5 причин зубной боли после пломбирования каналов

Зубная боль после пломбирования это норма или нет? Консультация стоматолога услуга незаменимая, но что делать, если ваш врач временно недоступен и не может дать ответы на интересующие вопросы? Данная статья поможет вам разобраться, каковы могут быть причины боли в зубе после пломбировки каналов, с чем эта боль связана, сколько по времени может продлиться, опасна ли она или нет, и что вы можете сделать, чтобы ее снять до прихода к стоматологу.
Представьте себе ситуацию: у вас ни с того, ни с сего начинает резко болеть зуб. Боль настолько сильна, что не дает нормально спать, есть, работать. Что в таком случае делает разумный человек? Правильно, в срочном порядке обращается за помощью к специалисту. Стоматолог определяет тип заболевания, проводит все необходимые обследования, назначает лечение.
К сожалению, по большей части медикаментозное лечение при такой боли не спасает, так как сильная боль вряд ли появится из-за небольшого кариеса или другой несущественной и легко устраняемой проблемы.
Такие ощущения чаще всего говорят о воспалении, которое можно вылечить только путем устранения поврежденных тканей и полной герметизации зубной полости современными пломбирующими препаратами.
Если диагноз был поставлен верно, а лечение проведено корректно, боль после пломбирования каналов должна полностью исчезнуть и больше вас не беспокоить.
Вы в хорошем настроении возвращаетесь из стоматологии домой, через какое-то время отходит наркоз… и тут становится ясно, что болит зуб после пломбирования отнюдь не меньше, чем до него. Как такое могло произойти? Что послужило причиной возврата болевых ощущений? Попробуем разобраться в этой теме подробнее.
Причины
По сути своей лечение зубов — это та же хирургическая операция, вмешательство в отлаженную работу организма. Вот почему в течение нескольких дней после проведенного лечения травмированная область может периодически болеть.
При этом интенсивность болевых ощущений со временем должна сходить на нет. Даже при сильном повреждении десен, боль должна полностью исчезнуть максимум в течение двух месяцев.
Если этого не происходит и боль в зубе после пломбирования никуда не исчезает, значит что-то в процессе лечения пошло не так. Причин тому может быть множество. Вот лишь несколько основных:
- Если заболевание было сильно запущено, есть вероятность, что воспалительный процесс из самого зуба пошел дальше на мягкие ткани десны. Визуально или на рентгеновском снимке не все воспаления можно распознать сразу, так что даже если вам полностью вычистили и хорошо запломбировали больной зуб, болеть может уже не он сам, а окружающие его ткани.
- Нередко причиной зубной боли после пломбирования является индивидуальная непереносимость пациентом компонентов пломбирующего вещества. В таком случае помимо болевых ощущений имеется в наличии еще ряд признаков, которые сможет распознать стоматолог. Единственным способ лечения в данной ситуации является замена пломбы, вызывающей аллергическую реакцию, на новую, безопасную для здоровья пациента.
- Даже настоящий профессионал в своем деле не застрахован он случайностей. Например, при обработке зубной полости тончайшими стоматологическими инструментами, всегда существует риск того, что небольшой кусочек отломится и застрянет в канале. Однако хороший специалист всегда проверяет результат своей работы на рентгене. Если этого не произошло и вас сильно беспокоит зубная боль после пломбирования каналов, обязательно проведите рентгеновское обследование с целью выявления присутствия в полости зуба посторонних предметов.
- Бывают случаи, когда удаление воспаленных тканей было произведено не полностью, тогда в запломбированной зубной полости воспалительный процесс может начаться заново, что и будет вызывать приступы боли.
- Еще одна причина делать рентгеновский снимок после пломбирования — определение границ установленной пломбы. Если у вас болит зуб после пломбирования каналов, вполне возможно, что внутри осталось незапломбированное пространство или часть композита выходит за пределы зуба со стороны челюсти.
Лечение
Итак, что же делать, если прошло уже несколько часов после проведенного лечения, а у вас по-прежнему болит пломбированный зуб? В первую очередь, нужно успокоиться и подождать как минимум 1-2 дня.
По статистике около 80% пациентов стоматологических клиник испытывают болевые ощущение после лечения зубов.
В течение указанного времени можно облегчить сильную боль приемом обезболивающих препаратов, а также народными средствами (полосканием солевым раствором или отварами трав, прикладыванием ватки, смоченной в лечебных настойках).
В случае если болевые ощущения постепенно уменьшаются, вам просто следует перетерпеть боль до полного ее исчезновения.
Однако если зуб ноет после пломбирования более двух суток, а боли только усиливаются, непременно обратитесь к вашему врачу.
Вполне вероятно, что в процессе лечения была допущена какая-либо ошибка или пломбу просто необходимо заменить. В любом случае, не стоит откладывать визит к стоматологу, пока состояние не ухудшилось.
Источник:
Болит зуб после пломбирования: насколько это опасно, причины и что делать

Существует масса причин, по которым возникает ноющая боль после пломбирования зуба. Некоторые из них не опасны, а некоторые свидетельствуют о серьезных патологиях, которые требуют незамедлительного хирургического вмешательства. Самостоятельно определить причину возникновения болевых ощущений сложно, поэтому следует обратиться к врачу за уточнением диагноза.
Существуют серьезные и несерьезные причины возникновения зубной боли после установки пломбы, удаления пульпы и лечения каналов. В первом случае необходимо обратиться к врачу для устранения негативного фактора, провоцирующего боль. Во втором, достаточно выждать некоторое время, и неприятное ощущение пройдет само по себе.
Неопасные причины
Если в процессе стоматологических манипуляций не был удален нерв, но травмировались корневые каналы или десны, то возникшая после процедуры боль проходит самостоятельно. Спровоцировать неприятные ощущения могут:
- слишком холодная или горячая пища;
- сладкие продукты;
- переохлаждение;
- нервные перенапряжения;
- интенсивная чистка;
- сильная механическая нагрузка.
В первые дни после пломбирования зуб нельзя перегружать, так как велик риск появления ноющей боли и повреждения твердых тканей – лучше жевать на другую сторону.
Стоматолог еще до проведения хирургических манипуляций должен предупредить пациента о возможном возникновении болевых ощущений. После пломбирования зуб болит всегда, и делать с такой болью ничего не нужно. Главное, соблюдать все рекомендации врача и не прерывать терапию, если доктор назначил повторное посещение.
Врачебные ошибки
Если перед установкой пломбы не было проведено рентгенографическое исследование, то стоматолог мог спутать глубокий кариес с пульпитом. Тогда врач не прочистит каналы и не устранит причину патологии.
Пока пульпит не будет вылечен, а нерв удален, боли не прекратятся. При запущенном заболевании придется вырывать зуб.
Иначе воспаление может перейти с твердых тканей на мягкие, что невозможно определить с помощью рентгена, особенно на ранних стадиях.

Если пломбу поставили качественно, но человеку все равно больно нажимать на зуб и жевать пищу, можно заподозрить наличие постороннего предмета в зубе. При обработке каналов и зубной полости часть тонкого стоматологического инструмента могла отломиться и остаться внутри, поэтому зуб и заболел. Увидеть посторонний предмет можно с помощью рентгена.
Боль могла возникнуть после пломбирования каналов зуба, если стоматолог неправильно почистил кариозную полость и не нейтрализовал инфекцию. Если во время лечения очищенные каналы зуба не охладили воздушно-водяным способом, то они могли перегреться, поскольку манипуляции бормашиной всегда приводят к перегреву мягких и твердых тканей, что чревато развитием пульпита или периодонтита.
После пломбирования каналов материал оказался за пределами корня
Неправильный размер пломбы
Если зубная боль появляется после или во время приема пищи, значит, пломбирование зуба было проведено с нарушениями. Стоматолог мог поставить неподходящую по размеру пломбу на жевательные зубы. Причем она может быть:
- слишком маленькой – внутри осталось незапломбированное пространство, которое можно увидеть только на рентген-снимке;
- слишком большой – пломба не позволяет челюсти плотно смыкаться и мешает при надкусывании и нажатии.
Некоторое время после процедуры обезболивания пациент не может ощутить дискомфорт от новой пломбы, боль возникает позже. В этом случае требуется замена пломбы, поскольку она будет травмировать ткани, которые окружают корень, при каждом нажатии на зуб.
Чтобы избежать стоматологических проблем по вине доктора, следует искать специалиста по рекомендациям, но даже платное лечение не гарантирует отсутствие врачебных ошибок.
Аллергическая реакция на материал
Для изготовления пломб обычно используется серебряная амальгама, а у человека может быть аллергия на это вещество. В этом случае, помимо боли, наблюдаются:
- зуд;
- сыпь на коже;
- астматические приступы;
- припухлость десны в проекции воспаленного участка (кожа тоже побаливает).
Если боль вызвана аллергической реакцией на анестезию, то она исчезнет на следующий день. В противном случае зуб пломбируют композитным материалом, но такая процедура предоставляется платно.
Зубная боль после пломбирования каналов может возникнуть из-за длительного травления дентина кислотой: химическое вещество повреждает дентинные каналы. После этого пломбировочный материал проникает внутрь дентинных канальцев и раздражает пульпу, вызывая болевые ощущения.
Классификация болевых ощущений
Причину возникновения боли можно определить по ее интенсивности:
- Повышенная чувствительность к сладкому, холодному и кислому наблюдается при постановке некачественной или временной пломбы.
- Сильная и пульсирующая боль указывает на развитие острого пульпита, который требует экстренного стоматологического лечения.
- Явление, когда зуб побаливает изредка, является нормой после пломбирования. Но иногда такой болевой синдром сигнализирует о хроническом пульпите или периодонтите.
- Если больно во время надкусывания или надавливания, нужно выявлять ошибку, допущенную в процессе пломбировки, к примеру, пересушку зубной полости. Но такой симптом со временем пройдет самостоятельно, а потому не требует специализированного медицинского вмешательства.
- При покрасневших деснах наряду с ноющей зубной болью можно заподозрить аллергическую реакцию на пломбировочный материал, но перед приемом антигистаминных препаратов следует еще раз проконсультироваться у стоматолога.
При возникновении болевых ощущений нельзя прекращать чистить зубы, можно только снизить интенсивность надавливания.
Когда следует незамедлительно посетить стоматолога
Если зуб после пломбировки каналов болит в течение длительного времени, необходимо обращаться к доктору. Причем характер боли не важен. Если за неделю-две неприятные ощущения в мертвом зубе не прошли, терпеть их и дальше нельзя.

При острой боли после установки пломбы надо идти к врачу незамедлительно. Сильные неприятные ощущения могут свидетельствовать о пародонтозе или пульпите, атакие заболевания требуют срочного хирургического вмешательства.
Если зуб не будет удален, то вскоре произойдет генерализация инфекции и сильный скачок температуры. Затем инфекция распространится по кровотоку, дойдет до гайморовых пазух, а может быть, и до головного мозга, что чревато серьезными последствиями для здоровья и жизни человека.
Можно ли принимать лекарственные препараты
При сильных болевых синдромах многие торопятся принимать антибиотики и противовоспалительные лекарства, к примеру, Нимесил, но прием медикаментов без назначения врача чреват серьезными последствиями. Антибактериальная терапия лишь временно устранит очаг инфекции.
К примеру, тот же Нимесил – это эффективный противовоспалительный препарат. Но он применяется в стоматологии только тогда, когда мертвый зуб запломбировали корректно, и вскрывать его нецелесообразно. Прием Нимесила оправдан только в крайних случаях, поскольку медикамент имеет массу противопоказаний и побочных эффектов.
Не следует оттягивать посещение стоматолога и лечить заболевание с помощью самостоятельно подобранных медикаментов. Если для избавления от боли нужно удалять зуб, таблетки не спасут ситуацию.
Какие анальгезирующие средства можно принять
Если у человека болит зуб с запломбированными каналами, то ни в коем случае нельзя начинать прием анестетика и анальгетика. Медикаменты снимут болевой синдром, но не причину воспаления. А это может привести к серьезным осложнениям, вплоть до летального исхода.
В отдельных случаях можно воспользоваться средствами народной медицины, поскольку они не имеют побочных эффектов и не обладают таким сильным болеутоляющим действием, а потому не дадут проигнорировать серьезное заболевание.
Для снятия неприятных ощущений можно прополоскать рот:
- противовоспалительным солевым раствором с содой;
- травяным настоем из ромашки, мелиссы, шалфея или тысячелистника;
- содовым раствором с небольшим добавлением йода.
Соль с перцем
Если причины, по которым болит зуб после установки пломбы, не связаны с воспалительными процессами в ротовой полости и носят временный характер, неприятные ощущения можно устранить с помощью смеси соли и перца. Специи смешивают в пропорциях один к одному и разводят водой до образования однородной кашицы. После этого смесь наносят на воспаленный участок.
Лекарственные травы
Справиться с болью в зубах помогает гвоздика. Растение обладает следующими свойствами:
- анестезирующими;
- антибактериальными;
- противовоспалительными;
- антиоксидантными.
Чтобы приготовить гвоздичное «лекарство», необходимо измельчить цветки в количестве 2–3 головок и смешать их с растительным маслом, а затем втирать получившуюся смесь в десну и прикладывать ее к ноющему зубу.
В борьбе с болью помогает и готовое гвоздичное масло. Следует накапать его в стакан воды (примерно 5–7 капель на 200 грамм жидкости) и прополоскать рот полученным раствором.
Можно пожевать кусочек прополиса или забруса, так как эти медовые продукты обладают сильным анальгезирующим и противовоспалительным действием. Если боль локализуется в одном участке десны, можно положить на него немного косметической глины.
Лучше делать эту манипуляцию перед сном, поскольку глина осыпается. Чтобы избавиться от ее остатков, следует почистить зубы и прополоскать рот.
Если после всех манипуляций зуб продолжает болеть, надо посетить стоматолога: симптом мог проявиться из-за пульпита или пародонтоза, а их глиной и гвоздикой не вылечить.
Простые народные средства помогут снять болевой синдром, если его причина безобидна, но и при более серьезных патологиях они не нанесут вреда. Если десна опухает и болит в первые дни после пломбирования зуба, можно попробовать снять воспаление самостоятельно. Но при сохранении симптомов в течение недели нужно идти к доктору.
Запрещенные методы самолечения
Применение неподходящих и даже опасных методов самолечения может привести к тяжелым последствиям и осложнениям. Когда болит зуб, ни в коем случае нельзя:
- ставить уколы медикаментозных препаратов в десну;
- вскрывать мягкие ткани, пытаясь извлечь гной;
- прогревать и растирать зуб спиртосодержащими напитками, поскольку тепловые процедуры спровоцируют распространение инфекции;
- пытаться самостоятельно удалить пломбу, даже временную, поскольку это не только неэффективно и больно, но еще и опасно для здоровья;
- постоянно надавливать и нажимать на болезненный участок;
- прикладывать к десне лед;
- лечить болезнь антибиотиками без назначения врача.
Сколько времени болит зуб после пломбирования
Пломбирование проводится под анестезией. Когда действие наркоза заканчивается, пациенты всегда ощущают дискомфорт при надавливании на вылеченный зуб.
В течение нескольких дней после посещения врача боль может наблюдаться при нажатии на зуб и при прочих механических воздействиях, в том числе при жевании, иногда появляются реакции на слишком холодную или горячую пищу – все эти явления естественны.

Любые стоматологические манипуляции представляют собой небольшую хирургическую операцию, поэтому вполне естественно, что после них происходит заживление тканей. Если надавить на ранку на коленке или послеоперационный шов, человек тоже почувствует боль. Но зуб после пломбирования и лечения каналов не может болеть долго.
Если неприятные ощущения не исчезли через 4–5 дней после посещения поликлиники, то следует повторно посетить врача.
Если зуб заболел не сразу, а через какое-то время после установки пломбы, симптом может свидетельствовать о развитии воспалительного процесса.
Следует уделить должное внимание своему здоровью, если неприятные ощущения появляются в течение длительного времени и преимущественно в ночное или вечернее время.
Источник:
Зубная боль после пломбирования каналов

Лечение зубов – не самая приятная медицинская процедура, однако случается так, что с выходом из кабинета стоматолога проблемы пациента не заканчиваются.
Иногда после завершения лечения боль не уходит.
Насколько опасен этот симптом? Что делать, если зуб болит после пломбирования каналов? В этой статье разобраны различные причины такого неприятного состояния и даны рекомендации по его устранению.
Для чего пломбировать каналы
Кариозное поражение бывает разной степени глубины. Иногда сверху оно выглядит небольшим черным пятнышком, разрастаясь в глубь коронки. Поэтому тактика лечения кариеса зависит от того, насколько большую площадь поразило воспаление. Иногда врачу достаточно лишь удалить разрушенные ткани, обработать их специальным препаратом, который обеспечит сцепку с цементом, и запломбировать полость.
Если же кариес проник в недра зуба и, в частности, в пульповую камеру, то приходится удалять нервы и прочищать нервные каналы, обрабатывать их специальным антисептическим препаратом, заполнять композитом, а потом накладывать пломбировочный материал на коронку, либо ставить протез.
В идеале такое лечение должно устранить все очаги воспаления и вернуть зубу его природную функцию. Однако оплошности в лечении, несоблюдение технологии обработки канала или другие факторы могут вызывать повторное воспаление, и тогда пролеченная единица начинает болеть.
Когда боль – это норма
Тем не менее не всегда дискомфорт после лечения говорит о каких-то нарушениях технологии пломбирования каналов.
Дело в том, что лечение кариеса и тем более пульпита – довольно болезненная процедура, поэтому врач обязательно использует анестезию. Благодаря ей пациент не чувствует того воздействия, которое оказывают инструменты на ткани полости рта.
Когда же действие местного обезболивающего заканчивается, все последствия инструментального вторжения дают о себе знать.
К тому же дискомфорт причинять может цемент, который застывает и сжимается, воздействуя на ткани коронки.
Не стоит переживать за боль после лечения в следующих случаях:
- если боль появляется при механическом воздействии на зуб (надавливании, ударении),
- возникает при контакте поверхности коронки с горячей или холодной, а также кислой, сладкой или острой пищей,
- проходит, когда исчезает раздражитель,
- держится не более пяти дней, и с каждым днем становится все слабее,
- никаких других факторов, кроме самой (слабой) болезненности, не наблюдается.
Важно! В особо тяжелых случаях терапии дискомфорт в зубе может наблюдаться до двух недель, о чем должен предупреждать врач. В таких случаях, как правило, он назначает повторный прием через несколько дней, чтобы убедиться в отсутствии осложнений.
Симптомы, которые должны насторожить
- боль носит острый, пульсирующий характер и сохраняется даже после того, как убран раздражитель,
- боль возникает произвольно, без видимых причин (особенно ночью),
- наблюдаются признаки воспаления: отек и покраснение десен, повышение температуры тела, головная боль,
- наблюдаются признаки аллергической реакции: покраснение языка, губ, десен, налет на мягких тканях полости рта, их зуд, жжение, болезненность,
- боль иррадирует в соседние зубы или даже в отдельные участки головы: в висок, глаз, ухо.
Причины возникновения боли после пломбирования каналов
- ошибки в выполнении технологии лечения (пересушивание или недосушивание полости зуба, ожог дентина полимеризационной лампой и т.д.)
- ошибки в пломбировании канала (неплотное заполнение канала композитом, выход цемента за контур зуба, перфорация канала или корня, инородное тело в полости зуба и т.д.),
- аллергическая реакция на один из компонентов прокладки или пломбы,
- нарушение прикуса,
- разгерметизация пломбы,
- осложнение после лечения (повторный кариес или воспаление нервного отростка, гранулема или киста корня и т.д.).
Теперь давайте рассмотрим основные причины более подробно.
1. Пересушивание (недосушивание) дентина
Когда коронка вскрыта и освобождена от пораженной кариесом ткани, врач должен обработать получившуюся лунку специальным раствором, который впитывается в дентин и обеспечивает крепкое сцепление с пломбировочным материалом. Но перед тем, как наложить такую «грунтовку», доктор должен подсушить поверхность, ведь остатки слюны будут препятствовать впитыванию препарата.

Если недостаточно высушить поверхность, то сцепление с пломбой будет слабым, и под давлением, которое возникает при жевании, пломба разгерметизируется и начнет разрушаться, а под нее могут попасть микробы, которые вызовут развитие кариеса.
Если пересушить поверхность лунки, то обменные процессы в зубной ткани замедлятся или вовсе остановятся, тем самым лишая ее возможности адаптироваться к инородному соседу – цементу.
2. Ожог лампой
Перегрев твердых тканей во время наложения светоотверждаемой пломбы также может стать причиной болей, потому что воздействие высокой температуры может травмировать или даже разрушить зубную ткань.
3. Перфорация канала или корня
Подготавливая каналы к пломбированию, стоматолог прочищает их специальными тонкими иглами, удаляя остатки нерва, гноя или некротизированных тканей, если таковые имеются. Изгибы проходов иногда такие неожиданные, что врач может случайно проткнуть один из них.
Профессионал, конечно, сразу заметит проблему и тут же закроет отверстие специальным клеем, но вот новичок может не заметить своей оплошности и заложить в перфорированный канал композит.
Это приведет к тому, что часть цемента начнет сквозь отверстие проникать за пределы канала, доставляя человеку дискомфорт.
4. Усадка пломбы
Когда композит, заложенный в полость, окончательно отвердевает, он сужается и дает небольшую усадку. Но раз он прочно присоединен к стенкам высверленной лунки, то он как бы тянет их за собой, из-за чего в эмали появляются микротрещины. Со временем зуб решит эту проблему, нарастив дентин, но первое время в эти трещины проникает воздух и тревожит нервные окончания.
5. Инородное тело
У каждого человека индивидуальный рисунок и толщина нервных каналов, поэтому редко, но при чистке особо сложных участков может отломиться кончик инструмента, потому что сам инструмент довольно хрупкий.
Если врач вовремя заметит это, то может извлечь обломок или же провести депофорез, обеззаразив и герметично закрыв участок с инородным телом.
Но если стоматолог не заметит поломку инструмента, то обломок может вызвать воспаление зубной ткани – и тем самым дискомфорт после лечения.
6. Аллергия
Иногда после терапии наблюдается индивидуальная реакция на один из компонентов пломбировочного материала – и тогда причиной болей является банальная аллергия.
Она может возникать и из-за такого явления, как гальванический ток – когда металлические части ортопедической или ортодонтической конструкции в полости рта начинают взаимодействовать с металлическими частичками пломбы.
7. Нарушение прикуса
Довольно частотная причина дискомфорта после лечения. Дело в том, что под воздействием анестезия пациент иногда не может сказать, удобно ли ему смыкать зубы после наложения пломбы.
А некоторые просто стесняются признаться в этом или хотят побыстрее покинут кабинет стоматолога. Все заканчивается тем, что пломба выпирает над привычной поверхностью зуба, и при жевании антагонист давит на нее сильнее, чем обычно.
Из-за этого ткани пролеченного зуба испытывают дискомфорт и отзываются болью.
8. Разгерметизация пломбы
Это, как правило, следствие одной из вышеперечисленных причин – нарушения прикуса, усадки пломбы, нарушении техники обработки дентина. Так или иначе под сильным механическим воздействием, создающим вакуумную тягу, один край пломбы отходит от стенки лунки или откалывается. Незащищенная внутренность коронки открывается агрессивному воздействию и реагирует на него.
9. Повторный кариес
Бывает, что врач не до конца удалил частички разрушенной ткани или плохо обработал стенки полости, и там сохранились микробы, вызывающие кариес. Они начинают размножаться под пломбой и разъедать дентин, добираясь до нервных окончаний.
Также причиной вторичного кариеса может служить разгерметизация пломбы.
10. Пульпит под пломбой
Это осложнение, при котором кариозные микробы проникают в пульповую камеру и начинают уничтожать нервную ткань. Пульпит может развиться не только из-за невнимательности врача, который плохо очистил коронку от пораженного кариесом дентина, но и из-за внутреннего воспаления, возникшего из-за оставшихся пустот в каналах или инородных предметов.
11. Киста или гранулема корня
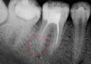
Эти два заболевания чаще возникают как осложнения пульпита, когда нервная ткань разрушается, и продукты гниения попадают в корень зуба. Тогда в лунке, где он крепится, начинается воспалительный процесс, причиняющий сильную боль. В зависимости от локализации воспаления и его интенсивности с помощью рентгенографии диагностируется либо гранулема, либо киста верхушки корня.
Особенности установки и боли под временной пломбой
Иногда, если того требует клиническая картина, лечение происходит в несколько этапов. На первом врач очищает полость зуба и закладывает внутрь лекарственный препарат, который должен либо убить микробов, либо остановить воспаление, либо помочь регенерировать дентин.

В некоторых случаях в каналы закладывается специальная паста, которая убивает нерв, чтобы можно было запломбировать канал. Чтобы не подвергать вскрытый зуб воздействию микробов и пищи, стоматологи запечатывают его временной пломбой.
С ней пациент должен ходить до следующего приема, и в этот период у него могут наблюдаться болезненные ощущения. Иногда это нормальная реакция организма, но чаще всего – показатель того, что лекарственные препараты не могут справиться с проблемой.
На втором приеме врач принимает решение о дальнейшей тактике лечения, исходя из жалоб и состояния больного.
Как лечат боль под пломбой
Самый распространенный страх пациента с такой проблемой – повторное рассверливание зуба. Однако в некоторых ситуациях такого вмешательства не требуется. В некоторых ситуациях будет достаточно назначения физиолечения, например, при повреждении дентина во время сушки.
Если причиной болей является излишне выступающая пломба, то врач проведет коррекцию, убрав мешающий участок.
При аллергии важно выяснить, на какой именно компонент возникла реакции, и заменить либо пломбу, либо конструкцию, которая дает гальванический ток.
Как вести себя после лечения
Чтобы восстановление после пломбирования каналов прошло быстро и безболезненно, важно соблюдать некоторые меры предосторожности и выполнять рекомендации врача. Самое главное – снизить воздействие на пролеченный зуб и следить за гигиеной полости рта. Так что меры профилактики будут следующими:
- в первые 3-5 дней употреблять только теплую пищу, отказавшись от горячей или холодной,
- также стоит на время забыть о сладком и чересчур твердой пище (орехах, семечках, сухарях и т.д.),
- одеваться по погоде, не допускать переохлаждения,
- отказаться от курения и алкоголя,
- соблюдать гигиену полости рта: чистить зубы щеткой с мягкой щетиной, избегать отбеливающих паст, а после еды полоскать рот специальным раствором.
Как помочь себе в домашних условиях
Как правило, самолечение ноющего под пломбой зуба не приводит ни к чему хорошему. Анальгетики лишь снимают боль, не оказывая терапевтического воздействия, полоскание травами и содо-солевым раствором также дает временное облегчение. Прогревание может усугубить состояние, спровоцировав распространение инфекции.
Лучше всего при возникновении боли – сразу обратится за квалифицированной помощью. Если сделать это в ближайшее время невозможно, снять болевой синдром можно с помощью анальгетиков (пенталгин, кетанол, солпадеин) или противовоспалительных препаратов (нимесулид, ибупрофен).
по теме
Источник:
После пломбирования болит зуб – норма или патология?

Практически каждый человек сталкивается с зубной болью. Основной причиной боли всегда остается кариозное поражение. Когда кариес достигает запущенной стадии и проникает в зуб на значительную глубину, человек в срочном порядке бежит к стоматологу. Оперативным лечением является пломбирование зуба.
В медицинских кругах, подобное вмешательство называют эндодонтическим лечением – осуществляются все возможные способы сохранения зуба, а все действия происходят внутри полости зуба.
В глазах людей, лечение кариеса давно стало обыденностью, как поход в салон красоты или на массаж. Однако эндодонтия до сих пор считается высшим пилотажем в лечение заболеваний полости рта.
Подобное лечение требует большого опыта и высочайшей техники исполнения, особенно, когда зуб поразил глубокий кариес, развивается осложнение в виде пульпита или другие патологии [1].
После посещения стоматолога, большинство людей задают себе вопрос – почему при надавливании болит зуб после пломбирования? Кажется, что после пломбирования, боль должна отступить, ведь очаг кариеса уничтожен и доступ к нему полностью закрыт.
Но по факту, боль никуда не уходит, она может стать сильней и мучить человека еще продолжительное время. Чаще всего подобное является нормальной реакцией организма, но также подобное возможно из-за некачественного лечения, особенностей организма, присоединения различных инфекций или осложнений.
Поэтому важно понимать, когда не стоит волноваться, а когда следует начинать бить тревогу и повторно обращаться к стоматологу.
Причины боли после пломбирования
Так почему болит зуб после пломбирования? Стоит сразу понять, что лечение кариеса является сложной процедурой, практически хирургической. Происходит сильное воздействие на эмаль, дентин и прочие ткани зуба.
Местный наркоз делает свое дело, но организм получает урон и последствия урона выражаются в болевых ощущениях.
Отсутствие дискомфорта или боли возможно, если проводилось лечение поверхностного кариеса, либо несложные общие манипуляции, во всех остальных случаях, после наркоза, организм продолжает напоминать человеку о необходимости вовремя посещать стоматолога.

Боль после пломбирования является нормой. Характер боли ноющий, проявляющийся при надавливании на зуб, особенно в процессе жевания. Подобное состояние является временным и достаточно быстро сходит на нет. Если болевые ощущения создают серьезный дискомфорт, то возможно потребление прописанных врачом обезболивающих лекарственных препаратов [2].
Когда болит зуб после пломбирования, ожидание не всегда заканчивается полным выздоровлением. Если зуб болит продолжительное время, боль не утихает, а еще больше разгорается, то необходимо найти причину подобного состояния, естественно обратившись к стоматологу. Откидывая естественный период восстановления, причины могут быть следующими [2]:
- Образование пустот в полости зуба или неполное удаление пораженной пульпы, что провоцирует новый очаг поражения и роста воспаления.
- Хронический пульпит как осложнение пломбирования. Часто проявляется волнообразным приступом боли во время еды.
- 3Повторное развитие кариеса в закрытой полости зуба из-за некачественно проведенной процедуры.Аллергическая реакция на пломбировочный материал также может выражаться болезненными ощущениями.
- Несоблюдение рекомендаций врача после проведения пломбирования.
- Различные врачебные ошибки и некачественно проведенная процедура по пломбированию.
Врачебные ошибки при пломбировании не редкость. Связано подобное с недостаточным опытом и сложностью процедуры, особенно при обширном пломбировании или чистке каналов зуба. Самая частая ошибка – не качественная обтурация корневых каналов (заполнение герметизирующей массой), что ведет к образованию полостей внутри зуба [3].
Крайне неприятным осложнением из-за врачебной ошибки является перфорация твердых тканей зуба (случайное сквозное отверстие). При лечении пульпита или периодонтита, случайная перфорация случается в 3-12% случаев.
В дальнейшем, перфорированная зубная ткань, чаще всего корень зуба, начинает воспаляться и провоцировать различные осложнения.
Выражается процесс сильной болью и дискомфортом, требуется обязательное лечение, иначе высок шанс потери зуба.
Помимо перфорации стоматолог может допустить и другие ошибки. Частой ошибкой является выведение пломбировочного материала за изначальную форму зуба. Подобное особенно неприятно при глубоком пломбировании каналов корней зуба. Может возникнуть боль при накусывании, образоваться отечность и гиперемия.
Еще одной ошибкой, связанной с пломбированием, является непреднамеренное проталкивание пломбирующей массы в полость пазух, из-за чего развивается хронический синусит. Нередко, после вскрытия продолжающего болеть запломбированного зуба, стоматологи находят в каналах остатки сломанных инструментов [3].
Почему болит зуб после пломбирования каналов?
Зачастую, при лечении глубокого кариеса, пульпита или других воспалительных патологий, удаляется зубной нерв. Образовавшуюся полость необходимо запломбировать, для этого применяют совершенно различные пломбировочные материалы. Кажется, что без нерва зуб не может болеть, однако подобное случается и достаточно часто. Когда болит зуб после пломбирования каналов, действуют особые правила.
Необходимо запомнить, что после чистки каналов, удаления нерва и установки пломбы, боль является патологией, а следовательно стоит обратиться к своему стоматологу, возможно потребуется перепломбировка.
Ноющий зуб после удаления нерва, опломбирования или установки временной пломбы, говорит о том, что были нарушена технология лечения, то есть причина опять кроется во врачебной ошибке *4:
- Была произведена некачественная обработка каналов зуба. Внутри остался небольшой участок инфицированной ткани, что привело к образованию нового очага воспаления.
- Неправильная пломбировка канала, из-за которой образовались пустоты.
- Отлом инструмента. Кусочек может оказаться слишком небольшим, чтобы заметить подобное визуально, но в дальнейшем он обязательно даст о себе знать. При подозрении на инородное тело в канале зуба делается рентгеновский снимок.
- Про перфорацию уже было сказано и именно при работе с каналами подобная ошибка возникает чаще всего, что связано с высокой сложностью процедуры.
Как уменьшить болевые ощущения после пломбирования
Когда ноет зуб после пломбирования, тяжело сосредоточиться на работе или отдыхе. Человек начинает нервничать, сильнее устает, плохо спит – развивается стресс. Если болевые ощущения во время процесса восстановления слишком сильные, то могут помочь следующие рекомендации [2]:
- После пломбирования, особенно в первые несколько дней, необходимо избегать раздражающих факторов, таких как слишком холодная или горячая пища и напитки.
- Потреблять стоит мягкую пищу, желательно пюреобразную, избегать твердых или труднопережевываемых продуктов.
- Не рекомендуется потребление излишне сладких или кислых продуктов.
- Следует снизить нагрузку на запломбированный зуб и пережевывать пищу на другой стороне рта.
- Гигиена по-прежнему нужна, особенно в качестве препятствования образования новых воспалительных процессов.
- Употребление прописанных стоматологом обезболивающих и успокоительных препаратов.
Когда после пломбирования болит зуб, следует внимательно следить за ощущениями, общим дискомфортом и не свойственными признаками. При подозрении на нестандартные причины боли следует сразу обратиться к врачу. Именно поэтому не стоит злоупотреблять обезболивающими препаратами – можно пропустить начало серьезного осложнения.
Иногда, пломбирование может спровоцировать воспалительные процессы. В таких случаях врач может прописать специальные препараты, для борьбы с инфекцией или в качестве профилактических целях после лечения. Одним из таких препаратов является Имудон® – иммуностимулятор местного действия [5].
Среди прямых показаний к применению Имудон® числятся такие заболевания полости рта как пародонтоз, пародонтит, стоматит, глоссит, гингивит, дисбактериоз и инфекции после удаления зубов или установки имплантов.
Имудон® активирует защитные силы организма (местный иммунитет) на борьбу с возбудителями воспалительного процесса.
Также препарат имеет удобную форму таблеток для рассасывания, что обеспечивает действенное воздействие в самом очаге заболеваний полости рта [5].
Статья подготовлена по материалам:
1. Петрикас, А. Распространенность осложнений кариеса зубов / А.Ж. Петрикас, Е.Л. Захарова, Е.Б. Ольховская, Е.В. Честных // Стоматология – 2014 г. – №1(93) – С. 19-20.2. Плешкова, Т. Боли после эндодонтического лечения зубов / Т.П. Плешкова, А.А. ненашева, В.И. Дущенко, В.В. Зорина, А.С.
Велиев // Волгоградский Государственный медицинский университет, учебное пособие – 2017 г. – С. 1-6.3. Гажва, С. Ошибки и осложнения эндодонтического лечения и пути их устранения / С.И. Гажва, В.А. Кучер, А.С. Лесков, Н.А. Гуренкова и др. // Уральский медицинский журнал – 2011 г. – №10(88) – С.
90-96.br> 4. Батюков, Н. Сравнительная оценка эффективности пломбирования корневых каналов зубов различными методами / Н.М. Батюков, Д.А. Воропанов, И.Р. Перадзе // Клиническая стоматология – 2014 г. – №2 – С. 24-25.
5.
ИНСТРУКЦИЯ ПО МЕДИЦИНСКОМУ ПРИМЕНЕНИЮ ЛЕКАРСТВЕННОГО ПРЕПАРАТА Имудон® от 02.07.2018.
Источник:
Почему болит зуб после удаления нерва и пломбирования каналов
Обработка корневых каналов – травматичная и болезненная операция. И хотя после лечения мы надеемся раз и навсегда распрощаться с болями, неприятные ощущения могут преследовать и после посещения врача. В некоторых случаях это всего лишь допустимая реакция организма на процедуру, а в некоторых – нетипичное осложнение, игнорировать которое опасно для здоровья.
Как болит зуб после пломбирования каналов?
В зависимости от того, как именно болит зуб после пломбирования каналов, различают несколько симптомов. Они могут проявляться по отдельности или вместе, в разных комбинациях.
Повышенная чувствительность при накусывании
Во время жевания и при надкусывании на зуб повышенная чувствительность может переходить в болезненные ощущения.
Сильная боль при надавливании
Острые боли могут быть как самопроизвольными, так и ответными (например, возникают при нажатии на зуб, от контакта с горячими напитками и едой). В некоторых случаях боли пульсирующие, приступообразные. Как правило, они усиливаются ночью.
Ноющая боль
Ощущения такого характера обычно непроизвольные и могут беспокоить в любое время и при любых условиях.
Почему болит зуб после удаления нерва и пломбировки каналов?
Существуют две главные причины:
- Физиологическая реакция организма на бормашину и удаление пульпы (нервно-сосудистой ткани зубной полости) – одна из них.
- Врачебные ошибки и халатность.
Рассмотрим более детально частые и случаи и влияние человеческого фактора.
Пересушивание и ожоги дентина
Если врач сверлит зуб слишком долго и/или не использует охлаждение, страдают внутренние ткани. Нервные окончания сразу же дают об этом знать, из-за чего после пломбирования каналов болит зуб.

Может случиться по двум причинам: вследствие механической травмы или из-за установки пломбы в слишком влажную полость зуба. В обоих случаях пломбировочный материал отрывается от полости зуба, туда попадает воздух, нервные окончания раздражаются.
Аллергия
В случае аллергической реакции на материалы или медикаменты, используемые во время лечения пульпита, после пломбировки каналов зубы болят достаточно сильно, происходит отек десны. Если аллергеном стали средства для местного наркоза, не исключена головная боль.
Изменение прикуса
Слишком высокие пломбы мешают челюстям нормально смыкаться, отчего при надкусывании на леченный зуб появляются болевые ощущения. Такие ошибки часто допускаются, ведь под действием наркоза пациентам сложно понять, мешает им пломба или нет.
Усадка пломбы
Пломбировочные материалы отвердевают под действием света, излучаемого полимеризационными лампами. В свою очередь пломбировочный материал при этом может давать усадку, отчего пломба начинает давить на стенки коронки и провоцирует появление микротрещин. Через трещины в полость зуба попадает воздух, на который реагирует нервные окончания.
Влияние полимеризационных ламп
Некоторые ученые считают, что тепло от ламп изменяет строение живой сосудисто-нервной ткани зуба. По их мнению эти изменения сопровождаются болями.
Несоблюдение техники лечения пульпита
В 60% случаев зуб после чистки каналов болит именно по причине некачественной пломбировки. Если нервная ткань не была полностью удалена или же каналы были недостаточно заполнены пломбировочным материалом, боли неизбежны.
Перфорация зубных корней
Другими словами – прокол корня, проделывание в нем отверстия. Это может привести к попаданию пломбировочного материала в периодонт (ткань между корнем зуба и костью). Очень тяжелые случаи, при которых боли длятся до полугода.
Отлом инструмента в канале
Обломки вызывают болезненные ощущения, нередко их приходится удалять хирургическим путем.
Что делать, когда болит зуб после чистки каналов?
Чтобы предотвратить усиление болевых ощущений, нужно в первые пару дней после лечения:
- отказаться от слишком горячей, холодной и сладкой еды и напитков;
- избегать переохлаждения (в холодную и ветреную погоду шапка обязательна);
- исключить из рациона слишком твердую пищу, которую нужно раскусывать;
- снизить нагрузку на причинный зуб и жевать на другую сторону;
- отказаться от курения.
В каких случаях нужно обратиться к стоматологу?
Квалифицированная стоматологическая помощь нужна пациентам, страдающим от:
- длительных зубных болей (более двух недель);
- усиливающихся день за днем болей;
- болей, сопровождающихся воспалительными процессами в ротовой полости.
В этих случаях терпеть ни в коем случае не рекомендуется, нужно сразу же обратиться к врачу.
Методы лечения болевого синдрома после пломбирования
Когда болит зуб после чистки каналов, снять неприятные ощущения можно как в домашних условиях, так и у дантиста.
В домашних условиях
Универсальный способ справиться с болями предполагает:
- теплые полоскания (содосолевым раствором, отварами лекарственных трав) четыре-пять раз в день;
- медикаментозную терапию (периодический прием таких обезболивающих средств, как Нимесулид, Темпалгин, Кетанов, Баралгин).
В клинике
В самых сложных ситуациях показана физиотерапия:
- ультразвуковая терапия (ультразвуковые волны оказывают болеутоляющее и противовоспалительное действие);
- лазерная терапия (оказывает такое же действие, как и ультразвуковая);
- электрофорез анестетиков (быстро и надолго снимает боли);
- сантиметроволновая и дециметроволновая терапия (эти сверхчастотные волны снимают воспаление и уменьшает отеки).
Должен ли болеть зуб после лечения каналов?
Временные и постепенно затихающие боли после удаления нерва неизбежны. Это физиологическая реакция организма на удаление тканей пульпы

В норме – до одной-двух недель.
Перелечат ли зуб бесплатно?
Если на зуб была выписана гарантия – да.
Можно ли самостоятельно избавиться от болей?
Да, если боли вызваны обычной реакцией на удаление пульпы и со временем затихают. Если причины болей связаны с какими-либо осложнениями, эффект от обезболивания будет краткосрочным, полностью избавиться от болевого синдрома поможет только врач.
Представленная в этой статье информация поможет снять невыраженные боли после пломбирования каналов в домашних условиях и подскажет, в каких случаях нужно обращаться за помощью к стоматологу. Ознакомиться со списком клиник, в которых можно получить профессиональную помощь, можно ознакомиться на нашем сайте.
Источник:
