Киста при беременности: последствия и опасность для ребенка

Во время беременности женщина проходит ряд обследований и нередко во время УЗИ-диагностики специалист обнаруживает наличие нежелательных патологий. Киста при беременности не должна быть поводом для паники, т.к. в большинстве случаев эти процессы абсолютно совместимы и не несут угрозы здоровью будущей мамы и ее ребенку. Но бывают и противоположные случаи.
Что такое киста желтого тела?
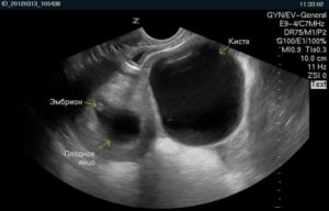
Киста желтого тела или лютеиновая киста – это доброкачественное новообразование на яичниках женщины. Внешний вид напоминает гладкую толстостенную капсулу, образованную из яичниковой ткани и заполненную желтой жидкостью.
Такая разновидность патологии может размещаться как на правом, так и на левом яичнике и в размерах достигать до 8 см. По строению киста может быть однополостной и многополостной.
Протекает практически незаметно, редко женщина может чувствовать незначительную тянущую боль внизу живота или давление на близлежащие ткани и органы, иррадиацию в поясничную область, распирание внизу живота (симптоматика особенно заметна при физических упражнениях, беге, ходьбе, наклонах, поворотах).
Диагностировать патологию можно при помощи УЗИ, осмотра гинеколога, лапароскопии. Встречается такая киста и в зрелом, и в юном возрасте.
Почему образуется киста яичника во время беременности?
Появление данной патологии в начале беременности врачи не связывают с каким-либо нарушением в организме, поэтому точно указать причину появления образования никто не может. Специалисты выделяют лишь предполагаемые факторы, которые могут повлиять на образование кисты:
- гормональный сбой в организме;
- воспалительные заболевания придатков;
- нарушение лимфооттока и кровообращения в тканях яичников;
- чрезмерная худоба или наоборот ожирение;
- инфекции, которые передаются половым путем.
Также, вероятность образования патологии повышают серьезные физические и психологические нагрузки, несбалансированное питание, прием некоторых лекарственных препаратов (например, гормональных). Все это приводит к дисбалансу в эндокринной системе и, как следствие, образованию кисты.
Еще одной возможной причиной появления кисты может стать генетическая предрасположенность. Если у матери или бабушки была диагностирована данная патология, то вероятность появления кисты возрастает.
Как принято лечить кисту при беременности?
Если киста яичника при беременности не проявляется клинически и имеет небольшие размеры, то лечение не обязательно. Тактика докторов в этом случае будет выжидательной. Чтобы контролировать развитие образования рекомендуется периодический осмотр у гинеколога и ультразвуковая диагностика.
Рецидивирующие, симптоматические кисты способны рассасываться под влиянием следующих лекарственных препаратов:
- «Дюфастон» – гормональный препарат, который приостанавливает рост кисты и способствует ее регрессии.
- «Вольтарен» – нестероидный противовоспалительный препарат, который применяют для лечения и предотвращения инфекционных процессов.
- «Фемикапс» (БАД) – общеукрепляющий препарат, который назначают для коррекции гинекологических болезней у женщин, связанных с нарушением гормонального фона.
Из вышеперечисленного можно сделать вывод, что вылечить данную патологию можно без хирургического вмешательства. Однако существуют случаи, когда требуется обязательное оперативное удаление, это всевозможные осложнения: некротические изменения тканей яичника, нагноения и пр.
Также, вопрос о хирургическом вмешательстве может стоять в случае, если размер образования превышает 6 см и спустя несколько месяцев не уменьшается в размерах. Оперативное удаление в этом случае проводится во избежание развития всевозможных осложнений.
Польза кисты при беременности
Желтое тело выделяет гормон прогестерон, который нужен для нормального протекания беременности.
Если зачатия не было, то желтое тело постепенно регрессирует и зачастую к концу месячного цикла самостоятельно исчезает.
При благополучном оплодотворении, желтое тело продолжает свою функциональную обязанность и синтезирует прогестерон еще на протяжении 12 недель, тем самым, выполняя роль плаценты. По прошествии данного срока производство гормона ложится на плацентарную оболочку, а желтое тело самопроизвольно рассасывается (иногда желтое тело продолжает свою жизнедеятельность в виде кисты).
Чего нельзя делать, если у вас киста яичника при беременности?
Если у женщины обнаружена данная патология, то специалисты рекомендуют ограничить половую активность, физические нагрузки (особенно в области передней брюшной стенки), резкие движения, чтобы предотвратить всевозможные осложнения. Кроме того, рекомендовано уменьшить горячие водные процедуры, солярий.
Общее укрепление организма и поддержка иммунитета также пойдут на пользу организму женщины. В этом помогут правильное питание с содержанием значительного количества овощей и фруктов в рационе, витаминная терапия, отсутствие стрессов, прогулки на свежем воздухе.
Чем может быть опасна киста при беременности для здоровья женщины?
