11 симптомов пневмонии, которые нельзя пропустить

Пневмония — это воспалительное заболевание лёгких. Как правило, его вызывают вирусы (например, вирус гриппа) или бактерии (в том числе представители нормальной микрофлоры верхних дыхательных путей человека). В лёгкие эти микроорганизмы проникают на фоне снижения иммунитета. Часто — сразу после ОРВИ .
Именно поэтому диагностировать воспаление лёгких бывает сложно: уж очень оно похоже на грипп или иную респираторную инфекцию, продолжением которой является.
Когда надо срочно вызывать скорую
Иногда инфицированная лёгочная ткань больше не может снабжать организм необходимым количеством кислорода. Из‑за этого серьёзно страдают и даже отказывают сердечно‑сосудистая система и другие жизненно важные органы, включая мозг. Такую пневмонию называют тяжёлой .
Срочно набирайте 103 или 112, если к обычной простуде добавились следующие симптомы :
- Дыхание участилось до 30 вдохов в минуту (один вдох в 2 секунды или чаще).
- Систолическое (верхнее) давление упало ниже 90 мм рт. ст.
- Диастолическое (нижнее) давление опустилось ниже 60 мм рт. ст.
- Появилась спутанность сознания: больной вяло реагирует на окружающую обстановку, медленно отвечает на вопросы, плохо ориентируется в пространстве.
Если угрожающих симптомов нет, но мысли о пневмонии остаются, сверьтесь с нашим чек‑листом .
1. Ваше состояние сначала улучшилось, а потом ухудшилось
Мы уже упоминали, что пневмония часто развивается как осложнение после заболевания верхних дыхательных путей.
Сначала вы подхватываете грипп или другое ОРВИ. Пока организм борется с инфекцией, вирусы или бактерии, обитающие в носоглотке, проникают в лёгкие. Спустя несколько дней вы побеждаете исходное заболевание: его симптомы — температура, насморк, кашель, головная боль — уменьшаются, вам становится легче.
Но вирусы или бактерии в лёгких продолжают размножаться. Через несколько дней их становится столько, что уставшая иммунная система наконец‑то замечает воспаление. И бурно реагирует на него. Выглядит это так, будто простуда вернулась с новой силой — с более отчётливыми и неприятными симптомами.
2. Температура выше 40 °С
Лихорадка при воспалении лёгких гораздо сильнее, чем при обычной простуде. При ОРВИ температура поднимается примерно до 38 °С, при гриппе — до 38–39 °С. А вот пневмония часто даёт о себе знать угрожающими температурными значениями — до 40 °С и выше. Это состояние, как правило, сопровождается ознобом.
3. Вы много потеете
Если вы при этом мало двигаетесь и вокруг не сауна, у вас сильная лихорадка. Пот, испаряясь, помогает снизить экстремальную температуру.
4. У вас совсем пропал аппетит
Аппетит связан с тяжестью заболеваний. При лёгкой простуде пищеварительная система продолжает работать как обычно — человеку хочется есть. Но если речь идёт о более тяжёлых случаях, организм бросает все силы на борьбу с инфекцией. И временно «отключает» ЖКТ, чтобы не тратить энергию на пищеварительный процесс.
5. Вы часто кашляете
Кажется, даже чаще, чем в начале болезни. Кашель при пневмонии может быть как сухим, так и влажным. Он говорит о раздражении дыхательных путей и лёгких.
6. При кашле иногда появляется мокрота
При пневмонии альвеолы — маленькие пузырьки в лёгких, которые вбирают воздух при вдохе, — заполняются жидкостью или гноем.
Заставляя вас кашлять, организм пытается избавиться от этой «начинки». Если это удаётся, вы, прокашлявшись, можете заметить на платке слизь — желтоватую, зеленоватую или кровянистую.
7. Вы отмечаете колющую боль в груди
Чаще всего — когда кашляете или пытаетесь сделать глубокий вдох. Такая боль говорит об отёке лёгких — одного или обоих. Увеличившись в размерах из‑за отёчности, поражённый орган начинает давить на находящиеся вокруг него нервные окончания. Это и вызывает боль.
8. У вас легко возникает одышка
Одышка — признак того, что вашему организму не хватает кислорода. Если дыхание учащается, даже когда вы просто поднимаетесь с постели, чтобы сходить в туалет или налить себе чаю, это может быть признаком серьёзных проблем с лёгкими.
9. У вас участилось сердцебиение
В норме пульс у взрослых людей составляет 60–100 ударов в минуту. Впрочем, норма у каждого своя — и её стоило бы знать хотя бы приблизительно.
Например, если раньше ваш пульс в спокойном состоянии не превышал 80 ударов в минуту, а теперь вы отмечаете, что он прыгает за сотню, это очень опасный сигнал. Он означает, что сердце по каким‑то причинам вынуждено активнее перекачивать кровь по телу. Недостаток кислорода из‑за воспаления лёгких — один из факторов, способных провоцировать это.
10. Вы чувствуете себя уставшим и разбитым
Причина может быть всё та же — органам и тканям не хватает кислорода. Поэтому организм стремится ограничить вашу активность и посылает в мозг сигналы о том, что сил нет.
11. Губы и ногти приобрели синеватый оттенок
Это ещё один очевидный признак нехватки кислорода в крови.
Что делать, если вы обнаружили симптомы пневмонии
Если отмечаете у себя более половины перечисленных симптомов, как можно быстрее проконсультируйтесь с терапевтом или пульмонологом. Не факт, что это воспаление лёгких. Но риск велик.
Нельзя откладывать визит к врачу или его вызов на дом тем, кто входит в группы риска :
- людям старше 60 лет или младше 2 лет;
- людям с хроническими заболеваниями лёгких, астмой, сахарным диабетом, проблемами с печенью, почками, сердечно‑сосудистой системой;
- курильщикам;
- людям, у которых ослаблена иммунная система (такое бывает из‑за слишком строгих диет, истощения, ВИЧ, химиотерапии, а также приёма некоторых лекарств, угнетающих иммунитет).
Источник:
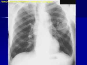
Левосторонняя Верхнедолевая Пневмония: Диагностика, Лечение

Воспаление легких или пневмония является довольно опасным заболеванием. Лечение в обязательном порядке включает антибактериальную терапию, муколитические средства и иммуномодуляторы.
Самолечение или пренебрежение медикаментами в пользу народных методов терапии или гомеопатии грозит серьезными последствиями. Заболевание имеет несколько видов и классификаций.
Статья посвящена описанию левосторонней верхнедолевой пневмонии, которая в сравнении с остальными видами воспалений встречается не так часто и имеет свои особенности.
Основным отличием является то, что недуг может иметь вялотекущий характер, из-за чего затрудняется его диагностика.
Затягивание лечения чревато усугублением состояния больного и развитием вторичных заболеваний на фоне основного.
Что нужно знать о болезни
Воспаление легких – это патология инфекционной природы, которая возникает при ослаблении иммунитета по различным причинам. Левосторонняя верхнедолевая пневмония появляется из-за развития патогенной микрофлоры в ткани легкого, нередко является осложнением при простуде или бронхите, когда инфекция попадает в нижние отделы дыхательных путей и там начинает обильно размножаться.
Инфекционными агентами всегда являются бактерии, например, кокки (пневмо-, стафило- или стрептококки), палочковидные бактерии (кишечная, Фридлендера) и другие. При очень слабом иммунитете или иммунодефиците в легких могут развиваться микроскопические грибы, например, аспергиллы, дрожжевые грибки. В таком случае причиной пневмонии становятся микозы.
Обратите внимание. Вирусы не являются причиной левосторонней верхнедолевой пневмонии.
Факторами риска выступают вредные привычки, частые простуды, отсутствие витаминов в ежедневном рационе, занятость на вредных производствах и контакт с больным человеком. Рекомендуется в профилактических целях в периоды эпидемий избегать людных мест, усиливать иммунитет и своевременно лечить легкие заболевания респираторного характера, такие как насморк или простуда.
Симптоматика
Кашель при высокой температуре может указывать на воспаление легких
Коварность левостороннего верхнедолевого воспаления легких, как уже упоминалось выше, заключается в медленном развитии, поэтому первые признаки могут быть приняты за простуду или ОРВИ. Пациент обращается за помощью, когда его состояние существенно ухудшается.
Вначале человек испытывает легкое недомогание, но через некоторое время его состояние резко изменяется, появляются тяжелые признаки, и становится понятна серьезность недуга.
Симптоматика верхнедолевой левосторонней пневмонии детей отлична от взрослых и имеет некоторые отличия:
- Признаки у взрослых. Как правило, наличие воспалительного процесса в левой верхней доле легкого у взрослых опытному пульмонологу диагностировать не составляет труда уже при физикальном осмотре и после беседы с больным. Человек жалуется на высокую температуру, которая нередко доходит до 40 градусов, наличие сухого кашля (Больные говорят: «Постоянно давит и хочется кашлять.»), наличие болевого синдрома в зоне воспаления и отдышки. Глазные склеры приобретают слегка желтоватый оттенок, вокруг носогубных складок возможна сыпь, лицо может быть синюшного оттенка.
- Признаки у детей. отличительная черта у детей в том, что симптоматика стерта, воспаление нередко протекает в латентной форме, и первые симптомы проявляются, когда инфекционный очаг уже сформирован и растет. Сначала начинает болеть горло, появляется синюшность на лице и пальцах, ребенок жалуется на головные боли. Как правило, пропадает аппетит, малыш становится раздражительным. У заболевших детей в первые три года часто появляется выраженная отдышка. Все остальные признаки такие же, как и у взрослых.
Важно. Наличие тошноты и рвоты в результате сильной интоксикации организма можно расценивать в качестве симптоматического признака верхнедолевого воспаления левого легкого.
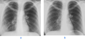
Диагностика пневмонии
Пневмония на рентгенографии
Кроме физикальной оценки состояния больного в обязательном порядке назначаются лабораторные анализы крови и мочи, а также рентгенография, которая является отличным способом диагностики. В отдельных случаях могут понадобиться дополнительные анализы.

Ниже дана краткая инструкция по основным диагностическим методам определения левосторонней верхнедолевой пневмонии:
- Первичный осмотр. Врач (терапевт или пульмонолог) должен получить от пациента полную информацию о начале болезни и негативных симптомах, беспокоящих больного. Проводится физикальная диагностика, обращается внимание на окрас кожных покровов (при пневмонии не редко носогубной треугольник имеет синий оттенок), частоту дыхания, положение больного сидя, характер кашля. Аускультивно выслушивают легкие на предмет мелкопузырчатых хрипов, бронхиального жесткого дыхания. При верхнедолевом воспалении легких выслушивается крепитация на вершине легкого.
- Общий анализ крови при недуге показывает изменение состава. Увеличивается количество лейкоцитов и скорость оседания эритроцитов (СОЭ).
- Бак посев мокроты проводится с целью определения вида бактерий и исключения туберкулеза. По цвету выделений можно определить вид пневмонии.
- Рентген в подавляющем большинстве случаев является достоверным диагностическим методом, позволяющим диагностировать воспаление легких, определить его вид, размер и локацию инфекционного очага. На снимке в апикальной части доли левого легкого заметен диффузный усиленный легочный рисунок.
- КТ (компьютерная томография) – особый вид более мощного рентгена. В результате получается четкое и очень точное изображение легких. Минусы исследования — высокая цена и в 5 раз более сильное облучение, которое не представляет опасности. КТ назначают по особым показаниям в том случае, если обычного рентгена недостаточно.
Обратите внимание. При установлении диагноза врач должен исключить бронхит, астму, туберкулез и рак легких, поскольку симптоматика перечисленных заболеваний схожа.
Лечение
Отвар листьев мать-и-мачехи — натуральное отхаркивающее средство, полезное при пневмонии
Чем раньше начато лечение – тем лучше. Затягивать с этим нельзя, поскольку можно спровоцировать развитие сильнейших осложнений, например, абсцесса или некроза легкого, развитие сердечной и легочной недостаточности, сепсиса и других.
Заболевание может быть внебольничным и больничным, во втором случае характерно развитие пневмонии после того, как больной попал в стационар, но не ранее 48 часов после госпитализации. Внебольничная левосторонняя верхнедолевая пневмония имеет несколько категорий.
При первых двух состояние больного оценивается как несложное, поэтому лечение проводится амбулаторно, при третьем – требуется госпитализация. Четвертый тип пневмонии самый сложный – возможно, лечение будет проходить в отделении интенсивной терапии или даже реанимации. Из написанного выше понятно, что затягивать с обращением к доктору не стоит.
Несмотря на категории воспаления легких, больного нужно поместить в стационар, если:
- больной – пенсионер или ребенок до трех лет;
- при сердечной или легочной недостаточности, также при наличии других серьезных заболеваний;
- больной тяжело себя чувствует или есть риск развития осложнений.
Терапия при воспалении легких, как правило, носит комплексный характер и состоит из медикаментозного и других видов лечения.
Обратите внимание. При воспалении легких больному показан постельный режим, особая диета и обильное питье.
Лекарственная терапия
Аугментин – полусинтетический антибиотик широкого спектра действия
Главенствующее звено в лечении левосторонней верхнедолевой пневмонии занимает антибактериальная терапия. Существуют антибиотики нескольких поколений, поэтому наиболее действенными будут более новые препараты, поскольку бактерии к некоторым препаратам приобрели резистентность.
На данный момент наиболее действенны; цефтриаксон (внутримышечно), клацид или аугментин – перорально. Крайне важно, чтобы антибиотикотерапию назначал доктор, самолечение в данном случае может иметь самые негативные последствия.
Для улучшения отхождения мокроты назначают муколитики и отхаркивающие средства как синтетического (лазолван, АЦЦ, амброксол, флуимуцил) так и природного (корень солодки, проспан (на основе плюща), гербион (вытяжка подорожника) и др.) происхождения. Не менее важно назначение витаминно-минеральных комплексов и иммуномодуляторов для усиления защитных сил организма.
Другие виды лечения
При болезни нужно пить больше жидкости, липовый чай с медом понижает жар и имеет противовоспалительные свойства.
В дополнение к медикаментозной терапии хорошие результаты дают народные средства. Грудной сбор с мать-и-мачехой, алтеем лекарственным, чабрецом и корнем солодки обладает отхаркивающим и облегчающим кашель эффектами.
Не менее полезны ингаляции со смесью экстрактов прополиса, эвкалипта и календулы. Хорошо зарекомендовали себя средства на основе плюща, корня солодки, подорожника.
Особое место занимают продукты пчеловодства. Гомеопатические препараты также помогают улучшить результат при комплексном лечении.
Важно. При наличии аллергии и бронхиальной астмы использование трав и меда запрещено.
К дополнительной терапии следует отнести методы физиотерапии, указанные в нижерасположенной таблице.
Таблица. Физиотерапия при лечении воспаления легких:
| Метод |
Источник:
Левосторонняя пневмония: лечение верхнедолевого и нижнедолевого воспаления легких, сипмтомы и последствия

Воспаление в лёгких протекает тяжело и лечится сложно. Особенно трудно переносится левосторонняя пневмония. Это связано с анатомическим строением внутреннего органа, близким расположением сердца. При запущенном состоянии, ослабленном организме болезнь способна привести к летальному исходу. Нужно знать признаки патологии, чтобы вовремя начать лечение.
Основные проявления
Левостороннее воспаление лёгких встречается редко, потому что попасть патогенным микроорганизмам в эту часть органа трудно из-за особенностей строения бронхов. Обычно такое заболевание встречается у людей с ослабленным организмом. Признаки патологии слева похожи на проявления с правой стороны.
Начинается левосторонняя пневмония остро с поднятия температуры до 39°С и больше, которая продолжается больше трёх дней. Присоединяется сухой кашель, в ночное время усиливается выделение пота.
С развитием заболевания симптомы усиливаются, отмечаются:
- боль в мышцах и суставах;
- одышка;
- повышенная слабость;
- сильная боль в грудной клетке слева;
- частое дыхание;
- приступы тошноты и рвоты;
- першение, болезненность в горле;
- при кашле выделение мокроты.
У детей признаки схожи с проявлениями заболевания у взрослых, но болезнь протекает сложнее. От высокой температуры появляются спутанность сознания, нездоровый румянец на щеках. Губы и ногтевые пластины имеют синюшный оттенок, аппетит малыши полностью теряют. В результате организм ослабевает, дети становятся пассивными, вялыми, много спят.
У людей старше 60 лет левосторонняя пневмония способна спровоцировать приступы потери сознания и плохую ориентацию во времени и в пространстве. Это происходит на фоне высокой температуры, которая держится длительное время.
Причины
Левосторонняя пневмония способна передаваться от заболевшего человека воздушно-капельным путём. Патологические микроорганизмы при чихании, разговоре выделяются из дыхательных путей и оседают в лёгких других людей.
При ослабленной иммунной защите, бактерии активно размножаются в лёгочной ткани, что считается причиной пневмонии. Левая доля поражается реже, так как кровоток у неё слабее, микроорганизмам попасть труднее. Чаще встречается нижнедолевое воспаление, потому что возбудители болезни поднимаются с левой стороны снизу.
Часто пневмония бывает осложнением после недолеченного заболевания острого респираторного или вирусного происхождения (ангина, бронхит, ОРВИ). После хирургического вмешательства в большинстве случаев развивается пневмония, даже если операция проводилась на другом органе. Это самое распространённое осложнение после медицинской манипуляции.
Факторами, способствующими развитию воспаления лёгких, будут:
- сахарный диабет или хронические болезни лёгких;
- курение, злоупотребление алкогольными напитками;
- сердечная недостаточность;
- длительное охлаждение организма, особенно ног;
- продолжительный постельный режим или малоподвижный образ жизни;
- частые простуды.
Дети и пожилые люди составляют основную группу риска по левостороннему воспалению лёгких.
Воспаление легких
Диагностика
До начала лечения проводится диагностика. Обследования назначает пульмонолог. Большое значение имеет прослушивание лёгких, при пневмонии слышны специфические хрипы. В лаборатории проводится анализ крови, мокроты при откашливании, мочи. Больше всего информации врач получает после прохождения рентгена, УЗИ лёгких, эхокардиографии, томографии грудной клетки.
При обследовании нужно разграничить воспаление лёгкого с правой стороны и левостороннюю очаговую пневмонию. Диагностика помогает определить в какой части расположен очаг инфекции.
Верхнедолевое воспаление считается опасным — почти всё лёгкое поражено болезнью.
Расположенное рядом сердце может не выдержать длительной высокой температуры и патогенных микроорганизмов, поэтому лечение нужно начинать немедленно.
Методы терапии
После проведения диагностики назначается лечение. Результаты бактериального посева, который выявляет возбудителя, будут готовы в течение 4 дней.
Только после этого окончательный диагноз будет поставлен. Но лечение нужно начинать немедленно, до получения результатов, чтобы патологические изменения не привели к серьёзным нарушениям.
В таком случае назначают антибиотики широкого спектра действия.
Через несколько дней становится ясно, какой возбудитель вызвал воспаление верхней или нижней части левого лёгкого. Больному выписывают средства против конкретного микроорганизма. Если пациенты самостоятельно решают вылечить пневмонию, без определения возбудителя шансов на выздоровление нет.
При протекании пневмонии в тяжёлой форме необходимо ложиться в стационар. Внебольничные формы заболевания лёгкой и средней степени тяжести можно лечить дома, так как они протекают без осложнений.
Показания для госпитализации в медицинское учреждение:
- температура поднимается выше 39,9°С или опускается ниже 35,5°С;
- одышка усиливается;
- понижается артериальное давление;
- человек теряет сознание;
- гемоглобин понизился до 90 г/л.
Для ребёнка дополнительными показаниями к отправке в больницу являются врождённые пороки развития, хронические патологии, внутриутробное недоразвитие.
Больного лечат отхаркивающими препаратами, иммуномодуляторами, антибиотиками, средствами для снятия симптомов и для снижения интоксикации организма. На запущенной стадии патологии применяют искусственную вентиляцию лёгких, кислородотерапию, поэтому лучше лечь в стационар для качественного лечения.
Игнорировать симптомы и пропускать лечение недопустимо, потому что человек с пневмонией является заразным. И также у него могут развиться серьёзные осложнения. Болезнь медленно будет поражать окружающие ткани, начнутся плевропневмония, острая дыхательная недостаточность, гангрена левого лёгкого.
Лечение народными средствами левосторонней пневмонии возможно с разрешения врача. Но они могут быть только дополнением в период восстановления. Избавиться от болезни в домашних условиях тоже сложно. Выход простой – лечь в больницу, под присмотром врачей принимать лекарства.
Профилактика
Особым профилактическим мероприятием является вакцинация против левостороннего воспаления лёгкого. Её проводят при наличии простудного заболевания или пневмонии.
Общая профилактика представляет соблюдение следующих правил:
- укреплять иммунитет;
- каждый день совершать прогулки пешком при любой погоде;
- регулярно проходить осмотры врачей;
- лечить простудные заболевания до выздоровления;
- вести подвижный образ жизни;
- исключить вредные привычки.
При раннем выявлении заболевания, прогноз благоприятный. Лечение проходит без осложнений и негативных последствий.
Правильно проведённый лечебный курс помогает восстановить иммунитет, повысить сопротивляемость организма к вирусам. Если присоединилась вторичная инфекция, тяжесть протекания болезни увеличивается, прогноз ухудшается.
Особенно внимательно нужно относиться к детям, чей организм ещё не выработал хорошей иммунной защиты.
Источник:
Левосторонняя пневмония: нижнедолевая, слева, нижней доли

Благодаря анатомической особенности строения бронхов, левосторонняя пневмония развивается реже правосторонней.
Течение болезни проходит сложнее, специфика микроорганизмов, провоцирующих это заболевание, опаснее.
Мучает какая-то проблема? Введите в форму «Симптом» или «Название болезни» нажмите Enter и вы узнаете все лечении данной проблемы или болезни. Сайт предоставляет справочную информацию.
Адекватная диагностика и лечение болезни возможны под наблюдением добросовестного врача. У любых препаратов есть противопоказания.
Необходима консультация специалиста, а также подробное изучение инструкции! Здесь можно записаться на прием к врачу.
Симптомы
Левостороннее воспаление легких является очаговым острым инфекционным заболеванием, поражающим нижние отделы дыхательных путей. Такое заболевание обычно возникает во время поражения бронхов.
Степень тяжести болезни зависит от таких факторов как:
- Вид возбудителя;
- Активность возбудителя;
- Состояние защитной функции организма больного.
Развивается пневмония постепенно, начинается с легкого недомогания, и постепенно состояние пациента ухудшается.
Основными симптомами этого заболевания у взрослых являются:
- Лихорадка;
- Влажный кашель с мокротой;
- Боль в горле;
- Вялость и слабость;
- Одышка при выполнении любых физических нагрузок;
- Повышение температуры, вплоть до 40 градусов;
- Сильный озноб;
- Тошнота;
- Рвота;
- Боль и колики в области грудной клетки;
- Сильная головная боль;
- Боль в груди во время вдоха;
- Головокружение.
У некоторых пациентов заболевание на первых порах может проходить вообще без симптомов. Можно заметить легкое недомогание.
Это намного опаснее, чем если бы симптоматика была ярко выраженной.
Вовремя заметить болезнь сложно, поэтому часто лечение начинают намного позже, что приводит к опасным осложнениям.
Верхнедолевая форма болезни и ее признаки
Левосторонняя верхнедолевая пневмония у взрослых проявляется после повышения уровня С-белка в организме. Он становится причиной начала воспалительного процесса. Начало такого заболевания может произойти после заражения туберкулезом.
Во время осмотра больного верхнедолевой левосторонней пневмонией заметны такие признаки:
- Бледность кожи;
- Втягивание кожи во время дыхания в надключичной области и между ребер;
- Синюшность кожи вокруг рта;
- Крепитация на верхушке легкого;
- Влажные хрипы;
- Ослабленное дыхание;
- Затемнение легкого;
- Усиление легочного рисунка.
Нижнедолевая разновидность воспаления легких и ее особенности
Пневмония в нижней доле левого легкого считается намного опаснее, чем в верхней доле. Заболевание, чаще возникает у тех пациентов, у которых организм сильно ослаблен, имеет низкий уровень иммунитета, поэтому не может бороться с болезнью.
Чаще этому заболеванию подвергаются люди старшего возраста или маленькие дети.
Лечение сложное из-за таких факторов как:
- Слабое кровоснабжение;
- Низкий уровень иммунитета;
- Слабая работа лекарственных препаратов из-за общей слабости организма;
- Плохое кровоснабжение легких.
Стандартные симптомы левосторонней нижнедолевой пневмонии различаются.
Симптомами такого заболевания являются:
- Влажный кашель с обилием мокроты;
- Боль в горле;
- Одышка;
- Сильная слабость;
- Боль в области левой стороны легкого;
- Озноб;
- Высокая температура;
- Сильная головная боль;
- Рвота.
Очаговая форма пневмонии и ее опасность
Такое заболевание является вторичным, поэтому основным фактором, который приводит к заболеванию, является хроническое заболевание органов дыхания или осложнение острых респираторных вирусных инфекций.
Начало очаговой пневмонии бывает связано с попаданием вторичной инфекции, которая развивается в организме на фоне таких заболеваний:
- Бронхит;
- Отит;
- Скарлатина;
- Фурункулез;
- Коклюш.
Главные возбудители этого вида пневмонии:
- Стрептококки;
- Пневмококки;
- Вирусы;
- Стафилококки.
Они попадают в организм несколькими путями: гематогенным, через бронхи или лимфу. Сначала это заболевание поражает слизистую оболочку бронхов, после нее переходит на бронхиолы, альвеолы и легкие.
Несмотря на размер поражения, оно не будет выходить за пределы доли легкого. Оно может быть небольшим, крупным или сливаться между собой.
Причинами очаговой левосторонней пневмонии будут:
- Нервные потрясения, стрессы;
- Вредные привычки;
- Плохое питание и недостаток витаминов;
- Хронические заболевания;
- Инфекции ЛОР-органов;
- Плохая физическая форма;
- Резкое переохлаждение или перегрев организма.
Очаговую пневмонию можно распознать даже в первые дни болезни.
Появляются симптомы:
- Слабость организма;
- Сухой кашель с небольшим количеством мокроты;
- Сильный озноб;
- Боль в груди.
Заболевание может прогрессировать на фоне других заболеваний, в основном во время бронхита, гриппа или катара органов дыхания.
Симптомы очаговой левосторонней пневмонии у взрослых:
- Высокая температура тела;
- Боль в груди;
- Учащенное дыхание и сердцебиение во время физических нагрузок;
- Сухой кашель;
- Сильная головная боль;
- Повышенное потоотделение;
- Снижение аппетита;
- Слабость;
- Лихорадка;
- Сильный озноб.
Если заболевание начинается у человека со слабым иммунитетом, можно наблюдать субфебрильную температуру тела. Если начать лечение вовремя, то она будет держаться на одном уровне несколько дней. Кашель у больного может быть сухим или с примесями гноя в мокроте.
Сколько лечится болезнь
На вопрос о том, заразна ли пневмония, однозначного ответа нет, мнения экспертов разделились. Заразность этого заболевания зависит от вида возбудителя болезни. Некоторые вирусы и бактерии могут жить на теле или предметах обихода долго, которого хватает, чтобы передать их другому человеку.
Если причиной пневмонии стали атипичные возбудители, то болезнь передается от больного к здоровому человеку, к ним относятся:
- Пневмококки;
- Хламидии;
- Микоплазма.
Если они стали причиной пневмонии, то это приводит к серьезным проблемам со здоровьем, особенно у пожилых людей.
Есть некоторые бактерии, которые могут подавить даже сильный иммунитет, и начать активно развиваться в любом организме. Опасны те бактерии, которые можно подцепить в больницах.
Они устойчивые к любым препаратам, и лечение проходит долго и тяжело. Заразиться пневмонией в больнице просто, причем там можно подцепить сложную форму – “внутрибольничную пневмонию”, которую почти нереально вылечить.
Заразиться можно воздушно-капельным путем от больного, который кашляет. Вместе со слюной, он выделяет много бактерий, которые попадают в организм здоровых людей и начинают активно развиваться.
Реально заразиться таким заболеванием в местах большого скопления людей, особенно во время вспышек эпидемий вирусов.
Часто инфицирование происходит от близких, больных пневмонией, просто носителей возбудителя болезни. Если член семьи начал кашлять, то проводить профилактику или пытаться защититься уже поздно, лучше начать вовремя лечиться.
Тогда пневмония пройдет через несколько дней, обычно не больше недели. Нельзя пускать все на самотек, обращаться за помощью к врачу, ведь только он сможет назначить волшебное лечение, которое эффективно уничтожит возбудитель.
Где проводят лечение
Для лечения пневмонии все специалисты используют специальное Руководство. По этому документу не нужно класться в стационар больным с легкой или средней тяжестью заболевания. Вылечиться можно и дома, если выполнять все указания врачей и регулярно приходить на осмотр к лечащему врачу.
Обязательно госпитализацию проводят больным с тяжелой формой заболевания.
Степень тяжести определяется по шкале и ее показатели зависят от:
- Уровня мочевины в крови;
- Степени нарушения сознания;
- Артериального давления;
- Возраста.
В больницу попадают пациенты, у которых присутствуют такие симптомы:
- Двустороннее воспаление легких;
- Дыхательная недостаточность острой формы;
- Сильное обезвоживание;
- Высокая температура;
- Сильная интоксикация;
- Гной в мокроте;
- Высокая частота дыхания;
- Нарушение сознания.
Госпитализацию проводят пациентам, не имеющих родных, которые могут о них позаботиться, и тем, у кого есть сопутствующие тяжелые заболевания, помимо пневмонии.
Лечение этого заболевания сложное, и для полного выздоровления необходимо регулярно употреблять антимикробные препараты. Чтобы их выбрать, нужно сначала выявить возбудителя, а это сложно. Определить возбудитель болезни получается только в 60% случаях.
Только если врач найдет у пациента специфические бактерии, которые указывают на пневмонию, то можно будет выписать антибиотики узкого спектра. Они действуют намного эффективнее и уберут болезнь быстрее.
Сложность лечения состоит в том, что после взятия анализов проходит минимум несколько дней, а лечить пневмонию необходимо сразу. Поэтомуврач прописывает антибиотики общего направления, которые только не дают воспалению развиваться еще больше.
После приема лекарств отслеживают состояние пациента, если видимых изменений нет на протяжении нескольких дней, то прописывают препараты широкого спектра второго и третьего поколения.
К ним относятся:
- Левофлоксацин;
- Цефалоспорин;
- Амоксициллин;
- Сульфаметоксазол.
Кроме препаратов, часто назначают массаж грудной клетки, который помогает убрать боль. Врач выписывает отхаркивающие и разжижающие мокроту средства, и бронхорасширяющие лекарства. Больному назначают прием витаминов для повышения иммунитета.
Нюансы избавления от нижнедолевой пневмонии
Для лечения левосторонней пневмонии в нижней части легких (в т.ч. В S10), врачи могут прописать такие препараты:
- “Сумамед”;
- “Цефтриаксон”;
- Сироп “Аскорил”;
- Ингаляции с помощью “Лазолван”;
- “Полиаксидоний”.
В случае такого заболевания проводится комплексное лечение. Назначают процедуры и средства для улучшения состояния больного:
- Терапия, направленная на уничтожение возбудителя пневмонии;
- Отхаркивающие средства или муколитические;
- Прием низкомолекулярных гепаринов, которые не дают распространяться поражению;
- Инфузионная терапия;
- Бронхолитики;
- Пентоксифиллин.
Помощь народных средств
Вылечить пневмонию в первые дни заболевания помогут народные рецепты. Они основаны на травах, которые обладают успокаивающими, противовоспалительными, сосудорасширяющими, и антиаллергенными свойствами.
Настои трав содержат много витаминов и полезных веществ, которые улучшают защитные свойства организма и помогают ему бороться с бактериями и вирусами.
Настойки и травяные сборы помогают убрать кашель, снять температуру, улучшить работоспособность организма, возвратить силы на борьбу с заболеванием. Если сочетать народные рецепты с рекомендациями врачей, то вылечить пневмонию в домашних условиях станет намного проще.
Самые эффективные рецепты:
- Молоко со свиным жиром. Смешать в стакане кипяченого молока ложку меда и такое же количество жира. Когда молоко немного остынет, выпить весь стакан. Употреблять трижды в день перед едой.
- Хрен. Натереть корень хрена и смешать с соком половины лимона. Настоять в течение получаса, и принимать по ложке трижды в день перед едой.
- Малина. Бороться с кашлем эффективно помогает малиновый чай. Можно приготовить его из варенья или тертых ягод, или заварить прутики куста.
- Алоэ и березовые почки. Выдавить сок из одного листья алоэ и смешать с измельченными 40 г почек березы, добавить такое же количество эрингиума. Полученную смесь высыпать в емкость и добавить в одинаковых количествах мед и масло прополиса. Поставить емкость на водяную баню на 10 минут. Употреблять каждый день несколько ложек перед едой.
- Барсучий жир. Растопленный жир употреблять по несколько чайных ложек перед едой по 3-4 раза в день. Принимать в течение одного месяца, после сделать небольшой перерыв, и снова продолжить лечение.
- Лесные орехи и кагор. Сделать настойку из 0,5 кг орехов и такого же количества вина. Все смешать в емкости и поставить кипятится на медленном огне, на протяжении 20-30 минут. Пить по несколько ложек в день натощак.
Опасность болезни и возможные последствия
Если лечение началось слишком поздно или не проводилось правильно, пневмония левого легкого приводит последствиям:
- Нарушение работы дыхательных путей;
- Эндокардит;
- Туберкулез легких;
- Менингит;
- Поражение диафрагмы;
- Плеврит.
Если лечение не проводилось вовремя, то воспалительный процесс может перейти на другие сегменты тканей легких. Это, приводит к осложнению заболевания. В тяжелых случаях возможен летальный исход.
Не вылеченное заболевание станет причиной многих других болезней легких и органов дыхания.
Поэтому, чтобы не усугубить проблему и избежать любых осложнений, необходимо при первых признаках левосторонней пневмонии обратиться к врачу.
Не нужно заниматься самолечением, ведь точно неизвестно как отреагирует организм на то или иное средство, возможно даже усугубление состояния.
Левостороннее воспаление легких у взрослых считается сложным и опасным заболеванием. Чаще ему подвергаются люди, у которых наблюдается сниженный уровень иммунитета. Поэтому, чтобы избежать болезни, стоит употреблять как можно больше здоровой пищи, богатой на витамины, заниматься спортом и вести здоровый образ жизни.
Врач: Шишкина Ольга
✓ Статья проверена доктором
Источник:
Причины и лечение левосторонней пневмонии
Левосторонняя пневмония – острое инфекционное поражение левого легкого. Благодаря анатомическим особенностям оно возникает реже правосторонней формы болезни, но близкое расположение сердца делает заболевание смертельно опасным.
Причины появления
Возбудители левосторонней пневмонии часто проникают в респираторную систему воздушно-капельным путем. Иммунитет здорового человека уничтожает их еще в верхних органах дыхания. Но ослабленный организм «пропускает» микробы вниз. Они оседают в легочной ткани, вызывая воспалительные процессы.
Существует несколько причин угнетения иммунитета:
- Курение и злоупотребление спиртными напитками. У заядлых курильщиков органы дыхания подвержены заражению инфекционными болезнями, так как вредные вещества табачного дыма и алкоголя скапливаются в легких, ослабляя их функции.
- Неблагоприятные условия жизни или работы. Проживание в экологически грязном месте, постоянное вдыхание вредных веществ способствуют появлению болезней органов дыхания. Частое переохлаждение вызывает стеноз кровеносных сосудов в легких.
- Наличие хронических болезней органов дыхания. Незатухающие очаги воспаления нуждаются в постоянной активности клеток иммунитета. В итоге защитные силы не могут адекватно среагировать на новую угрозу, «пропускают» развитие пневмонии.
- Прием препаратов для угнетения иммунитета. Их назначают после трансплантации органов, для лечения аутоиммунных заболеваний, злокачественных опухолей, во время химио- и лучевой терапии.
Кроме воздушно-капельного пути, заражение левосторонней пневмонией может произойти через кровь. Инфекция попадает в легкие во время операции, травмы, использования грязной иглы для лечебных и наркотических инъекций.
Симптомы левосторонней пневмонии
Инкубационный период длится 10-12 дней, после чего начинается острая стадия болезни. Особенно тяжело ее переносят дети и пожилые люди. Из-за высокой температуры у стариков и малышей может появиться дыхательная недостаточность, спутанность и потеря сознания.
https://youtube.com/watch?v=O5Rex_ZDouc
У некоторых взрослых людей наблюдается бессимптомное течение левосторонней пневмонии. Такая форма болезни считается наиболее опасной, так как она обнаруживается на поздней стадии развития.
К основным симптомам острой фазы левосторонней пневмонии относятся:
- Внезапное повышение температуры тела до 40°.
- Одышка в состоянии физической, умственной и эмоциональной нагрузки.
- Боли в грудине при движении и разговоре.
- Мокрый кашель с отделением желтой, зеленой или розовой слизи.
- Хрипы и свисты во время глубокого дыхания. Исключение – сегментарная левосторонняя пневмония.
Через несколько дней острой фазы появляется период «мнимого благополучия», который длится 2-3 суток. Но, несмотря на снижение интенсивности симптомов, строго запрещено изменять дозировку препаратов или прекращать лечение болезни.
Методы диагностики
Диагностикой и лечением левосторонней пневмонии занимается врач-пульмонолог. На первичном осмотре он расспрашивает пациента об особенностях симптомов, прослушивает легкие фонендоскопом и методом перкуссии.
Далее он назначает следующие диагностические обследования:
- клинический анализ мочи и крови (для оценивания общего состояния здоровья);
- исследование мокроты (позволяет выбрать наиболее эффективный антибактериальный препарат);
- рентгенографию легких (очаг болезни на снимке выглядит затемненным, а на поздней стадии – осветленным);
- бронхоскопия (позволяет изнутри увидеть степень поражения легочной ткани);
- МРТ или КТ (назначается при невозможности поставить диагноз другими способами).
На основании результатов этих исследований пульмонолог составляет схему лечения левосторонней пневмонии.
Консервативное лечение болезни
Легкая степень левосторонней пневмонии лечится в домашних условиях. Тяжелая форма болезни требует госпитализации. Показания для вызова скорой помощи:
- детский и пожилой возраст пациента;
- невозможность сбить высокую температуру в течение 2-3 суток;
- потеря или спутанность сознания;
- обнаружение в мокроте сгустков крови, гноя;
- трудности с дыханием.
В первые дни после выявления болезни врач назначает антибиотики широкого спектра действия. Они приостанавливают развитие воспалительного процесса, стабилизируют состояние пациента. После изучения результатов бакпосева мокроты и других анализов пульмонолог составляет комплексную схему лечения. Оно состоит из препаратов различного действия.
Например, антибиотиков, действующие вещества которых способны уничтожить возбудитель болезни. Из-за анатомических особенностей левого легкого и трудностей с доставкой компонента к очагу воспаления врач назначает лекарство в форме жидкости для инъекций. Курс антибактериальной терапии длится 7-10 дней.
Для предотвращения развития осложнений антибиотики назначают даже при вирусной природе заболевания.
Муколитические препараты разбивают белковые соединения в мокроте. В результате бронхиальная слизь становится жидкой и легко выводится во время кашля. Лекарство такого действия необходимо принимать под контролем врача. Слишком большой объем секрета вызывает эффект затопления у «лежачих» пациентов.
Отхаркивающие средства воздействуют на рецепторы слизистой оболочки желудка. Больной испытывает слабые рвотные позывы, переходящие в приступы влажного кашля. Кроме того, компоненты лекарства раздражают кашлевые центры в головном мозге и дыхательных путях, вызывая спазмы грудной клетки.
Бронхорасширяющие препараты помогают справиться с приступами одышки, удушья, спазмов. Они расслабляют гладкую мускулатуру бронхов, сдерживают обструкцию дыхательных путей. Такие лекарства выпускают в форме аэрозоля, чтобы лечебные компоненты мгновенно достигали легочной ткани.
Физиотерапевтические процедуры
Одновременно с консервативным лечением пациент проходит процедуры физиотерапии. Электрофорез проводит компоненты препаратов непосредственно в легкие. С помощью электрического тока лекарственные вещества распадаются на ионы и проникают сквозь кожу, жир и мышцы.

Ультравысокочастотная терапия считается одним из самых эффективных методов лечения левосторонней пневмонии. Во время процедуры к спине и груди в области легкого прикрепляют пластины, сквозь которые проводят импульсы тока. В итоге ограничивается очаг воспаления, уменьшается отечность тканей, улучшается циркуляция крови.
В период восстановления пациенту назначают сеансы дренажного массажа, упражнения дыхательной гимнастики и лечебной физкультуры. Эти действия очищают бронхи от остатков мокроты, готовят легкие к нагрузке. В результате предотвращается образование спаек, застойных процессов в тканях.
Процедуры физиотерапии противопоказаны при острой фазе левосторонней пневмонии, гнойно-септических процессов в тканях, наличии внутренних кровотечений. Во время их проведения нельзя затрагивать область сердца и позвоночника.
Диета при лечении левосторонней пневмонии
В острый период болезни питание пациента должно состоять из легкоусвояемых продуктов. Для приготовления блюд используйте пароварку, духовой шкаф. Жареная, копченая, соленая еда вызывает дополнительную нагрузку на органы, способствует появлению отеков.
Во время лечения давайте больному как можно больше полезной жидкости: некрепкий чай, компот, негазированную воду, отвары лекарственных трав. Обильное питье стимулирует выработку бронхиального секрета, вымывает из организма остатки лекарства, погибших возбудителей, продукты их жизнедеятельности.
Источник:
