Киста Верге головного мозга: что это такое, диагностика, лечение

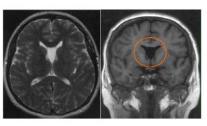
Киста с локализацией в области прозрачной перегородки, расположенной в головном мозге, известная так же как киста Верге – чаще врожденная аномалия развития, которая обычно не провоцирует серьезные неврологические нарушения. Обычно выявляется случайно в ходе инструментального обследования (нейровизуализация), связанного с другими причинами или выраженными неврологическими расстройствами невыясненной этиологии.
Новообразование характеризуется скоплением цереброспинальной жидкости в пространстве между двумя пластинами (слоями) прозрачной перегородки, которая разделяет передние отделы мозга и мозолистое тело. Чаще формируется в период внутриутробного развития. Признаки отклонения от нормы заметны в перинатальный период, обнаруживаются в ходе УЗИ-исследования плода.
Определение патологии
Киста Верги, расположенная в головном мозге – это такое новообразование, которое представляет собой узел с уплотненными стенками, наполненный цереброспинальной жидкостью, с локализацией между боковыми желудочками, что обуславливает характер неврологических нарушений при разрастании. Является разновидностью арахноидальной кисты. Не считается патологическим состоянием, относится к разряду аномальных вариантов развития.
Обычно наличие новообразования не отражается на здоровье человека. Осложнения, проявляющиеся нарушением функций мозга, вероятны при значительном увеличении размеров узла. В процессе разрастания киста Верге сдавливает окружающие мозговые структуры и элементы сосудистой системы, что приводит к нарушению кровотока и ликвородинамики.
В результате повышаются показатели внутричерепного давления, развиваются ишемические и гипоксические процессы. Аномалия диагностируется у 60% новорожденных, чаще у недоношенных детей. Нередко (около 75% случаев) кистозное образование, выявленное в младенческом возрасте, самостоятельно регрессирует. Чаще протекает бессимптомно, отличается доброкачественной природой происхождения.
Причины возникновения
Киста в области прозрачной перегородки, расположенной в головном мозге – это такое новообразование, которое чаще формируется в период внутриутробного развития, что указывает на первичную форму. Этот вид кистозного образования нередко сочетается с другими аномальными вариантами строения интракраниальных (внутричерепных) структур:
- Сосудистые мальформации. Неправильное соединение отдельных элементов кровеносной системы (вен, венул, артерий).
- Аномалия Арнольда-Киари. Неправильное формирование отдела черепа снизу, где находится мозжечок, что приводит к смещению и сдавливанию этого отдела мозга.
- Нейронная гетеротопия. Атипичное расположение нейронов на участках несвойственной для них локализации. В 5-25% случаев состояние коррелирует с эпилептическими приступами в детском возрасте.
- Гипоплазия (недоразвитие) глазного нерва.
Первичная форма чаще возникает в результате травм плода, как следствие перенесенных женщиной в период беременности инфекционных заболеваний. Обычно размеры новообразования составляют около 4 мм в диаметре.
Вторичная форма кисты развивается в любом возрасте.
Причины возникновения связаны с перенесенной травмой в области головы, внутричерепными кровоизлияниями, воспалительными процессами, затронувшими мозговое вещество.
Кистозное образование вторичной формы может возникать как осложнение после нейрохирургического вмешательства.
Вторичная форма считается наиболее опасной, потому что киста прозрачной перегородки, находящейся в головном мозге, в этом случае склонна к быстрому росту, может достигать максимальных размеров – несколько сантиметров в диаметре. Разрастаясь до огромных размеров, она провоцирует неврологические нарушения и угрожающие жизни состояния.

Доброкачественное образование редко трансформируется в злокачественную форму, что чаще связано с наличием патологического, метастазирующего очага в другом органе. В этом случае обычно опухоль быстро пролиферирует в окружающие ткани, прогрессирует и плохо поддается лечению.
Симптоматика
Симптомы обычно проявляются не больше чем у 20% пациентов. Неврологические нарушения чаще связаны с разрастанием новообразования. Типичные признаки кисты межжелудочковой перегородки, расположенной в головном мозге, включают:
- Боль в зоне головы. Интенсивность болезненных ощущений увеличивается вследствие физической нагрузки.
- Шум в ушах.
- Ощущение распирания, сжатия, внутреннего давления в голове.
- Утрата слуха (частичная, полная).
- Зрительная дисфункция.
- Судорожные приступы, спастичность в области конечностей.
- Расстройство чувствительности (онемение, покалывание в области конечностей).
- Перепады показателей артериального давления.
Одним из осложнений прогрессирующего роста кистозного образования является устойчивое, длительное повышение значений внутричерепного давления, которое связано с нарушением ликвородинамики (циркуляция, отток цереброспинальной жидкости). На фоне церебральной гипертензии развивается гидроцефалия с характерными признаками:
- Расстройство зрительной функции.
- Тошнота, нередко сопровождающаяся приступами рвоты.
- Сонливость, повышенная утомляемость, апатия.
- Сбои в работе вестибулярного аппарата – головокружения, расстройство двигательной координации, изменение походки.
В случае развития гидроцефалии пациенту требуется неотложная медицинская помощь. При значительном увеличении размеров кисты и компрессии окружающих тканей повышается вероятность возникновения эпилептических приступов.
Диагностика
Основные методы инструментальной диагностики – исследование в формате МРТ или КТ. Нейровизуализация позволяет детально рассмотреть кисту, определить ее диаметр, морфологическое строение, точную локализацию, выявить характер влияния на окружающие ткани. Другие способы диагностики:
- Анализ крови (развернутый, биохимический) назначают для выявления очагов воспалительных процессов.
- Электрокардиография. Определяют состояние сердечно-сосудистой системы.
- УЗИ в области сосудов, снабжающих кровью отделы мозга. Диагностируют нарушения в работе кровеносной системы мозга.
- Ангиография. Устанавливают пороки развития, функциональное состояние и проходимость элементов кровеносной системы.
Врач индивидуально определяет характер и необходимость хирургического лечения в зависимости от размеров образования, степени его влияния на окружающие отделы и функции мозга.
Клиническая значимость размеров существенно варьируется вследствие разной локализации и разных компенсаторных возможностей организма отдельных пациентов.
К примеру, в детском возрасте из-за податливости черепных костей возможно длительное латентное развитие и рост новообразования без выраженных признаков церебральной гипертензии.
Методы лечения
Методы лечения зависят от наличия и степени выраженности симптомов, которые вызывает киста в области прозрачной перегородки, находящейся в головном мозге. Основные методы терапии:
- Наблюдательно-выжидательная тактика.
- Консервативное лечение.
- Хирургическое вмешательство.
В процессе наблюдения выявляется скорость прогрессирования новообразования. Если киста не растет и не вызывает патологическую симптоматику, она не требует лечения. Обычно контрольные исследования проводятся с периодичностью 1 раз в полгода. Консервативная терапия показана в случае разрастания новообразования. Назначают препараты групп:
- Ноотропные (регулируют процессы клеточного метаболизма в тканях мозга, стимулируют процессы синоптической передачи нервных импульсов, оказывают антигипоксический, антиоксидантный, мембраностабилизирующий эффект).
- Диуретики осмотического типа. Угнетают процесс накопления жидкости в тканях, способствуют выведению излишков влаги из организма через мочеполовую систему.
- Стимуляторы мозгового кровообращения (расширяют сосудистый просвет, нормализуют тонус гладкой мускулатуры стенки сосудов).
- Тромболитики, антикоагулянты (предотвращают образование кровяных сгустков и разрушают уже имеющиеся тромбы).
При необходимости параллельно назначают препараты для лечения неврологических нарушений. Если в результате консервативной терапии не наблюдается улучшение самочувствия, проводят операцию, обеспечивая отвод излишков цереброспинальной жидкости из кистозной полости. В ходе операции (микрохирургическая или эндоскопическая фенестрация) делают небольшие надрезы в стенках кисты.

Отверстия в стенках кистозного образования поддерживают сообщение с естественными путями оттока цереброспинальной жидкости, что способствует отводу ликвора и препятствует его накоплению в будущем. После оперативного вмешательства регресс неврологической симптоматики наблюдается в 80% случаев.
Операция шунтирования предполагает принудительное отведение жидкости из кистозной полости при помощи введенного в нее шунта (искусственного сосуда). Эффективность таких операций составляет 75-100%.
Оперативное вмешательство в этом случае приводит к быстрому контролю над размером кисты и клинической картиной.
Однако при шунтировании высока вероятность осложнений в виде инфицирования и формирования зависимости от шунта.
Возможные последствия
Последствия кисты в области прозрачной перегородки, находящейся в головном мозге, связаны с прогрессирующим повышением значений внутричерепного давления. Из-за ишемических и гипоксических процессов, протекающих на фоне недостаточности кровоснабжения, у пациента часто возникает состояние помрачения сознания и судорожный синдром, нарушаются моторные, зрительные, слуховые функции.
В результате нарушения ликвородинамики развивается гидроцефалия. Из-за сжатия, ухудшения проходимости кровеносных сосудов мозга возникают угрожающие здоровью патологии – нарушение мозгового кровотока, протекающее в острой форме, ТИА, инфаркт и атрофия мозга, инсульт. Перерождение арахноидальной кисты в злокачественную форму грозит летальным исходом.
Киста с локализацией в прозрачной перегородке – распространенная аномалия развития. Чаще не представляет угрозу для здоровья и жизни пациента, протекает бессимптомно, выявляется случайно. В случае разрастания с последующей компрессией структур мозга (мозговое вещество, сосуды) проводится консервативное или оперативное лечение.
Источник:
Влияние кисты Верге на жизнь и здоровье человека

Диагностируя кисту Верге головного мозга, человеку становится жутко, подумав об устрашающем «приговоре». Исследуем, что представляет собой киста Верге, какие последствия несет патология для людей.
Аномалия — не болезнь, у мужчин, женщин с прозрачной кистой головного мозга отсутствуют нарушения деятельности мозга, мозговой анатомии.
патология не считается опасной для формирования главного органа центральной нервной системы человека, но требующая внимательности со стороны медицинского персонала.
Аномалия прозрачной перегородки головного мозга
Мозг человека — наисложнейший орган, не исследованный полностью, состоящий из большого числа нейронов, отделов, взаимосвязанных друг с другом. Патологические особенности, нарушения в работе одной части приводят к процессуальным изменениям в других отделах.
Щелевидная полость локализуется между двумя тонкими пластинками мозговой ткани. Щелевая полость служит пространством между сплетением нервных волокон, передним мозгом. У здорового человека полость квадратной формы со спинномозговой жидкостью.
Стенка формируется в первом триместре беременности. Ультразвуковая диагностика контролирует щелевые параметры между листами пропорционально сроку неделям беременности.
Что представляет собой кисты Верге
Полость Верге — доброкачественное новообразование, схожее с капсулой, имеющее плотные стенки.
Полостное образование заполнено жидким экссудатом, напоминающими составом, свойствами спинномозговую жидкость. Стенки кисты Верге основаны из клеток арахноидальной мозговой оболочки.
Аномальность не считается патологией, на ранних стадиях заболевания недуг не угрожает жизни, здоровью, мозговым функциям человека.
Важную роль играет месторасположение кисты:
- кистома локализуется в передней части МЖП;
- киста находится между сплетением нервных волокон в головном мозге и «малым мозгом»
Кистозная аномалия относится к арахноидальным патологиям в области главного органа ЦНС. Мужчины чаще женщин страдают недугом.
Недуг не несет опасности на ранней стадии. Со временем новообразование растет, близлежащая эпителиальная ткань передавливается, сдавливаются вены, перекрывается межжелудочковая полость, служащая оттоком жидких масс, повышается внутричерепное давление.
Источники появления аномалии
Факторы провоцирования появления полости Верге различны.
Киста прозрачной перегородки сформирована недостатком циркулирования. Ликвор скапливается из-за отсутствия циркуляции, некоторые области изолируются, один участок растет под прессом скопившейся ликвореи.
Аномальные этиологические разновидности:
- Первичные — доброкачественные бессимптомные образования, появившиеся на ранних сроках формирования плода, рассасывающиеся самостоятельно, диагностируются у 60% новорожденных. Если женщина не доносила малыша, вероятность аномалии — 100%. Магнитно-резонансная томография «видит» новообразование с четкими гранями, однотипным содержимым;
- Вторичные — приобретенные вследствие черепно-мозговых травмирований, воспалений, инфекций, излития крови. Отрицательные последствия приобретенных кистозных образований: отсутствие наблюдения за новообразованием, сдавливание мозгового отдела
На ранней стадии развития заболевания киста не приносить человеку дискомфорта. Диагностируется болезнь случайно, проводя полное обследование головного мозга. При отсутствии симптомов, врачи не считают аномалию заболеванием. Прогрессирующую кисту необходимо наблюдать, регулярно посещая невролога, уточняя развитие, рост новообразования.
Клиническая картина
Меняющая параметры, растущая полость Верге давит на сосудистую часть мозга, эпителиальную ткань — пациент чувствует патологическую симптоматику:
- периодические чувства сдавливающей головной боли;
- ухудшение функционирования органов осязания, слуха;
- способность воспринимать звуки без внешнего слухового раздражителя — шумит, звени в ушах;
- увеличение внутри-черепного давления;
- ритмичные, быстрые сокращения мышц туловища, конечностей;
- чувство тяжести в голове;
При выраженной симптоматике рекомендуется обратится в поликлинику к врачу-неврологу, получить консультацию нейрохирурга. При постоянном давлении на мозговые ткани увеличивающимся новообразованием развиваются дегенеративные дистрофические изменения, приводящие к глубокой инвалидизации человека.
Выявив приобретенную аномалию, важны постоянные медицинские обследования, своевременная соответствующая терапия, хирургия.
Лечение
Самостоятельное лечение чревато для здоровья. Иногда вместо кисты выявляется злокачественное новообразование. Применение травяных настоев — средств народной медицины — провоцирует прогрессирование патологии.
Лечебные цели:
- Правильное циркулирование спинномозговой жидкости
- Мониторинг состояния новообразования
- Возобновление циркуляции крови в системе сосудов головного мозга
Для лечения кисты прозрачной перегородки головного мозга используют:
- контроль — за не доставляющей неприятных ощущений, бессимптомной кистомой, не ухудшающей состояние пациента, наблюдают 1 раз в полгода, посещая невролога, систематически делая МРТ, КТ. Не растущее новообразование не лечат;
- лечение медикаментами — увеличивающуюся кисту лечат консервативно: врач прописывает вспомогательные лекарственные препараты для повышение уровня осмотического давления, ноотропы, лекарства, улучшающие кровообращение, циркуляцию ликвора, снижающие ВЧД. Пациент принимает лекарства для устранения кистозного образования. 80% людей успешно излечиваются благодаря традиционной медицине. Часто не требуется альтернатива — хирургическое вмешательство;
- оперируют при отсутствии прогресса консервативного лечения с помощью эндоскопа. Во время операции стенки кисты дренируют зондом, вводимым в в полость, заполненной спинномозговой жидкостью. Через сделанные широкие надрезы жидкий экссудат выходит в желудочковую полость. Кистозные параметры становятся меньше. Хирургическое вмешательство успешно в 80% случаев. Сомкнутые стенки, закрытые просветы провоцируют повторное накапливание жидкости. Из-за рецидива назначают шунтирование — кости черепа прокалывают, в череп вводят дренажную трубку, блокирующую затягивание тканей. Дренаж не позволит ликвору скапливаться, закрывая просвет. Слабое место шунтирования: опасность инфицирования.
Операция эффективно при наличии новообразования с одной камерой. Толстостенная кистома, имеющая не один отдел, опасна возобновлением процесса.
Последствия сформированной кисты прозрачной перегородки
Часто обнаруженная на ранней стадии киста прозрачной перегородки не несет опасности для жизни, здоровья человека. Растущая стремительными темпами киста при позднем выявлении опасна:
- хронической вегето-сосудистой дистонией — влияет давление кисты на ткани, сосуды;
- кислородным голоданием головного мозга;
- снижением зрения, слуха, малой подвижностью;
- появлением судорог
Новорожденные с диагнозом киста Верге, которое не рассосалось самостоятельно, склонны к задержке психического развития. Если есть параллельные заболевания, дело осложняется.
Профилактические мероприятия
Профилактических способов по устранению кисты прозрачной перегородки не существует. Важно остерегаться травмирования головы, аутоиммунных, инфекционных болезней, гипертонии, способствующих провоцированию появления аномалии.
Пациентам, перенесшим эндоскопическую операцию, важно систематически ходить к нейрохирургу, невропатологу, консультироваться у врачей относительно состояния здоровья.

Существующее кистозное образование важно контролировать у врача-невролога 1 раз в 6 месяцев, своевременно делать магнитно-резонансную, компьютерную томографии, остерегаться видов спорта, связанных с травматизацией, не злоупотреблять спиртными напитками, сигаретами. Состояние пациента влияет на прохождение медицинского осмотра: если есть улучшения, заметен регресс — невролог предлагает снизить количество посещений, достаточно одного визита в год к врачу.
Полость Верге безопасна для человека. Но это не значит, что на начальной стадии нужно игнорировать симптомы. Невовремя установленный диагноз приводит к неблагоприятным итогам, смерти. Важно взять номерок к доктору, наблюдать за состоянием новообразования. Контроль состояния кисты прозрачной перегородки — залог здоровой жизни.
Источник:
Что обозначают кистозно-глиозные изменения в головном мозге

Пациенты в ответ на выявленные кистозно-глиозные изменения головного мозга спрашивают, что это. Существует две разновидности патологии, попадающие под данное определение. Кисты в глиальном пространстве мозга считаются бессимптомным явлением. Глиоз, или разрастание глиальной ткани, со временем приводит к неврологическим нарушениям.
Кистозные образования
Нейроглиальные кисты — довольно редкая находка в результате МРТ-диагностики. Доброкачественное кистозное образование потенциально может возникнуть в любом месте мозга.
Глиальные ткани выполняют роль своеобразного цемента, формирующего пространство для нейронов и защищающего их. С помощью глии происходит питание нейрональной ткани.
На снимках визуализируются паренхиматозные кисты с гладкими закругленными границами и минимальным отражающим сигналом. Глиозные кисты составляет менее 1% от внутричерепных кистозных образований.
Чаще всего глиальные кисты относятся ко врожденным патологиям, возникающим во время развития нервной трубки плода, когда клетки глии перерастают в ткани оболочки, внутри которой будут находиться белые ткани спинного мозга. Образования могут быть интра- или экстрапаренхиматозными, причем кисты первого типа встречаются чаще. Лобная доля мозга головного мозга считается наиболее типичным местом локализации.
На рентгене или КТ определяется полость, заполненная ликвором, с отеком окружающих тканей. Данные полости не отвердевают. Их необходимо отличать от арахноидальной кисты, расширения периваскулярного пространства, нейроцистицеркоза (заражение личинками бычьего цепня), эпендимальных и эпидермоидных кист.
Обычно глиальные кисты никак не проявляют себя, относятся к случайным находкам во время обследования по поводу других расстройств и заболеваний. Одной из ошибок МРТ-диагностики является сложность в определении глиальной кисты и глиоза или перерождения тканей мозга.
Рубцевание глии
Кистозно-глиозные изменения головного мозга — это ответная реакция глиальных клеток в центральной нервной системе на инсульт или травму. Данный процесс характеризуется образованием рубцовой ткани в результате пролиферации астроцитов в области воспаления. Неспецифическая реакция стимулирует деление нескольких видов глиальных клеток.
Глиоз вызывает ряд изменений на молекулярном уровне, которые происходят в течение нескольких дней. Глиальные клетки головного и спинного мозга провоцируют первичный иммунный ответ на фоне травм или других повреждений тканей. Появление глиоза может быть опасным и полезным для центральной нервной системы:
- Рубцевание помогает оградить здоровые клетки от дальнейшего распространения воспалительного процесса. Поврежденные, зараженные или разрушенные нейроны фактически оказываются заблокированными. Защита тканей от последствий некроза — положительная сторона рубцевания.
- Развитие глиоза наносит ущерб головному мозгу: рубцы сами по себе ведут к необратимому повреждению нейронов. Непрерывное рубцевание также мешает окружающим тканям полностью восстановиться после травмы или ишемии, поскольку блокирует кровоток.
В зависимости от распространенности процесса глиоз может быть аргинальным или происходить под оболочками мозга; изоморфным, или аниизоморфным, или хаотичным; диффузным; периваскулярным (вокруг сосудов) и субэпендимальным.
Основные проявления патологии
Глиоз — это неспецифическая реакция на травму и поражения центральной нервной системы, которая наблюдается в любой части мозга. Рубцы формируются уже после того, как глиальные клетки собирают все поврежденные и погибшие нейроны. Шрам служит барьером для защиты здоровых тканей от некротирующих участков.

Клинические проявления патологи зависят от области головного и спинного мозга, которая была повреждена. На ранних этапах рубцевание не влияет на функции нервной системы. Затем с расширением перерожденных тканей пациенты могут испытывать общемозговые и очаговые неврологические симптомы:
- Сильные головные боли при попытках заниматься умственным трудом, что-либо учить, писать или сочинять. Зачастую данные признаки касаются посттравматических изменений в височных долях.
- Скачки артериального давления на фоне сдавливания артерий и вен рубцовыми очагами. Сопровождаются головокружением, тошнотой и нарушением зрения.
- Эпилептические приступы возможны при посттравматическом глиозе, а также после хирургических операций на головном мозге. В зависимости от локализации пораженной области могут сочетаться с очаговыми симптомами.
Замедляются двигательные реакции, снижается слух, нарушается зрение, наблюдаются временные провалы в памяти и трудность в воспроизведении определенных слов или фраз. Подобные приступы продолжаются не более 1,5 минут.
При усугублении патологии нарушается координация движений, возникают параличи, снижается интеллект. При диффузном процессе развивается слабоумие с полной нетрудоспособностью и невозможностью обслуживать собственные потребности.
Глиоз в сенсорной коре вызывает онемение и покалывание в конечностях или других частях тела, в моторной — резкую слабость или падение во время движения. Рубцы в затылочной доле связаны с нарушением зрения.
Причины глиоза
Травмы и заболевания головного и спинного мозга запускают процесс замещения ткани. Миграции макрофагов и микроглии к месту ушиба — это основная причина глиоза, который наблюдается сразу спустя несколько часов после повреждений ткани.
Спустя несколько дней после микроглиоза происходит ремиелинизация, так как клетки-предшественники олигодендроцитов направляются к патологическому очагу. Глиальные рубцы развиваются после того, как окружающие астроциты начинают формировать плотные очаги.
Помимо черепно-мозговых травм, к наиболее распространенным причинам глиоза относятся:
- Инсульт — это состояние, требующее неотложной медицинской помощи, при котором мозг перестает функционировать из-за плохой циркуляции крови. Нарушение кровоснабжения в какой-либо области может привести к некрозу нейронов. Отмирание тканей влечет появление рубцов.
- Рассеянный склероз — это воспалительное заболевание нервной системы, при котором происходит разрушение миелиновой оболочки нервных клеток головного и спинного мозга. Воспаление нарушает связи между центральной нервной системой и остальными частями тела. Распад миелиновой оболочки провоцирует повреждение и отмирание клеток, рубцевание.
Глиоз развивается на фоне других состояний:
- инфекционные поражения мозговых оболочек и головного мозга;
- хирургические процедуры;
- атеросклероз сосудов и гипертоническая болезнь на поздней стадии;
- тяжелая форма алкоголизма;
- старение нервной ткани, ухудшение трофики;
- обменные наследственные нарушения (дисфункция метаболизма жиров).
Лечение патологии
Лечение глиоза направлено на устранение его причины и замедление процесса формирования шрамов, которые являются реакцией иммунитета на любые повреждения в центральной нервной системе. Терапевтический подход направлен на минимизацию пролиферации астроцитов. Лечение должно проходить под контролем врача, предварительно пациенту назначают диагностику.
Кистозно-глиозная трансформация головного мозга относится к нормальным реакциям на травму. Чтобы определить причину обширных рубцеваний, нужно провести ряд обследований:
- МРТ или КТ позволяют локализовать размер и характер образований;
- анализ крови выявляет повышенный уровень холестерина;
- пункция спинномозговой жидкости исключает инфекцию.
Невролог собирает историю болезни, чтобы выявить склонность к повышению артериального давления, спрашивает про хирургические процедуры и гормональные нарушения в анамнезе.
![Пороки развития плода и причины их появления| [Українські субтитри]](https://i.ytimg.com/vi/4fli61TlQFI/maxresdefault.jpg)
Чтобы остановить прогрессирование кистозно-глиозных изменений, для лечения применяются препараты, косвенно направленные на нормализацию функции нервной ткани:
- антигипертензионные средства;
- статины и диета против повышенного холестерина;
- медикаменты против заболеваний сердца.
Одновременно используются лекарства, которые нормализуют кровоснабжение мозга, повышают антиоксидантную защиту клеток и улучшают биоэлектрическую активность. При определении постишемических патологий назначаются витамины группы B. Хирургическое лечение не предусмотрено.
Источник:
Какие последствия у кистозно-глиозных изменений в головном мозге

Ткани мозга разделяются на три типа – нейрональные, глиальные, эпендимальные. Все они выполняют отдельные функции, то есть являются важными для полноценного функционирования всего организма. Кистозно-глиозные изменения головного мозга – изменения глиальной ткани, являющиеся необратимыми. Что это такое? Обычно болезнь поражает в результате травм, после инфарктов.
Что это такое
Среди поражений тканей мозга именно кистозно-глиозные являются наиболее опасными. Постепенно наблюдается давление на окружающее вещество мозга, вызывающее кровотечения, нарушения структуры тканей.
Патология разделяется на два вида:
- бессимптомное течение болезни с образованием кист, такое состояние обычно приводит к неврологическим нарушениям разного типа;
- образование нейроглиальных кист, явление редкое, обнаружить можно при МРТ диагностике, приводит к нарушениям функционирования всей нервной системы.
Глиальные кисты являются врожденным заболеванием, они бывают интра- или экстрапаренхиматозными, они локализуются в лобных долях.
При КТ обследовании они определяются в виде полостей с ликвором, окруженные тканями с признаками отечности. Обычно такие кисты себя практически не проявляют, обнаружить их можно случайно при диагностике других заболеваний.
Кроме того, в рамках обследования важно кисты отличить от нейроцистицеркоза, эпидермоидных или эпендимальных кист.
Классификация
Изменение тканей мозга разделяется на такие виды:
- волокнистые изменения с преобладанием патологии волокна над клеточными тканями;
- анизоморфные с хаотическим ростом глиальных тканей;
- маргинальные с основной локализацией в подоболочечных областях;
- диффузные с множественными очагами, распространением в спинной мозг;
- периваскулярные с атеросклеротическими изменениями;
- субэпендимальные;
- изоморфные с последовательнымым расположением глиальных клеток;
- супратенториальные с локализацией в одной зоне.
Причины
Любые изменения тканей могут происходить по различным причинам, включая врожденные нарушения. Основными являются:
- в результате оперативного вмешательства;
- при чрезмерном употреблении спиртного;
- естественное старение;
- в результате инфаркта, после кровоизлияния;
- после воспаления оболочек мозга;
- родовые и другие травмы;
- атрофические нарушения тканей, демиелинизирующий энцефалит, а также рассеянный склероз.
Следует учитывать, что у взрослых в результате своевременного обнаружения болезни и проведения терапии можно оградить очаг распространения изменений. Но у детей такие шансы крайне малы, они редко живут больше 3-х лет.
Симптомы
Поражение тканей такого типа обычно сопровождается появлением следующих симптомов:
- резкие скачки давления;
- регулярные головные боли, локализующиеся в различных областях;
- снижение чувствительности;
- скованность движений, походка изменяется из-за проблем с чувством равновесия;
- частые головокружения;
- наблюдаются резкие ухудшения зрения, слуха;
- проблемы с речью;
- простые умственные действия начинают вызывать проблемы, появляется ухудшение памяти.
Также симптомы включают в себя проявление агрессии, плаксивость. Могут наблюдаться невротические изменения, головные боли будут не постоянными. В некоторых случаях появляются тошнота, приступы эпилепсии, трудность в произнесении отдельных слов и даже фраз.
Последствия
Осложнения кистозно-глиозных изменений могут быть опасными, поражения наблюдаются на молекулярном уровне, рубцевание вызывает блокировку клеток и необратимые поражения нейронов. Последствия включают в себя следующие явления:
- поражения нервной системы, эпилептические приступы, судороги;
- агрессивное поведение;
- нарушения интеллектуального уровня, больной не может узнавать голоса близких, заниматься умственным трудом;
- появляются частые боли головы разной интенсивности, нарушения сна;
- появляются нарушения координации.
На ранних стадиях состояние можно стабилизировать, хирургические вмешательство назначается только в единичных случаях.
Как лечить
Хирургическое вмешательство при таком типе изменений тканей мозга практически не показано, исключение составляют только локальные участки поражений, подлежащие удалению.
В остальном, кистозно-глиозные изменения необратимы, специфическое лечение не существует.
Глиозную ткань удалить нельзя, так как она является частью мозга, но можно устранить причины, вызвавшие изменения и снизить негативные последствия для организма.
Перед тем, как назначить терапию, врач проведет полное обследование:
- сбор анамнеза, составление истории болезни, что важно для определения причин;
- пункция, клинические анализы;
- КТ, МРТ мозга, что дает возможность локализовать изменения, увидеть их интенсивность распространения, характер патологии и признаки, степень поражения спинного мозга.
Лечение кистозно-глиозных изменений начинается после обследования, терапия направлена на устранение причин. Это такие меры, как нормализация давления, стабилизация работы сердца и снижение уровня холестерина. К приему рекомендованы ноотропные, антиоксидантные средства, препараты для восстановления нормального кровоснабжения мозга. Все предпринимаемые мероприятия имеют такую направленность:
- устранение негативных последствий изменений и травм;
- остановка увеличения глиозных изменений;
- устранение причин появления рубцовой ткани в веществе мозга.
Эффективно лечить изменения можно, используя следующие методы:
- Превентивные. Используются при наличии небольшого числа локаций изменений. Это профилактические меры, направленные на нормализацию, корректировку питания, отказ от курения, спиртного. Рекомендуется заняться спортом, специальная медикаментозная терапия не назначается.
- Медикаментозное лечение. Применяется при обнаружении множественных изменений. Терапия направлена на восстановление передачи импульсов, активности мозга. Обычно это ноотропные препараты, также дополнительно прописываются средства для укрепления сосудов, при атеросклерозе прописывают медикаменты для снижения уровня вредного холестерина.
- Хирургическое вмешательство. Операция показа редко, обычно такой метод не применяется. Исключение составляют единичные случаи, когда обнаружен единичный очаг поражения. Показаниями к хирургии являются частые судороги, регулярные эпилептические припадки, то есть качество жизни больного значительно снижено.
Профилактика
Профилактика прогрессирования болезни направлена на нормализацию всех функций нервной ткани. Возможно это только на ранних стадиях, когда некоторые изменения обратимы. В качестве медикаментозных средств используют:
- медикаменты, предназначенные для лечения сердечных заболеваний (подбираются индивидуально врачом по результатам обследования и терапии);
- антигипертензионные медикаменты (строго по результатам обследования);
- статины.
Также показана диета, направленная на снижение вредного холестерина, принимаются медикаменты для улучшения биоэлектрической активности и антиоксидантной защиты. Если в рамках обследования были определены постишемические патологии, будет назначен прием витаминов группы В. Пациентам рекомендованы:
- нормальный сон;
- больше времени следует проводить на открытом воздухе;
- полный отказ от курения, спиртного.
Основная сложность лечения заключается в необратимости многих атрофических поражений тканей мозга. Состояние больного постепенно ухудшается даже при предпринимаемых мерах, наблюдается нарушение работы организма, паралич конечностей. Но на ранних стадиях при своевременно начатом лечении и соблюдении мер профилактики состояние больного можно стабилизировать.
Кистозно-глиозная перестройка вещества мозга является необратимой. Хирургическое вмешательство практически во всех случаях не предусмотрено, исключением являются только локальные небольшие участки поражений, удалить которые можно без ухудшения состояния больного.
Источник:
Кистозно-глиозные изменения головного мозга: что это, лечение и последствия
С кистозно-глиозными изменениями мозга человек сталкивается при усиленном росте глиальных тканей. Патология возникает по нескольким причинам.
Повлиять на появление кисты мозжечка могут нарушения системы кровообращения, гормональной системы, а также воспалительные процессы.
Новообразование провоцирует развитие судорожных состояний, рассеянного склероза и прочих патологий мозговой деятельности.
Причинами могут стать нарушения системы кровообращения, гормональной системы, а также воспалительные процессы.
Что такое кистозно-глиозные изменения головного мозга?
Человеческий мозг состоит из нескольких типов тканей. Некоторые располагаются в области желудочков головного мозга. Одной из разновидностей является глиальная ткань.
Она выполняет функцию соединительного вещества, обеспечивающего питание нейронов. По разным причинам глиальная ткань начинает быстро увеличиваться, а нейроны погибают.
Это вызывает кистозно-глиозную трансформацию и нарушения в работе центральной нервной системы.
Глиальные клетки.
При значительном разрастании кистозно-глиозного уплотнения существует риск ухудшения состояния и летального исхода для пациента. Врачи способны остановить процесс деформации, однако уже не в состоянии вернуть утраченные мозговые функции.
Важно вовремя диагностировать патологию, чтобы избежать сильного поражения центральной нервной системы.
Виды глиоза
Классификация очаговых поражений зависит от места расположения, а также от типа разрастания тканей:
- аргинальный глиоз. Формируется под оболочками мозга;
- изоморфный. При этом типе клетки новообразования размещаются не хаотично, а почти правильно;
- анизоморфный. Кистозно-глиозные клетки формируются беспорядочно;
- периваскулярный глиоз. Представляет собой образование, которое возникает вокруг склерозированных сосудов;
- диффузный. Этому виду свойственно поражение значительной области спинного и головного мозга;
- волокнистый. Волокна глии формируются более ярко, чем клетки;
- субэпендимальный. Процесс развивается в подэпендимальной зоне мозга.
Причины недуга
Кистозно-глиозные нарушения мозга происходят по разным причинам. К факторам риска, способствующим развитию патологии, относят следующие:
Ишемический инсульт.
- нейроглия формируется из-за наследственной предрасположенности;
- нарушения деятельности системы кровообращения;
- сахарный диабет;
- повышенное давление;
- инсульт или инфаркт мозга (постишемическое состояние);
- воспалительные процессы в мозговых тканях или спинномозговой жидкости;
- инфекции, поражающие ткани мозга (менингит и проч.);
- рассеянный склероз;
- ухудшение кровотока в мозговых сосудах и проч.
В медицинской практике известны случаи, когда повреждения мозга и кистозно-глиозные изменения появлялись у новорождённых детей. Это связано с нарушениями внутриутробного развития. Младенцы с выявленной патологией чаще всего не доживают до 3 лет.
Диагностика и терапия
Для постановки точного диагноза в медицинских учреждениях используют два основных метода диагностики – компьютерная или магнитно-резонансная томография мозга. Любой из этих способов выявляет место расположения, размеры новообразования, а также общее число очагов. МРТ считается более показательной, поскольку точно определяет наличие мелких кистозно-глиозных поражений.
В качестве дополнительных методов исследования лечащий врач может назначить:
Электроэнцефалография.
- УЗИ сосудов и сердца;
- общий анализ крови для выявления уровня липидов, глюкозы и проч.;
- электроэнцефалографию. Исследование обнаруживает иные нарушения мозговой деятельности, а также склонность к судорожным состояниям.
Разрастание кистозно-глиозных мозговых тканей требует лечения. Его сложность заключается в том, что это не отдельная патология, которую можно откорректировать при помощи медикаментозных средств.
Новообразование формируется по разным причинам, поэтому врачи могут предложить лишь поддерживающую терапию.
Если глия разрослась незначительно, остановить ее рост может коррекция образа жизни. Сюда относят отказ от вредных привычек, правильное питание и умеренную физическую активность. Если появилась мигрень или нарушена деятельность системы кровообращения, назначают препараты для укрепления сосудов и улучшения их эластичности.
Остановить рост может коррекция образа жизни и отказ от вредных привычек.
Применяют средства, которые улучшают мозговую активность, витамины группы B. В самых тяжелых случаях могут назначить операцию.
Для этого кистозно-глиозные нарушения должны привести к эпилепсии, сильным судорогам, сбоям в работе внутренних органов.
Если развиваются множественные очаги поражения, хирургическое вмешательство не назначают.
Последствия и осложнения
При отсутствии лечения кистозно-глиозные клетки разрастаются и приводят к необратимым процессам. Ухудшается мозговая деятельность, что вызывает следующие проблемы:
Ухудшение умственных способностей.
- сложности с речевым аппаратом, нарушение памяти;
- рассеянный склероз;
- снижение эмоциональной стабильности;
- ухудшение координации движений, что часто проявляется при ходьбе;
- сбои в деятельности внутренних органов;
- ухудшение умственных способностей;
- гипертонические кризы;
- неврологические припадки и паралич конечностей.