Опасность кисты состоит в том, что со временем она может осложниться более серьезным состоянием:
- Апоплексия или разрыв (киста желтого тела при беременности очень редко осложняется разрывом, это связано с тем, что новообразование имеет толстые стенки. Если киста располагается возле сосуда яичника и произошел разрыв, то существует вероятность внезапного кровоизлияния в брюшину, яичник или полость малого таза. В зависимости от количества потерянной крови, женщина может чувствовать как вялость, сонливость и слабость, так и острую режущую боль в брюшине, шок).
- Перекрут (состояние, при котором, ножка, которая питает кисту, перекручивается вокруг своей оси, со временем это приводит к некрозу тканей. В этом случае женщина чувствует нарастающую интенсивную болезненность внизу живота).
- Инфицирование (патология может привести к нагноению и воспалению кисты).
Положительным моментом является то, что данная разновидность кисты никогда не малигнизируется, т.е. не перерождается в злокачественное образование.
Последствия наличия кисты для будущего ребенка
Киста во время беременности не несет никакой угрозы для плода. Только слишком маленькие размеры желтого тела на ранних сроках беременности (до 1 см) могут свидетельствовать о пониженной выработке гормона прогестерона, что грозит ранним выкидышем. Однако, своевременное диагностирование этой патологии дает возможность сохранить беременность при помощи гормональных препаратов.
Признаки, что лопнула киста во время беременности
При аномальном развитии кисты, могут возникнуть осложнения. Разрыв образования – редкое явление, однако в медицинской практике зафиксированы подобные случаи.
Это состояние негативно влияет на здоровье беременной женщины, его принято называть симптомом острого живота. Женщина чувствует острую схваткообразную боль, колики в области яичников.
Кроме того, начинают проявляться следующие неспецифические признаки:
- Задержка стула.
- Тошнота.
- Резкая болезненность при пальпации живота.
- Головокружение.
- Предобморочное состояние.
- Рвота.
При этом у женщины может наблюдаться пониженное АД, повышенная температура, холодный пот, учащенный пульс, кровотечение в брюшной полости.
Что делать, если лопнула киста яичника при беременности?
При разрыве кисты женщине требуется срочная медицинская помощь, т.к. содержимое образования может проникнуть в органы малого таза и вызвать перитонит или заражение крови. При своевременном медицинском вмешательстве прогноз здоровья матери и ребенка благоприятный.
Сама операция по удалению кисты не влияет на течение беременности, поэтому никакой угрозы плоду и матери не несет. Если удаление кисты проводится на ранних сроках беременности, то после женщине потребуется прием лекарственных препаратов, которые обеспечат нормализацию гормонального фона и предотвратят выкидыш.
Рассасывается ли киста при беременности и может ли пройти самостоятельно?
Киста может регрессировать и самостоятельно исчезнуть (обычно это происходит к 20 неделе беременности), поэтому зачастую никакого лечения не требуется, а только динамическое наблюдение у врача и УЗИ. Даже если после 20 недели киста не исчезла, то велика вероятность, что это случится после рождения ребенка.
Выводы
Киста при беременности – это распространенное явление, которое довольно редко приводит к каким-либо осложнениям.
Тем не менее, контролировать эту патологию при помощи УЗИ-диагностики и осмотра гинеколога необходимо обязательно.
Таким образом, можно своевременно определить склонность образования к стремительному росту, начать лечение и предотвратить появление опасных осложнений.
3 сентября, 2017 by anna
Источник:
Киста яичника при беременности

К сожалению, киста яичника — это диагноз, который женщина может услышать на любом этапе своей жизни, в том числе и во время беременности.
Возможные риски и последствия, связанные с этим новообразованием, зависят от его размера, давности и характера.
Поэтому разбираться в вопросе, что делать при обнаружении кисты яичника и как она влияет на течение беременности можно только после того, как будут известны причины появления и вид новообразования.
Классификация патологий
По своей природе кисты яичников делятся на:
- фолликулярные (или функциональные), возникающие из-за гормонального дисбаланса и рассасывающиеся самостоятельно спустя 2-3 месяца;
- дермоидные, содержащие различные виды тканей человеческого организма (волосы, жир, кожу, зубы и даже кости) и несущие опасность внезапного воспаления;
- параовариальные — белковые образования из тканей придатков;
- желтого тела, возникающие в результате нарушения процессов овуляции до наступления беременности;
- эндометриоидные, появляющиеся исключительно у женщин с диагнозом эндометриоз.
Как правило, кисты небольших размеров никак себя не проявляют. Они не ухудшают качество жизни, при хороших обстоятельствах не влияют на работу репродуктивной системы и, соответственно, не являются преградой для зачатия. Поэтому женщины узнают об их наличии уже во время первого УЗИ по беременности.
https://youtube.com/watch?v=2pWVmD8-Lr0
На этом этапе диагностики врач может лишь предположительно указать характер патологии, ориентируясь только на ее внешние проявления. Однако часто они имеют вид безопасных образований, но одновременно с этим носят злокачественный характер. Поэтому определить возможные риски с высокой точностью при помощи одного только УЗИ при беременности практически невозможно.
Помимо ультразвуковой диагностики, распознать наличие кисты яичника можно по следующим симптомам:
- тянущие или давящие боли в боку над бедром;
- чередование беспричинной диареи и запора;
- внезапное повышение температуры;
- болезненное мочеиспускание, отдающее спазмами в область матки;
- дискомфорт в боку при половом акте;
- темные мажущие выделения;
- гипертрофия, ощущение непрекращающегося напряжения мышц пресса.
Почему в яичниках образуются кисты
Точные причины формирования и роста новообразований не сможет назвать даже самый квалифицированный специалист. Однако медикам известны приблизительные прогнозы, увеличивающие риск появления и быстрого развития патологии.
Факторы, повышающие опасность возникновения кисты яичника:
- Нерегулярная половая жизнь.
- Операции, влияющие на гормональный фон (аборты, прижигание эрозии и т. д.).
- Недобор либо избыток веса.
- Венерические болезни и хронические воспалительные процессы.
- Многократные роды с маленькими промежутками.
- Искусственное прекращение лактации.
- Чрезмерные физические или эмоциональные нагрузки, затяжная депрессия.
- Бесконтрольный прием гормональных препаратов.
- Нерегулярные менструации до наступления беременности.
- Алкоголизм, табакокурение и голодание, приводящие к дефициту жизненно необходимых веществ.
Влияние на появление кисты могут оказывать даже индивидуальные особенности организма. Поэтому ситуации, когда диагноз слышат женщины, ведущие безупречный образ жизни и выполняющие все рекомендации врачей, встречаются всё чаще. А это значит, что спрогнозировать или предотвратить появление кисты при беременности попросту невозможно.
Какие существуют риски при обнаружении кисты яичника во время беременности
Образования небольших размеров ни в коем случае не являются показанием к прерыванию беременности. Однако наблюдать за ними следует на протяжении всего периода вынашивания плода.
При отсутствии прогресса роста кистозного образования его необходимо начинать лечить только после родоразрешения. В противном случае, когда киста увеличивается слишком стремительно, патология может привести к необратимым последствиям: усложнению течения беременности и повышению риска выкидыша.
Во втором триместре, характеризующемся активным ростом и появлением толчков плода, киста может перекрутиться и попросту лопнуть. Она может стать причиной перитонита (глобального воспаления брюшной полости), а также внутренних кровотечений, подлежащих крайне сложному и длительному лечению.
Кисты больших размеров неизменно сопровождаются болью, усиливающейся при движениях плода в утробе. Обострение дискомфорта провоцирует спазм мышц брюшной полости у будущей матери, что приводит к ограничениям двигательной активности малыша. Такое течение событий замедляет его развитие и может закончиться дисплазией суставов и другими, более серьезными патологиями.
В любом случае, имеющим кисту во время беременности, следует опасаться следующих симптомов:
- нарастающая или режущая боль в области проблемного яичника;
- бледность кожи, возникшая внезапно;
- слабость, обморок;
- рвота, отличающаяся от легкой тошноты при токсикозе;
- тахикардия, частое дыхание и сердцебиение;
- кровотечение из влагалища.
При возникновении вышеперечисленных симптомов молодой маме нужно незамедлительно вызвать скорую и отправиться в стационар. Недостаточное внимание к проблеме может привести не только к преждевременным родам, но и к самым худшим, необратимым последствиям.
Что делать при обнаружении кисты
Будущим мамам важно не волноваться, если образование не приносит характерного дискомфорта и не увеличивается в размерах. В некоторых случаях врач может порекомендовать медикаментозное профилактическое лечение — прием легких гормональных препаратов, снижающих все негативные последствия, связанные с наличием кисты.

Кроме того, при диагностике патологии рекомендуется воздержаться от любого вида физической активности, посещения бань, соляриев и приема горячих ванн. Следует ограничить половую активность, отдав предпочтение спокойному времяпровождению и отдыху.
В некоторых ситуациях специалисты могут настаивать на операции. Она рекомендована в случаях, когда размер новообразования достигает 60 мм.
Плановое хирургическое вмешательство выполняется в период с 14 по 16 неделю беременности. Оно заключается в небольшом надрезе в проблемной области и локальном удалении кисты под местной анестезией.
Сама операция занимает не более 2 часов и не представляет опасности ни для мамы, ни для малыша.
Похожие посты
Источник:
Киста яичника и беременность: чем угрожает будущей матери

Киста яичника и беременность – явление довольно частое. Такое новообразование возникает не только у женщин репродуктивного возраста и в период климакса, но и во время беременности.
Киста на яичнике может стать настоящей проблемой во время вынашивания ребенка, а в некоторых случаях и вовсе мешает забеременеть. Именно поэтому абсолютно все специалисты настоятельно рекомендуют готовиться к этому важному этапу в жизни.
Чем опасна киста яичника при беременности и что делать, чтоб от нее избавиться читайте далее.
Чем грозит киста во время беременности
Как только у женщины обнаруживается какая-либо патология органов малого таза, гинеколог сразу же назначает лечение. То же самое касается и образования в яичнике. Если киста возникла еще до беременности, пациентке выписывают гормональные препараты и витамины, в особо опасных случаях – проводят операцию.
Женщина, которая узнала о наличии образования на яичниках уже будучи беременной, должна быть счастлива, ведь некоторые ее виды препятствуют зачатию.
Но если оплодотворение все-таки произошло, первым делом специалист назначает ультразвуковую диагностику для определения размера и характера образования. Доброкачественные кисты лечения не требуют.
Женщине необходимо только принимать нужные витамины, регулярно сдавать анализы и делать УЗИ. Такое тщательное наблюдение позволяет контролировать развитие образования, и в случае озлокачествления, экстренно принимать меры.
Особую опасность киста яичника во время беременности несет только тогда, когда достигает больших размеров или начинает перерастать в онкологию. Так, образование может:
- лопнуть. Если произойдет разрыв кисты, все ее содержимое выйдет в брюшную полость. Женщина почувствует резкую боль;
- вызвать перекрут яичника. Грозит самопроизвольным абортом (выкидышем). Первые признаки: острая боль, отдающая в спину, бока, бедра.
Помните! Беременность с кистой яичника возможна. Однако нужно постоянно наблюдаться у врача и следовать всем его назначениям. В противном случае, общее состояние организма будет ухудшаться. Отсутствие лечения может привести к выкидышу или преждевременным родам.
Какие кисты опасны во время беременности
Как говорилось ранее, когда новообразование достигает больших размеров, оно не только начинает давить на соседние органы, но и угрожает жизни, как матери, так и ребенку.
Наибольшую опасность несут образования кистозного (цистаденома) и эндометриоидного характера.
В зависимости от содержимого, цистаденома может быть серозная (внутри жидкость) и слизистая (наполнена густой слизью). Этот вид образования достаточно быстро растет и может достигать до 30 см в диаметре! Увеличение цистаденомы сопровождается болезненными ощущениями в нижней части живота. При беременности на ранних сроках может появиться кровь.
Одновременное развитие плода и увеличение кисты яичника

Эндометриоидная (шоколадная) киста возникает вследствие эндометриоза. Содержимое коричневого цвета. Развитию способствует повышение уровня гормонов. Так как во время беременности эстроген увеличивается, то и образование начинает расти. Грозит апоплексией (разрывом). У беременной наблюдается резкая боль.
Немалую опасность несет и новообразование «на ножке». Такой тип способен вызвать перекрут яичника, который приведет к выкидышу.
Из-за большого количества возможных последствий, врачи тщательно следят за стоянием беременной, и рекомендуют всем женщинам избавиться от заболевания еще до зачатия.
Какие виды кисты не несут угрозу беременной
На ранних сроках беременности чаще всего может возникнуть киста желтого тела (лютеиновая).
Этот вид новообразования развивается из желтого тела, которое необходимо для правильного формирования плаценты. Если будущей мамочке был поставлен данный диагноз, волноваться не стоит.
Лютеиновая киста не угрожает беременности, не увеличивается в размерах и после 12 недель самостоятельно рассасывается.
Параовариальная киста яичника и беременность никак друг другу не мешают до тех пор, пока новообразование не начнет увеличиваться. На начальной стадии ведется постоянное наблюдение. Если киста начала расти – хирургическое вмешательство обязательно.
Абсолютно все кисты, которые имеют размер больше 6 см в диаметре, подвергаются удалению.
Лечение во время беременности
К сожалению, ни один специалист не может точно сказать, как поведет себя новообразование во время вынашивания ребенка, и может ли оно исчезнуть самостоятельно. Все зависит от индивидуальных особенностей организма и иммунитета. Сама женщина должна быть готова ко всему, и в случае чего, экстренно отправиться в больницу для оперативного вмешательства.
Удаление кисты яичника разрешается проводить во втором триместре беременности (14-16 неделя). Чаще всего используют метод лапароскопии. Продолжительность такой операции составляет примерно час-полтора в зависимости от типа образования.
Если во время беременности у женщины выявлено новообразование больших размеров или оно содержит злокачественные клетки, врач применяет лапаротомию. Операция предполагает гораздо больший разрез брюшной стенки, чем при лапароскопии.
Важно отметить, что женщина должна самостоятельно принимать окончательное решение относительно проведения операции. Специалисты сразу же предупреждают о том, что проведение удаления образования может нести угрозу как матери, так и ребенку.
Большинство женщин не хотят лишний раз рисковать и отказываются от хирургического вмешательства, все же надеясь на то, что киста рассосется сама по себе. Однако врачи категорически с этим не согласны, ведь если во время беременности произойдет разрыв образования или перекрут яичника, женщина может потерять ребенка.
Киста при беременности может возникнуть у любой женщины, даже если ранее у нее не наблюдались какие-либо нарушения внутренних половых органов. Последствия новобразования возможны, однако явление довольно редкое. У большинства женщин с кистой рождались здоровые дети.
Источник:
Китста яичника и беременность одновременно — есть ли угроза для плода?

Беременную женщину наличие любой патологии может повергнуть в панику, но больше всего переживаний доставляют болезни, которые касаются репродуктивных органов. На фоне полномасштабного гормонального перестраивания организма, который связан с предстоящим появлением на свет новой жизни, очень часто у женщин диагностируется киста яичника при беременности.
Новообразование могло развиваться в половой железе и до момента зачатия, но когда бы оно ни появилось, будущую маму всегда волнует вопрос, опасна ли киста для нее и ее ребенка? В этой статье вы найдете ответ на поставленный вопрос и много полезной информации о методиках лечения кисты во время беременности.
Про кисту
Кистой яичника называется патологическое образование доброкачественного происхождения, которое может образоваться из желтого тела, фолликула, эндометриальных и прочих тканей.
Подобные опухоли могут возникать на любой из половых желез. Размер образования может варьироваться от нескольких миллиметров до нескольких десятков сантиметров.
Чтобы предотвратить пагубные последствия, нужно в обязательном порядке лечить кисту, к какому бы типу она ни относилась.

Самой распространенной причиной образования кисты является гормональный дисбаланс, который возникает из-за стрессовых состояний, строгих диет, перееданий, смены климата, злоупотребления алкоголем.
Если опухоль возникла из-за этих факторов на ранних сроках беременности, то для того чтобы образование рассосалось, достаточно в большинстве случаев просто убрать причину гормонального сбоя.
Также спровоцировать развитие опухоли могут гинекологические манипуляции (аборты, кесарево, некачественно проведенный гинекологический осмотр, установка ВМС), гинекологические патологии и болезни других органов, а также вредные условия существования.
Как показывает практика, доброкачественная опухоль левого яичника при вынашивании потомства менее опасна для здоровья матери и эмбриона, поскольку реже приводит ко всякого рода осложнениям. Это объясняется анатомическими особенностями парного органа. Киста правого яичника более опасна, поскольку в этой области интенсивнее циркуляция крови и более разветвленная сосудистая сетка.
Чем опасна во время беременности
Если у женщины нашли кисту яичника и беременность одновременно, сильно переживать не нужно, поскольку образование в большинстве случаев не составляет угрозы матери и плоду, хотя потенциальная опасность развития разного рода осложнений все же есть. Опасаться нужно кист, которые увеличились в размерах до 6 мм и более.
У таких образований есть высокий риск разрыва с последующим излитием содержимого в брюшную полость. Также при разрыве может развиться кровопотеря, которая вызывает сильные болевые ощущения в животе, тошноту и рвоту, женщина может терять создание и пребывать в состоянии гиповолемического или геморрагического шока.
Разрыв кисты может закончиться гибелью беременной женщины, также подобное состояние может сказаться на состоянии плода, спровоцировав следующие нарушения:
- серьезное кислородное голодание плода;
- проблемы с развитием эмбриона;
- замирание плода;
- внутриутробную гибель эмбриона;
- самопроизвольный аборт или преждевременные роды.
При разрыве опухоли следует незамедлительно проводить операцию по полному или частичному иссечению пострадавшего органа, это может привести к потере ребенка, но бывает и хороший исход подобных операций, когда и мама, и ребенок остаются живыми и здоровыми.
Еще одним опасным осложнением является перекрут ножки новообразования. Это настолько болезненное состояние, что женщина принимает вынужденную позу, сгибаясь и прижимая колени к животу.
Когда ножка кисты перекручивается, сжимаются кровеносные сосуды, которые ее пронизывают, что приводит к прекращению кровоснабжения и к отмиранию самого новообразования.
Некротические процессы чреваты распространением токсинов и продуктов распада не только по организму матери, но и еще не рожденного малыша.
Перекрут и разрыв кисты – наиболее опасные и часто встречаемые осложнения, но не стоит исключать и возможность малигнизации новообразования. Если опухоль большая, она на физическом уровне оказывает влияние на близлежащие ткани и нарушает в них кровообращение, способствуя развитию воспаления.
Влияние кисты в зависимости от вида
Киста при беременности в большинстве случаев не опасна для мамы и ребенка, но вероятность возникновения осложнений остается всегда. Существует несколько разновидностей кистозных опухолей. Рассмотрим, как киста влияет на беременности в зависимости от ее вида:
- лютеиновая или киста желтого тела. Она появляется чаще остальных разновидностей, зачастую на раннем сроке беременности. В кистозный мешок преобразовывается желтое тело, такое новообразование рассасывается само, когда функцию выработки прогестерона на себя перенимает окончательно сформировавшаяся плацента. Подобные опухоли имеют небольшие размеры, поэтому они безопасны как для матери, так и для плода;
- эндометриоидная. Из-за склонности к быстрому росту данный вид опухолей может спровоцировать серьезные осложнения. Иногда новообразование может увеличиться до 30 см в диаметре, вызывая сильные и непрекращающиеся боли в животе. Так как есть высокая вероятность разрыва кисты, ее необходимо удалять оперативным путем на любом сроке беременности сразу же при обнаружении;
- фолликулярная. Чаще всего подобное новообразование возникает при сбоях в работе эндокринной системы, вследствие чего яичники усиленно вырабатывают эстроген, и начинается однофазный ановуляторный менструационный цикл. Иногда такие опухоли могут рассосаться сами по себе даже без приема медикаментов, при условии восстановления гормонального фона. На ранних сроках беременности необходимо следить за развитием опухолей данного вида, поскольку их активный рост может закончиться перекрутом ножки кисты или ее разрывом, что влечет за собой отравление организма и смерть беременной женщины в случае отсутствия адекватного лечения;
- параовариальная. Такая киста опасна разрывом и перекрутом ножки, нагноением и развитием острого живота. Она может развиться у женщин любого возраста из-за неправильного развития придаточных канальцев. Опухоль имеет вид полости в придатке, выстланной эпителиальной тканью, которая заполнена муциозным веществом с экссудатом. Поскольку кисту снабжают кровью сосуды стенок матки и ее труб, она может спровоцировать их деформирование. Единственным положительным моментом является то, что данный вид новообразований не становится злокачественным;
- дермоидные. Это кисты врожденные, они появляются еще на стадии внутриутробного развития и содержат под плотной оболочкой фрагменты эмбриональных тканей. Зачастую такие опухоли обнаруживают задолго до беременности в ходе профилактического УЗИ органов малого таза. Дермоиды не поддаются консервативному лечению и требуют обязательного удаления.
Симптомы
Новообразования маленькой величины на начальных этапах своего развития могут никак себя не проявлять, их можно увидеть лишь во время планового УЗИ. Изначально выбирается выжидательная тактика, беременной женщине нужно будет чаще приходить на контрольные визиты к гинекологу.

Когда новообразование начинает увеличиваться в размерах, могут возникать следующие симптомы:
- болевые ощущения внизу живота;
- проблемы с опорожнением кишечника;
- частые походы в туалет «по-маленькому».
Болевые ощущения могут появляться после физической активности, возникают запоры и дискомфорт в животе. Такие симптомы провоцирует выросшая в диаметре киста, которая придавливает кишечник.
Частые позывы к мочеиспусканию – нормальное явление для любой беременной женщины, когда же у нее еще есть и киста яичника, которая увеличилась в размере более чем до 6-8 мм, визиты в туалет «по-маленькому» становятся слишком частыми даже для периода беременности. Если опухоль имеет очень большие размеры, она может провоцировать у женщины тошноту, вплоть до рвоты, такие же симптомы могут быть при разрыве кистозного мешка.
Перекрут ножки и разрыв кистозного мешка могут сопровождаться следующей симптоматикой:
- сильными острыми болями;
- повышенной температурного показателя тела;
- кровяными выделениями из влагалища;
- ослабленностью, тошнотой, рвотой, обмороками – симптоматика острого живота;
- при разрыве кисты правого яичника признаки напоминают приступ аппендицита;
- при разрыве кисты левого яичника признаки схожи с язвой желудка и ее прободением.
Беременность после удаления кисты
Беременность после лапароскопии кисты и даже после лапаротомии вполне может наступить, но лишь в том случае, если было удалено лишь новообразование без иссечения яичника. Беременность возможна и с одним яичником, но в этом случае могут возникнуть проблемы именно с зачатием, тогда следует прибегнуть к помощи ЭКО.
На второй день после лапароскопии пациентке нужно вставать и самостоятельно передвигаться для предотвращения развития спаечного процесса.
Поскольку раны от проколов очень малы, болевые ощущения не будут доставлять женщине большого дискомфорта.
Чтобы предотвратить развитие инфекционных осложнений женщине на протяжении 3-5 дней назначают пить антибиотики и при необходимости болеутоляющие. В условиях стационара за прооперированной пациенткой наблюдают не более 5 дней.
На протяжении недели после операции женщина должна придерживаться диеты, употреблять пищу в основном в жидком виде, обязательно нужно выполнять гигиенические процедуры, принимать душ, но исключить ванны, сауны, бани и бассейны.
Места проколов следует обрабатывать раствором марганцовки. Чтобы полностью восстановить детородную функцию, лечащий врач может назначить прием гормональных препаратов.
Приступать к планированию зачатия можно не ранее чем через несколько месяцев после операции и с разрешения врача.
Может ли киста давать положительный тест
Развитие кист функционального типа чаще всего может спровоцировать гормональный дисбаланс, одним из симптомов которого может стать нерегулярный менструальный цикл. Вполне естественно, что женщина, которая не подозревает о наличии на ее половых железах кисты, задержку менструации может воспринять как признак наступившей беременности.
Первое, что делает представительницы прекрасного пола в таком случае, конечно же, покупает тест на беременность. Если зачатие не наступило, а тест оказался положительным, это вполне может означать, что у женщины есть киста желтого тела.
Перепутать кисту с беременностью на ранних сроках вполне возможно, поскольку новообразование никак иначе не дает о себе знать, внести ясность сможет визит к гинекологу.
Тест не беременность при отсутствии зачатия может показать ложноположительный результат не только при наличии гормонозависимых видов кист, но и при других обстоятельствах:
- если тест проведен с нарушение инструкции по эксплуатации;
- если истек срок годности теста, или он хранился и транспортировался с нарушением норм;
- при использовании противозачаточных средств;
- при нерегулярных месячных;
- при развитии плода за пределами матки;
- при наличии различных недугов, влияющих на работу яичников.
Если тест на беременность показал положительный результат, определить, является ли это симптомом наступившего зачатия или это все же какая-либо патология, сможет исключительно врач.
Источник:
Киста яичника при беременности: опасна ли, лечение, симптомы, как влияет
Планирование беременности — один из важных этапов для создания семьи и рождения здорового ребёнка в будущем. Большинство патологий препятствуют нормальному течению беременности, поэтому устранить их рекомендуется до предполагаемой даты зачатия. Нередко обнаруживают кисту на яичнике во время беременности, но несёт ли она опасность для плода и будущей мамы узнаем в этой статье.
Большинство патологий препятствуют нормальному течению беременности, поэтому устранить их рекомендуется до предполагаемой даты зачатия.
Влияет ли киста на возможность зачать ребенка?
Кистозная полость на яичнике слабо отражается на репродуктивной функции. Лишь некоторые образования значительно влияют на гормональный фон.
При функциональных изменениях, которые образуются вследствие разрыва фолликула или отхождения жёлтого тела, противопоказаний к зачатию нет.
Такие кисты яичника при беременности незначительны, и в большинстве случаев рассасываются самостоятельно после подготовки половой системы к дальнейшему вынашиванию плода.
Киста на яичнике: можно ли забеременеть?
Если функциональная опухоль не была обнаружена до того, как женщина решила стать матерью, то лечение её переносится на послеродовой период.

Если опухоль не была обнаружена до того, как женщина решила стать матерью, то лечение её переносится на послеродовой период.
Кисту яичника при беременности на ранних сроках и поздних постоянно контролируют. Женщина сдаёт дополнительные анализы, периодически посещает УЗИ кабинет для выявления возможного роста опухоли.
Можно ли забеременеть с параовариальной кистой?
При кисте яичника и планировании беременности проходят полное обследование, врачи устанавливают тип опухолевидного процесса.
Еще одно образование, которое часто встречается у женщин в период вынашивания плода — параовариальная капсула. Если был установлен точный диагноз, то с зачатием необходимо повременить.
Пациентка может проигнорировать мнение врача, а это влечёт разнообразные осложнения.
При беременности с параовариальной кистой повышается риск нагноения, разрыва стенок, сдавления плода.
При беременности с параовариальной кистой повышается риск нагноения, разрыва стенок, сдавления плода.
Отмечается общее ухудшение состояния здоровья, кожные покровы бледнеют, нарушается сердечный ритм, учащаются походы в туалет и газообразование в кишечнике.
Растет параовариальная киста при беременности быстро, повышается риск разрыва стенок и перекручивания её ножки на поздних сроках и во время родов.
Большинство женщин не планируют предстоящие роды, что приводит к печальным последствиям. В половине случаев капсулу удаляют на ранних сроках вместе с эмбрионом. Чтобы избежать таких плачевных последствий, необходимо регулярно посещать гинеколога и обращать внимание на малейшие изменения со стороны половой системы.
Параовариальную кисту яичника при беременности и до зачатия можно заподозрить по следующим симптомам:
- ощущение инородного тела в области между маткой и придатком;
- при повышенном росте кисты возникает болезненность;
- чувство постоянно наполненного мочевого пузыря;
- дискомфорт во время полового акта;
- боль внизу живота, если капсула превышает 2 см;
- возможны кровянистые выделения скудного характера.
Из матки при беременности месячные не должны идти, но при кисте бывают исключения. Первые признаки малейшего кровотечения — повод в срочном порядке посетить лечащего гинеколога или вызвать скорую помощь.
Курс лечения параовариальной капсулы составляет до 1 года, если врач предлагает консервативное лечение. Существуют и радикальные методики — инструментальные операции. Планировать зачатие ребёнка рекомендовано только после удаления кисты и отсутствия рецидива.
При кисте желтого тела
Не исключено одновременное развитие беременности и кисты желтого тела в течение 4 недель после зачатия. Опухоль не имеет противопоказаний к вынашиванию ребёнка, и способствует стабилизации гормонального фона.
Также киста яичника у плода не вызывает нарушений в развитии. В 95% случаев опухоли этого типа рассасываются во втором триместре, ближе к 9 неделям. Иногда гинеколог не может определить, что у женщины: киста желтого тела или беременность.
Активация гормонов в обоих случаях аналогична, и тест показывает две полоски.
Возможно одновременное развитие беременности и опухоли желтого тела.
Очень часто киста желтого тела как признак беременности воспринимается будущими мамами. Её отсутствие на раннем сроке негативно сказывается на дальнейшем вынашивании.
Гормональный дисбаланс провоцирует угрозу выкидыша, становится причиной неправильного формирования систем и органов будущего малыша. После зачатия, когда еще не формируется плацента, основным источником питания эмбриона становится капсула жёлтого тела.
Через некоторое время эта киста рассасывается и на замену ей приходит плацента.
Если размеры кистозной капсулы превышают 6 см, и она не исчезла до 18 недель, это перерастает в патологию. Случай требует хирургического вмешательства с целью сохранения здоровья будущей матери и яичника для другой беременности.
При эндометриоидной кисте
Этот тип опухоли формируется при генетических нарушениях или во время инфицирования половых органов. Полость матки выстилается клетками эндометрия, которые играют важную роль до и после зачатия. Во время овуляции они увеличиваются в размере, и при отсутствии оплодотворения выходят наружу вместе с кровью.

Формирование эндометриоидной кисты при беременности начинается при нарушении репродуктивной функции ещё до зачатия. Воспалительные процессы, аборты и другие негативные факторы провоцируют выход клеток эндометрия за пределы матки в яичник. Шансы на зачатие значительно понижаются.
Беременность после удаления эндометриоидной патологии возможна с малой вероятностью.
Беременность после удаления эндометриоидной кисты возможна с малой вероятностью, так как изменение в эндометрии является основной причиной бесплодия. Запущенные формы в 50% случаев приводят к стойкому нарушению репродуктивности. Рост кистозной полости вызывает давление на соседние ткани и органы.
Яичник и придаточная труба не функционируют в полной степени, фолликулы созревают плохо, яйцеклетка не формируется. Эндометриоидная опухоль может приобретать большие размеры и препятствовать выходу яйцеклетки в матку. Тогда беременность развивается в маточной трубе.
Рисковать и стремиться к зачатию ребёнка при таком поражении яичника нельзя. Динамика роста опухоли может стать угрожающей для последующих 9 месяцев. Эндометриоидное образование склонно к росту и нетипичному развитию, что повышает риск развития онкологии.
При фолликулярной кисте
Фолликулярные полости в яичнике — наиболее частые образования в репродуктивной системе. Эти кистозные капсулы самые безопасные, большинство из них останавливаются в росте, когда достигают 0,5 см.
Мешает ли такая киста?
Фолликулярное образование никак не отражается на дальнейшей беременности, но рекомендовано подстраховаться и отложить зачатие, пока не сделали полную диагностику. Иногда опухоли такого типа дают положительный результат на беременность, хотя оплодотворения яйцеклетки не было. Чтобы точно определить состояние женщины, важно пройти УЗИ яичника и другие исследования.
Известно, что организм каждой женщины индивидуален. У некоторых пациенток оплодотворение происходит без предварительной гормональной терапии. А иногда зачатия нет длительное время, пока полость с жидкостью на яичнике не удалят.
При дермоидной кисте
Такой тип опухоли протекает доброкачественно, в редких случаях наблюдается рост нетипичных клеток. В основе дермоидов лежит эмбриогенез, где кисты развиваются из зачаточных клеток кожи и придатков.
В полости дермоидной капсулы содержатся производные кожи — волосы, зубы, жир. В большинстве случаев дермоид яичника имеет одностороннее расположение, и развивается у женщин от 40 лет.
Поэтому беременность при такой опухоли — не частый случай.
Кистозная полость не влияет на развитие плода. Но при росте эмбриона характер дермоидной кисты яичника изменяется. Она ущемляется, смещается или перекручивается под давлением. Осложнением становится разрыв её стенок или некротический процесс.
Если полость определена во время беременности до 16 недель, то это не является препятствием к оперативному вмешательству. Дермоидные образования необходимо удалять, пока они находятся в оптимальных размерах.
Рассасываться такие капсулы не могут, их удаляют посредством оперативного вмешательства.
Как забеременеть после удаления опухоли?
После оперативного вмешательства, связанного с удалением капсулы на яичнике, большой процент женщин снова планируют беременность. Перед этим должен пройти долгий этап реабилитации, который иногда составляет не менее 1 года.
После удаления опухоли должен пройти долгий этап реабилитации, который иногда составляет не менее 1 года.
Хирургическое лечение проводят так, чтобы здоровая ткань яичника не затрагивалась. Важно продлить функциональность органа и способность к зачатию. Запущенная патология приводит к отмиранию тканей яичника, поэтому его удаляют полностью, если женщина длительное время не лечилась.
После удаления кисты с яичником шансы на зачатие понижаются, но не исключаются. Благодаря парному расположению органов, второй яичник способен к формированию зрелых яйцеклеток. Усилить его деятельность можно с помощью гормональной медикаментозной терапии. Лечение продолжается около 3-6 месяцев. Не исключены трудности в зачатии, поэтому на помощь семейным парам приходит ЭКО.
Можно ли делать ЭКО при кисте?
ЭКО не проводят при кистах, которые превышают размеры в 2 см.
Решение об искусственном оплодотворении при опухоли яичника специалист решает индивидуально с пациенткой. Важны такие факторы — состояние здоровья, наличие хронических и аутоиммунных заболеваний, возраст. ЭКО не проводят при кистах, которые превышают размеры в 2 см.

После осмотра женщины и тщательной диагностики проводят пункцию образования. Она позволит установить содержимое полости и вычислить характер оседания стенок. Даже если врач принимает решение о протоколе ЭКО при кисте, это не является залогом успеха. Кистозная полость в яичнике снижает качество материала, и частота оплодотворения яйцеклетки понижается.
При каких кистах беременность невозможна?
Склерокистоз яичника и беременность — понятия несовместимые. В основе патологии лежат эндокринные нарушения, которые определяют более чем у 10% женщин детородного возраста. Постепенно яичники увеличиваются в размерах, их белковая оболочка утолщается, а на поверхности и внутри наблюдается большое количество фолликулярных кист.
Склерокистоз яичника и беременность — понятия несовместимые.
Лечение склерокистоза осуществляется под наблюдением у гинеколога, репродуктолога и эндокринолога. В большинстве случаев болезнь стойко поражает яичники с необратимым процессом.
Полностью устранить склерокистоз невозможно, терапия направлена на коррекцию симптомов и предотвращение декомпенсации. В некоторых случаях удаётся вызвать овуляцию.
Чтобы не допустить осложнений, женщинам важно регулярно посещать гинеколога. Планирование беременности должно начинаться задолго до зачатия. В этот период необходимо исключить или выявить патологии матки, придатков и яичников.
Источник:
