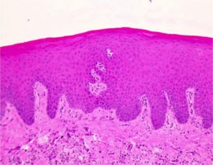
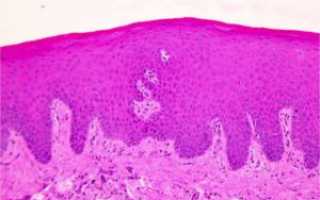
Лейкоплакия вульвы

м. Проспект Вернадского,
119415, г. Москва,
ул. Лобачевского, д. 42, стр. 4 ООО МЦ «Петровские Ворота»
- Поликлиника
- Стационар
- Стоматология
- Пластическая хирургия
- ЭКО
м. Трубная, м. Цветной бульвар, м. Тверская
127051, г. Москва,
1-й Колобовский пер, д.
4 В какой филиал Вы хотите обратиться?
Лейкоплакия вульвы — это дистрофическое преобразование клеток вульвы, при котором наблюдается ороговение кожи и слизистой. Диагностируют такое заболевание чаще всего у женщин в период менопаузы или климакса, но также встречается эта патология и у молодых девушек.
С чем это связано и можно ли вылечить лейкоплакию вульвы?
Классификация форм лейкоплакии вульвы
Лейкоплакия — это сложное заболевание, которое является одной из разновидностей гиперплазии и имеет несколько собственных форм и стадий развития.
Плоская (простая)
Простая лейкоплакия может наблюдаться как на отдельных небольших участках тканей, так и поражать большую поверхность вульвы. Отличительные особенности:
- Образование гладких белых пятен плоской формы.
- Признаки воспалительного процесса отсутствуют.
- После удаления таких бляшек ватным тампоном, они появляются вновь.
Гипертрофическая
При этой форме заболевания очаги поражения могут быть обособленными или сливаться между собой.
Отличительные особенности:
- Новообразования на слизистой имеют выпуклую форму.
- Бляшки сухие, без признаков воспаления, имеют серо-белый оттенок.
- Не удаляются с тканей механическим путем.
Бородавчатая
Бородавчатая форма — наиболее сложная и является предраковым состоянием. Такая форма лейкоплакии вульвы характеризуется следующими признаками:
- Масштабные очаги поражения с ограниченными контурами.
- Отдельные участки ороговевшего слоя могут сливаться в единое целое за счет чего создается внешний вид больших бородавок.
- Наличие осложнений — эрозий, воспалительных процессов, трещин.
Важно! Как выглядит лейкоплакия вульвы в каждом случае, вы можете просмотреть на фото. Это поможет более точно понять отличительные признаки каждой формы заболевания по внешним признакам.
Причины
Причины развития такого патологического процесса имеют метаболический, нейроэндокринный и иммунный характер. Основные факторы риска — это:
- хронические вирусные поражения половых органов — герпетические, папилломные и цитомегаловирусные инфекции;
- недоразвитость шейки матки;
- дефицит в организме витаминов группы А;
- возраст — больше подвержены женщины старше 40 лет;
- нарушение обмена веществ, в том числе наличие ожирения или сахарного диабета;
- отсутствие правильной культуры гигиены половых органов;
- механическое повреждение тканей слизистой;
- гормональный дисбаланс.
Иногда причиной преобразования тканей служат расстройства психосоматического характера:
- повышенная требовательность к себе и окружающим, из-за чего женщина все время находится в стабильном состоянии неудовлетворенности и стресса;
- недоверие к людям, что вызывает нервное напряжение;
- внутреннее угнетенное состояние, которое негативно сказывается на общем состоянии организма.
Важно! Учитывая столь широкий перечень возможных причин различной природы происхождения, чтобы вылечить лейкоплакию вульвы надо обязательно обращаться за помощью к специалистам для детализированной диагностики и выбора подходящей комплексной терапии.
Симптомы лейкоплакии вульвы
На начальной стадии лейкоплакия обычно не доставляет каких-либо дискомфортных ощущений. При дальнейшем поражении тканей наблюдаются такие симптомы:
- устойчивое ощущение зуда половых органов;
- периодическое покалывание или онемение тканей;
- болезненность язв, трещин и эрозий — при наличии таких осложнений;
- отечность и гиперемия тканей;
- дискомфорт и боль во время полового акта.
Важно! Симптомы могут проявляться как комплексно, так и поодиночно и являются характерными признаками других заболеваний. Поэтому для уточнения природы происхождения дискомфорта в области половых органов обязательно требуется профессиональный осмотр врачами соответствующего профиля.
Диагностика
Диагностика лейкоплакии вульвы начинается с уточнения жалоб пациентки — при наличии таковых. Дальнейшая схема действий наших специалистов будет зависеть от того, что именно обнаружится в ходе гинекологического осмотра.

Вся процедура может включать один или несколько способов лабораторного и инструментального исследования:
- кольпоскопию — в ходе такого исследования тканей под микроскопом существует возможность выявить отсутствие сосудистого рисунка и уточнить характер уплотнения клеток;
- прицельную биопсию — с подозрительных участков эпителия делаю забор небольших кусочков тканей, которые исследуются под микроскопом на патогенную микрофлору и онкоцитологические изменения;
- пробу Шиллера — этот метод предполагает окрашивание поврежденных тканей раствором Люголя, после чего становятся ярко выраженными все участки поражения лейкоплакией — они не поддаются пигментации;
- мазок на онкоцитологические изменения — с поверхности слизистых покровов берется материал для исследования в лабораторных условиях, что дает возможность своевременно определить предраковое состояние.
Важно! Такой комплекс диагностических процедур позволяет 100% уточнить развитие лейкоплакии вульвы и ее форму, а также выявить сопутствующие патогенные состояния тканей.
Лечение лейкоплакии вульвы
Лейкоплакия трудно излечимое. Поэтому ни в коем случае не пытайтесь заниматься самолечением дома народными средствами. Целенаправленная терапия должна подбираться грамотным специалистом в клинических условиях.
В Москве вам помогут вылечить лейкоплакию в медицинском центре «Клиника К+31». Чтобы получить действительно эффективный результат, наши специалисты придерживаются комплексного подхода для купирования такого заболевания.
Консервативная схема лечения включает:
- Профессиональную помощь психолога для корректировки образа мышления. Это помогает исключить психологическую причину преобразования клеток.
- Лечение сопутствующих заболеваний, выявленных в ходе диагностики. Выбор средств зависит от природы происхождения и формы недугов.
- Медикаментозная терапия, включающая те препараты, которые требуются для купирования симптоматики и предотвращения дальнейшего распространения патогенного процесса. Это могут быть гормональные, противовоспалительные, противозудные средства, антисептики, антигистаминные лекарства и новокаиновые блокады.
- Витаминная поддержка для стимуляции собственных защитных сил организма.
- Физиопроцедуры. Эта группа терапевтических процедур включает введение лекарственных растворов посредством ультрафонофореза, а также комплекс упражнений при лейкоплакии вульвы. Последний позволяет восстановить эластичность пораженных тканей и упругость окружающих мышечных тканей, что крайне необходимо для зачатия ребенка в дальнейшем.
Важно! При выборе подходящего в каждом отдельном случае комплекса лечебных процедур обязательно принимается во внимание возраст пациентки.
Если форма лейкоплакии запущенная и не удается достичь ожидаемого результата при применении методов консервативной терапии, в крайнем случае медики отдают предпочтение хирургическому вмешательству. В данной ситуации возможно 2 пути решения проблемы:
- Иссечение единичных пораженных участков скальпелем либо радионожом.
- Удаление поврежденных тканей посредством криодеструкции или лазера.
Важно! Чтобы ускорить процесс выздоровления и добиться быстрого снижения болевого синдрома, зуда и других малоприятных симптомов, каждая пациента должна также ответственно относится к своему лечению, как и ведущий ее случай врач. Для этого рекомендуется на протяжении всего курса терапии соблюдать такие правила:
- Исключить прием горячих ванн.
- Откорректировать рацион питания — отдать предпочтение растительно-молочной диете, без тяжелых соленых, копченых, жареных, сладких продуктов.
- Строго придерживаться режима и советов специалиста по проведению гигиенических процедур в домашних условиях.
- Правильно организовать свой график работы-отдыха.
- Носить подходящее нижнее белье, чтобы минимизировать риск еще большего травматизма — подходят модели из натуральных (не шерстяных) тканей , не сильно обтягивающие, удобные в носке, подходящие по сезону.
Чтобы предотвратить развитие такого сложного заболевания как лейкоплакия вульвы, внимательно относитесь к своему здоровью:
- Регулярно проходите профилактический осмотр у гинеколога — хотя бы 1 раз в 6 месяцев.
- Избегайте случайных половых связей, при которых вы можете заразиться болезнетворными вирусами и бактериями.
- При первых появлениях дискомфортных ощущений — зуда, ощущения жжения, боли в области гениталий, не медлите с походом к специалисту, чтобы он смог на ранней стадии заболевания выявить все патологические явления и максимально быстро их устранить.
- Соблюдайте правильную культуру гигиены.
При таком подходе, даже в случае заболевания лейкоплакией вульвы, прогноз лечения очень оптимистичный.
* — Травмпункт работает в круглосуточном режиме только для взрослых.Для детей ведется прием детского травматолога в соответствие с расписанием.Расписание уточняйте у операторов в кол-центре
Обращаем ваше внимание, что вся информация, включая цены, предоставлена для ознакомления и не является публичной офертой (ст.435 ГК РФ, cт. 437 ГК РФ)
Для получения более детальных консультаций по услугам и их стоимости обращайтесь в колл-центр по телефонам, указанным выше.

Цены действительны для потребителей — физических лиц.
sdf
Источник:
Лейкоплакия вульвы: симптомы и лечение

Обычно лейкоплакия вульвы диагностируется у женщин климактерического возраста. Однако, согласно статистике, случаи склеротического лишая стали гораздо чаще встречаться среди пациенток детородного периода и молодых девушек.
Формы лейкоплакии вульвы
Учитывая характер и тяжесть очагов лейкоплакии, склеротический лишай имеет несколько форм:
- Простая (плоская) лейкоплакия вульвы. Проявляется образованием бляшек белого цвета, которые чаще поражают влагалищные стенки и половые губы. Пораженная эпителиальная поверхность не имеет вогнутостей или выпуклостей. Она не меняет первоначальную форму и остается плоской. На месте удаленных бляшек остается кожа с белыми вкраплениями. Простая форма склеротического лишая может покрывать всю область вульвы или возникать на небольших ее участках.
- Гипертрофическая (чешуйчатая) лейкоплакия. Данная форма патологии сопровождается появлением серо-белых пятен на поверхности слизистых, возвышающихся над поверхностью эпителия. Очаги воспаления могут соединяться, образовывая целостную поверхность или единую цепь. Убрать выпуклые пятна с помощью ватного тампона при гипертрофическом лишае невозможно.
- Эрозивная (бородавчатая) лейкоплакия вульвы. Эта стадия болезни считается предраковым состоянием. Воспалительные очаги выглядят как белые бородавки. Обычно их поверхность покрыта трещинами, ссадинами или язвочками. Возможно развитие воспаления в бляшках.
Причины лейкоплакии вульвы
Точные причины возникновения склеротического лишая не определены. Специалисты выделяют ряд факторов, которые провоцируют изменения клеточного состава эпителия вульвы, что вследствие приводит к развитию лейкоплакии. К ним относятся:
- воспалительные патологии репродуктивной системы хронического течения;
- генитальный герпес;
- дисплазия, эрозия маточной шейки;
- дисбаланс гормонов;
- ожирение, сахарный диабет;
- гипо-, авитаминоз;
- несоблюдение правил интимной гигиены;
- заражение папилломавирусной инфекцией;
- травмы половых органов.
Особенно опасными перечисленные факторы становятся для пациенток менопаузального периода и женщин старше 40 лет.
Некоторые специалисты рассматривают лейкоплакию как психосоматическую патологию, которая возникает на фоне целого комплекса психоэмоциональных расстройств (недовольство собой и другими людьми, недоверие к родственникам и близким, завышенные требования к себе и пр.).
Также воздействие вышеуказанных факторов может стать причиной развития лейкоплакии вульвы у ребенка. Поэтому регулярные профилактические обследования в детском возрасте играют особую роль.
Диагностика склеротического лишая
Диагноз лейкоплакия вульвы ставится врачом на основании имеющейся симптоматики, жалоб пациентки и результатов клинических исследований. Для диагностики склеротического лишая могут использоваться следующие аппаратные и лабораторные методы:
- Гинекологический осмотр. В ходе обследования и пальпации врач обнаруживает наличие белых ороговевших пятен на слизистых и эпителии.
- Кольпоскопия (вульвоскопия). Проводится для выявления атипичных клеток, свидетельствующих о трансформации пораженных тканей в злокачественное образование.
- Анализ влагалищного мазка. Позволяет выявить состояние влагалищной микрофлоры и определить наличие патогенных микроорганизмов вульвы.
- Проба Шиллера. Заключается в окрашивании воспаленных кожных пятен, что позволяет лучше визуализировать очаги лейкоплакии.
- Биопсия тканей вульвы. Наиболее эффективная диагностическая методика, которая в 100% случаях позволяет поставить точный диагноз.
На основании полученных сведений врач определяет форму лишая и учитывая состояние здоровья пациентки, разрабатывает индивидуальную программу терапевтического воздействия.
Как лечить лейкоплакию вульвы
Тактика и схема терапии склеротического лишая зависит от характера и степени изменений слизистых. Лечение лейкоплакии вульвы направлено на предупреждение озлокачествления (малигнизации) бляшек и устранение патологической симптоматики.
На начальных стадиях болезни показано комплексное консервативное лечение, требующее постоянного контроля специалиста и мониторинга его результативности посредством проведения анализов.
При обнаружении атипичных клеток назначается хирургическое вмешательство.
Консервативное лечение склеротического лишая
Консервативная терапия лейкоплакии вульвы требует комплексного подхода. Для достижения стойких и максимальных результатов лечение лишая консервативными методами включает:
- прием медикаментов;
- грамотное выполнение гигиенических мероприятий;
- соблюдение диетического питания;
- проведение физиопроцедур.
Медикаментозная терапия лейкоплакии
Лекарственные препараты для лечения лишая могут назначаться системно и локально. К местным лекарственным средствам, которые используются для устранения патологической симптоматики, относятся:
- противовоспалительные мази;
- антигистаминные препараты;
- гормональные лекарственные средства;
- противозудные кремы;
- антибактериальные препараты.
Если устранить зуд вульвы с помощью наружных медикаментозных средств не удалось, назначается радиоволновая пункция кожи или новокаиновые блокады интимных мест.
К системным медикаментозным препаратам, которые назначаются для терапии лейкоплакии вульвы, относятся антибактериальные и противовоспалительные лекарственные средства в виде инъекций или таблеток. Они принимаются при вторичном инфицировании или выраженном воспалении.
Для улучшения состояния слизистых и укрепления организма показан прием минеральных и витаминных комплексов. При необходимости применяются средства для коррекции иммунной системы.
Женщинам с психоневрологическими расстройствами назначаются антидепрессанты, седативные препараты и транквилизаторы, а также занятия по психокоррекции.
Гигиенические мероприятия
На протяжении терапевтического курса пациентке следует придерживаться ряда правил:
- не пользоваться синтетическим, облегающим бельем;
- избегать перегреваний;
- не находиться длительное время на солнце;
- не использовать пересушивающие кожу антисептические растворы и мыла для подмывания (предпочтение лучше отдать травяным отварам и кипяченой воде с содой);
- не спринцеваться;
- воздержаться от применения синтетических гигиенических средств (тампонов, прокладок и пр.).
Диета при лейкоплакии вульвы
Питание при склеротическом лишае заключается в исключении из рациона спиртных напитков, жирных, острых блюд, копченостей, кофе и черного чая. Суточное меню должно включать больше продуктов, насыщенных минералами, витаминами и питательными микроэлементами (крупы, молочные изделия, нежирные сорта мяса).
Физиотерапия
Для десенсибилизирующего и противовоспалительного эффекта при лечении лейкоплакии вульвы могут проводиться такие физиотерапевтические процедуры:
- лечебная физкультура;
- бальнеотерапия;
- дарсонвализация;
- чрескожное облучение крови;
- сонофорез;
- магнитофорез;
- лазерофорез;
- радиоволновая терапия;
- модуляция головного мозга;
- фонофорез лекарственных препаратов;
- фотодинамическая терапия (ФДТ) лейкоплакии вульвы.
Физиопроцедуры назначаются в дополнение к медикаментозному или хирургическому лечению, что позволяет достичь более стойких терапевтических результатов.
Хирургическое лечение склеротического лишая
Операция при лейкоплакии вульвы назначается при неэффективности консервативной терапии, тяжелой степени болезни и при обнаружении признаков озлокачествления тканей вульвы. Для удаления очагов лейкоплакии могут использоваться следующие деструктивные методы:
- криодеструкция участков лейкокератоза;
- лечение лейкоплакии вульвы лазером;
- деструкция патологически измененных клеток радионожом;
- хирургическое иссечение очагов лейкоплакии (с помощью скальпеля);
- экстирпация вульвы (назначается при озлокачествлении лейкоплакии).
При перерождении очагов лейкоплакии в раковую опухоль после операции показан курс радиолучевой терапии.
Все пациентки с лейкоплакией становятся на диспансерный учет к гинекологу или онкологу (в случае обнаружения злокачественных поражений).
Лейкоплакия шейки вульвы и беременность
Нередко склеротический лишай развивается во время гестации.
Грамотно подобранное и своевременно начатое лечение позволяет достичь стабильного состояния слизистых вульвы и избежать прогрессирования симптомов патологии во время вынашивания. В подобном случае женщина может родить естественным путем.
При истонченности и выраженной сухости кожи вульвы, а также наличии обширных очагов воспаления, долго незаживающих трещин и изъязвлений рекомендуется проведение кесарева сечения.
Профилактика и прогноз при лейкоплакии вульвы
Прогнозы при склеротическом лишае зависят от формы и тяжести очагов лейкоплакии. При своевременной и грамотной терапии возможно полное излечение от патологии.
Профилактика лейкоплакии вульвы подразумевает соблюдение следующих рекомендаций:
- своевременное выявление и терапия инфекционных, воспалительных патологий;
- регулярное обследование у гинеколога, эндокринолога не менее раза в пол года;
- лечение любых гормональных расстройств;
- соблюдение полноценного и правильного питания;
- отказ от приема алкоголя и табакокурения;
- ведение активного способа жизни;
- избегание стрессов, психоэмоциональных расстройств и нагрузок;
- соблюдение интимной гигиены;
- ношение качественного, натурального белья.
При обнаружении первых симптомов лейкоплакии вульвы следует обратиться к гинекологу. После проведения ряда аппаратных и лабораторных исследований врач определит стадию болезни и подберет наиболее эффективную тактику терапевтического воздействия.
Количество прочтений: 27.04.2018
Источник:
Что такое лейкоплакия вульвы у женщин, и как ее лечить?

Женщины в периоде климакса все чаще встречаются с диагнозом лейкоплакии вульвы. Заболевание наружных половых органов характеризуется огрублением поверхностных слоев области гениталий, образованием несмываемых белых пятнышек. Среди молодых девушек лейкоплакию также можно встретить, но это намного реже. Гинекологи отмечают омоложение болезни, т. е.
с каждым годом все чаще с такой проблемой обращаются более молодые женщины. Лейкоплакия наружных половых органов у женщин считается предраковым заболеванием. Но некоторые специалисты отмечают частое сочетание лейкоплакии с несколько похожей патологией — крауроз вульвы (сморщивание).
Почему появляется болезнь и как вылечить лейкоплакию вульвы?
Причины и симптомы лейкоплакии вульвы
Достоверной причины возникновения лейкоплакии нет. Предполагается, что это следствие хронических воспалительных процессов половой системы, нарушения метаболизма и иммунитета. Выделен ряд предрасполагающих факторов:
- Недоразвитие шейки матки;
- Генитальный герпес;
- Короткий репродуктивный период;
- Травматизация слизистой;
- Недостаток витамина, А;
- Сахарный диабет;
- Возраст >40 лет;
- Вредные привычки.
Психиатры настаивают на психосоматической этиологии заболевания. Специалисты выделяют следующие психические нарушения, которые способствуют появлению лейкоплакии:
- Глубокое недоверие к родственникам;
- Внутреннее угнетение или депрессия;
- Повышенная требовательность к близким и себе;
- Неудовлетворенность в действиях окружающих женщину людей.
Также одной из главных причин крауроза, как еще называется патология, является пониженная выработка женского полового гормона. Дефицит эстрогена провоцирует гипертрофию эпителия, что может перейти в лейкоплакию половых губ.

Существует форма, при которой женщина не испытывает никаких неприятных ощущений (скрытая форма лейкоплакии). Тем не менее, пятна на половых губах и клиторе есть. Они немного возвышаются над уровнем слизистой или кожи и имеют белый или серовато-белый цвет (в зависимости от времени с момента образования).
Если женщина не обращается к специалисту или назначает самолечение, которое не приносит результатов, все образовавшиеся бляшки начинают сливаться.
Если мелкие очаги с трудом, но можно удалить тампоном, то сливные пятна не исчезают при обработке наружных половых органов.
Среди жалоб при посещении гинеколога могут быть:
- Жжение и зуд. Они присутствуют постоянно, усиливаются во время полового акта, после мочеиспускания и ночью;
- Ощущения онемения и покалывания;
- Мацерация кожи и слизистых (расчесы);
- При запущенных процессах — эрозии и трещины;
- Присоединение вторичной инфекции (воспаления).
Важно. Женщинам не стоит, исходя только из симптомов, придумывать лечение лейкоплакии, похожие признаки могут быть и у других заболевание, которые лечатся другими препаратами.
Способы диагностики
Диагностика проводится в 2 способа:
- Осмотр акушера-гинеколога при помощи зеркал.
- Кольпоскопия.
Дополнительным подтверждающим диагностическим критерием является проба Шиллера (окрашивание специальным средством наружных половых органов для визуализации очагов поражения). Для исключения рака используется биопсия.
Как лечить лейкоплакию наружных половых органов: мази, физиопроцедуры, хирургическое вмешательство
Прежде чем начинать лечение лейкоплакии или крауроза наружных половых органов женщине придется несколько поменять образ жизни и придерживаться следующих рекомендаций:
- Отказ от горячего душа и ванны;
- Использовать нижнее белье только из натуральных тканей;
- Не подмываться мылом, которое сушит кожу и слизистые;
- На время лечения обеспечить максимальный доступ кислорода к проблемным местам;
- Включить в распорядок дня прогулки на свежем воздухе;
- Убрать алкоголь и курение, вредную еду;
- Заниматься лечебной физкультурой.
Далее, после тщательного обследования, при легкой степени болезни назначаются мази с гормонами (преднизолоном). В борьбе с лейкоплакией используются следующие препараты:
- Преднизолон;
- Не конъюгированные эстрогены;
- Андроген.
Дополнительно назначаются, при необходимости, комплексы витаминов, антигистаминные препараты. У женщин с выраженным симптомом зуда — проводят новокаиновые блокады.
Следующий метод, физиотерапевтический, направлен не только на купирование острой фазы, но и поддержание состояния в период ремиссии. Физиотерапия позволяет:
- Снять воспаление в зоне поражения;
- Нормализовать обменные процессы;
- Укрепить иммунную систему;
- Восстановить гормональный и психоэмоциональный фон.
При отсутствии эффекта от вышеуказанных методов пользуется хирургическое лечение. Консервативно — это иссечение патологических участков скальпелем. Но медицина идет вперед и на данный момент используются такие методы оперативного лечения (малоинвазивного):
- Лазерная коагуляция;
- Диатермокоагуляция;
- Криотерапия;
- Химическая коагуляция и др.
На последних стадиях заболевания, когда даже оперативные методы не могут помочь или противопоказаны, проводится экстирпация (удаление) вульвы.
Лечение лейкоплакии вульвы народными средствами
Как и в традиционной медицине, народные средства славятся своим многообразием.
Как лечить лейкоплакию в домашних условиях:
- Травяной отвар. Зарекомендовали себя зверобой и трава календулы. Заваривать их нужно вместе и в одинаковом процентном соотношении. Затем использовать этот отвар при подмывании вместо мыла.
- Свечи. Потребуется масло какао как основа. Затем в него добавляются эфирные масла чайного дерева и можжевельника. В полученную смесь добавляется настойки прополиса и календулы, витамин А.
- Растительные масла. Можно брать любое масло, единственное условие — нерафинированное. Растительное масло увлажняет и питает пораженные участки.
Исходя из отзывов лечение лейкоплакии вульвы народными средствами не универсально, для каждой отдельной женщины необходимо подбирать свои методы.
На самом деле средств бесконечное множество, но какой из них самый лучший определяет только женщина исходя из индивидуальных особенностей организма. Но как быть, если бабушкиным советам представительница прекрасного пола не доверяет, да и гормональная терапия не прельщает?
Как лечить мастит у кормащей матери, и возможно ли его избежать?
О полипах матки и шейки матки читать далее.
https://youtube.com/watch?v=QYUYpruRoYw
Крем Иранский шафран при лейкоплакии
Можно сказать, что в Пекинском научно-исследовательском институте произошел прорыв медицины — получено не гормональное средство, которое в 98% случаев дает 100% устранение лейкоплакии. Набор крема Иранский шафран предусматривает не 1, а 2 средства:
- Лосьон для вымывания (оказывает очищающее и антисептическое действие).
- Биоактивный крем (питает и восстанавливает пораженные зоны).
У средства нет противопоказаний или побочных эффектов. Единственным последствием может быть индивидуальная непереносимость. Для проверки, перед началом регулярного применения, нанести небольшое количество средства на тыльную поверхность кисти и подержать 10 минут. Если в течение суток нет аллергической реакции — крем можно смело использовать.
После острой фазы крем Иранский шафран при лейкоплакии вульвы рекомендуется продолжать использовать в целях профилактики.
Таким образом, лейкоплакия в настоящее время успешно лечится и диагностируется. Выбор метода устранения недуга зависит от степени поражения. Самолечение может быть опасным и привести к не желаемым последствиям, поэтому обязательно нужна консультация специалиста.
На видео о лечении лейкоплакии вульвы у женщин и крауроза методом ФДТ:
Источник:
Лечение лейкоплакии влагалища, что такое вульвоскопия

Лейкоплакия вульвы — это дистрофия ее слизистой оболочки с ороговением поверхностных слоев эпителия. Встречается это заболевание примерно у 6% женщин и является предраковой патологией. Лейкоплакия встречается не только в гинекологии. Такие участки можно обнаружить на слизистой ротовой полости или дыхательных путей.
Этиология
К причинам патологии слизистой влагалища ведут частые воспаления, нарушения гормонального фона, химические воздействия. К возникновению лейкоплакии может привести бесконтрольное применение препаратов, обладающих местным раздражающим действием, длительно существующая эрозия шейки матки.
К дополнительным факторам, провоцирующим развитие болезни, относят заболевания эндокринной системы (сахарный диабет, патология щитовидной железы), травмы, инфицирование вирусом папилломы человека или герпесом 2 типа.
Повышенная выработка эстрогенов может привести к гиперплазии слизистой вульвы и возникновению лейкоплакии.
Классификация
В зависимости от морфологической формы выделяют следующие виды лейкоплакии:
- простая;
- веррукозная (или бородавчатая);
- эрозивная;
- волосатая.
Простая лейкоплакия характеризуется наличием на шейке матки прозрачной пленки, которую невозможно самостоятельно удалить, так как она плотно прилегает к слизистой оболочке.
При осмотре патологические клетки белого цвета, имеют неровные края, поверхность сухая и ребристая. На поверхности образований можно увидеть красные точки.
Жалоб со стороны пациентки нет, обнаруживается патология при осмотре на кресле у гинеколога. При отсутствии лечения лейкоплакия переходит в следующую форму.
При веррукозной лейкоплакии на слизистой влагалища образуются белесоватые бляшки, возвышающиеся над слизистой, или образования с неровной поверхностью в виде бородавок. Такой вариант заболевания встречается чаще, чем простая форма.
Волосатая лейкоплакия вульвы встречается при нарушениях иммунной системы организма, может возникать при ВИЧ-инфекции. При осмотре виден участок влагалища с мелкими ворсинками на поверхности, который внешне напоминает ковер.
Симптоматика
Лейкоплакия может поражать все слизистые отделы половых органов и мочеполовых путей у женщин (половые губы, вульва, влагалище, уретра и слизистые мочевого пузыря, шейка матки).
Заболевание часто протекает бессимптомно и обнаруживается случайно при профилактическом осмотре. При воспалении слизистой вульвы и влагалища появляются выделения с неприятным запахом, зуд во влагалище или при мочеиспускании, которые заставляют обратиться к врачу.
При эрозивной форме появляются кровянистые выделения, половой акт становится болезненным.
Постановка диагноза
Обследование начинается с осмотра на гинекологическом кресле. Лейкоплакия вульвы выявляется при осмотре на зеркалах, при этом видно округлое образование на слизистой вульвы белого цвета. В зависимости от формы лейкоплакии образование может быть покрыто ворсинками или изъязвлено.
При исследовании под увеличительным стеклом (кольпоскопия или вульвоскопия) можно более отчетливо увидеть поверхность образования, провести пробу Шиллера. Проба основана на отсутствии окрашивания патологического участка вульвы при обработке слизистой влагалища раствором Люголя.
Нормальная слизистая при обработке окрасится в коричневый цвет, в то время как участок лейкоплакии останется прежней окраски.

Обязательно берется мазок из влагалища на флору, онкоцитологию, бактериологическое исследование. В общем мазке из влагалища и шейки матки оценивается количество лейкоцитов, выявляются патогенные микроорганизмы, которые видны под микроскопом и не требуют дополнительного посева среды (трихомонады, гонококк, дрожжевые грибы).
Лейкоплакия шейки матки — это еще не рак. Мазок на онкоцитологию позволяет исключить опухолевый процесс.
Лейкоплакия вульвы требует исключения злокачественного процесса во влагалище. Подозрительные участки лейкоплакии исследуются на наличие атипичных клеток путем биопсии и гистологического исследования.
Посев среды влагалища поможет выявить возможных возбудителей и определить их чувствительность к антибактериальной терапии. Дополнительно врач может назначить ПЦР-диагностику на вирус герпеса и цитомегаловирус.
Проводится ультразвуковое исследование яичников и матки для исключения другой патологии.
В анализах крови, как правило, не выявляется каких-либо изменений. При воспалении может быть небольшой лейкоцитоз и повышение СОЭ.
При нарушении менструального цикла может потребоваться сдать кровь на женские половые гормоны, гормоны щитовидной железы, сделать ее ультразвуковое исследование.
При подозрении на сахарный диабет сдается кровь на сахар и гликированный гемоглобин. Тщательно собирается анамнез — не было ли предшествующих травм или приема лекарственных препаратов.
Способы лечения
Лечение лейкоплакии вульвы включает в себя диету, лечебную гимнастику, назначение медикаментозных средств местно и внутрь, по показаниям — оперативное лечение. Перед началом лечения выявляют и устраняют причины, способствующие развитию заболевания.
Необходимо провести коррекцию гормонального фона женщины, назначить противодиабетические препараты, нормализовать функцию щитовидной железы, отменить прием лекарств, способствующих раздражению слизистой.
Рацион питания должен исключать раздражающие продукты, такие как кофе, крепкий чай, острые приправы и специи.
Эти продукты будут только усиливать зуд и жжение вульвы, может возникнуть эрозия. Рекомендуется прием овощей и фруктов, молочных продуктов и каш.
При выявлении воспалительного процесса определяют возбудителя.
Эрозия шейки матки часто вызывается вирусами папилломы человека или герпеса, они чувствительны к назначению препаратов группы интерферона и ацикловиру.
При обнаружении грибов рода Кандида назначают флуконазол или другие антигрибковые препараты. Стрептококки и стафилококки требуют проведения антибактериальной терапии с назначением антибиотиков.
В дополнение к лечению назначаются местные антисептические и противовоспалительные средства, применяемые в виде свечей, тампонов, турунд и орошений влагалища. Антибактериальным действием обладают препараты синтомицин, левомеколь, хлорофиллипт, хлоргексидин. Если выявлена специфическая флора, необходима консультация венеролога.
С противовоспалительной целью применяют мази элидел, банеоцин, тридерм и акридерм. При нарушениях иммунитета рекомендуется прием иммуномодулирующих препаратов, поливитаминных комплексов.
Лейкоплакия вульвы и эрозия шейки матки часто сопровождаются нарушениями менструального цикла, которые лечатся совместно с гинекологом-эндокринологом.
Перед началом терапии сдают кровь на прогестерон, эстрадиол, фолликулостимулирующий и лютеинизирующий гормоны. Если выявлены изменения, назначают гормональную заместительную терапию, препарат подбирается индивидуально для каждой женщины. Местно принимаются гормональные мази: эстриол крем, прогестерон крем и другие.
Оперативное лечение
Радикально вылечить лейкоплакию поможет хирургическое удаление пораженного участка вульвы. Современная гинекология использует для лечения лейкоплакии криодеструкцию, лазерное удаление, диатермокоагуляцию, радиоволновую терапию, электрокоагуляцию, химическую деструкцию. С помощью этих методов лечатся также эрозия и лейкоплакия шейки матки.
- Диатермокоагуляция — это удаление участка лейкоплакии с помощью воздействия токов высокой частоты. До недавних пор это был основной метод лечения лейкоплакии.
- При химической коагуляции используют препараты, прижигающие пораженный эпителий шейки матки. Эта процедура безболезненна, может проводиться в кабинете гинеколога и не требует значительной подготовки пациента. Химический реагент воздействует точечно на участок лейкоплакии, не затрагивая здоровые ткани. Такой метод лечения можно применять у нерожавших женщин, так как после него не остается рубцов.
- Безболезненным современным методом лечения является лазерная коагуляция. Перед началом процедуры участок лейкоплакии окрашивают йодом для определения точных границ коагуляции. Процедуру можно выполнять в амбулаторных условиях, это также один из безопасных современных методов. Во время лазеротерапии не происходит контакта с тканями и кровью, поэтому риск инфицирования минимален. Лазерную коагуляцию можно проводить несколько раз, до полного удаления поврежденного участка.
- Криодеструкция — это удаление очагов лейкоплакии с помощью жидкого азота. Процедура дает положительный результат более чем в 90% случаев. В результате этой процедуры высок риск образования рубцов, поэтому в настоящее время ее применение ограничено.
- При обширном поражении тканей возможно традиционное хирургическое удаление очага с помощью электроножа. Участок лейкоплакии иссекают в пределах здоровой ткани. При этой процедуре высок риск инфицирования раневой поверхности и образования рубцовой ткани в последующем, поэтому такой метод лечения в настоящее время применяется редко.
Лечение народными средствами
Многие женщины используют отвары трав для лечения лейкоплакии. Наибольшей эффективностью обладают зверобой, календула, ромашка и тысячелистник, отварами из которых обмываются наружные половые органы и вульва ежедневно на ночь.
Заживляющим действием обладают масла чайного дерева и можжевельника. К народным методам терапии относят и спринцевания влагалища слабым раствором уксусной эссенции (чайная ложка на 500 мл воды).
Необходимо помнить, что эти методы являются вспомогательными в дополнение к традиционной терапии.
Лейкоплакия и беременность
Иногда патологию вульвы выявляют только во время беременности. Лейкоплакия влагалища при беременности не оказывает отрицательного воздействия на плод, однако при изменении гормонального фона женщины возрастает риск злокачественного перерождения патологического образования. Именно поэтому врачи рекомендуют готовиться к беременности заранее и пройти необходимое обследование.

Современная гинекология предлагает множество способов лечения лейкоплакии вульвы. Начинают лечение с медикаментозных методов, и только в случае обширного поражения, неэффективности консервативной терапии и угрозе перерождения клеток в злокачественные применяют оперативные способы.
Источник:
