощь, тогда риск осложнений травмы снизится до минимума.
Нельзя забывать, что признаки сотрясения головного мозга могут проявиться через несколько часов после получения травмы, поэтому нужно внимательно относиться к таким пострадавшим и следить за их состоянием на протяжении 3-6 часов.
Источник:
Рентген черепа | Виды рентгенографии черепа
Костная структура черепа отличается высокой прочностью. Однако существуют ситуации, когда целостность такой структуры находится под угрозой. Рентген черепа порой является единственным методом аппаратной диагностики, способным выявить различного рода травмы, множественные заболевания, врожденные пороки.

Различные травмы и заболевания головы могут угрожать не только здоровью, но и жизни человека. Поэтому в большинстве случаев при возникновении патологических проявлений или травм назначается рентгенография костей черепа. Эта диагностическая процедура способна:
- выявить переломы свода черепа, лицевой части, нижней челюсти;
- обнаружить врожденные аномалии и пороки развития черепа;
- установить изменения костных структур;
- диагностировать синусит, гайморит;
- выявить остеопороз (разрушение костной ткани);
- помочь в исследовании пазух носа, турецкого седла, глазниц.
Стоит также понимать, для чего делают рентген черепа. Рентгенографию не делают для исследования мозга. Для этого врач отправит вас на различные виды томмографий, к примеру, МРТ или КТ. Причинами направления на рентген могут быть жалобы пациента или видимые клинические проявления (показания).
Показания и противопоказания к проведению рентгенографии
Показаниями к проведению рентгенографии черепа могут стать:
- головные боли;
- ассиметрия черепа;
- подозрение на опухоли челюстно-лицевой области;
- новообразования в полости черепа;
- черепно-мозговая травма;
- патология турецкого седла и гипофиза;
- патология височно-нижнечелюстного сустава.
Этот метод диагностики проводится при метаболических и эндокринных заболеваниях, травмах носовой перегородки, а также дается направление на рентген при сотрясение мозга. Направление на процедуру выписывает невролог, ревматолог, хирург, онколог, эндокринолог.
Противопоказаниями к проведению такого рода диагностики являются беременность, кормление грудью. В некоторых случаях рентген может проводиться данной категории пациентов, потому как негативные последствия от неверно поставленного диагноза и, соответственно, лечения может быть больше, чем от воздействия лучевой диагностики.
Исследуемые области черепа
В зависимости от клинических проявлений диагностика может включать различные виды исследований, от чего и будут зависеть, какие нужны проекции при рентгенографии черепа.
С помощью рентгенографии можно исследовать турецкое седло на предмет исключения или подтверждения остеопороза, опухоли гипофиза. Рентген височно-челюстных суставов поможет диагностировать артроз. Также выполняют исследования нижней челюсти, костей носа, глазниц, кости скул, отростков височной кости.
Условно разделяют обзорное исследование черепа и прицельную рентгенограмму. Обзорный рентген проводится для первичной диагностики, а прицельный – с направлением фокуса лучей на конкретную область.
Рентгенография височных костей проводится для выявления аномалий ее развития, опухолей, при травмах. Чаще всего исследование проводится в проекциях Майера, Стенверса, Шюллера. Решение об этом принимает лечащий врач с учетом анамнеза.
Показаниями к направлению на проведение рентгена височных костей могут быть:
- врожденные аномалии костей;
- патологии челюстного сустава;
- подозрения на новообразования;
- внедрение имплантов.
При подозрении на отит (острый или хронический), попадании посторонних предметов в ухо, больной может быть направлен на рентген уха. Такой вид исследования позволяет наиболее точно определить причину тех или иных жалоб пациента в области ушей, а также диагностировать мастоидит, воспаление, осложнения заболеваний ушей, изменения в структурах внутреннего уха, другие заболевания ЛОР-органов.
Источник:
Ушиб головы: симптомы, первая помощь, последствия

Ушибы головы — это повреждения, которые чаще всего являются результатом падения либо удара тупым предметом. Зачастую такие травмы наблюдаются у молодых людей.
Даже когда отсутствуют симптомы, игнорировать повреждения головы не рекомендуется, поскольку они могут таить в себе опасность для здоровья и жизни человека.
Травмы могут стать причиной перелома основания черепа, сотрясения мозга и других неприятных осложнений, именно поэтому необходимо знать, что делать при травме головы, и при необходимости оказать первую помощь.
Классификация
Травма может быть открытой, то есть наблюдается повреждение кожного покрова, страдают также сосуды. Если травма проникающая, то затронута твердая оболочка мозга, иногда диагностируется перелом основания черепа – одна из самых опасных травм.
При закрытых травмах кожа не травмируется. Выделены следующие группы повреждений головного мозга:
- сотрясение – это легкая степень черепно-мозговой травмы, проявления которой исчезают через несколько дней, отсутствуют симптомы повреждения сосудов, а функциональные расстройства обратимы. Ушиб — более тяжелое поражение, при нем может наблюдаться повреждение мозга. Проявляется такими признаками как тошнота, рвота, побледнение кожи, отек ткани, болевой синдром.
- сдавливание пораженного участка мозга (инородный предмет, гематома, воздух, обломок кости);
- кровоизлияние в субарахноидальное пространство (полость между паутинной и мягкой мозговыми оболочками);
- диффузное повреждение.
Сильный ушиб головного мозга может стать результатом комбинированной травмы.
При травме головы возможно 2 вида ушибов:
- Ушиб мозга.
- Ушиб мягких тканей головы.
Иногда травма сопровождается кровоизлиянием. Нередко этому сопутствуют переломы костных тканей черепа.
Выделены виды повреждений в зависимости от локализации:
- ушиб затылочной части головы;
- повреждение височной области;
- ушиб лобной части головы;
- поражение теменной доли.
Изменения, происходящие с мозгом вследствие ушиба, делятся на первичные и вторичные. Первичные вызываются самой травмой, а вторичные – ухудшением питания тканей и повышением внутричерепного давления, появлением отека, гематом.
При серьезных повреждениях иногда диагностируется ушиб сразу нескольких участков мозга.
У ребенка при ушибе мягких тканей головы появляется шишка. Однако в результате удара возможны и травмы головного мозга, последствия которых могут проявиться уже во взрослом возрасте, после 40 лет либо позже. Поэтому даже если после удара просто появляется шишка, рекомендуется обратиться за врачебной помощью.
Симптомы
Что может происходить с мозгом после удара? Головной мозг по инерции резко сдвигается в противоположную сторону, поэтому он повреждается не только в месте удара, но и с противоположной стороны, это вызывает спазмы сосудов и отечность. Из-за отека повышается внутричерепное давление.
Сильный ушиб головы нередко сопровождается переломами костей черепа, ухудшающими состояние человека, также повышается риск развития инфекции на пораженном участке. В любом случае обратиться к врачу нужно незамедлительно.
Симптомы ушиба головы обусловлены локализацией и силой удара:
- легкий ушиб характеризуется болью, которая через несколько часов затихает. При повреждении подкожных сосудов образуется гематома. Пострадавший жалуется на постоянную сонливость, раздвоение и потемнение в глазах, иногда наблюдаются обмороки. Симптоматика исчезает через несколько недель;
- повреждения средней тяжести сопровождаются длительным обмороком (несколько часов), сильными головными болями, заторможенной реакцией и нарушенным осознанием происходящего. Речь нечеткая и замедленная;
- при переломах костей черепа основными клиническими симптомами считаются головокружения, рвота, кровотечение из носа;
- ушиб затылка проявляется нарушением зрения, головокружением, потерей сознания и общей слабостью.
При серьезной травме пациенты находятся без сознания длительное время (до нескольких суток), может наступить кома. Наблюдается нарушение речи, дыхания и глотания, зрачки могут отличаться по размеру. Не исключена частичная либо полная потеря памяти.
Первая помощь при ушибе головы
При ушибе головы первая помощь состоит из следующих действий:
- на место удара положить холод, это даст возможность снизить болевые ощущения и отечность, держать несколько часов, но избегать переохлаждения.
- пострадавшего необходимо уложить на горизонтальную поверхность, что даст возможность избежать очередного падения из-за слабости и головокружения;
- вне зависимости от тяжести состояния, доставить пострадавшего в больницу либо вызвать бригаду скорой помощи;исключить прием воды, пищи и лекарств;
- при гематоме наложить сдавливающую повязку;
- согревающие компрессы на спирту использовать можно только через несколько дней.
Доврачебная помощь при ушибе головы может быть оказана любым человеком, но все равно потребуется квалифицированная медицинская помощь.

При ушибе головы у ребенка первую помощь оказывать обязательно, также нужно учитывать, что симптомы у детей могут проявляться не так ярко, как у взрослых.
Диагностика
Диагностика и лечение назначаются врачом-невропатологом. Если наблюдаются ушибы головы, то диагноз ставится на основании следующих методов:
- рентгенография – определяется наличие переломов костей черепа;
- пункция спинного мозга;
- компьютерная томография – выявляется локализация повреждения, наличие гематомы, отека.
После получения точных результатов назначается адекватная терапия.
Лечение
Некоторые занимаются самолечением при ушибе головы, что делать не рекомендуется, особенно если есть хоть малейшие подозрения на сотрясение либо кровоизлияние. Как лечить ушиб головы, определяет врач, методы зависят от характера повреждения, его локализации.
Медикаментозное лечение
Лекарства назначаются для снижения симптоматики:
- анальгетики – для уменьшения болевого синдрома;
- лекарства для регулирования работы вегетативной нервной системы;
- снотворные для нормализации сна;
- ноотропные препараты назначаются как профилактика осложнений, а также для восстановления работы мозга;
- мочегонные средства;
- противосудорожные лекарства – назначаются в более тяжелых случаях при наличии судорог.
Для местного применения используются мази, которые обладают укрепляющим действием на кровеносные сосуды, снимают отеки и помогают устранить гематомы. В реабилитационный период после получения травмы врачи назначают физиотерапевтические мероприятия.
Чем лечить ушиб в домашних условиях, подскажет специалист. Для этого рекомендуются компрессы из настойки женьшеня, лимонника, элеутерококка.
Хирургическое вмешательство
В тяжелых случаях показано оперативное лечение, например, при ушибе головы при падении, если он сопровождается повреждением целостности мозговых структур.
Чаще всего операции назначаются при поражении височных и лобных долей мозга. Трепанация черепа проводится посредством просверливания отверстия, через которое проводится удаление омертвевших тканей. В послеоперационный период больной должен находиться под контролем врачей.
При ушибе головы при падении лечение назначается исходя из поставленного диагноза. Если травма не опасна, то необходимо выполнять следующие рекомендации:
- постельный режим на протяжении нескольких дней;
- придерживаться предписаний лечащего специалиста и обеспечить прием назначенных препаратов;
- в период реабилитации исключить физические нагрузки;
- если травмирована левая часть мозга, то лежать лучше на правом боку, и наоборот;
- в восстановительный период лучше избегать использования гаджетов и телевизора либо ограничить такой досуг до минимума;
- необходимы длительные прогулки на свежем воздухе.
При ушибе затылочной части синяки и шишки также нельзя оставлять без внимания, особенно если появляются неприятные симптомы. В таких случаях необходимо сразу обратиться к врачу, что позволит избежать возникновения неприятных осложнений.
Последствия ушиба
Осложнения могут быть различные, это зависит от локализации и степени тяжести травмы. Легкие травмы проходят самостоятельно за короткий промежуток времени. При серьезных повреждениях не исключено развитие следующих осложнений:
- бодрствующая кома (апаллический синдром) – пациенты в сознании, но они не способны реагировать на происходящее, абсолютно безразличны к окружающим людям и предметам. Возникает реакция только на боль;
- парезы – частичная утрата двигательной функции.
- киста головного мозга;
- абсцесс головного мозга – формирование полости с гноем при развитии воспалительного процесса;
- ВЧГ, или синдром внутричерепной гипертензии, – это повышенное интракраниальное давление;
- постоянная боль головы – не проходит на протяжении полугода и более;
- менингит – воспалительный процесс в оболочках мозга;
- развитие вторичной эпилепсии;
- летальный исход либо инвалидность не исключены при тяжелых травмах;
Последствия ушиба затылочной части головы:
- снижение работоспособности и концентрации внимания;
- ухудшение качества сна;
- депрессивное состояние;
- регулярные головокружения;
- появление галлюцинаций;
- метеозависимость.
Если при падении удариться затылком, то последствия удара могут быть серьезными, поэтому необходимо пройти комплексное обследование.
Успех терапевтических мероприятий зависит от своевременности диагностики и лечения и степени тяжести повреждения.
Источник:
Что делать после удара головой

Статистика показывает, что в быту и в спорте удар головой входит в число наиболее часто встречающихся видов повреждений.
Получить его можно разными способами: во время драки, поскользнувшись на льду или случайно, ударившись об угол мебели. Возникшая после удара головой травма может быть очень опасна.
Повреждения в области виска часто становятся причиной обморока, а поражение теменной части обычно приводит к сотрясению мозга и нарушению целостности костей черепа.
Виды повреждений
Неврологи и другие специалисты выделяют несколько разновидностей черепно-мозговых травм (ЧМТ), диагностируемых после ударов по голове.
Сотрясение головного мозга (СГМ)
Для получения СГМ достаточно случайно стукнуться о твёрдый предмет. В результате столкновения возникает двукратное смещение мозга: сначала он движется по направлению ударной траектории, а после возвращается в исходное место. Таким образом, отрицательное воздействие, вызываемое столкновением, удваивается.
СГМ составляет 70% всех регистрируемых травм головы. Оно одинаково часто встречается у детей и взрослых. Последствия удара головой при сотрясении проявляются в виде:
- головной боли;
- головокружения;
- непродолжительных (до четверти часа) обмороков;
- невозможности вспомнить события, предшествовавшие получению травмы;
- ощущения слабости;
- нарушенной координации движений;
- шума и звона в ушах;
- нарушения дыхания;
- приступов рвоты;
- болезненности в области глаз;
- ухудшения зрения.
Эти признаки могут наблюдаться даже после нанесения удара по челюсти (а не только по голове). При этом пострадавшему становится трудно жевать.
Артериальное давление после сотрясения нормализуется быстро, а температура тела меняется незначительно. Однако чувство тошноты, головокружение и нарушения сна (вплоть до бессонницы) сохраняются на протяжении долгого времени.
При подозрении на СГМ человека обязательно привозят в больницу на осмотр. При отсутствии осложнений пациент может продолжить лечение в домашних условиях, воспользовавшись не только рекомендациями врача, но и некоторыми народными рецептами. Особенно хорошо в этом случае помогает массаж головы и пластырь из льняной тряпочки.
Сдавление головного мозга
Опасность подобного состояния связана с возможным поражением стволовых образований в области мозжечка, регулирующих процесс кровообращения и позволяющих человеку дышать.
В кратчайшее время после возникновения травмы пострадавшего обследуют на предмет наличия гематом. В случае обнаружения проводится их экстренное удаление, поскольку кровоизлияния могут усилить сдавление головного мозга и ухудшить состояние пациента.
Ушиб мозга
При таком диагнозе результатом ударов по голове становится повреждение свода черепа и тканей головного мозга, что зачастую сопровождается развитием некротических (омертвевших) участков. Ушиб мозга можно получить даже от сильного удара кулаком (поэтому данный вид ЧМТ – частое явление в боксе). В числе сопутствующих симптомов травмы выделяют:
- нарушения неврологического характера;
- потерю сознания;
- боль в области затылка (голова будет болезненно пульсировать на протяжении нескольких недель).
У пострадавших иногда кружится голова, возникает ощущение сдавления в височных областях. Травма может быть осложнена переломом костей черепа. Иногда это выглядит как вмятина на поверхности головы, но если осколки черепных костей повредят корковые ткани и попадут в мозговое вещество, то это приведёт к нарушению жизненно важных функций организма.

Незначительные по силе ушибы обычно возникают в детстве (примерно 1/5 всех случаев ЧМТ) из-за повышенной активности малышей, которые часто падают и ударяются головой.
Более тяжёлые травмы встречаются в старшем возрасте и обычно сопровождаются нарушением остроты зрения, расширением зрачков и повышением температуры тела.
Из-за наиболее сильных травм данного типа ухудшаются все функции организма.
Для нормализации состояния после ушиба головного мозга пациенту назначают препараты, оказывающие антиоксидантное и нейропротекторное действие. Также применяются средства, укрепляющие сосудистую систему и способствующие её восстановлению.
Повреждение аксонов
Данный вид травмы приводит к сильнейшим нарушениям сознания (контузиям), которые в скором времени становятся причиной остановки мозговой деятельности и впадения в кому. Основной способ лечения при повреждении аксонов – поддержка жизнедеятельности. Определить сроки восстановления невозможно, поскольку это будет зависеть от индивидуальных особенностей организма.
По степени тяжести
В соответствии с ещё одной классификацией выделяют 3 вида ЧМТ в зависимости от их тяжести.
| Степень тяжести | Количество баллов по шкале Глазго |
| Лёгкая | 14-16 |
| Средняя | 9-13 |
| Тяжёлая | 8 |
Однако, независимо от того, насколько сильным был удар по голове, его последствия можно минимизировать, если своевременно оказать пострадавшему необходимую помощь.
Особенности развития ЧМТ у детей
У младенцев и годовалых детей после удара головой температура тела может подниматься до 38° C и выше. При наличии открытых ран это является следствием попадания инфекции, а в иных случаях – результатом стресса, развития воспаления или использования неподходящих медикаментов.
Удары по голове, получаемые детьми, особенно опасны тем, что ребенок не может достаточно чётко описать свои ощущения. Это затрудняет постановку диагноза и последующее лечение. Однако именно в момент получения травы можно заметить, что малыш:
- побледнел;
- стал сонливым и вялым;
- имеет учащённое сердцебиение и неравномерный пульс.
В дальнейшем у младенца наблюдается частая рвота. Он постоянно срыгивает при кормлении, становится беспокойным. Появляются проблемы со сном. При сотрясении данные симптомы полностью исчезают спустя 3-4 дня.
У новорожденных и грудничков, а также у людей пожилого возраста сотрясение головного мозга развивается с сохранением сознания. Это обусловлено их физиологическими особенностями.
Первая помощь
Если человек упал и ударился головой, то признаки ЧМТ начнут проявляться практически сразу, нужно лишь обратить на это внимание. Его начнёт подташнивать, либо он может упасть в обморок. Помогать в такой ситуации нужно быстро и уверенно. Для этого необходимо сделать следующее:
- Взывать скорую;
- Приложить ко лбу пострадавшего лёд или сделать холодный компресс (это позволит сузить сосуды, снизив вероятность появления кровотечений, шишек и кровоподтеков, а также уменьшит отёчность);
- Произвести осторожный осмотр больного: если у него выявится боль в шее, то возможно речь идёт о травме одного или нескольких позвонков (в этом случае нужно постараться не менять позу человека без острой необходимости);
- Если пострадавший потерял сознание – дать понюхать нашатырный спирт (бить по щекам в данной ситуации не следует, поскольку это может усугубить состояние больного);
- Все повреждённые участки кожи (с ранами и ссадинами) обработать перекисью водорода или раствором фурацилина;
- При фонтанирующем кровотечении в области виска нужно плотно прижать сосуд пальцами, потом наложить фурацилиновую повязку, закрепить её пластырем и перемотать бинтом (если нужного средства не окажется под рукой, его можно заменить мирамистиновой мазью);
- Если пострадавшего начинает тошнить или вырывать, то необходимо положить его набок и постараться сделать так, чтобы рвота выходила как можно свободнее (для вытирания рта больного использовать самодельные тампоны из марли или кусок любой чистой ткани).
Теперь остаётся только дождаться приезда скорой. Однако соблюдать такую последовательность действий нужно не всегда. Если у человека просто болит голова после удара, то вызывать бригаду врачей нет необходимости. Но проводить пострадавшего до больницы стоит, поскольку ни одна ЧМТ не проходит бесследно, а значит, ему требуется помощь специалистов.
Показания к госпитализации
Даже если кто-то рядом с пострадавшим или он сам знают, что делать, если сильно ударился головой, всё равно нужно вызвать скорую или как-то иначе доставить человека с ЧМТ в ближайшее медучреждение для проведения КТ (компьютерной томографии) или МРТ (магнитно-резонансной томографии) головного мозга. Данные способы диагностики являются наиболее точными.

Если же они недоступны, то потребуется:
- пройти осмотр у офтальмолога;
- сделать рентгенографию черепа;
- провести эхонцефалографию (ЭЭГ).
Последний метод исследования позволяет проверить факт наличия или отсутствия внутричерепного кровоизлияния, которое может стать основанием для госпитализации пострадавшего.
Если выяснится, что при падении у пациента произошёл перелом костей черепа, то его также госпитализируют. Характерные признаки этого вида ЧМТ – носовое и ушное истечение ликвора и синяки в виде кругов под глазами. Попытка лечить такую травму самостоятельно может привести к летальному исходу.
Кроме того, лиц с ЧМТ обязательно госпитализируют, если у них наблюдается:
- приступ эпилепсии;
- посттравматическая потеря памяти;
- кома;
- перелом черепа (открытый или закрытый);
- кровотечение;
- потеря сознания или заметное снижение его уровня;
- неврологическая симптоматика.
При ударе головы у беременной женщины госпитализация с последующим осмотром обязательна, независимо от того, насколько хорошо пациентка себя чувствует.
Говорить о последствиях удара головой, вызвавшего ЧМТ, можно только спустя год после проведения терапии. На протяжении этого временного периода наблюдаются и ухудшения (например, человека может внезапно затошнить), и улучшения в состоянии пациента. Лишь позже оно стабилизируется. К сожалению, до этого момента доживают лишь 75% лиц, получивших черепно-мозговую травму.
Источник:
Рентген головы: что показывает, как делают, рентген при сотрясении у ребенка и взрослого

В основе рентгенографии лежит способность рентгеновских лучей (Х-лучей) проходить сквозь ткани разной плотности, которые частично поглощают интенсивность испущенного излучения.
В считанные секунды детектор фиксирует интенсивность выходящих рентген лучей, затем полученные таким способом данные обрабатываются специализированными компьютерными программами и преобразовываются в черно-белый снимок.
Показания к назначению рентгена головы Виды рентгенологического обследования головы Особенности проведения рентгена головы Этапы рентгенографического обследования головы Вред рентгена для организма человека Рентген головы детям
Что касается более старых моделей рентгеновских аппаратов, то детектором там выступает светочувствительная пленка, сквозь которую проходят лучи, высветляющие определенные участки головы.
Чем плотнее по структуре ткань, тем больше излучения она поглощает и тем светлее данная область на снимке.
То есть кости на рентген снимке изображаются более светлыми, а мягкие ткани внутренних органов более темными.
Рентгенография помогает врачу выявить какие-либо отклонения или структурные изменения тканей. Несмотря на множественные достижения медицины, данный метод диагностики все еще не имеет достойных аналогов.
Основными достоинствами рентгенографии являются:
- простота проведения;
- скорость получения результатов;
- дешевизна метода;
- отсутствие необходимости в подготовке организма к обследованию.
Важно
Рентген головы назначают, прежде всего, для исследования состояния костей черепа. При необходимости детального обследования мягких тканей применяют КТ или МРТ.
Показания к назначению рентгена головы
Как правило, рентгенография головы – это первое исследование, которое назначают специалисты при обращении больного с определенными жалобами на самочувствие, при черепно-мозговой травме, а также при определяемых лечащим специалистом проявлениях. Рентген позволяет оперативно оценить состояние черепной коробки, выяснить причину плохого состояния пациента и, не теряя времени, определиться с дальнейшей стратегией обследования больного или планом его лечения.
Рентгеновский метод обследования головы назначается пациенту при жалобах на:
Кроме того, рентгеновские снимки позволяют квалифицированному специалисту обнаружить такие патологические нарушения, как:
- Развитие грыжи головного мозга.
- Развитие остеопороза, в основе которого лежит разрушение костной ткани.
- Врожденные аномалии строения черепной коробки.
- Переломы и воспаление отдельных участков головного мозга, вызванное переломами костей черепа.
- Гематома.
- Киста или опухоль головного мозга.
- Развитие атеросклероза.
- Внутричерепная гипер— или гипотензия.
Рентген головы является обязательной процедурой после тяжелых травм. При этом рентгенографию делают пациенту даже в том случае, если он без сознания, поскольку поздняя диагностика подобных травм может привести к серьезным последствиям.
Виды рентгенологического обследования головы
Для оперативного обследования головы в современной медицине применяют два рентгенологических метода:
- обзорная диагностика;
- прицельная диагностика.
То, какой вид диагностики необходимо произвести пациенту, напрямую зависит от особенностей патологических процессов, происходящих в его организме. Прежде чем назначить больному рентгенограмму, врач оценивает целесообразность проведения обзорного или же прицельного обследования. Бывают ситуации, когда специалист рекомендует сначала одно, а затем для конкретизации результатов второе.
Обзорное рентгенологическое обследование охватывает всю область черепной коробки и позволяет выявить все возможные нарушения. Как правило, именно этот метод назначается специалистами при травмах головы.
Обзорная рентгенограмма позволяет выявить наличие:
- переломов, трещин, смещений в черепной коробке;
- гематом, образовавшихся в результате ушиба или удара;
- врожденных аномалий строения черепа;
- внутричерепной гипер- или гипотензии.
Прицельное рентгенологическое обследование применяется с целью качественного исследования всех возможных изменений в каком-либо конкретном сегменте черепа. В частности, этот метод применяется для изучения:
- Носовых пазух.
- Верхней или нижней челюсти.
- Глазниц.
- Сосудов головного мозга.
- Скуловой области.
- Височно-нижнечелюстного сустава.
- Других отдельных участков черепа.
Особенности проведения рентгена головы
Проведение рентгена головы не требует от пациента никакой особой подготовки. То есть не нужно вносить никаких изменений в питание, питье или прием медикаментов в связи с грядущей рентгенографической процедурой. Непосредственно перед выполнением рентгена пациент должен снять все металлические украшения, очки и протезы.
Важно
Если имеются несъемные металлические протезы, об этом необходимо предупредить специалиста.

Во время самой процедуры голова должна быть в полностью неподвижном состоянии. При необходимости специалист может использовать специальные крепежи и повязки, предусмотренные для фиксирования головы пациента.
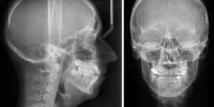
Как правило, рентген проводится в двух проекциях:
- прямой (фронтальной);
- боковой (сагиттальной).
Это объясняется тем, что рентгенограмма — это плоское изображение трехмерного объекта. Чаще всего достаточно двух проекций, чтобы установить локализацию патологических изменений.
Однако бывают ситуации, когда необходимо более точное определение места, в котором обнаружена патология, а также более детальное изучение степени ее развития. Тогда для достижения более качественного результата рентген проводят и в других проекциях, а именно посредством:
- Правой и левой боковой проекции.
- Переднезадней, которая известна в медицинских кругах как проекция Тауна.
- Заднепередней, так называемая проекция Колдуэлла.
- Аксиональной. В данном случае рентген проводится вдоль оси тела.
Снимки, получаемые в перечисленных проекциях, являются максимально информативными, и дают возможность рассмотреть костные или мозговые патологии в мельчайших подробностях.
Этапы рентгенографического обследования головы
Для примера рассмотрим обзорное рентгенографическое обследование.
Вся процедура рентгена состоит из двух этапов.
На первом этапе пациента располагают таким образом, чтобы боковая поверхность его черепной коробки находилась параллельно функциональной поверхности, и делают снимок в сагиттальной проекции.
Центральный рентгеновский луч должен быть направлен на пару сантиметров выше прямой, соединяющей верхненаружный глазничный край с наружным слуховым проходом.
Если все сделано правильно, то на снимке клиновидные отростки, верхние стенки глазницы и наружные слуховые проходы будут накладываться друг на друга.
Качественно сделанный снимок в сагиттальной проекции позволяет специалисту изучить состояние как черепной коробки в целом, так и отдельных ее сегментов, в частности:
- черепных швов;
- турецкого седла;
- лицевого скелета;
- свода и основания.
На втором этапе делается фронтальный снимок головы пациента, для чего его располагают лицом вниз таким образом, чтобы сосцевидные отростки совпадали.
На фронтальном снимке врачу можно будет рассмотреть:
- венечный шов;
- чешую лобной кости;
- передние участки теменных костей.
Если есть необходимость в иных проекциях, то рентгенолог после выполнения фронтального снимка фиксирует голову пациента в другом положении.
Вред рентгена для организма человека
Наверное, каждый человек знает о вреде ионизирующего излучения, но насколько опасен для человеческого организма рентген головы?
Согласно данным, в процессе рентгенографического обследования головы пациент получает около 0,12 мЗв (миллизивертов), что составляет до четырех процентов от облучения, которое на протяжении года может получить организм человека, проживающего в местности с нормальным радиационным фоном. Стоит отметить, что ту же годовую дозу облучения, которая составляет 3 мЗв, можно получить всего за несколько часов пребывания под открытым летним полуденным солнцем.
Обратите внимание
Следует подчеркнуть, что большинство современных специализированных клиник проводят рентгенографическое обследование на цифровых рентген-аппаратах, которые отличаются от обычных более низким уровнем лучевой нагрузки и повышенной информативностью. Кроме того, они позволяют получать изображение в цифровом виде.
Несмотря на то, что доза облучения при рентгенографической диагностике головы весьма скромная, специалисты не рекомендуют подвергаться рентгену более семи раз за год, поскольку в любом случае рентген может нанести вред организму. К рентгенографическому обследованию прибегают исключительно при наличии показаний, и ни один специалист не станет рекомендовать сделать процедуру лишний раз.
Противопоказания к проведению рентгенологического исследования:
- Беременность. Очень не рекомендуется рентгенологическое облучение во время беременности, и особенно в период, когда интенсивно закладываются и развиваются все внутренние органы будущего человека, то есть в первый триместр.
- Слишком частое облучение. Несмотря на то, что доза получаемого облучения при выполнении рентгена головы незначительна, и вряд ли может привести к возникновению и развитию лучевой болезни, все же риск существует.
Конечно же, в некоторых ситуациях, когда существует риск потери жизни из-за серьезного недуга, выявить который можно только при помощи рентгена, то проводить данную процедуру будут столько раз, сколько потребуется.
В частности, при травмах головы тяжелой степени, когда очень важно произвести обследование и оценить ситуацию, рентген черепной коробки могут делать даже беременным женщинам.
Естественно, что в процессе осуществления подобного рода исследования применяются специальные свинцовые накладки для полного укрытия живота беременной.
Рентген головы детям
Специалисты назначают детям рентген головы только в самых крайних случаях. В частности, если есть угроза жизни ребенка, а с помощью других методов обследования (к примеру, УЗИ) получить нужные данные не представляется возможным.
https://youtube.com/watch?v=x3SkTi_eV08
К сожалению, достойную замену рентгену сегодня найти очень сложно. Это связано с тем, что сформированные костные ткани не поддаются исследованию посредством ультразвука. А такой способ диагностики, как МРТ, не всегда является доступным по причине его высокой стоимости и отсутствия необходимой аппаратуры в некоторых клиниках страны.
К основным показаниям для проведения рентгенографии детской головы относятся:
- дорожно-транспортное происшествие (ДТП);
- родовая травма;
- травмы головы в результате падения или удара (проверка на наличие трещин или переломов).
Для произведения рентгена головы маленькому ребенку необходимо:
- Укрыть его грудную клетку, живот и малый таз свинцовой защитой, которая не пропускает Х-лучи. Для этого используется специальный «воротник» и «фартук».
- Уложить ребенка в необходимом положении и зафиксировать его голову. В этом и состоит основная сложность: очень трудно уговорить малыша лежать неподвижно некоторое время, ведь и не всем взрослым это под силу. Как правило, при выполнении рентгена детям присутствуют их родственники (чаще всего, мама), которые держат и успокаивают кроху. В редких случаях приходится использовать снотворные препараты или седативные средства.
Конев Александр, врач, медицинский обозреватель
14,971 2
(45 голос., 4,53 из 5)
Загрузка…
Источник:
