Лечение лейкоплакии мочевого пузыря

Лейкоплакия мочевого пузыря — патология органа, связанная с перерождением переходного эпителиального слоя в плоский, что приводит к формированию омертвевших зон слизистой. В итоге оболочка органа не справляется с функцией защиты, и раздражающие компоненты урины приводят к постоянным воспалительным процессам.
С этой проблемой чаще всего сталкиваются женщины, ведь в силу укороченного канала мочевик постоянно подвержен атакам бактерий. В лечении лейкоплакии мочевого пузыря Москва посодействуют опытные урологи частной клиники «АВС». Специалисты проведут корректную диагностику и назначат эффективные препараты в борьбе с недугом.
- 672 пациента прошли процедуру лечения лейкоплакии мочевого пузыря в нашей клинике. 19 из них пришли из других клиник потому, что там им не смогли помочь. Мы проводим лечение по методике, разработанной в нашей клинике.
- Врачи клиники АВС не просто проводят лечение, но и единственная в России клиника со своей авторской программой.
Запишитесь на прием по телефону
+7 (495) 021-12-26 или заполнив форму online
Администратор свяжется с Вами для подтверждения записи.
Конфиденциальность Вашего обращения гарантирована.
Цены на лечение лейкоплакии мочевого пузыря
Стоимость услуг
| Прием хирурга уролога-андролога | 1500 рублей |
| Прием по результатам лабораторных исследований с назначением лечения | 1810 рублей |
| Программа «Лечение лейкоплакии мочевого пузыря» | 23280 рублей |
| Анестезия аппликационная (местная) для женщин | 3000 рублей |
| Анестезия общая для мужчин | 12500 рублей |
| Биопсия мочевого пузыря | 5500 рублей |
| Гистологическое исследование биопсийного материала и материала; полученного при хирургическом вмешательстве | 2050 рублей |
- Сбор анамнеза, назначение эффективного лечения
- Антибактериальная терапия препаратами нового поколения
- Иммуномодулирующие препараты
- Мы лечим заболевание, а не симптомы. Мы диагностируем и лечим причину заболевания
Виды лейкоплакии мочевого пузыря
Существуют различные формы недуга. Они определяются местом локализации патологии, стадией заболевания и типом повреждения слизистой. Правильная их классификация необходима для положительного исхода лечения.
С учетом локализации процесса:
- Лейкоплакия шейки мочевого пузыря. Встречается чаще всего. Характеризуется резкой болью и жжением.
- Повреждение тела органа.
На первой стадии заболевания наблюдается очаговая трансформация эпителия в плоский. На втором этапе развивается плоскоклеточная метаплазия. Третья фаза — самая серьезная. Наступает кератинизация участков слизистой, которые были повреждены. Оболочка теряет свою эластичность и нарушается функция опорожнения.
В зависимости от формы проявления различают следующие варианты недуга:
- плоская, которая характеризуется помутнением эпителия в отдельных местах (по мере ороговения клеток очаги становятся перламутровыми и приобретают рельефность);
- бородавчатая, когда очаг воспалительного процесса имеет четкий контур, — он может заступить на участок с плоской формой лейкоплакии, сформировав бугорок;
- эрозийная — на слизистой появляются следы от эрозии в виде бороздок и трещин.
Серьезность повреждения эпителиального слоя мочевика характеризуется отмиранием клеток и кератинизацией поврежденных участков. Подобная форма метоплазии встречается не так часто — всего 1 случай на 10 тысяч заболеваний.
Причины развития недуга
Лейкоплакия возникает преимущественно у женщин из-за короткого полового канала, который в свою очередь способствует быстрому проникновению венерических инфекций — уреоплазмы, хламидиоза, трихомониаза, гонореи и некоторых других. Очень часто к воспалительному процессу слизистой мочевика приводит папиллома-вирус или по-другому герпевирусная инфекция, причем она может передаться по лимфе через кровь.

Нередки случаи, когда гематогенным способом в мочевой пузырь попадали стафилоккоки, стрептоккоки, кишечная палочка и другие чужеродные организмы. Встречаются и удаленные причины проблем с эпителием. К ним относят кариозные зубы, тонзиллит и гайморит.
Существует ряд факторов, способствующих развитию лейкоплакии. Среди них:
- ослабление иммунитета;
- перемерзание;
- стресс и депрессия;
- интим без барьерной контрацепции;
- проблемы с функционированием эндокринной системы;
- длительное ношение внутриматочной спирали;
- неправильный режим сна и отдыха;
- другие патологии мочеполовой системы.
Следует заметить, что проблемы с делением клеток эпителия мочевика не относят к онкологии, поскольку вероятность перерасти в раковые клетки крайне мала.
Симптомы лейкоплакии мочевого пузыря
Симтоматика недуга сильно напоминает признаки воспалительного процесса органов малого таза или цистит. Но в большинстве случаев наблюдаются проблемы с самим мочеиспусканием:
- внезапно появляется желание сходить в туалет по маленькому, причем подобные явления возникают ночью;
- фиксируются боли внизу брюшины, когда мочевик переполнен;
- после мочеиспускания наступает жжение, вы не можете полностью опорожнить пузырь, струя при мочеиспускании сбивается;
- вы быстро утомляетесь и чувствуете слабость.
На почве возникнувшей проблемы у вас наблюдается дискомфорт. Очень часто при обострениях встречается частое мочеиспускание и боли во время опорожнения.
Если неправильно провести диагностику, можно спутать заболевание с циститом.
Как показывает врачебная практика, из-за отсутствия расширенного исследования многие женщины в других клиниках безуспешно лечились от хронического цистита, хотя на самом деле у них была лейкоплакия.
Затягивать с лечением заболевания эпителия органа, отвечающего за накопление и испускание мочи, крайне нежелательно. Из-за постоянных воспалительных процессов стенки мочевого пузыря теряют свою эластичность, как следствие — сам орган перестает в полной мере выполнять свою накопительную функцию. Уже через 20-30 минут моча начинает подтекать.
На фоне воспаления может развиться почечная недостаточность, приводящая к летальному исходу. Кроме того, если вовремя не лечить недуг, который является предраковым состоянием, можно заработать онкологию.
Диагностика лейкоплакии мочевого пузыря
Узконаправленные специалисты клиники «АВС» в Москве проведут корректное исследование мочевика и его содержимого для постановки правильного диагноза.
Будут назначены только те анализы, которые характерны для каждого конкретного случая. Если у вас есть уже готовые анализы и медицинские заключения — врачи «Клиники АВС» предлагают их взять с собой. Это поможет вам сэкономить деньги и ускорить процесс определение диагноза и назначения эффективного лечения.
задача диагностики — подтвердить поставленный диагноз, определить степень болезни и площадь поражений, а также исключить образование злокачественных клеток и правильно назначить лечение.
Лечение лейкоплакии шейки мочевого пузыря
В зависимости от фазы заболевания и степени поражения органа уролог клиники «АВС» в Москве назначит определенное лечение. В большинстве случаев устранению патологии способствуют медикаменты. В самых запущенных ситуациях потребуется хирургическое вмешательство.
Если возбудителем недуга стали бактерии, то определяют их тип и назначают антибиотики в комплексе с противовоспалительными препаратами и иммуномодуляторами.
При выявлении раздражающего воздействия уретры на стенки мочевика делают промывание специальными средствами. Положительно зарекомендовали себя физиопроцедуры, такие как: лазерное воздействие, электрофорез и магнитотерапия.
Они прекрасно купируют воспаление слизистой и способствуют лучшему обновлению эпителия.
Коагуляция пораженных островков слизистой лазером имеет ряд преимуществ:
- высокая точность обработки — прибор воздействует только на омертвевшие клетки;
- отсутствие осложнений, в частности возникновения кровотечения;
- быстрое восстановление, поскольку раневая поверхность невысокая (в течение 1 месяца);
- гибель инфекционного агента, за счет термического воздействия на ткани;
- позволяет избежать рецидивов (в 96% случаев).
К хирургическому вмешательству прибегают, когда консервативное лечение не увенчалось успехом и у врача возникло подозрение на формирование карциномы. В большинстве случаев делают частичное удаление пораженных тканей органа. Операция называется ТУР и проводится при помощи цистоскопа. Но если зафиксировано сморщивание и прогресс заболевания, то придется удалять мочевой пузырь полностью.
Диета при лейкоплакии
Придерживаться строгой диеты во время лейкоплакии крайне необходимо, ведь требуется исключить раздражающее воздействие острой, соленой, копченой и жирной пищи на эпителий. Еда должна быть отваренной или приготовленной на пару (можно использовать мультиварку).
Важно соблюдать кратность приема пищи. Разделите питание на 6-7 приемов, что будет способствовать более быстрому усвоению пищи. Постарайтесь больше употреблять фруктов, овощей, зелени. Пойдет на пользу молочная продукция, нежирное мясо и рыба.

Категорически противопоказано кушать пряную пищу и блюда, содержащие большое количество соли. Исключают алкоголь, сладости, кофе и крепкий чай.
Не забывайте о том, что нужно уделить особое внимание своему питью. Пейте как можно больше, ведь жидкость способствует выведению инфекции из организма. Если начать ограничивать себя в питье, то вы, сами того не подозревая, будете создавать благоприятные условия для размножения патогенной флоры.
В жидкость рекомендуется включать клюквенно-брусничные морсы и сваренные из свежих ягод компоты. Показаны различные чаи на травах и минералка, не содержащая пузырьков газа.
Профилактические меры
Урологи предупреждают, что лейкоплакия — серьезное заболевание, которое приводит к нарушению функций мочевого пузыря, почек и даже онкологии. Все эти проблемы сказываются на качестве жизни пациента, а иногда могут привести к летальному исходу.
Предотвратить развитие недуга можно, соблюдая ряд мероприятий. Профилактика заключается в следующем:
- избегать переохлаждения;
- вовремя лечить инфекции половых органов и использовать барьерные контрацептивы;
- укрепить защитные силы организма приемом витаминов и сбалансированным питанием;
- в случае возникновения симптомов недуга, своевременно обращаться к специалистам за помощью.
Таким образом, для успешного лечения лейкоплакии понадобится качественная диагностика, позволяющая отличить заболевание от цистита и определить степень поражения мочевого пузыря.
После постановки правильного диагноза специалист назначит консервативное лечение и ряд физиопроцедур.
В самых серьезных случаях прибегают к проведению операции — трансуретральной резекции, когда отсекаются омертвевшие ткани.
Первоисточник медцентр «Клиника ABC»
Запишитесь на прием по телефону
+7 (495) 021-12-26 или заполнив форму online
Администратор свяжется с Вами для подтверждения записи.
Конфиденциальность Вашего обращения гарантирована.
Источник:
Лейкоплакия мочевого пузыря

Лейкоплакия мочевыводящих путей представляет собой плоскоклеточную метаплазию уротелия. Иными словами – это доброкачественные изменения в эпителии внутренних органов, как следствие защитной реакции организма человека на неблагоприятные факторы. Заболевание можно описать другим термином – кератинизация – процесс отмирания, ороговения и отшелушивания эпителиальных клеток.
Почему важно лечить лейкоплакию мочевого пузыря прямо сейчас
Лейкоплакия – это хроническое заболевание, патологический процесс замещения ороговевшими чешуйками эпителия. Вследствие стенки внутреннего органа теряют способность защититься от агрессивных компонентов выделяемой почками жидкости.
Лейкоплакия мочевого пузыря у женщин диагностируется гораздо чаще, чем у мужчин. На начальных этапах заболевания лечение легкое, не продолжительное, а на более поздних происходит поражение шейки мочевого пузыря, что утрудняет процесс восстановления.
Причины возникновения заболевания
причина лейкоплакии – инфекция. Наиболее часто поражение происходит болезнетворными микробами герпеса, гонококка, хламидии.
Другой причиной является проникновение кишечной палочки через матку и ее придатки, кишечник.
Болезнь может попасть в организм вследствие:
- незащищенного полового акта с разными партнерами;
- гормонального сбоя, например, при наличии повышенного количества эстрогенов;
- возникновения очага инфекции;
- злоупотребления курением;
- снижения общего иммунитета;
- постоянного стресса;
- наличия папилломавируса;
- дисфункции яичников;
- аномального развития органов мочевыводящей системы.
Симптомы проявления болезни
Лейкоплакия мочевого пузыря по симптоматике имеет сходства с циститом.
Часто, сам врач может перепутать эти заболевания и лечить от цистита, пока настоящая болезнь прогрессирует, переходя на хроническую стадию, во время которой происходит поражение лейкоплакией шейки мочевого пузыря.
Поэтому важно не только вовремя заметить симптомы, но и не спутать болезни, обратиться к хорошему специалисту за полноценной диагностикой.

Наиболее частыми признаками лейкоплакии являются:
- многочисленный позыв к опорожнению, который протекает остро, в ночной период;
- наличие тянущихся болей внизу живота при заполненном мочевом пузыре;
- болезненное жжение после мочеиспускания, остаток жидкости в органе;
- быстрая утомляемость при малоподвижной работе, частая слабость, апатия.
Симптомы лейкоплакии шейки мочевого пузыря совместимы с гематурией (наличием крови в моче) в одной трети случаев, дизурией (затрудненное, болезненное мочеиспускание), ноктурией (ночной позыв, чаще 1 раза за ночь), таким образом имитируя цистит.
Методы диагностики наличия болезни
Лейкоплакия – заболевание, которое на сегодняшний день изучено недостаточно, и методик лечения пока не так много. Обследование необходимо начать, посетив врача-гинеколога, подробно рассказав о симптомах и ощущениях. После сбора анамнеза может возникнуть потребность в проведении обследования, во время которого происходит:
- взятие мазка из эндоцервикса;
- УЗИ органов малого таза и почек;
- сбор результатов общего анализа мочи на наличие слизи, песка, крови, мелких частиц, повышенного или пониженного уровня компонентов;
- соскреб и сбор микрофлоры, мазки на диагностику заболеваний, передающихся половым путем;
- осмотр внутренней поверхности органа с помощью эндоскопа;
- проведение биопсии, взятие тканей со стенки органа;
- макроскопически можно увидеть белые пятна, похожие на налет;
- с помощью рентгенографии можно заметить утолщение слизистой мочевого пузыря и множественные дефекты наполнения.
Во время цистоскопии с помощью эндоскопа и камеры на нем можно увидеть полость органа, который беспокоит, а также определить возможное наличие бляшек, спаек, взять ткани на анализ лейкоплакии.
Лечение лейкоплакии шейки мочевого пузыря и всего органа
Существует несколько способов избавления от лейкоплакии. Это терапевтический, физиотерапевтический и хирургический методы. Каждый из них имеет свои рекомендации, показания и противопоказания к назначению.
Лечение лейкоплакии мочевого пузыря расписывается по схеме после полной диагностики, выбирается оптимальный вариант избавления от болезни.
Как лечить терапевтическим способом
Методика назначается после выявления причины заболевания. Выписываются необходимые препараты, которые способствуют избавлению от бактерий и инфекций, негативно влияющих на микрофлору. Также врач-терапевт может прописать средства, которые укрепят иммунную систему и организм в целом, а также снимут воспалительный процесс.
Если стенки органа из-за влияния агрессивных компонентов мочи были повреждены, могут быть рекомендованы орошающие растворы.
Физиотерапевтический способ
К физиотерапевтическим методам лечения относится использование:
- магнитотерапии – применение магнитных полей к области локализации хронической болезни;
- лазеротерапии – использование световой энергии лазерного излучения;
- электрофореза – лечение с помощью слабого электрического тока.
С помощью специального медицинского оборудования можно устранить воспаление, обновить пораженные клетки органа, а лечение лазером эффективное и практически безболезненное. Прижигания лейкоплакии предотвращает возможность рецидива.
Хирургический способ
При лейкоплакии часто используют терапевтический и физиотерапевтический вариант лечения, хирургическое вмешательство происходит редко, на поздних, запущенных стадиях болезни при подозрении на возможность появления онкологической опухоли.
Операция лейкоплакии происходит с помощью цистоскопа с фибероптикой и камерой. ТУР мочевого пузыря проходит через введения цистоскопа в уретру и в полость органа, затем происходит отсечение патологической ткани с использованием петли, сохраняя целостность органа.
Осложнения во время заболевания
Примерно у 10-15 % больных с лейкоплакией наблюдается появление карциномы – злокачественной опухоли, образовавшейся из эпителиальных тканей. Чаще всего, это случается из-за несвоевременного диагностирования.
Практически во всех случаях на поздней стадии происходит диспареуния, характеризующаяся болезненными ощущениями при половом контакте, что исключает возможность его проведения.
Также после полового контакта симптомы лейкоплакии могут ухудшиться.

У мужчин с лейкоплактией происходит эректильная дисфункция, характеризующаяся невозможностью достижения и поддержки эрекции.
Практически во всех случаях врач выявляет фоновую рецидивирующую инфекцию органов мочеполовой системы, что означает замещение функциональной ткани на фиброзную. Этот процесс способен нарушить адекватное выделение мочи, появляется нейрогенная дисфункция.
Осложнение приводит к наличию остаточной мочи, не выделяющейся из организма, из-за чего возникает рефлюкс – обратное движение жидкости – и пиелонефрит – воспалительно-бактериальное заболевание почек. При этом хроническая почечная недостаточность возникает у 25 % пациентов.
Также может произойти микроцист, при котором уменьшается емкость органа, вследствие чего начинаются частые позывы к мочеиспусканию, атрофия мышц органов.
Лейкоплакия считается предраковым состоянием. В 25 % случаев имеется связь с неоплазией мочевого пузыря – возникновения и развития новой, опухолевой ткани.
Диета при лечении заболевания
Натуральные продукты не только укрепляют организм, но и ускоряют процесс лечения. Для того чтобы быстрее восстановится, рекомендуется включить в своей рацион такие продукты:
- ягоды и фрукты, например, бананы, апельсины, отвар шиповника;
- зелень, овощи;
- кашу из разных круп, отруби;
- морепродукты, мясо рыбы, печень крупных рогатых животных;
- зеленые чаи, отвары из рябины способствуют предотвращению возникновения опухолей.
Правила питания при заболеваниях лейкоплакией
Рекомендуется совмещать вместе свежие овощи и кисломолочные продукты для их лучшего усвоения, употреблять полезные жирные кислоты, восстанавливающие организм.
Противопоказано употребление продуктов, содержащих большое количество соли и задерживающие жидкость в организме.
Также запрещены газированные напитки, провоцирующие неадекватное деление клеток, кофе, соки из магазинов.
Жареный, тяжелый гарнир лучше заменить на более легкий и полезный, исключить из рациона жирное и красное мясо, рыбу, а также сладкое, включая сдобу, которая может спровоцировать нежелательную реакцию организма.
Народные средства при лечении
На сегодняшний день многие пациенты обращаются к проверенным домашним методам, которые хоть и не способны вылечить болезнь, но улучшат самочувствие и станут дополнением к назначенной терапии:
- спринцевание отваром ромашки помогает обеззаразить и быстрее заживить пораженный участок;
- тампоны, смоченные в масле шиповника или облепихи, уменьшат зуд при наличии пораженных областей матки при лейкоплакии шейки мочевого пузыря у женщин;
- использование гусиного жира или кокосового, пальмового масла избавит от жжения при мочеиспускании;
- употребление парного молока с половиной чайной ложки соды укрепит организм при поражении мочевыводящих органов.
Профилактика заболевания
Избежать возникновения неприятного недуга помогут достаточно простые меры предосторожности. В первую очередь, следует уклониться от частой смены половых партнеров, и тем более незащищенного полового акта с ними. Данная рекомендация предотвратит появление не только лейкоплакии, но и других более серьезных болезней, включая вирус иммунодефицита человека.
Также необходимо вовремя обнаруживать инфекционные заболевания мочеполовой системы, своевременно устранять их, следить за личной гигиеной. Укрепленный иммунитет и регулярное занятия спортом поспособствует защите от инфекций. К тому же, важно не допускать перегрева или переохлаждения в областях нахождения органов малого таза.
Как протекает заболевание при беременности
Наличие болезни при беременности еще не изучено в полной мере, и обычно первая стадия начинается еще до зачатия. У 50 % пациенток выявляется вирус папилломы человека, изменение гормонального фона, области шейки матки. При беременности заболевание сопровождается эрозиями и псевдоэрозиями, общим снижением иммунитета.
Обычно выявляется у женщины до планирования беременности и удаление лейкоплакии происходит вовремя. Повышенный уровень эстрогенов в период вынашивания ухудшает состояние матери и негативно сказывается на течении болезни. Лечение лейкоплакии мочевого пузыря у женщин, которые вынашивают плод, не вредит здоровью малыша.
Сколько стоит лечение при лейкоплакии
Цена на устранение недуга с помощью хирургического вмешательства зависит от стадии заболевания, а также от способа оперирования. Так, лапароскопия, отличающаяся быстрым процессом избавления от болезни с помощью небольших проколов без разреза, 3-4 маленьких точки, пребывание в клинике до 1-й недели и минимальные болезненные ощущения обойдутся суммой от 15 тысяч рублей.
Дополнительные обследования, например, УЗИ до и после операции, начинаются от 300 рублей за процедуру диагностики. Отзывы касательно лейкоплакии мочевого пузыря можно посмотреть на сайте.
| Наименования исследования | Стоимость 1 процедуры в среднем |
| Комплексное УЗИ органов мочеполовой системы | 2100 рублей2500 рублей у ведущего специалиста |
| Микционное УЗИ органов мочеполовой системы | 2500 рублей3000 рублей у ведущего специалиста |
| Взятие мазка на флору, ПЦР-анализ, онкоцитология | 300 рублей |
| ТУР мочевого пузыря | От 7000 рублей. |
| Лапароскопия мочевого пузыря | От 15 000 рублей |
| Лазерная коагуляция лейкоплакии | От 1500 рублей за 1 см. |
Вопрос: поставили диагноз, лейкоплакия в треугольнике Льето, беспокоит жжение и боль. Помимо оперативного вмешательства возможно консервативное лечение?
Ответ: проблему заболевания такого характера можно устранить только хирургическим путем, ТУР лейкоплакии. Это дает гарантию предотвращения появления рецидива, в отличие от консервативного лечения. ТУР полностью удаляет поражение, восстановление после операции длится примерно 4 месяца.
Вопрос: обнаружили острый геморрагический цистит, после цистоскопии нашли лейкоплакию. После – операция ТУР, цистит не проходит. Подскажите, это период восстановления либо другая причина?
Ответ: необходимо провести исследования посева мочи на флору, вылечить инфекцию, которую диагностируют по результатам, а также восстановить слизистую с помощью введения внутрь специального раствора.
Источник:
Лейкоплакия мочевого пузыря у женщин, мужчин. Что это такое, симптомы, лечение народными средствами, лазером, антибиотиками

Лейкоплакия мочевого пузыря (код МКБ-10 – N32) относится к одному из редких заболеваний, которое развивается из-за хронизации воспаления слизистой органа. Диагностика данной болезни очень сложна.
Чаще всего это заболевание встречается у женского пола.
При лейкоплакиях у мочевого пузыря поражается слизистая оболочка, вследствие чего осуществляется замена переходного эпителия на многослойный плоский.
За счет того, что появляются участки с огрубением, нарушаются функциональные способности органа.
Внимание! Но страшнее то, что болезнь считается предраковым состоянием, так как нередко на месте пораженных областей возникают бляшки ракового типа.
Можно ли вылечить данное заболевание и какие методы применяются?
Стадии и степени
Механизм развития данного нарушения заключается в следующем:
- Распространение урогенитальной инфекции в мочевой пузырь.
- Образование дистрофических повреждений, отек и ухудшение микроциркуляции в уротелии.
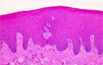
Лейкоплакия мочевого пузыря
- Разрушение гликозоаминогликанового слоя, представляющего собой мукополисахаридную субстанцию, в результате длительного воздействия микроорганизмов. Этот слой играет защитную роль, препятствуя адгезии (прилипанию и внедрению) микроорганизмов.
- Разобщение и шелушение клеток поверхностного слоя.
- Замещение клеток, выстилающих стенки мочевого пузыря, на многослойный плоский эпителий. Дальнейшее течение процесса происходит вне зависимости от наличия инфекции и проведенной антибактериальной терапии.
- Нарушение гликогенообразования, начало процесса ороговения – формирование рогового вещества из кератина, развитие подслизистого фиброза различной выраженности.
- Увеличение проницаемости эпителия по отношению к моче, невозможность его адаптации к физиологическому растяжению мочевого пузыря при наполнении.
- Проникновение солей мочи (особенно соединений калия) в слизистый и подслизистый слой.
- Уменьшение электроотрицательности нервных клеток, повышение их чувствительности и возбудимости, возникновение боли разной степени интенсивности.
- Формирование стойкой дизурии – учащенного мочеиспускания, сопровождающегося болью. Патология переходит в длительную, рецидивирующую стадию.
- Изменения в подслизистом слое, сопутствующий венозный застой приводят к гипоксии в тканях и могут вызвать возникновение мелких кровоизлияний и участков некроза.
Секс при лейкоплакии мочевого пузыря
При воспалении уроэпителия мочевого пузыря недостаточно просто принимать медикаменты и ходить на медицинские процедуры. Специалисты советуют на весь период терапии отказаться от половых контактов. Конечно, ограничения в сексе при лейкоплакии стенок мочевого пузыря не настолько принципиальны, как при поражении шейки матки, тем не менее необходимы для повышения эффективности терапии.

Интимная жизнь может затянуть лечение и спровоцировать очередной рецидив при занесении новой порции микробов в полость. Тем более опасно заниматься сексом после операции. Поэтому лучше прекратить интимное общение с партнером до полного выздоровления или в крайнем случае использовать презерватив.
Симптомы
Лейкоплакия мочевого пузыря у женщин сопровождается следующими признаками:
- хроническая боль в области мочевого пузыря, над лоном, в промежности, в мочеиспускательном канале, в малом тазу;
- учащенное мочеиспускание до 14 раз в сутки;
- сильные, непреодолимые ложные позывы к мочеиспусканию в период ремиссии;
- инфекции мочевыводящей системы в детском возрасте;
- ненормальное расположение отверстия мочеиспускательного канала, вход в уретру открывается очень близко к влагалищу;
- болезненность во время полового акта;
- уретрогименальные спайки;
- усиление симптомов после начала половой жизни, каждого сексуального контакта и после смены партнера;
- после лечения антибиотиками наступает облегчение, но оно длится недолго;
- в общем анализе мочи и бакпосеве – незначительные патологические изменения или они вообще отсутствуют.
Особенности заболевания при беременности
Любая патология мочевого пузыря — нежелательное явление в период беременности. Если болезнь спровоцировали трихомонады, хламидии, вирус папилломы, то возможен самопроизвольный аборт либо аномалии развития плода. Вторая половина гестации в этом случае также протекает тяжело — возможны преждевременные роды.
Для лечения в этот период используют только антибактериальную терапию. Комплексное лечение проводят после рождения ребенка либо по окончании грудного вскармливания.
Болезнь, обнаруженная после зачатия, не приведет к патологии у малыша. В большинстве случаев рождаются здоровые дети.
Причины появления
Причинным фактором заболевания являются инфекционные патологии.
Наиболее распространенными возбудителями служат следующие:
- уреаплазмы (38% случаев);
- хламидии (11% пациенток);
- гонококки;
- микоплазмы (28% больных);
- трихомонады (обнаруживаются у четверти пациенток);
- гарднереллы;
- вирус простого герпеса;
- вирус папилломы человека.
Отмечаются также случаи микст-инфекции, когда происходит поражение двумя и более возбудителями. Вирусологическая диагностика не входит в стандартное обследование, однако применение противовирусных препаратов в комплексной терапии показывает хорошие результаты.
Образование пленки из ороговевших клеток является защитной реакцией со стороны организма в ответ на хронической воспаление, вызванное бактериальной или вирусной инфекцией. Специалисты считают, что без удаления этой пленки, которая создается для уменьшения патогенной инвазии, полноценная терапия невозможна.
В последние годы отмечается увеличение заболеваемости, что связано с повышением распространенности инфекций, передающихся половым путем. К факторам риска рецидивов относятся также хронический уретрит (воспаление мочеиспускательного канала), цистит, нарушения в эндокринной и обменной системе (сахарный диабет, дислипидемия), эстрогенная недостаточность, общее снижение иммунитета.
Источник:
Лазерная абляция мочевого пузыря — эффективность и проведение процедуры

Лазерная абляция – это малоинвазивное хирургическое вмешательство. Оно применяется для лечения болезней мочевого пузыря.
Суть метода
В переводе с латинского абляция (ablatio) означает отнятие. В медицине этим словом называют процесс удаления или разрушения ткани с помощью какого-либо физического фактора. При лазерной абляции таким фактором является луч лазера.
Лазер представляет собой сконцентрированный пучок света, обладающий высокой температурой. Время его действия составляет тысячные доли секунды. За такой малый временной промежуток лазерный луч может проникать на глубину от 0,1 мм до 25 мм в зависимости от своей интенсивности.
В результате теплового воздействия в тканях возникают изменения, сходные с ожогом. В месте ожога происходит коагуляция (свертывание) белков, активируются эндотоксины, вызывающие прогрессирующее омертвение пораженных клеток после облучения, резко снижается обмен веществ в опухолевых клетках.
Преимущества перед обычной операцией
К ним относятся:
Показания
Показаниями к лазерной абляции являются:
- Некоторые формы хронического цистита.
- Гиперплазия (утолщение стенки) мочевого пузыря.
- Псевдокисты.
- Папилломы.
- Злокачественные новообразования.
При хроническом цистите в слизистой оболочке органа могут появляться очаги метаплазии (атипичных клеток). Их нельзя удалить медикаментозно даже путем введения лекарств в мочевой пузырь. С помощью лазера неправильный участок «выжигают» и на его месте образуется нормальный эпителий.

При злокачественных новообразованиях лазерная абляция обычно применяется в составе комплексного лечения. То есть сначала производится трансуретральная резекция мочевого пузыря, а затем выполняется облучение лазером.
Результаты лазерной абляции
О том, что лечение прошло успешно, пациент может судить по исчезновению симптомов заболевания. Но, к сожалению, нельзя гарантировать, что очаг метаплазии или папиллома не образуются в другом месте и повторная процедура не потребуется через какое-то время.
При злокачественных опухолях лазерное облучение в 3 раза снижает частоту местных рецидивов. Методики лазерной хирургии применяются не так давно, поэтому необходимы дальнейшие исследования, чтобы говорить об их долгосрочных результатах.
Search for:
- Нарушение иннервации мочевого пузыря: причины, диагностика и лечение
- Некротический нефроз — клиническая картина и методы лечения
- Как восстановить слизистую мочевого пузыря: методы и препараты
- Макрофаги в моче: что это значит, чем это опасно и что делать
- Аминоацидурия: что это, причины, классификация и лечение
Copyright 2018 Все о здоровье почек. Все права защищены.
+
Загрузка…
Источник:
Лазерная абляция лейкоплакии мочевого пузыря у женщин с хроническим рецидивирующим циститом
Частота хронического цистита велика и, по данным ряда авторов, достигает 10 % среди всех женщин. У больных хроническим циститом даже при нормализации анализов мочи и прекращении бактериурии часто сохраняется дизурия.
Данная группа больных с хроническим циститом требует особого подхода к диагностике и лечению.
При уретроцистоскопии и биопсии у больных со стойкой дизурией и наличием тазовых болей в 65–100 % случаев обнаруживают измененную слизистую мочевого пузыря.
Связь лейкоплакии и хронического цистита
Целью исследования явилось определение тактики лечения женщин с хроническим рецидивирующим циститом и лейкоплакией мочевого пузыря в зависимости от выраженности клинических проявлений и морфологических изменений слизистой мочевого пузыря.
Проведен анализ результатов лечения 257 женщин с хроническим рецидивирующим циститом и . Возраст больных находился в диапазоне от 20 до 76 лет. Продолжительность заболевания хроническим циститом варьировала от 6 месяцев до 6 лет.
У 212 женщин лейкоплакия была выявлена более 2 лет от первых проявлений дизурии. Критериями включения в исследование были гистологическое подтверждение наличия лейкоплакии мочевого пузыря в сочетании с рецидивирующим течением хронического цистита.
Всем больным, помимо цистоскопии с биопсией измененных участков слизистой мочевого пузыря, выполняли лабораторные исследования (клинический и биохимический анализы крови, общий, микробиологический и цитологический анализы мочи), урофлоуметрию, УЗИ почек и мочевого пузыря.
На первом этапе лечения хронического цистита в течение 3 месяцев всем больным назначали комплексную консервативную терапию, включавшую инстилляции мочевого пузыря антибактериальными и противовоспалительными препаратами.
При неэффективности консервативной терапии хронического цистита на фоне лейкоплакии мочевого пузыря, больным выполняли лазерную абляцию измененной слизистой мочевого пузыря. Эффективность лечения хронического рецидивирующего цистита оценивали клинически, цистоскопически и морфологически.
Результаты лечения лейкоплакии мочевого пузыря
Через 3 месяца после проведенного курса консервативной терапии хронического цистита у 193 женщин сохранялись жалобы на боли в малом тазу и нарушения мочеиспускания в отсутствие воспалительных изменений в анализах мочи.
При морфологическом анализе биоптатов слизистой мочевого пузыря у этой категории больных были выявлены простая форма лейкоплакии в 2 (1%) случаях, веррукозная лейкоплакия — у 148 (57%) больных и лейкоплакия с кератинизацией — у 107 (42%) больных.
В связи с неэффективностью консервативной терапии хронического рецидивирующего цистита всем 193 женщинам была выполнена лазерная абляция лейкоплакии мочевого пузыря. У всех оперированных больных в раннем послеоперационном периоде осложнений не было.
Средний послеоперационный койко-день после лазерной абляции лейкоплакии мочевого пузыря составил около суток.
При контрольном обследовании через 3 месяца после проведенного оперативного лечения хронического цистита клиническое улучшение отметили 223 больных (87%).
Через 6 и 12 месяцев после операции частота мочеиспускания снизилась в 1,7 и 1,5 раза соответственно, а интенсивность болевого синдрома уменьшилась в 2,3 и в 2,1 раза соответственно по сравнению с исходными показателями.
Уретроцистоскопия, выполненная через 12 месяцев после проведенного лечения хронического рецидивирующего цистита, не выявила слоя метаплазированной слизистой мочевого пузыря у 236 (92%) больных.
На основании анализа цистоскопических и клинических данных эффективность лазерной абляции при первом морфологическом варианте лейкоплакии мочевого пузыря составила 100%, при втором варианте — 94%, при третьем варианте — 77%.
Рекомендации по лечению лейкоплакии мочевого пузыря
Консервативная терапия хронического рецидивирующего цистита эффективна только при первом морфологическом варианте лейкоплакии — простой форме .
При остальных вариантах лейкоплакии мочевого пузыря консервативное лечение неэффективно.
В этих случаях только оперативное лечение, в частности лазерная абляция измененной слизистой, позволяет удалить функционально неполноценный метаплазированный слой уротелия и способствует стойкому положительному клиническому эффекту лечения хронического рецидивирующего цистита.
Более подробную информации вы можете получить, позвонив по телефону +7 (916) 657-27-89.
Источник:
