Перфорация дна верхнечелюстной пазухи

Перфорация дна верхнечелюстной (гайморовой) пазухи — одно из осложнений, которое может случиться с пациентом в кресле стоматолога.
И хотя главная классификация болезней МКБ 10 не выделяет отдельно такое заболевание, оно все равно возникает достаточно часто.
Мы расскажем вам о том, что это такое — перфорация верхнечелюстной пазухи, почему возникает такая проблема, как происходит ее лечение, чем чревато такое осложнение и что делать, чтобы избежать его.
Особенности верхнечелюстной пазухи носа
Верхнечелюстная пазуха (ее другое название — гайморова пазуха) располагается в толще костной ткани верхней челюсти. От ротовой полости ее отделяет альвеолярный отросток верхней челюсти, который и образует ее дно. Объем такой пазухи достаточно велик, и у взрослых людей он может достигать 10 сантиметров кубических.
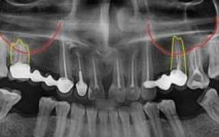
На фото: корни зубов у дна верхнечелюстной пазухи
Такая пазуха, или синус, не является герметичной. Она имеет сообщение с полостью носа посредством узкой щели.
Обычно перфорация верхнечелюстной пазухи происходит в области ее дна. Этому способствуют некоторые ее особенности:
- Близкое расположение корней моляров и премоляров. В некоторых случаях толщина костного слоя между зубными корнями и дном гайморовой пазухи может быть сравнительно большой — до 1 см, но у некоторых людей костная граница между этими образованиями совсем тонкая — не более 1 мм.
- Иногда корни первого и второго моляров располагаются в самой полости пазухи, отделяясь от нее всего лишь слоем слизистой оболочки.
- Быстрое истончение слоя кости при наличии острых или хронических воспалительных заболеваний: периодонтитах, пародонтитах, кистах.
- Относительно тонкие костные трабекулы в ткани верхней челюсти.
Все это предрасполагает к возникновению перфорации при проведении стоматологических манипуляций, даже если техника лечения не была нарушена, а врач не прилагал значительной травмирующей силы.
Причины перфораций дна гайморовой пазухи
Этиология перфораций пазухи верхней челюсти всегда связана с проведением каких-либо стоматологических манипуляций. Перфорация может произойти:
- при удалении зубов;
- при эндодонтическом лечении;
- при имплантации зубов;
- при резекции корня.
При удалении зубов повреждение дна гайморовой пазухи может быть следствием как грубых действий стоматолога или несоблюдения им лечебной тактики, так и результатом анатомических особенностей самого пациента (например, когда зубные корни располагаются непосредственно в полости пазухи).
На фото: зубной корень находится в близости от дна гайморовой пазухи, что увеличивает вероятность перфорации при удалении
При проведении эндодонтического лечения одним из осложнений является перфорация зубного корня, которая нередко сочетается с повреждением и прободением дна гайморовой пазухи.
Это случается при чрезмерном расширении корневых каналов, в случае применения грубой силы при введении штифтовых элементов или уплотнении пломбирующего цемента.
При таком варианте перфорации верхнечелюстной пазухи практически всегда происходит проникновение пломбировочного материала или обломков корня в ее полость.
Если же перфорация происходит в момент введения зубного импланта (это может быть имплант любой марки, например, Mis, Nobel, Xive и т.д.) или же при проведении пломбировки корневых каналов, введении штифтов в зубной корень, то она всегда является ошибкой терапевтической тактики врача.
Повреждения дна пазухи верхней челюсти является серьезным осложнением при имплантации искусственных корней в костную ткань при проведении протезирования.
Это объясняется тем, что после удаления зуба костная ткань очень быстро подвергается процессам дистрофии. И в результате происходит уменьшение высоты альвеолярного отростка челюсти.
Если врач не учитывает этот момент и неправильно проводит подготовку перед имплантированием, а также неверно подбирает размер импланта, то риск перфорации пазухи очень высок.

Резекция зубного корня является способом лечения при наличии кист в области его верхушки. При недообследовании пациента, когда врач не знает точного размера костной пластинки, отделяющей дно пазухи от стенки кисты, а также если требуется удаление большого объема челюстной кости – то перфорация гайморовой пазухи явление не редкое.
Симптомы перфорации
Если перфорация носовой пазухи произошла в момент удаления зуба, то ее симптомы будут достаточно специфическими:
- Появление в крови, выделяемой из зубной лунки, мелких пузырьков воздуха, количество которых увеличивается при резком форсированном выдохе через нос.
- Появление кровянистых выделений из носа на стороне перфорированной гайморовой пазухи.
- Изменение тембра голоса пациента, появление «гнусавости».
Иногда пациент начинает предъявлять жалобы на прохождение воздуха через лунку после удаления зуба, а также чувство тяжести или давления в проекции пазухи верхней челюсти.
На фото видна перфорация дна гайморовой пазухи после удаления зуба
Если перфорация верхнечелюстной пазухи происходит при проведении имплантации или же при эндодонтическом лечении, то заподозрить ее врач может по:
- характерному провалу инструмента или имплантируемого элемента после приложения некоторого усилия для его продвижения;
- изменению положения инструмента в ране;
- появлению в крови мелких пузырьков воздуха.
Если перфорация гайморовой пазухи по какой-либо причине не была диагностирована и пролечена сразу, то происходит инфицирование ее полости с развитием клиники острого синусита или гайморита, для которого характерны такие симптомы как:
- сильнейшие острые боли в области верхнечелюстной пазухи;
- отек слизистой носовой полости на соответствующей стороне с нарушением дыхания через нос;
- появление гнойных выделений из носа.
Также характерно появление общих симптомов интоксикации: головных болей, озноба, высокой температуры, слабости.
Диагностика
Диагностика перфорации дна верхнечелюстной пазухи при удалении зуба основывается на типичной клинической картине. В сомнительных случаях, а также при подозрении на такое осложнение при проведении имплантации либо эндодонтических манипуляциях необходимо использование инструментальных методов диагностики:
- Зондирование лунки удаленного зуба либо перфоративного канала тонким зондом. Это позволяет определить, что в ране отсутствует костное дно. При этом инструмент свободно проходит через мягкие ткани и не встречает на своем пути препятствий.
- Рентгенография области пазух. На снимках в таком случае можно обнаружить как затемнение полости вследствие скопления в ней крови, так и обломки зубных корней, импланты либо пломбировочный материал. Иногда целесообразно проведение рентгенографии с конрастированием, когда контрастное вещество вводится в полость через перфорационный свищ.
- Компьютерная томография, которая позволяет определить перфорации и наличие инородных тел в пазухе с максимальной точностью.
- При подозрении на застарелые перфорации проводятся общеклинические анализы крови, результат которых может свидетельствовать о наличии в организме активного очага инфекции.
Лечение
Лечение перфораций дна пазухи верхней челюсти зависит от того, какие изменения имеются в самой полости пазухи.
Лечение без операции возможно лишь в тех случаях, когда перфорация произошла при удалении зуба и была выявлена сразу же, а по данным рентгенографии нет признаков инфицирования полости пазухи или наличия в ней даже незначительных инородных тел.
При таком варианте тактика врача заключается в максимально бережном сохранении сформированного в лунке кровяного сгустка, а также в профилактике его инфицирования. Для этого в нижнюю часть лунки вводится маленький марлевый тампон, пропитанный йодным раствором.
Обычно он самостоятельно плотно фиксируется в раневой полости, но иногда требуется наложение швов на десну. Такое лечение йодом продолжается не менее 6-7 дней — до момента формирования полноценных грануляций и закрытия дефекта.
При этом тампон не извлекается из лунки, чтобы не повредить кровяной сгусток.

Также возможно временное закрытие дефекта небольшой пластмассовой пластинкой, которую фиксируют на соседних зубах кламмерами. Она разобщает полости рта и пазухи, что способствует заживлению перфорации.
Одновременно назначается курс профилактических мероприятий, направленный на предупреждение развития воспалительных осложнений. Он включает прием антибиотиков, противовоспалительных препаратов, капель с сосудосуживающим эффектом. Проводится такой курс амбулаторно или в домашних условиях.
Если при перфорации произошло проникновение инородных тел в пазуху (импланта, пломбировочного материала, обломка зубного корня), то лечение проводится только в условиях стационара. В таком случае показана операция со вскрытием полости гайморовой пазухи, удалением инородного тела и нежизнеспособных тканей с последующим пластическим закрытием перфоративного дефекта.
Если перфорация пазухи верхней челюсти не была своевременно выявлена и устранена, то через 2-4 недели стадия острых проявлений пойдет на убыль, а в области дефекта сформируется свищ, соединяющий полость пазухи с поверхностью десны.
Такой процесс одновременно сопровождается симптомами хронического гайморита:
- постоянные тупые боли в области пазухи с иррадиацией в глазницу, висок;
- заложенность носа со стороны поражения;
- гнойные выделения из носовой полости, а также из свищевого отверстия;
- иногда у пациентов опухает щека на стороне поврежденной пазухи.
Большинство пациентов также предъявляют жалобы на ощущение движения воздуха через свищ при разговоре или чихании, трудности в произношении некоторых звуков, а также попадание жидкой пищи изо рта полость носа.
Лечение таких застарелых перфораций со свищами представляет некоторые трудности, поскольку наличие хронического очага воспаления в гайморовой пазухе значительно снижает эффективность терапии и достаточно часто приводит к рецидиву и повторному формированию свищевого канала.
Таким больным показано оперативное вмешательство, которое включает вскрытие верхнечелюстной пазухи с удалением всех нежизнеспособных тканей и инородных тел из ее полости, иссечение свища и пластическое закрытие дефекта. Антибиотики после удаления свища назначаются на курс продолжительностью 10-14 дней с одновременным приемом противовоспалительных и антигистаминных препаратов, применением физиотерапевтических методов лечения.
Последствия перфорации
Перфорация пазухи верхней челюсти является достаточно серьезной патологией, которую часто приходится лечить в стационаре. Попытки самостоятельного ее лечения народными средствами дома без врачебного участия могут приводить к развитию серьезных и опасных последствий:
- Развитие выраженной воспалительной реакции в полости пазухи с переходом инфекции на окружающие костные ткани и формированием очагов остеомиелита верхней челюсти.
- Распространение воспаления на другие пазухи черепа (лобные, клиновидные и решетчатые).
- Потеря здоровых зубов, расположенных в области непролеченной перфорации.
- Формирование гнойных очагов (абсцессов, флегмон).
Из-за близкого расположения верхнечелюстной пазухи и головного мозга, после перфорации возможно распространение инфекции на мозговые оболочки с развитием менингитов или менингоэнцефалитов, угрожающих жизни пациента.
Профилактические мероприятия
Профилактика перфораций дна верхнечелюстной пазухи заключается:
- в полноценном обследовании пациента перед проведением сложных стоматологических процедур;
- в правильной оценке анатомо-топографических особенностей каждого человека;
- в точном соблюдении технологии лечебных манипуляций.
Своевременное выявление признаков перфорации и ее адекватное лечение является залогом благоприятного исхода для пациента. Неправильная терапевтическая тактика или самолечение могут усугубить течение такого осложнения и стать причиной развития тяжелейших негативных последствий.
Источник:
Чем опасно близкое соседство гайморовых пазух и зубов

Гайморова пазуха является самой объемной их всех придаточных синусов носа. Ее максимальный объем, в зависимости от размеров костей лицевого скелета, может достигать 10 куб. сантиметров. То есть практически вся толща верхнечелюстной кости до самого альвеолярного отростка содержит в себе парные воздушные полости.
С медиальных сторон они сообщаются с носовой полостью через узкие каналы шириной 1 мм, выстланные слизистой оболочкой. А дно верхнечелюстных синусов обращено в сторону верхнего зубного ряда.
Такое расположение гайморовых пазух представляет опасность при стоматологических манипуляциях с верхними зубами. У каждого человека длина их корней может быть различна. У одних людей корни не доходят до дна гайморовой пазухи на 1 сантиметр, а у других пронизывают весь альвеолярный отросток и заканчиваются в полости, даже приподнимая слизистую оболочку.
Именно в таких ситуациях врач-стоматолог должен быть особо внимательным и осторожным, чтобы избежать опасного осложнения, перфорации, или прободения, гайморовой пазухи.
Прободение дна верхнечелюстного синуса, его причины
Из всего верхнего зубного ряда наиболее близко к верхнечелюстным синусам располагаются малые и большие коренные зубы (премоляры и моляры) и зубы мудрости.
К перфорации может предрасполагать не только корень большой длины, но и наличие кисты, пародонтита, периодонтита или более разреженное строение костной ткани верхней челюсти.
В этих случаях перфорация происходит даже без особого усилия, без вины стоматолога.
Осложнение может случиться при эндодонтическом лечении (санация зуба при глубоком кариесе), при удалении зуба или его корня, при имплантации.
Если необходимо удалить зуб, корень которого выходит в гайморову пазуху, то перфорация возникнет неизбежно. Важно производить «обычное удаление» целиком, делать его профессионально, без перелома и фрагментации корня.
Если же это не удается, то есть риск проталкивания кусочка корня в полость синуса, что еще более усугубляет ситуацию.

При проведении эндодонтического лечения моляров и зубов мудрости прободение дна гайморовой пазухи может произойти при манипуляциях внутри корня.
Его пробивание, в сочетании с повреждением дна синуса, возможно при усиленном пломбировании канала, при установке металлического штифта, производимого с физическим усилием.
В этих случаях раздробленный корень и частицы пломбировочного вещества всегда попадают в гайморову пазуху.
При зубном эндопротезировании осложнение происходит, когда стоматолог неправильно рассчитал глубину вживляемого импланта, не принял во внимание дистрофические изменения костной ткани после удаления зубов мудрости или моляров. Еще одна причина перфорации – это резекция корня при лечении нагноившейся кисты без учета высоты альвеолярного отростка.
Клиническая картина
Очень важно сразу распознать произошедшее. Клиническая картина перфорации появляется в первые же минуты, когда пациент еще находится в стоматологическом кресле. При удалении моляров или зубов мудрости из широкой лунки начинает вытекать пузырящаяся кровь, при выдохе через нос количество воздушных пузырьков увеличивается.
Человек не может надуть щеку на стороне прободения, так как воздух через раневой канал уходит в пазуху и далее в нос. Голос меняется, становится глуховатым и гнусавым. Из носовой полости на стороне повреждения вытекают кровянистые выделения. Если пациент дышит носом, то он чувствует попадание воздуха в рот.
Диагностика вида перфорации и терапия
Далее необходимо определить, попало ли инородное тело в полость синуса. Делать это нужно немедленно с помощью компьютерной томограммы или серии рентгеновских снимков, которые выявят степень сложности перфорации.
Если она окажется простой, то квалифицированный врач-стоматолог в этот же день ушивает дефект путем закрытия его слизисто-надкостничным лоскутом или применяет тампонаду раны с помощью йодных тампонов и сшивает края десны.
Тактика операции решается строго индивидуально. Далее назначаются антибиотики и симптоматическое лечение, и весь послеоперационный период больной наблюдается у стоматолога амбулаторно.
Если произошло проникновение инородного тела в гайморову пазуху, то необходимо лечение в специализированном стоматологическом или челюстно-лицевом отделении стационара. Больному назначают антибактериальную терапию и отправляют на госпитализацию для вскрытия и санации полости пазухи.
Диагностика перфорации гайморовой пазухи
Одонтогенный гайморит
Независимо от того, какого вида случилось прободение, в гайморову пазуху всегда попадает инфекция. Она бактериального происхождения, особенно если в синус попали частички кариозного зуба мудрости или моляров.
В этих ситуациях пациент абсолютно не застрахован от осложнений перфорации: гайморита, потери здоровых моляров и зубов мудрости, формирования абсцессов и флегмон, остеомиелита верхней челюсти и воспаления мозговых оболочек.
Из них гайморит – самое частое осложнение, проявляющееся характерными симптомами. Повышается температура тела до фебрильных цифр (выше 38 градусов), развивается интоксикация и болевой синдром с иррадиацией боли в лоб и особенно в верхнечелюстную область, беспокоит чувство сильного давления в пазухах и обильное гнойное отделяемое из носа, стекающее также в глотку по задней глоточной стенке.
Лечение одонтогенного гайморита должно быть своевременным и комплексным с применением антибактериальных и симптоматических препаратов.
Случаи, когда гайморовы пазухи могут пострадать при лечении и протезировании зубов, не являются редкими. Что делать, чтобы избежать перфорации и дальнейших осложнений, может решить только квалифицированный врач. Пациент же должен неукоснительно выполнять все его назначения.
Источник:
Корень зуба в гайморовой пазухе: что делать?

Проникновение костей и корня зуба в гайморову пазуху говорит о перфорации последней. Подобным осложнением может сопровождаться лечение у стоматолога.
Встречается перфорация верхнечелюстной пазухи довольно часто. Из приведенной статьи вы узнаете причины подобной патологии, признаки перфорации, методы диагностики и лечения, а также профилактики.
Фото корней зубов в гайморовой пазухе также можно увидеть в разделах статьи.
Особенности гайморовой пазухи
Верхнечелюстная или гайморова пазуха находится в толще верхней части челюсти. Дно ее образуется при помощи верхнечелюстного альвеолярного отростка, отделяющего его от полости рта. Пазухи достаточно большие по объему. У взрослого человека они могут достигать в размерах до десяти кубических сантиметров.
Причины разрыва
Пазуха, называемая синусовой или гайморовой, не характеризуется герметичностью. Она взаимодействует с носовой полостью при помощи небольшой щели. Как правило, разрыв пазухи происходит в районе ее нижней части. Это случается по причине характерных особенностей строения и на фоне некоторых заболеваний, а именно:
- Корни моляров и премоляров расположены очень близко к пазухе. В некоторых случаях костный слой довольно толстый и достигает 1 см. Однако иногда барьер может быть менее 1 мм в толщину.
- Первый и второй моляр в корневой части может быть расположен непосредственно в пазуховой полости и отделяться только слизистой оболочкой.
- Стремительное истончение костного слоя на фоне воспалительных заболеваний в острой или хронической форме, включая кисты, периодонтит и пародонтит.
- Тонкие трабекулы кости в верхнечелюстных тканях.
Все эти факторы могут стать причиной разрыва пазухи при проведении стоматологического лечения. При этом может не отмечаться нарушение технологии выполнения стоматологических манипуляций. Это может быть результат индивидуальных анатомических особенностей каждого пациента. Давайте же разберемся, по каким причинам проникает корень зуба в гайморову пазуху.

Перфорации верхнечелюстной пазухи происходят, как правило, в результате работы стоматолога при лечении зубов. Разрывы тканей характерны для следующих ситуаций:
- Удаление зубов.
- Имплантация зубов.
- Эндодонтическая терапия.
- Резекция корня зуба.
Если перфорация произошла при проведении операции по удалению зуба, то это может быть следствием неквалифицированной и чрезмерно грубой работы стоматолога, а также индивидуальных особенностей строения гайморовой пазухи самого пациента. В случае расположения зубных корней непосредственно в пазуховой полости перфорации при удалении моляров практически неизбежны.
Одним из осложнений при проведении эндодонтической терапии также может стать перфорация корня зуба, что в большинстве случаев сопряжено с прободением пазухового дна.
Подобная ситуация может произойти в результате чрезмерно сильного расширения корневых каналов, а также при использовании грубой силы при установке штифтов и уплотнения цемента для пломб.
В этом случае чаще всего не только корень зуба может находиться в гайморовой пазухе, но и его обломки и частицы материала для пломбирования. А это опасно для пациента.
Когда разрыв происходит при установке имплантата или во время пломбирования корневого канала, а также в результате введения штифтов в корень зуба, это в подавляющем большинстве случаев является терапевтической ошибкой специалиста. Иногда можно обнаружить корни зуба мудрости в гайморовой пазухе.
При протезировании зубов и имплантации корней, перфорация верхнечелюстной пазухи считается тяжелым осложнением. Это обусловлено тем, что резекция провоцирует быструю дистрофию костных тканей.
Вследствие этого процесса, уменьшается высота альвеолярного челюстного отростка.
Если эти важные моменты не были учтены стоматологом на подготовительном этапе имплантирования, а также в результате некорректно выбранного размера самого имплантата, происходит перфорация пазухи.
Киста корня зуба в гайморовой пазухе
Удаление корня зуба считается наиболее эффективным способом терапии кист, локализованных в области верхушки.
Когда пациент не был тщательно обследован, а стоматолог не обладает информацией о толщине костной ткани, которая отделяет кистозную стенку от пазухового дна, а также в случае, когда необходимо удалить большое количество кости челюсти, довольно часто происходит разрыв тканей пазухи.
Симптомы
Когда перфорация и попадание корня зуба в гайморову пазуху происходят во время проведения стоматологических манипуляций по резекции, появляются характерные признаки разрыва, в том числе:
- Кровотечение из лунки зуба с небольшими пузырьками воздуха, количество которых возрастает при попытке сделать резкий выдох носом.
- Выделения из носа кровянистого содержимого со стороны разорванной пазухи.
- Резкое изменение тембра голоса пострадавшего пациента, характеризующееся гнусавостью.
При наличии корня зуба в гайморовой пазухе симптомы не могут остаться незамеченными. Иногда уже после резекции пациент начинает жаловаться на затрудненное прохождение воздуха через образовавшуюся лунку, а также на давление и тяжесть в проекции гайморовой пазухи.
Когда перфорация происходит при имплантации или эндодонтической терапии, признаками подобного осложнения являются:
- Специфический провал инструмента или материала для имплантации после некоторого усилия по его продвижению в челюсти.
- Перемена положения используемого инструмента в образовавшейся ране.
- Появление небольших пузырьков воздуха и кровяных выделений из лунки.
Перфорация может быть не выявлена и не устранена сразу после разрыва пазухи, что приводит к инфицированию пазуховой полости и сопровождается признаками синусита или гайморита в острой форме. Для подобных патологий характерны следующие симптомы:
- Острые интенсивные боли в районе пазухи верхней челюсти.
- Отечность слизистой полости носа со стороны повреждений, сопровождающаяся затруднением носового дыхания.
- Выделения гнойного секрета из носа.
Проявляются системные осложнения и симптомы интоксикации, для которых характерны озноб, боли в голове, слабость и повышение температуры тела. Но как обнаружить корень зуба в гайморовой пазухе?
Предотвращение воспаления
Помимо сохранения раны, проводится профилактическая терапия, направленная на предотвращение развития воспалительного процесса.
Чаще всего назначается прием антибактериальных препаратов, а также противовоспалительных средств. Кроме того, выписываются капли для закапывания в носовые ходы, обладающие сосудосуживающим действием.
Проводить лечение можно как в амбулаторных условиях, так и пребывая дома.

Если обследование обнаружило наличие инородного тела в гайморовой пазухе, то лечение проводится только в условиях стационара. Терапия заключается в проведении операционного вмешательства для вскрытия полости и удаления корня зуба из гайморовой пазухи.
Осложнения
Разрыв верхнечелюстной пазухи представляет собой серьезное последствие стоматологических манипуляций, лечение которого чаще всего происходит в стационарных условиях. Чем это чревато, если корень зуба пророс в гайморову пазуху?
Самостоятельное лечение проблемы методами народной медицины может привести к еще более серьезным осложнениям, в том числе:
- Выраженный воспалительный процесс в пазуховой полости с дальнейшим инфицированием смежных тканей. Затем происходит развитие остеомиелита в верхней челюсти.
- Переход воспалительного процесса на другие черепные пазухи, включая клиновидные, лобные и решетчатые.
- Выпадение здоровых зубов, находящихся в области перфорации.
- Образование очагов гноя, флегмон и абсцессов.
Ввиду непосредственного соседства головного мозга, на фоне того, что корень зуба ушел в гайморову пазуху и произошел разрыв последней, не исключено возникновение инфекционного поражения мозговых оболочек. Следующим этапом серьезных осложнений может стать менингит или менингоэнцефалит, которые являются опасными для жизни пациента.
Профилактика
Что касается профилактических мер в отношении перфорации верхнечелюстной пазухи, то они заключаются в выполнении следующих правил:
- Тщательное и многоплановое обследование пациента перед проведением серьезных стоматологических мероприятий, в том числе резекции зуба или имплантации.
- Корректная оценка анатомических особенностей строения челюстей каждого пациента.
- Неукоснительное соблюдение всех технологических требований по проведению сложных стоматологических мероприятий.
Заключение
Залогом благоприятного исхода для здоровья пациента, если корень зуба находится в гайморовой пазухе,является своевременное и правильно подобранное лечение.
Самолечение и некорректное выполнение предписаний специалиста может привести к тяжелым последствиям и осложнениям. Необходимо помнить, что даже застарелые перфорации можно вылечить. Однако сделать это можно только хирургическим путем. Поэтому проблему лучше решить сразу, не откладывая на потом.
Источник:
Гайморит от зуба: 7 причин, что делать если воспалилась при синусите и лечении челюсти, болят гайморовы пазухи после удаления верхнего корня

Гайморит становится причиной нестерпимой зубной боли, даже если зубы полностью здоровы.
Жидкость, которая скапливается в верхнечелюстных пазухах, застаивается, загнивает, возникает вторичный воспалительный процесс в гайморовых пазухах. Он затрагивает нервные корешки зубов, расположенных поблизости.
Поднимается температура, больной ощущает неприятный вкус во рту, гнилостный запах, острую боль, которая распространяется на виски, челюсти, отдает в уши.
Особенности анатомии гайморовой пазухи и верхней челюсти
Придаточные пазухи – это система полостей в костях черепа, расположенных вокруг носа. Носовая полость и придаточные синусы соединяются небольшими каналами. Выделяют гайморову, лобную, основную пазухи и решётчатые клетки. Благодаря им определённые отделы костей черепа заполнены воздухом.
Смысл подобных образований заключается в увеличении объёма черепа, что способствует росту объема нашего мозга без чрезмерного увеличения его массы. Придаточные полости находится в костях черепа, практически не подвергаются растягивающим нагрузкам, поэтому в этих отделах кости деградируют.
Синусы имеют особую слизистую оболочку, которую образуют небольшие отростки – цилии, покрытые слизью. При каждом пульсировании цилий слизь вместе с частичками пыли, проникающими сюда при дыхании, направляются к носу. Таким образом, происходит самоочищение пазухи.

В чем разница синусита и гайморита подскажет данный материал.
Воспаление слизистой может привести к нарушению в работе механизма самоочищения. Стоки могут закупориться, тогда в придаточных пазухах собирается гной. Это острая форма гайморита.
Корни зубов верхней челюсти выступают в гайморову полость. Если посчитать от центра в сторону, то с 4-го по 8-й зуб сверху ограничены гайморовой полостью.
Если пазуха склерозированная – маленькая, аккуратная, то с ней проблем бывает меньше. Если пазуха пневматический типа – широкая, то её дно огибает верхушки зубных корней.
Отсюда обоюдная взаимосвязь воспалительных процессов, протекающих в синусах либо в верхней челюсти.
Симптомы зубной боли при гайморите
При гайморите пациент или совсем ничего не замечает, или ощущает слабое давление под глазом. Некоторые жалуются на выделения из носа, содержащие гной, кровь.
Существует ряд симптомов, на которые стоит обратить внимание:
- болит вся сторона черепа;
- дискомфорт в области носовых и лобных пазух;
- ноют верхняя челюсть;
- боль распространяется на область около носа, под глазом, над бровью, висок;
- односторонняя головная боль при гайморите;
- общее недомогание, температура.
Хронические головные боли вазомоторного характера – еще один частый признак гайморита.
Как отличить зубную боль от гайморита
Особым характерным признаком гайморита является ощущение тупой, давящей боли при наклоне говорит головы вперёд. В таком положении боль наиболее остро ощущается в околоносовой зоне. Обязательно появляются густые гнойные выделения.
Обычная зубная боль таких симптомов не дает. Она ощущается только в области больного зуба. Ощущение более острое, ноющее.
При каких обстоятельствах может болеть зуб
Воспаление слизистой оболочки гайморовых пазух вызвано разными причинами. Наиболее часто заболевание вызывают проблемы с зубами. Вот почему по поводу гайморита вас могут направить одновременно к ЛОРу и стоматологу.
Гайморит из-за больного зуба (одонтогенный)
Одонтогенный гайморит диагностируют, когда причиной воспаления гайморовой пазухи становится больной зуб. Если воспаляется 4-8 зуб на верхней челюсти, тогда до гайморита недалеко. Воспаление корней легко переходит на гайморову пазуху.
Одонтогенный гайморит лечить сложно. Можно идеально отмыть пазуху, погасить воспаление, но поскольку истинная причина находится не в самой пазухе, а в ротовой полости, вспышка одонтогенного гайморита обязательно вернётся. Именно поэтому ЛОР врач должен качественно пролечить гайморову пазуху, а затем направить к стоматологу.
Если возможно сохранить зуб, то его пролечивают, убирают кариозные участки, пломбируют, депульпируют, если это необходимо, и сохраняют. Если же он совсем плохой, то нужно с ним прощаться.
Ярким признаком одонтогенного гайморита является крайне неприятный гнилостный запах. Если вы чувствуете запах из полости носа или при пункции гайморовой пазухи доктор отмечают резкий неприятный смрад, то диагноз однозначный.
Из-за зуба мудрости
Корни зубов мудрости находятся чуть ли не в самой полости гайморовой пазухи и это очень плохо. Если вам сделали компьютерную томограмму или обычный рентген околоносовых пазух, то на снимке видно, как корни заходят прямо в верхнечелюстную пазуху. Периодически зубы мудрости будут провоцировать одонтогенный гайморит.
У большинства людей они портятся сразу после прорезания. Некоторые больные сталкиваются с воспалением десны над зубом мудрости при его прорезывании. Если шапка десны слишком толстая, он не может пробиться наружу, приходится десну надрезать. При этом часто выясняется что эмаль под этой шапкой уже затронута кариозным процессом.
Если вы чувствуете что что у вас часто возникают симптомы гайморита нужно обращаться к стоматологу и пролечивать зубы мудрости самым тщательным образом. Многие предпочитают сразу их удалять, чтобы не доставляли проблем.
Всю информацию о лечении гайморита без гноя с отеком носовых пазух найдете в этой статье.
Пророс в гайморову пазуху
Корни зубов прорастают в гайморову пазуху, вызывая хронический воспалительный процесс. В таком случае пациенту показана операция по удалению инородного тела из полости синуса – микрогайморотомия.
Операция проходит под местным или общим наркозом. Врач делает надрез над десной в области 4-го верхнего зуба, вскрывает гайморову пазуху и зачищает либо удаляет корень.
Тогда явления гайморита стихают и зуб можно сохранить.
Киста корня зуба
Часто пациенты получают такой диагноз, как киста верхнечелюстной пазухи. Это небольшое образование, которое находится на корнях верхних зубов.
Люди, которые живут с этой патологией всегда находятся под вопросом удалять эту кисту или нет? Если киста находится в пазухе, имеет тенденцию к росту, то операцию лучше не откладывать.
Если же с каждым годом киста не увеличивается, её размеры небольшие, то с хирургическим вмешательством можно повременить.

Киста корня – это как мина замедленного действия. Она может нагноиться, особенно в жаркое время года, воспалиться из-за травмы, переохлаждения. Нагноение происходит очень быстро, киста становится причиной гайморита и сильных болей. А в момент перелета на самолете нагноившаяся киста может и вовсе лопнуть. Также это может произойти в скоростном поезде или при травме челюсти.
Если киста разорвется, гной выльется и пациент получит резкое нагноение самой пазухи. Да и просто длительный контакт кисты с пазухой приведет к хроническому кистозному гаймориту. Поэтому, если есть киста, её размер больше половину пазухи, присутствуют боли и случаи воспаления синусов, образование лучше удалить.
После удаления зуба
Бывает так, что в результате врачебной ошибки после удаления зуба у пациента образуется ораантральный свищ. Это отверстие, которое соединяет лунку с гайморовой полостью. Такое происходит, когда корень находился внутри пазухи, а врач просмотрел этот момент на рентгене. Чтобы такого не происходило, врач должен тщательно изучить снимок.
Как распознать гайморит на снимке изложено тут.
Если воспаление на корне зуба привело к атрофии кости и перфорации дна гайморовой пазухи, доктор удаляет его и делает кюретаж лунки. Далее следует обработка антисептиком и высушивания лунки марлевым тампоном. Накладывают остеопластический материал способствующий обеззараживанию и заживлению лунки. Затем десна тщательно ушивается, чтобы в рану не попали бактерии.
От 1 до 3 недель материал набухает и выделяет антибиотик. Через 3-9 месяцев на этом месте образовываются новая костная ткань, которая закроет свищ.
После прокола гайморита болит зуб
Иногда пациенты жалуются, что после прокола и промывания синуса сильно болят верхние зубы. Это нормальная ситуация так корешки зубов реагируют на антисептик который заливают полость для обеззараживания. Также после прокола образуется сильный отек, давящий на тройничный нерв.
Зубная боль может быть не связана с проколом. Нужно проверить, не является ли больной зую причиной только что пролеченного гайморита. На деле именно проблема с кариозными зубами становится первоисточником проблем с гнойными синуситами.
После имплантации зубов
Если человек побывал у стоматолога, установил имплант и получил гайморит – это не вина стоматологов. Зубы в верхней челюсти могут корнями прорастать в гайморову пазуху. Бывают корни достаточно крупные, а костная мембрана очень тонкая и хрупкая.
Во время установления импланта мембрана может быть повреждена. Кончик зубного импланта попадает в гайморову полость, провоцируя воспаление. Решается проблема путем несложной операции. Специальным инструментом врач счищает полипы, образовавшиеся из-за инородного тела, извлекает имплант из пазухи, дезинфицирует.
Неприятно, что пациент лишается своего импланта. Однако, после прохождения реабилитационного периода, его можно вернуть на место с одной оговоркой. Если мембрана очень тонкая, то перед установкой импланта её нужно нарастить.
Лечение воспаления
Если ваш первопричиной вашего гайморита стали проблемы с зубами, то лечение необходимо проводить комплексное. Сначала нужно вылечить больные зубы, затем приступить к терапии гайморита.
Антибиотики
При гайморите назначают курс антибиотиков в форме капель, таблеток и мазей. В тяжелых случаях назначают препараты для инъекций.
Какие капли назначают:
- Изофра.
- Флуимуцил.
- Полидекса.
Что лучше Полидекса или Изофра узнаете здесь.
Список мазей от гайморита:
- Вишневского.
- Ихтиоловая.
- Левомеколь.
- Синтомициновая.
Источник:
