Как определить основные признаки пневмонии на рентген снимке

Рентгенография грудной клетки – один из наиболее информативных методов диагностики заболеваний дыхательной системы, включая пневмонию.
Он позволяет не только выявить патологический процесс, определить его локализацию и особенности, но и оценить эффективность проводимого лечения.
Как же выглядят рентгенологические признаки пневмонии на снимках, и как проводится рентгенография при данной патологии?
В каких целях проводят рентгенографию
Пневмония представляет собой воспалительное заболевание, которое вызывают патогенные микроорганизмы – вирусы, бактерии, грибки.
Симптомы включают повышение температуры до 38-39 градусов, кашель, одышку, хрипы в грудной клетке, ухудшение общего самочувствия.
Сложность диагностики пневмонии заключается в том, что вышеперечисленные признаки характерны не только для воспаления легких, но и для других заболеваний – острого бронхита, плеврита, онкологических процессов и т.д.
Рентгеновское исследование основывается на сканировании внутренних органов с помощью специального аппарата, который излучает электромагнитные волны определенной длины.
Проходя сквозь ткани человеческого тела, они оставляют на поверхности пленки следы, из которых формируется изображение соответствующего органа.
По ней можно определить патологические изменения и составить полную картину разных заболеваний, в том числе воспалительных процессов в респираторных органах.
В число показаний к проведению рентгена грудной клетки входит кашель с обильным отделением мокроты, сильная лихорадка (38-39 градусов), озноб, боли в груди и другие признаки, которые могут свидетельствовать о патологических процессах в органах дыхательной системы.
ВАЖНО! Постановка диагноза при пневмонии должна основываться не только на рентгеновских снимках, но и на результатах выслушивания грудной клетки, анализов крови и мокроты и других методах обследования.
Существует два основных способа проведения процедуры – обычный (пленочный) рентген и цифровой, который позволяет получить более четкие и информативные снимки, а также снижает рентген-нагрузку на организм. Выбор методики зависит от оснащения конкретного медицинского учреждения – аппараты для цифровой диагностики есть далеко не во всех больницах и поликлиниках.
Чем отличается от флюорографии
Рентгеновское и флюорографическое исследование имеют один и тот же принцип, но при диагностике пневмонии предпочтение отдается рентгену.
Флюорография позволяет выявить изменения в тканях легких на ранних стадиях, но не дает достаточно четкой рентгенологической картины для постановки точного диагноза.
Вместе с тем, коэффициент облучения при проведении процедуры гораздо меньше, чем при рентгеновском исследовании, поэтому флюорографию делают в профилактических целях, а рентген – непосредственно для диагностики патологических процессов при наличии соответствующих симптомов.
Может ли не показать воспаление легких
Пневмония имеет множество форм клинического течения, а очаги воспаления могут располагаться в любом сегменте легких, и в некоторых случаях определить заболевание по рентгенограмме бывает непросто, особенно если поражен небольшой участок органа. Если после проведения исследования у врача остаются сомнения, больному назначаются дополнительные диагностические процедуры – как правило, КТ или МРТ.
СПРАВКА! Труднее всего выявить пневмонию у детей, страдающих от иммунодефицитных состояний, поэтому в таких случаях ребенка лучше сразу направлять на КТ или МРТ.
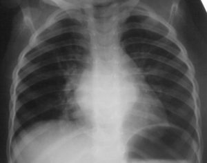
Как выглядит недуг на снимке
После проведения рентгенографии снимки должен изучить специалист, и на основе полученных данных и результатов других исследований сделать соответствующие выводы и поставить диагноз. В норме легкие и бронхи человека выглядят следующим образом:
- легочные доли имеют одинаковый, равномерный черный оттенок;
- в районе сердца наблюдается белый просвет;
- ребра и ключицы серые, с привычными очертаниями;
- купола диафрагмы белого цвета;
- позвоночный столб расположен в центре.
Признаки пневмонии на рентгеновском снимке во многом зависят от формы заболевания и его стадии, а также от локализации патологического процесса. Если исследование показало признаки пневмонии, необходимо как можно скорее приступить к лечению – запущенный патологический процесс опасен не только для здоровья, но и для жизни человека.
Основные признаки, описание
Первый признак пневмонии на рентгеновском снимке – появление очагов затемнения с неровными контурами в разных частях легкого, которые могут иметь разный размер, от 3-4-х до 12 мм.

Тени различают по внешнему виду (круглые, овальные кольцевидные) и интенсивности окраски – чем темнее пятно, тем сильнее выражен патологический процесс.
При поражении лимфатических узлов и нарушении кровоснабжения органа могут наблюдаться изменения корней легких, а если болезнь затронула плевру – нарушение в рисунке куполов диафрагмы. В остальном проявления пневмонии зависят от стадии, формы и клинических особенностей заболевания:
- Очаговая форма. На рентгене отображаются небольшие (1-1,5 см) тени со слабой или умеренной интенсивностью окраски, неоднородной структурой и нечеткими границами. Очаги поражения могут быть единичными или множественными, а в некоторых случаях они сливаются в одно большое пятно. Корни легких расширены, причем нарушения нормального рисунка органа могут сохраняться в течение нескольких дней после выздоровления.
- Крупозная пневмония. Наблюдаются изменения нормального легочного рисунка, жидкость в полости плевры, признаки инфильтрации одной из долей легкого, расширение корней. По мере развития воспалительного процесса выраженность изменений и интенсивность окраски затемнений усиливается.
- Интерстициальная форма. На снимке заметно уплотнение корней легких и другие изменения, которые формируют выраженный рисунок, напоминающий ветви дерева.
- Абсцедирующая пневмония. Проявляется обширным затемнением пораженной области, признаками утолщения плевры и наличием полостей разного размера, наполненных жидкостью.
- Аспирационная форма. Рентген характеризуется треугольными пятнами с однородной структурой, светлыми очагами и приподнятой диафрагмой.
ВАЖНО! Сложнее всего поддается диагностике очаговая пневмония – на первых стадиях она проявляется небольшими очагами инфильтрации, которые не всегда заметны на рентгене.
Стадии заболевания
Воспалительный процесс при пневмонии протекает в несколько этапов, причем каждый из них характеризуется определенными изменениями на рентгеновских снимках.
- Стадия прилива. Первая стадия болезни продолжается от 12 до 72 часов и проявляется усилением кровообращения в легких, ухудшением их функций и образованием жидкости в альвеолах. На снимках наблюдается четкий рисунок органа, который напоминает решетку, размытость крайних точек и увеличение корней.
- Стадия опеченения. Ткани легких уплотняются, и становится похожей на ткани печени. Рисунок легких на данной стадии выражен не так интенсивно, на нем формируются темные пятна со светлыми полосами, корни органа расширены, причем особенно это заметно на пораженной стороне. По мере развития патологического процесса очаги воспаления затемняются, а наличие жидкости хорошо заметно на снимках.
- Стадия разрешения. Начало регенерации тканей легких: снижение интенсивности рисунка органа и окраски затемнений, исчезновение крупных элементов в месте поражения и признаков наличия жидкости.
СПРАВКА! Изменения в легочном рисунке могут присутствовать на протяжении нескольких недель после выздоровления.
Как часто можно проходить рентгенодиагностику
В среднем рентгенологическое исследование рекомендуется проходить не более 1-2-х раз в год, но при пневмонии процедура проводится чаще, так как риск развития осложнений превышает опасность от радиационного облучения.
Как правило, рентген выполняется не менее 3-х раз – при постановке диагноза «пневмония», через 3-5 дней после начала терапии для контроля ее эффективности, а также после исчезновения клинических симптомов.
Повторные снимки после выздоровления больного надо делать для предупреждения осложнений и последствий заболевания – абсцессы легких, разрастание фиброзной ткани и т.д.
Противопоказания
Относительными противопоказаниями к проведению процедуры являются беременность (особенно первый триместр) и тяжелое состояние больного.
Однако при наличии характерных симптомов процедура рекомендована всем без исключения, в том числе будущим мамам – для уменьшения негативного воздействия на плод живот беременной закрывают специальным фартуком, который не пропускает рентгеновские лучи.
Точно определить пневмонию без рентгеновского снимка практически невозможно – из-за отсутствия специфических симптомов слишком велика вероятность ошибки и неправильного лечения.
Ознакомьтесь подробно о рентгенографии при пневмонии на видео ниже:
Пневмония – опасное заболевание, которое при отсутствии соответствующей терапии может привести к серьезным последствиям. Единственным способом выявить патологические изменения в легких является рентген, поэтому не стоит пренебрегать данной процедурой – своевременное исследование поможет предотвратить угрозу не только для здоровья, но и для жизни больного.
Источник:
Виден ли бронхит на рентгене? Расшифровка рентгена при бронхите

Бронхит – это заболевание дыхательных путей, имеющее воспалительный характер. Ему в равной степени подвержены взрослые и дети. Для точной постановки диагноза и назначения лечения в последующем пациент должен пройти обследование. В большинстве клинических случаев удается выявить бронхит на рентгене.
Особенно важно знать, как себя проявляет заболевание у пациентов детского возраста. Благодаря этому родители могут своевременно записаться на прием к педиатру. Только после получения результатов анализов и осмотра ребенка врач назначит лечение.
Когда назначают выполнение снимка?
Процедура рентгенологического обследования связана с облучением организма. В связи с этим люди интересуются, позволяет ли она выявить заболевание, либо же можно обойтись без этого. Если развивается обычная простуда, то лечение удается назначить после получения результатов анализа крови, прослушивания системы дыхания и оценки внешнего вида слизистых оболочек.
Если спросить у терапевта о том, виден ли бронхит на рентгене легких, он ответит, что да. При средней или легкой степени ОРВИ такое исследование не назначается, чтобы лишний раз не облучаться. Основными показаниями к диагностике являются:
- Подозрение на развитие пневмонии.
- Вероятность развития обструкции легких.
- Отсутствует положительная динамика после терапевтического курса.
- Необходимо провести динамический контроль состояния пациента после лечения.
Бронхит на рентгене определяется, и практически всегда безошибочно. Назначают выполнение снимка обязательно людям, которые долго страдают от кашля, имеют одышку, отмечают активное отделение пота. Все эти симптомы могу являться признаками развивающегося туберкулеза.
Что можно увидеть?
Признаки бронхита на рентгене будут специфическими. Сам воспалительный процесс не определяется, но внимание стоит обращать на тени. Поскольку лучи проникают через стенку и воздушное пространство альвеол, при развитии заболевания будут виднеться кольцевые пятна. Также проявляется и хроническая форма.
Заподозрить бронхит на рентгеновском снимке можно по таким показателям:
- изменяется рисунок легких и сосудов (по виду напоминает разветвление у дерева);
- разрастание соединительной ткани определяется как сгущенные корни;
- в некоторых местах имеются спадания ткани органа.
Бронхит на рентгене выглядит, как чередующиеся зоны низкой и высокой воздушности. Детальному рассмотрению подлежат корни легких, поскольку происходит их деформация.
Именно эти изменения четко определяются на снимке, так же как и чрезмерное разрастание фиброзной ткани. Зная о том, как на рентгене выглядит бронхит, не стоит пытаться самостоятельно сделать расшифровку.
Описание должен делать опытный врач.
Признаки обструкции при бронхите
В первую очередь отмечается выраженное снижение структуры корней органа, их границы нечеткие, как у здорового человека, стенки бронхов утолщенные. При тяжелой степени заболевания у пациентов развивается обструкция.
В этом случае бронхит на рентгене будет иметь дополнительные признаки:
- Уплощенная грудная клетка.
- Низкое расположение диафрагмы.
- Ограничение подвижности диафрагмы.
- Легочный фон имеет повышенную прозрачность.
- Сердечная мышца располагается вертикально.
Расшифровка рентгена при бронхите – ответственное дело. Если специалист выполнит неправильное описание, то поставят некорректный диагноз. В результате этого назначенное пациенту лечение будет неэффективным, а патологический процесс приобретет запущенную форму.
Рентгеноконтрастное исследование
При прогрессировании бронхита отмечается увеличение размера легких. В результате этого орган оказывает повышенное давление на сердце. Если есть подозрение на двустороннее поражение, тогда могут назначить два снимка с промежутком в 5 суток. Еще одной разновидностью диагностики является бронхография.
Это также методика рентгеновского исследования, но с использованием контрастного вещества. Его вводят пациенту внутривенно, непосредственно перед выполнением процедуры. Благодаря этому четко визуализируется строение легких. К этому способу прибегают редко, поскольку пациент может иметь аллергию на контраст, а также испытывать боль при манипуляции.
Отличие рентгена от флюорографии
Когда имеется подозрение на то, что развивается бронхит, флюорографию или рентген назначает врач. Не каждый пациент понимает, чем отличаются эти методы диагностики. Поэтому в вопросе необходимо разобраться более детально. Первой объединяющей чертой является то, что оба способа позволяют выявить воспалительный процесс.
В свою очередь, во время выполнения флюорографии организм получает большую порцию излучения, нежели при рентгенологическом снимке. Именно поэтому ее назначают лишь при подозрении на присутствие у человека туберкулеза, который также сопровождается выраженным кашлем. Посредством проведения флюорографии нет возможности диагностировать бронхит.
Противопоказания к выполнению рентгена
Рентгенологическое просвечивание области грудной клетки можно выполнять практически каждому человеку. Каких-либо специфических противопоказаний к процедуре не имеется. Ограничения распространяются только на женщин, вынашивающих ребенка, и пациентов, находящихся в тяжелом состоянии.
В этом случае диагноз выставляется на основании результатов анализов, список которых будет расширенным. Но если имеет место явная угроза жизни, и рентген необходим, его обязательно выполнят даже при наличии противопоказаний. Во время беременности принимаются дополнительные меры безопасности. Чтобы плод получил меньше излучения, на живот кладут свинцовую пластину, не пропускающую лучи.
Симптомы бронхита у ребенка
Дыхательная система у детей имеет определенные особенности. В отличие от взрослых, у них узкие пути, поэтому при развитии отека на слизистой оболочке гортани процесс их перекрытия происходит быстрее. В большинстве клинических случаев заболевание развивается на фоне вирусного инфицирования.

Когда развиваются симптомы бронхита, лечением детей должен заниматься педиатр. Родителям рекомендуется обратиться за квалифицированной помощью, если малыш чувствует першение в горле, у него начался кашель, похрипывание, осип голос и появились выраженные признаки конъюнктивита.
На первом этапе развития заболевания кашель будет сухим, уже на пятые сутки он становится более мягким. С седьмого дня можно заметить активное отделение слизистого секрета. Температура тела сохраняется в пределах 38 градусов. В среднем период полного выздоровления при адекватной терапии составляет 10-14 дней.
Лечение бронхита у детей
В период острой стадии заболевания ребенок должен соблюдать строгий постельный режим. Категорически не допускаются активные игры. Малыш должен быть спокойным, а также ему необходимо давать обильное теплое питье. Важно сбалансировать питание, насытить его полезными продуктами, содержащими витамины.
Принцип разработки специфической терапии напрямую зависит от того, почему у ребенка начался бронхит. Симптомы и лечение у детей может изменяться в течение всего курса. Если природа заболевания вирусная, тогда показан прием антибиотиков цефалоспоринового, пенициллинового ряда или макролидов. Также комплекс может включать противогрибковые медикаменты.
В обязательном порядке пациентам назначаются медикаменты из группы муколитиков, которые обладают способностью разжижать слизистый секрет, что способствует его лучшему отхождению из дыхательных путей. Если кашель сухой, показан прием «Окселадина» или «Преноксдиазина». В случае наличия у ребенка аллергии обязательно нужно принимать антигистаминные препараты.
Физиотерапия и профилактика бронхита
Хороший терапевтический результат показывает физиотерапевтическое лечение бронхита. Пациентам назначают ингаляции с лекарственными препаратами на масляных или щелочных основах. В последнее время все чаще проводится лечение небулайзером, используется УФО, УВЧ, электрофорез на грудную клетку.
Что касается профилактических мероприятий, то в первую очередь необходимо создать условия, которые помогут избежать или минимизировать частоту острых респираторно-вирусных заболеваний. Также рекомендуется проводить противовирусную профилактику в пиковые сезоны (осень/весна), необходимо избегать контакта с аллергеном.
Избежать развития бронхита можно, если длительное время не пребывать на холоде, заниматься закаливанием организма. Пациентам детской возрастной группы нужно своевременно делать профилактическую прививку против гриппа и пневмококковой инфекции. Ребенок, страдающий рецидивирующей или хронической формой патологии, должен посещать раз в два года пульмонолога.
Если пациент подозревает, что у него прогрессирует бронхит, ему необходимо незамедлительно пройти медицинское обследование. Для этого нужно записаться на прием к терапевту или педиатру, если болеет ребенок. При своевременно поставленном диагнозе, проведенном полноценном лечении наступает полное выздоровление, и осложнения не развиваются.
Источник:
Показывает ли флюорография бронхит

Бронхит на флюорографии не всегда заметен, определить его можно по ряду косвенных признаков. Врачи прибегают к иным, более точным методам исследования, чтобы вовремя диагностировать заболевание и назначить эффективное лечение. Своевременная диагностика заболеваний бронхов и лёгких предотвращает осложнения патологии.
Описание болезни
Бронхит представляет собой воспаление слизистой оболочки, выстилающей бронхи изнутри. Типичное заболевание вызывает отёчность слизистой и появление патологического отделяемого, в виде слизи на стенках бронхов. При стенозе затрудняется дыхание, сокращаются объёмы воздуха, поступаемого в лёгкие.
Зачастую бронхит является следствием острой респираторной вирусной инфекции, лечение которой было начато слишком поздно, или терапия не проводилась до конца.
Такое осложнение появляется после ОРВИ не чаще одного раза в год, а при более частых случаях говорят о хроническом обструктивном бронхите.
Иногда болезнь возникает из-за работы на вредном производстве, связанном с повышенной запылённостью помещения.
https://youtube.com/watch?v=zY1jZjlbYwA
Признаки бронхита — это в первую очередь затруднённость дыхания, ухудшение общего состояния, повышение температуры тела, спазмы, хрипы в горле.
Бронхит на рентгеновском снимке
Однако, эти признаки дают и другие патологии, например, сердечные. Чтобы диагностировать воспалительный процесс в бронхах, врачи назначают дополнительные обследования, которые позволяют чётко поставить диагноз.
Кому показано обследование
Показанием к прохождению рентгенологического исследования органов грудной клетки считается подозрение врача на патологию, на основании субъективных данных. При наличии у больного признаков отклонения есть смысл сделать рентген. Рекомендован он следующим больным:
- пациентам с повышенной температурой тела и общим недомоганием;
- при затруднённом дыхании, приступах удушья, одышке;
- при подозрении на хронический бронхит курильщика с характерными симптомами;
- если у пациента появился нетипичный свист или хрипы в лёгких или бронхах;
- длительное время сохраняется тяжёлый кашель (сухой, надрывный, или с отделяющейся мокротой);
- выражена дыхательная недостаточность (поверхностное дыхание, уменьшение объёма лёгких и т. д.);
- при необходимости контроля здоровья больного после проведённого лечения.
При наличии этих симптомов, врачи рекомендуют пройти рентгеновское исследование. А также рентген назначается с целью дифференцирования бронхита от воспаления лёгких, что часто бывает затруднено при помощи других методов исследования.
Прибегают к рентгеновской диагностике и в том случае, если появились осложнения, которые другими методами не визуализируются. Например, обструкция, при которой бронхи закупориваются патологическим отделяемым — слизью, что нарушает нормальный газообмен в лёгких.
Рентгеновский снимок лёгких
Рентген лёгких и бронхов показывает осложнения, возникшие на его фоне. При наличии у пациента непосредственно воспалительного процесса в бронхах, на снимке будут заметны следующие особенности:
- снижение структурности корня лёгкого — на снимке его увидеть непросто. Лучше визуализируется правый корень, а вот левый прикрыт тенью от сердца. Сам корень изначально неоднородный, внешне он будет образован сплетением сосудов и бронхов. При бронхите нормальная структурность корня нарушается, поскольку бронхи «смазывают» картину из-за имеющейся патологии;
- расплывчатость и нечёткость контуров корня лёгкого — также последствие воспалённых бронхов, что легко диагностируется на снимке;
- усиление лёгочного рисунка — лёгочный рисунок представляет собой тень от кровеносных сосудов. Усиление лёгочного рисунка провоцирует патологические изменённые бронхи, которые в норме практически не видны;
- утолщение стенок бронхов — наиболее специфический признак, который видно на снимке лёгких. Он является определяющим в совокупности с другими данными исследования при постановке диагноза. Хронический бронхит
Другие признаки
Помимо типичных признаков, таких как снижение структурности корня, усиление лёгочного рисунка и утолщение бронхов, возможны другие описания снимка. Например, снимок покажет искривление бронхов по их ходу, что связано с развитием воспалительного процесса, отёчностью.
Бронхит на рентгене характеризуется разрастанием соединительнотканных образований на стенках бронхов, а также с наружной стороны. Типичной может быть и картина осложнений:
- бронхообструкции (наличие закупорки бронхов, которая визуализируется светлыми «горошинками»);
- эмфиземы — прозрачные лёгкие из-за скопившегося в них воздуха, который пропускает рентгеновские лучи.
Дополнительно диагноз устанавливается по аномальному состоянию диафрагмы.
Флюорограф цифровой сканирующий (самый безопасный и современный метод диагностики)
Диагностику органов грудной клетки при помощи рентгеновского исследования или флюорографии проводят часто.
Простым и менее вредным методом исследования считается флюорография, поэтому её рекомендуют делать в целях профилактики, а в некоторых странах это узаконено. В России флюорография с этой целью применяется с тридцатых годов прошлого века.
С помощью этого метода осуществлялось обследование больших масс населения для выявления туберкулёза и пневмонии (воспаления лёгких).
Сегодня флюорография даёт существенно меньшую нагрузку на пациента. Выполняется исследование как традиционным методом, путём получения снимка лёгких на плёнку, так и цифровым, когда изображение выводится на монитор. Последний, более современный метод, позволил ещё больше снизить вредность дозы облучения. Заметим, что показаниями к флюорографии являются такие основания, как:
- наличие у пациента ВИЧ;
- оформление на службу в армию;
- диагностика окружения, проживающего с беременной женщиной;
- первичное обращение в клинику.
Как видно из показаний к флюорографии, они являются профилактическими и не связаны с определёнными патологиями. Даже туберкулёз и пневмония на флюорографии потребуют дополнительного, более пристального изучения с помощью других методов лучевой диагностики.
Флюорография легких на аппарате Програф-5000
При подозрении на бронхит флюорография оказывается малоинформативной, поэтому пациентам проводят рентгенографию.
Действительно, доза такого исследования будет намного выше, чем при флюорографии, однако и чёткость полученного изображения позволяет поставить точный диагноз.
Показания к проведению исследования — это подозрения на конкретные отклонения, такие как онкологическое поражение органов грудной клетки, воспаление лёгких, туберкулёз и т. д.
Дополнительные исследования
Обычно рентгенографии достаточно, чтобы установить диагноз. Бронхит на снимке однозначен и не вызывает сомнений. Однако, при обнаружении сопутствующих патологий может потребоваться дополнительное исследование другими лучевыми методами диагностики:
- магнитно-резонансная томография;
- компьютерная томография;
- бронхография с контрастом. Самый безопасный метод диагностики
Все эти методики имеют определённую диагностическую ценность и позволяют установить правильный диагноз.

Диагностика бронхита лучевыми методами исследования — наиболее точный способ определить наличие патологии, степень её тяжести, возможные осложнения.
Главным исследованием на сегодня является рентгенография, а при необходимости — бронхоскопия с контрастным веществом, которые проводятся в любой современной клинике.
Источник:
Бронхит или пневмония. Как отличить?

Основным симптомом, характеризующим как бронхит, так и пневмонию (воспаление легких), является приступообразный кашель. Другие признаки этих заболеваний дыхательной системы также во многом схожи. Страдают ими как взрослые, так и дети.
Различия между этими болезнями состоит в месте, в котором локализуется воспалительный процесс. В случае с пневмонией это легкие, а при бронхите – бронхиальное дерево.
Такое объяснение скажет о многом врачу. Однако, как отличить бронхит от пневмонии обычному человеку?
Признаки и симптомы этих болезней имеют немного отличаются друг от друга. Давайте отдельно разберем проявления бронхита, а затем и воспаления легких. А затем методом сравнительного анализа выявим существующие отличие.
Однако, следует помнить, что поставить правильный диагноз и назначить адекватное и безопасное лечение в каждой конкретной ситуации может только квалифицированный врач.
Как проявляет себя бронхит?
Бронхит – это заболевание, при котором воспаляется слизистая оболочка бронхов. При его течении отмечается отечность бронхиол (более мелкие ходы двух основных бронхов) и накопление в них избыточного количества слизистого секрета.
Изначально у человека возникает острый бронхит. В подавляющем большинстве случаев его возбудителями являются болезнетворные вирусы.
Первые признаки этого острого заболевания подходят под описание начального этапа любой простуды, ОРЗ, ОРВИ. У больного отмечаются:
- ринит и заложенность носа;
- першение в горле;
- дискомфорт при глотании;
- головная боль;
- покашливания;
- незначительное повышение температуры.
По прошествии нескольких дней болезнь проявляет себя так:
- сухой приступообразный кашель;
- повышение температуры тела до 37,5—38 градусов;
- боль в области грудной клетки;
- хрипы при дыхании.
Как проявляет себя пневмония?
Пневмония или воспаление легких – это более тяжелое заболевание. При нем в воспалительный процесс оказываются вовлечены легкие в целом. То есть к воспаленным бронхам и бронхиолам добавляются альвеолы.
Существует много разновидностей воспаления легких. Самым распространенным и тяжелым является бактериальная пневмококковая пневмония.
Воспаление легких может возникать как самостоятельное заболевание, так и являться осложнением при неправильном лечении острого бронхита. Более подробную информацию по этому вопросу вы можете получить, прочитав статью «Осложнения после бронхита».
Если пневмония возникает самостоятельно, то на самых ранних этапах болезни она проявляет себя так же, как и острое воспаление бронхов. Через несколько дней появляются такие симптомы:
- влажный кашель с выделением мокроты;
- высокая температура тела 38—39 градусов;
- учащенное дыхание и сердцебиение;
- затрудненное дыхание;
- острая боль в груди и боку;
- кровохаркание.
Нужно понимать, что мы описали общие симптомы. В каждом отдельно взятом случае болезнь протекает со своими индивидуальными особенностями, зависящими от причины ее возникновения, лечения и крепости иммунной системы больного человека.
Как их различить?
Теперь давайте вернемся к нашему основному вопросу — как отличить бронхит от пневмонии?
Теперь, обладая информацией о признаках обоих заболеваний, давайте сформулируем существующие между бронхитом и пневмонией отличия.
Следует принимать во внимание, что приведенные отличия достаточно ярко выражены именно на ранних этапах рассматриваемых болезней. Например, тот же кашель при воспалении бронхов сначала является сухим, а по прошествии времени становится влажным с выделением густой мокроты.
| Незначительное повышение температуры | Значительное повышение температуры. Возможны озноб и лихорадка |
| Сухой кашель | Влажный кашель с выделением мокроты |
| Неплохо переносится организмом | С самого начала тяжелое течение болезни |
| Чаще вирусное происхождение | Чаще бактериальное происхождение |
| Отекают бронхи. Мокрота скапливается в дыхательных путях | Отекают альвеолы и в них же скапливается мокрота |
Однако известны сложные случаи, когда воспаление легких некоторое время практически никак себя не проявляет. Подробности вы найдете в публикации «Пневмония без симптомов».
Следует помнить, как бронхит, так и пневмония – это тяжелые заболевания, которые опасны самыми печальными последствиями. Данная статья (как и любая другая) не дает конкретной методики, которая позволит вам безошибочно поставить себе и близким правильный диагноз. В то же время квалифицированному врачу не составит труда правильно диагностировать болезнь.
Берегите себя и не занимайтесь самолечением!
Как врачи проводят диагностику?
Зачастую врачу для постановки правильного диагноза достаточно произвести аускультацию легких. То есть при помощи стетоскопа «послушать» пациента.
Все дело в том, что при бронхите слышатся сухие и свистящие хрипы, а при воспалении легких влажные или мелкопузырчатые.
При необходимости врач применить более точные методы диагностики. К ним относятся:
- анализы крови и мокроты;
- флюорография и рентген;
- спирография;
- бронхоскопия.
Источник:
Как бронхит отличить от пневмонии: клиническая картина
При первых признаках поражения дыхательных путей нередко возникают сомнения, какая болезнь является их причиной. Бронхит или, может быть, воспаление лёгких? Как их отличить? Может ли бронхит перейти в пневмонию? Чтобы получить достоверный ответ на все вопросы, стоит для начала вспомнить анатомию.
При вдохе воздух вместе с пылью, микробами и вирусами сначала попадает в нос, затем движется дальше через носоглотку и трахею в бронхи. Наконец, он оказывается в бронхиолах (мелких бронхах), и только после этого в лёгочных альвеолах. Если вместе с вдыхаемым воздухом в организм попал инфекционный агент, то организм попытается его остановить как можно раньше.
Первая линия защиты – слизистая оболочка носовой полости. Когда патогенов слишком много, она воспаляется. Следующий барьер для микробов – реснитчатый эпителий бронхов. Если он тоже не справился с защитой, начнётся воспалительный процесс, то есть бронхит. При несвоевременном и неправильном лечении воспаление пойдёт ещё дальше – в лёгкие. Таким образом, бронхит может перейти в пневмонию.
Этиология
Самой распространённой причиной легочных заболеваний является табакокурение, в чём нет никаких сомнений. Абсолютное большинство курильщиков имеет в своём анамнезе бронхит, переходящий постепенно в ХОБЛ (хроническую обструкцию бронхов). Причём неважно, каким образом дым попадает внутрь. Пассивное курение не менее опасно, чем активное.
Кроме того, начало заболевания может быть связано с действием следующих факторов:
- слишком сухой или, наоборот, влажный воздух в помещении;
- вдыхание пыльного воздуха, углекислого газа и других раздражителей;
- сердечные болезни;
- профессиональные вредности;
- проживание в мегаполисе или экологически загрязненном месте.
Бронхитом можно заболеть по разным причинам. Однако очень важно понять, что именно вызвало недомогание, чтобы исключить этот фактор. Такая мера является залогом эффективного лечения.
Клиническая картина
Симптомы бронхита и пневмонии часто имеют схожие черты. При обоих заболеваниях больного беспокоит кашель, лихорадка, затруднённое дыхание, упадок сил и др. Разница в степени их выраженности. Таким образом, внимательно проанализировав внешние признаки болезни, можно определить, какой недуг даёт о себе знать – бронхит или пневмония.

Бронхит способен вызвать определённые симптомы:
- температура тела поднимается до 37,5-38 °С;
- мокрота плохо отходит;
- сухой изнурительный кашель;
- неприятные ощущения в горле.
Если не лечить бронхит должным образом, он достаточно быстро переходит в хроническую форму или, того хуже, начинается бронхопневмония. Это воспалительное заболевание гораздо сложнее – поражаются не только бронхи, но и бронхиолы, и альвеолы.
Характерные признаки пневмонии:
- повышение температуры до отметки, превышающей 38 °С, держится дольше 3 дней;
- кашель влажный, с обильной мокротой, вызывает боль за грудиной;
- голубой оттенок кожи лица;
- наличие одышки;
- наличие интоксикации организма.
Итак, бронхит и пневмония имеют довольно много общего. А чем отличается одно заболевание от другого?
Для более наглядного сравнения признаки сведены в таблицу:
| Начало заболевания | Постепенное | Острое |
| Кашель | Сухой (в начале заболевания) | Влажный |
| Мокрота | Отсутствует (в начале заболевания) | Обильная, с гнойными включениями |
| Температура | Субфебрильная | Фебрильная |
| Хрипы | Равномерные, рассеянные | Локальные |
| Болевой синдром | Нет | Есть |
| Рентген | Усиление лёгочного рисунка | Очаговые затемнения |
Важно понимать, что данная информация приведена исключительно для справки. Действительно, каждому нужно знать, как отличить бронхит от пневмонии. Ведь иногда это может даже спасти жизнь. Однако выносить окончательное решение по диагнозу и назначать лекарственные препараты должен только специалист.
Ярко проявляющиеся симптомы должны насторожить пациента и заставить незамедлительно записаться на приём к доктору. Он проведёт дополнительные обследования. При прослушивании дыхания бронхит и пневмония существенно отличаются.
В случае воспаления лёгких хрипы локализуются в какой-то определённой области, при бронхите этого не наблюдается, хрипы выслушиваются над всей поверхностью легких.
Кроме того, будут рекомендованы диагностические процедуры:
- анализ крови;
- бакпосев мокроты;
- рентгенография;
- спирография;
- бронхоскопия (при необходимости).
Факторы, усугубляющие течение заболевания
Каждый эпизод болезни уникален. Кроме индивидуальных характеристик организма, на развитие недуга могут влиять различные обстоятельства. Например:
- несвоевременно начатая терапия;
- попытки самостоятельного излечения;
- пожилой возраст пациента;
- иммунодефицит;
- несоблюдение врачебных рекомендаций;
- генетическая предрасположенность;
- курение (активное и пассивное).
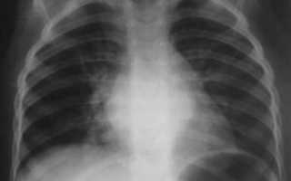
Как отличить бронхит от пневмонии по результатам рентгеновского снимка
классический вариант бронхита на рентген-снимкепневмония на рентген-снимке: видно почти полное затемнение нижней доли
Несмотря на некоторые различия пневмонии и бронхита, нередко клиника бывает размытой.
В такой ситуации для установления верного диагноза необходимо сделать флюорографию или рентгенографию – это наиболее достоверный способ диагностики. По результатам рентгенограммы лечащий врач сможет легко распознать болезнь.
Худшие опасения подтвердятся, если на снимке будут отчётливые затемнения.
Лечение
Схемы лечения бронхита и пневмонии у взрослых могут кардинально отличаться. Поэтому очень важно не упустить драгоценное время и вовремя поставить точный диагноз. Всё дело в том, что бронхи воспаляются чаще всего от попадания в них вируса. В отличие от бронхита, пневмония чаще всего вызывается бактериальной инфекцией. Отсюда и принципиальная разница в методах излечения.
В случае бронхита лечение вполне допустимо осуществлять в домашних условиях. Значительного улучшения состояния удаётся добиться уже через 10 дней. Выздоровление в большинстве случаев наступает спустя 2 недели.
Пневмония же требует нахождения пациента в стенах больницы, потому что такое сложное заболевание лечится строго под врачебным контролем.
Длительность лечения тоже разная – чаще всего оно продолжается около 2-3 недель.
Для избавления от обоих заболеваний успешно используются и немедикаментозные методы:
- дыхательные упражнения;
- ЛФК;
- физиотерапевтические процедуры.
При высокой температуре желателен постельный режим и щелочное питьё. Если столбик градусника поднимается выше 38°С, нужны жаропонижающие препараты. В комнате необходимо поддерживать оптимальный уровень влажности.
Назначаемые при лечении бронхита лекарства прежде всего направлены на смягчение симптомов. Муколитики разжижают и облегчают отхождение мокроты, борются с кашлем; антигистаминные средства призваны снять аллергическую настроенность. Антибиотики назначаются только в том случае, если терапия не даёт заметных результатов.
Для эффективной борьбы с пневмонией необходимы антибиотики. Это главный метод лечения. Минимальный курс приёма – 7 дней. Могут быть назначены инъекции или таблетки. Антибиотикотерапия может спровоцировать развитие дисбактериоза. С целью предупреждения нарушения микрофлоры используются пробиотики.
Пневмония – это сложнейшее заболевание, требующее качественного и длительного лечения. Несоблюдение рекомендаций специалиста нередко приводит к тяжёлым последствиям, таким, как абсцесс или отёк легких, менингит, дыхательная недостаточность, сепсис и др.
Меры профилактики
Основным профилактическим методом является укрепление иммунитета. Отказ от курения уменьшит риск появления болезни в разы. По возможности нужно избегать посещения многолюдных мест, особенно во время эпидемий. Хорошей поддержкой для организма будет ежедневная дыхательная гимнастика.
Из медикаментозных средств можно использовать вакцинацию против гриппа, который часто осложняется пневмонией. Это поможет предотвратить болезнь или как минимум существенно смягчить симптомы.
В заключение хотелось бы ещё раз обратить внимание на главные отличия пневмонии от бронхита. Главный критерий – степень выраженности симптомов.
При ухудшении состояния нужно незамедлительно обращаться за медицинской помощью в медучреждение. Для результативного лечения необходимо исключить возможные раздражители.
После перенесенной пневмонии для минимизации вероятности возникновения негативных последствий нужно скорректировать свой образ жизни.
Источник:
