Симптомы и причины возникновения кисты на почке

Почки – это уникальные составляющие организма человека. За несколько минут через них проходит весь объем крови, и непосредственно здесь осуществляются те сложный процессы, которые обеспечивают поддержку постоянного минерально-водного баланса организма.
Почки принимают участие в метаболизме, в регулировании артериального давления и выводят из организма человека вредные белки и ненужные вещества.
Кисты почек – распространённая болезнь. Частота выявления этого нарушения растет с возрастом. В раннем возрасте приобретенные кисты почек почти не встречаются. По статистическим данным, кисты обнаруживаются у 25% взрослых после 40 лет, к 80 годам – приблизительно у 60% населения. Заболевание вдвое чаще развивается у представителей сильного пола.
Многие люди, обнаружив это нарушение, сомневаются, какие меры предпринимать и каким образом лечить. Кроме того, они зачастую понятия не имеют, что представляет собой этот недуг. А между тем, это доброкачественное образование, появившееся в органе.
Что такое киста почки
Почечная киста — доброкачественное образование почки, отделенное от полости органа.
Различают:
- Врожденные;
- Наследственные;
- Приобретенные;
- Кисты, вызванные иными системными нарушениями;
- Образования почек как последствие рака органа.
Почему возникает это заболевание
Причиной появления кист почки является повышенный рост клеток почечной ткани, выстилающих почечные канальцы изнутри и препятствующий нормальному выделению мочи.
В том случае, когда у больного выявляется просто киста органа, причины этого нарушения зачастую остаются загадкой. По мнению врачей, этот недуг имеет приобретенный характер.
Чаще всего причинами кисты являются:
- Последствия травм;
- Инфекции почек и мочевыводящих путей;
- Врожденная аномалия;
- Наследственность;
- Перенесенные заболевания;
- Хронические болезни.
- Признаки кисты на почке.
Признаки кисты почек
Симптомы кисты как правой почки, так и кисты левой почки имеют практически одинаковый характер. Наиболее частыми признаками являются:
- Тупые боли в пояснице или в подреберье, особенно после физических загрузок;
- Симптомы гипертонической болезни;
- Увеличение при прощупывании;
- Различные воспаления;
- Боли в пояснице, усиливающиеся при постукивании;
- Эритроциты в моче;
- Общая слабость;
- Подъем температуры;
- Частое и болезненное мочеиспускание;
- Боли в мышцах и суставах;
- Почечная недостаточность;
- Кровь в моче.
Иногда кисту можно обнаружить при помощи пальпации. Чтобы проводить эту процедуру, нужно знать, где находятся почки у человека.
Уретрит является еще одной неприятной болезнью мочеполовой системы у женщин. Описание признаков уретрита у женщин читайте здесь.
Диагностика и лечение
Кисты почек достаточно редко вырастают до крупных размеров, позволяющих обнаружить их при осмотре или прощупывании. Если у вас появились первые симптомы кисты почек, то необходимо провести диагностику, а потом сразу же приступить к лечению.
Имеются такие основные методы обследования:
- УЗИ почек — главный способ диагностики, самый простой, но не самый информативный;
- Урография — дает возможность выявить имеющиеся нарушения оттекания мочи;
- Компьютерная томография — самый точный метод, но и самый дорогой. Является методом выбора для принятия решения о возможном раковом процессе, оценки кровоснабжения образования, определения габаритов, контуров, распространения образования внутри и вне органа;
- Анализ мочи – выявляет большое количество лейкоцитов, микробов и эритроцитов, что говорит о воспалении внутри органа.
- Анализ крови – может выявить наличие воспаления.
- Биохимия крови – показывает изменение уровня креатинина и мочевины, характерного для очага воспаления.
В данный момент главными принципами в лечении кист почек являются лечение посредством медикаментов и операции.

Специальных препаратов для лечения почечных кист сегодня в мире не разработано.
Медикаменты используются при осложненных образованиях почек, таких как высокое давление, воспалительный процесс в почке, болевые ощущения.
Выбор хирургического способа лечения зависит от габаритов и расположения образования. Основаниями к оперативному лечению являются не снижаемые лекарствами осложнения болезни — нарушение мочевого оттока, инфекция, боль.
К оперативным методам лечения принадлежат:
- Пункция кисты через кожу с выведением содержимого под контролем УЗИ — ведущий метод для нейтрализации крупных кист органа, находящихся на периферии почки, не препятствующих оттоку из органа.
- Удаление кисты почки — используется при расположении кисты близ сосудов, снабжающих орган, существенно мешающей оттоку мочи из почки, когда необходим полный контроль за находящимися рядом структурами.
- Лапароскопическое или люмбоскопическое удаление кисты — методы используются в тех же случаях, что и обычное удаление. Преимуществами этих способов является короткий период реабилитации после операции.
В случаях заражения кисты необходимо сочетание медикаментов и хирургии.
Профилактика и лечение неосложненных форм состоит в соблюдении рациона питания.
Из рациона питания при почечной кисте нужно исключить:
- Соленую, пряную и острую еду;
- Кофе;
- Алкоголь;
- Шоколад;
- Экстрактивные составы (бульоны);
- Соленья;
- Консерванты;
- Газированную воду и напитки.
Количество выпиваемой жидкости нужно оговорить с врачом. Оно зависит от вида заболевания. В случае течения без проявлений и осложнений объем воды не урезают. При проблемном опорожнении лоханок жидкости следует выпивать не более 1.5 литров.
Нужно также выяснить у доктора, сколько белка можно есть.
Иной профилактики кисты почки не имеется. Но врачи советуют заниматься физкультурой, полноценно питаться, не набирать вес и вести адекватную половую жизнь.
При обнаружении любых симптомов, имеющих отношение к боли в области почек, необходимо немедленно посетить доктора. Это поможет вовремя выявить заболевание и излечиться от него.
Источник:
Анализ мочи при кисте почек

При диагнозе киста почек, сразу возникает вопрос: «А что это такое?». Это доброкачественная аномалия в виде округлого пузыря (капсулы из соединительной ткани).
Данные новообразования могут быть одиночными либо множественными и появляются в любом возрасте, но чаще — после 40 лет.
Кисты почек изначально развиваются из структурного сегмента почечных канальцев, но в дальнейшем отсоединяются от него. Внутри пузыря находится полупрозрачная жидкость жёлтого цвета.
Кисты почки далеко не всегда требуют радикального лечения (удаления) — иногда достаточно медикаментозной терапии и динамического наблюдения за новообразованием в условиях клиники. Оставлять без врачебного внимания данную аномалию нельзя – это может иметь губительные последствия для всей мочеполовой системы.
Причины образования
Причины возникновения капсулы из соединительной ткани иногда так и остаются невыясненными. В стабильном состоянии киста левой почки и киста правой почки не вызывают выраженной патологической симптоматики и могут быть обнаружены совершенно случайно – при проведении планового УЗИ внутренних органов, внутривенной урографии или других диагностических процедур.
Причинами развития могу быть:
Прямые факторы, которые приводят к появлению кист в почках, это процессы интенсивной гиперплазии (деления) эпителиальных клеток, выстилающих канальцы почек изнутри.
В 70% случая симптомы кисты почки не выражены или выражены в слабой степени. Люди могут долгое время жить с данным новообразованием и не знать о его существовании.
Однако, в 30% случаев киста почки всё же проявляет себя, вызывая:
- Болезненные ощущения в поясничном отделе спины;
- Ощущение дискомфорта в брюшной полости (при наличии больших по объёму кист в почках);
- Гематурия (присутствие крови в моче: нередко данный признак носит неявный характер и выявляется при лабораторном анализе);
- Вторичная артериальная гипертензия (повышение давления);
- Обструкция чашечек почек.
- Высокая температура;
- Слабость и головокружения;
- Боли в пояснице;
- Болезненное и учащенное мочеиспускание;
- Боли в суставах и мышечной ткани.
- Анализ крови, позволяющий выявить анемию, сниженное содержание белка и повышенное количество мочевины;
- Анализ мочи, при котором выявляется гематурия, высокое количество лейкоцитов (определяется также удельный вес мочи — при хронической недостаточности, часто сопровождающей кисту в почках, он снижен);
- УЗИ почек — позволяет выявить местоположение аномалий, их размеры и количество, а также провести оценку влияния новообразований на близлежащие ткани и органы;
- Контрастная ангиография, при которой кисты в почке определяются, как бессосудистая область;
- Экскреторная урография;
- Компьютерная томография.
- Антибиотиками (применяется щадящий курс — для профилактики инфицирования);
- Обезболивающими препаратами;
- Противовоспалительными средствами.
- Контроль потребления жидкости (особенно тем пациентам, у которых наблюдаются отёки и признаки сердечной недостаточности);
- Исключение из меню консервированной пищи, фаст-фуда, кофе, газировок, сладостей;
- Ограничение потребления белка — особенно в виде красного жирного мяса;
- Увеличение в рационе растительной пищи: свежих овощей, фруктов, злаковых, бобовых.
- Своевременная терапия инфекционных патологий мочевыделительной системы;
- Предохранение почек от травм и переохлаждения;
- Регулярное (раз в 1-2 года) обследование всех внутренних органов.
Помимо этого признаки кисты на почках могут проявляться в виде общей дисфункции мочеполовой системы. Нередко у больных (чаще у женщин) развиваются дизурические расстройства. Часто рассматриваемые новообразования способствуют обострению уже имеющихся почечных недугов – в частности, пиелонефрита.Если врачом подозревается такая аномалия, как киста почки, симптомы которой почти всегда неспецифичны, обязательно проводится комплексная диагностика.
Возможные осложнения
Со временем киста на почках может начать увеличиваться в объёме, сдавливать мочеточник и лоханки органа, тем самым вызывать ноющую боль. Если аномалию, которая постепенно растёт, не лечить радикальным способом, может произойти разрыв. Внезапное самопроизвольное вскрытие кисты на почках может привести к инфицированию и спровоцировать кровоизлияние.Инфицирование, причины которого могут быть самыми разными, даёт типичные признаки острого пиелонефрита:
Почечные аномалии могут комбинироваться со злокачественными опухолями почек. Иногда доброкачественная киста на почке может переродиться в рак.Большая по размерам киста почки может привести к сдавливанию почечных канальцев и вызвать хроническую почечную недостаточность, которая сопровождается жаждой, увеличением количества мочи (полиурией), хронической гиподинамией, гематурией.Кроме того, даже небольшая по размерам киста почек по мнению некоторых урологов, может в любой момент привести к серьёзным нарушениям работы мочеполовой системы.
Диагностика
Постановка диагноза начинается со сбора данных о симптомах заболевания, а также сопутствующих патологиях пациента. Затем проводится внешний осмотр и пальпация поясницы и брюшной полости. Множественные кисты в почках можно обнаружить при прощупывании: поражённые органы при многочисленных аномалиях имеют бугристую поверхность.В список диагностических процедур входят:
Выявлению и классификации данной аномалии следует уделять самое серьёзное внимание, поскольку ошибочный диагноз может привести к серьёзнейшим последствиям. Нередки случаи, когда злокачественные опухоли диагностируются как доброкачественные кисты. По этой причине обследование лучше проходить в специализированном медицинском центре, оснащённым функциональным и актуальным оборудованием.Дифференциальный диагноз позволяет исключить другие заболевания со сходной симптоматикой — злокачественные новообразования, абсцесс, опухоль Вильямса, гидронефроз, острый пиелонефрит.
Радикальное лечение
Лечение кисты почки проводится в тех случаях, когда имеется выраженная симптоматика (повышение давления, боль, нарушение работы выделительной системы) или когда новообразование имеет размеры более 5 см. Лечить такую кисту нужно обязательно, иначе последствия могут быть непредсказуемыми. Какие именно действия предпринимать, решает специалист.Несколько десятков лет назад в таких случаях киста почки удалялась через разрез, то есть проводились открытые полостные операции, а это всегда рискованная и опасная процедура, которая может вызвать негативные последствия в виде кровотечений, инфицирования и нагноений. В современных лечебных учреждениях мужчин и женщин избавляют от кист на почке с помощью малоинвазивных и малотравматичных операций. Здоровые ткани и органы повреждаются в минимальной степени.Данная операция называется лапароскопией, и проводится она с помощью эндоскопа, который через миниатюрный разрез доставляет в зону воздействия необходимые хирургические инструменты. Ход хирургического вмешательства отслеживается на мониторе, поэтому врач имеет такой же полноценный визуальный доступ к органам, как при открытом разрезе. Удаление кист в почках при лапароскопическом методе происходит вместе с капсулами, что исключает вероятность рецидива.После операции больной проходит курс реабилитации, в который включено лечение:
На восстановительной стадии больным рекомендуется делать гимнастические упражнения для предупреждения осложнений (таких, как частичный паралич кишечника).Альтернативой лапароскопии является пункция. которая ещё менее инвазивна, но, к сожалению, не способствует полному устранению аномалии. Во время такой операции ликвидируется главный негативный симптом, который даёт киста почки — сдавливание органа.В брюшную полость под визуальным контролем УЗИ вводится специальная игла, которая прокалывает пузырь, после чего его содержимое отсасывается. Может быть также проведена склеротерапия — введение в капсулу спирта, который убивает запрограммированные на дальнейшее деление клетки доброкачественного новообразования. Процедура прокалывания кисты в почках занимает не более 20 минут.Решение, какую именно операцию делать, зависит от множества факторов, но главным образом, от текущей клинической картины.
Консервативная терапия
Специальной терапии для стабильных кист на почках, которые никак не влияют на самочувствие пациентов и состояние их внутренних органов, не требуется. Врачи могут назначить лекарственные препараты, которые стабилизируют артериальное давление или улучшают работу мочевыделительной системы, не более.Примечание! Специальных лекарств, применяемых против кист в почках, не существует.Лечить или поддерживать в стабильном состоянии эту аномалию, можно также с помощью правильного питания. Диета при кисте почки предполагает ограниченное употребляемой соли, а также острых и маринованных блюд.Необходимо придерживаться и других принципов здорового питания:
Профилактика
К сожалению, нет 100% мер предупреждения кист на почках. Но некоторые действия всё же могут предотвратить появление доброкачественных почечных новообразований:
Делать УЗИ или КТ лучше всего не в рядовых поликлиниках, где оборудование может быть устаревшим и выработавшим срок эксплуатации, а в специализированном профильном учреждении. Это позволяет выявить патологии на самых ранних этапах их формирования.Киста почки — явление достаточно распространённое, так что паниковать после её обнаружения при обследовании не стоит. Если размеры капсулы невелики, а ваше самочувствие стабильно — делать срочную операцию вовсе не обязательно: вам необходимо лишь наблюдение в клинике и разумный контроль собственного здоровья.Виды кист почек:
Как обнаруживают кисту в почках?
Источник:
Киста почки: симптомы и методы диагностики

Почки — очень важные органы в теле человека, которые выполняют функцию мочеобразования. Благодаря этому поддерживается химическое равновесие, и излишняя жидкость не скапливается в организме.
В случае если в их строении происходят какие-либо нарушения, человек подвергается серьёзным рискам. Одной из частых патологий почек является образование кисты, которая приводит к увеличению органа и изменению его работы.
Очень важно вовремя распознать симптомы этого заболевания и обратиться к врачу для установления точного диагноза.
Что такое киста почки
Киста почек — это особое новообразование, которое представляет собой однокамерную или многокамерную полость, наполненную жидкостью. В некоторых случаях она начинает формироваться ещё во время внутриутробного развития. По статистике, кисту почек чаще всего диагностируют в возрасте сорока лет.
У девушек такие новообразования находят значительно реже, так как повышенное количество эстрогенов и низкий уровень мужских гормонов снижают риск формирования почечных кист.
После наступления менопаузы, когда гормональный фон претерпевает значительные изменения, у женщин также увеличивается частота обнаружения этой патологии.
При возникновении кисты почка деформируется и может увеличиться в размерах
Существует множество причин, которые могут привести к формированию кисты почки:
- инфекционные заболевания мочеполовой системы;
- травмы в области спины;
- недостаток кровообращения почек;
- изменения гормонального фона и т. д.
Почечные кисты классифицируются в зависимости от своего расположения:
- солитарная — самая простая, наполнена серозной жидкостью. Чаще всего она образуется в верхней части почек и порой достигает больших размеров;
- подкапсульная (субкапсулярная) образуется на поверхности почки. Это одна из разновидностей солитарных кист, но обычно появляется из-за какой-либо травмы и внутри наполнена кровью и гноем;
- интрапаренхиматозная располагается внутри почки, очень часто наполнена серозной жидкостью с примесью крови. Такие кисты иногда бывают множественными;
- парапельвикальная киста почки чаще всего встречается у пациентов старше 50 лет. Располагается на участке с лимфатическими сосудами, ближе к синусу почки. Обычно достигает достаточно больших размеров;
- аваскулярная киста почки наиболее опасная, чаще всего перерождается в злокачественную. Располагается далеко от ворот почки и питается за счёт почечной ткани;
- синусная киста почки располагается внутри, на сосудистой ножке. Размеры образования чаще всего небольшие, оно имеет овальную или округлую форму.
Особенности образования кисты почек у детей
Кисты почек у детей обнаруживаются приблизительно в 5% всех случаев урологических заболеваний. Очень часто они образуются ещё во время внутриутробного развития.
Это может произойти из-за осложнений в период беременности, инфекций половых путей матери, генетической предрасположенности и других различных факторов.
В некоторых случаях это может быть связанно даже с паразитарным поражением органов.
Основные симптомы кисты почек
Наиболее частым симптомом при образовании почечных кист является болезненность. Некоторые пациенты ощущают её постоянно, другие — когда лежат на определённом боку, выполняют наклоны или какие-либо другие действия. Обычно боль локализуется в той области, где находится сама киста.
Из-за кисты почки люди часто ощущают боль в пояснице
Вторым по частоте встречаемости симптомом является внезапное повышение артериального давления (АД). Примечательно то, что многие лекарственные гипотензивные средства не дают результатов при их применении.
Это происходит из-за чрезмерной стимуляции особой ренин-ангиотензиновой системы (РАС), которая контролирует в организме человека уровень давления и объём крови. РАС — гормональная система, работающая за счёт выделения почками и надпочечниками специальных веществ, которые отвечают за водно-солевой обмен.
Именно из-за этого при кистах почек единственными препаратами, которые помогают снизить АД, являются блокаторы ангиотензинпревращающего фермента.
Третьим важным критерием является гематурия — появление крови в моче. Некоторые пациенты обнаруживают это самостоятельно, так как выделения приобретают красноватый оттенок. У других кровь выявляется только во время лабораторных исследований. Впоследствии может развиться анемия.
Почки выполняют очень важную функцию очистки крови. Происходит это в крошечных фильтрах — нефронах. Все токсичные вещества и продукты жизнедеятельности выводятся с мочой, а очищенная кровь поступает обратно в артерии.
Если вдруг произошёл разрыв кисты почки, то человек обычно ощущает резкую и жгучую боль в области поясницы. Может подняться температура, появиться озноб.
Серозное содержимое после проникновения в брюшную полость часто вызывает сепсис. При наличии внутреннего кровотечения кожные покровы становятся бледными, человек ощущает слабость, головокружение, может даже упасть в обморок.
Разрыв кисты очень опасен и требует немедленной госпитализации и хирургического лечения.

На осмотре врач может обнаружить следующие симптомы:
- болезненные ощущения при пальпации области поясницы;
- смещение или увеличение почки.
Диагностика заболевания
На осмотре у врача пациенту с подозрением на кисту почек обязательно назначат лабораторные и инструментальные методы исследования. Их количество будет зависеть от индивидуальных особенностей и подозрений на наличие опухолевого процесса.
Лабораторные методы
При подозрении на кисты почек врач назначит пациенту общий и биохимический анализы крови. На основании полученных результатов специалист может сделать выводы о наличии или отсутствии различных патологических процессов, например:
- повышение уровня глюкозы в крови приводит к нарушению микроциркуляции и увеличению давления в почечных клубочках. Из-за этого начинается медленный процесс некроза почечных тканей, что приводит к диабетической нефропатии;
- увеличение уровня креатинина свидетельствует об ухудшении работы почек. Чем выше этот показатель, тем сильней почечная недостаточность;
- пониженный уровень белка может говорить о кровотечении, гломерулонефрите (воспаление почечных клубочков);
- повышение СОЭ (скорости оседания эритроцитов) свидетельствует о воспалительном процессе в организме;
- увеличение мочевины — тревожный симптом. Он появляется при почечной недостаточности, закупорке мочевыводящих протоков, пиелонефрите, нарушении кровоснабжения почек.
Общий анализ мочи необходим для определения количества крови и наличия воспалительного процесса.
Если обнаруживается увеличение эритроцитов, то у пациента существует источник внутреннего кровотечения, либо нарушены фильтрующие функции почек из-за различных патологий.
Повышенное содержание лейкоцитов говорит об остром воспалительном процессе, который мог развиться из-за бактерий, вирусов, паразитов, а также вследствие появления доброкачественных и злокачественных опухолей.
Из-за различных осложнений, которые могут возникнуть у пациентов с кистой почки, также нужно провести коагулограмму, чтобы определить уровень свёртываемости крови. При подозрении на злокачественность образования могут назначить биопсию с помощью пункции.
При макрогематурии кровь в моче видна невооружённым глазом, при микрогематурии — только во время лабораторных исследований
Инструментальная диагностика
Чтобы определить точную локализацию и размер кисты, необходимо пройти ряд инструментальных исследований:
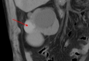
- Ультразвуковое обследование почки — это первоначальное исследование, которое назначают пациентам с подозрением на кисту почки. С помощью ультразвуковых волн можно определить форму, размер и наличие или отсутствие внутренних камер. Также важно оценить толщину стенки кисты и качество её содержимого. Иногда дополнительно могут сделать доплерографию для изучения работы сосудов почки.
- Компьютерная томография — один из самых современных методов, который поможет разглядеть все подробности внутреннего строения почки с помощью послойных снимков. Для исключения наличия злокачественного процесса может быть дополнительно назначено внутривенное введение контрастного вещества. Если обнаруживаются перегородки, многокамерность, чрезмерное уплотнение кисты или отложение кальцификатов, то это может быть указанием на онкологическую опухоль.
- Магнитно-резонансная томография также помогает получить очень чёткие послойные снимки внутренних органов. Это современный информативный метод, но назначается далеко не всем пациентам с кистами почек. Эта процедура не подходит тем больным, у которых есть какие-либо металлические протезы.
- Внутривенная пиелография (экскреторная урография) — рентгенологическое исследование. Пациенту вводят контрастное вещество в вену и через определённый период времени делают несколько снимков.
- Ангиография позволяет изучить сосуды и артерии почки с помощью специального йодосодержащего препарата и последующих рентгеновских снимков. Этот метод не является основным, его назначают дополнительно в тех случаях, когда другие способы не дали необходимых результатов. С его помощью можно обнаружить закупорку вен, сужение и истончение сосудов, наличие тромбов.
- Нефросцинтиграфия — радиоизотопный метод исследования функционирования почки. Пациенту вводят специальное вещество, которое излучает гамма-лучи. Они улавливаются с помощью специальной установки. На полученных снимках видно, насколько хорошо введённое средство проникло в почки. Чем сильнее излучение — тем лучше состояние органа. Из этого можно сделать вывод, как сильно киста мешает функционированию почки.
С помощью УЗИ можно обнаружить кисты почек и определить их размер и плотность
Дифференциальная диагностика
Уже на первых осмотрах у врача будет понятно, что у пациента появилось новообразование в почке. Дифференциальную диагностику кисты нужно проводить со злокачественной опухолью.
Преимущества и недостатки различных методов исследования
Наиболее оптимальным набором инструментальных методов диагностики кисты почек являются УЗИ и компьютерная томография. С их помощью можно получить детальную информацию о появившемся новообразовании.
Оба метода являются полностью безболезненными, и результаты обследования можно получить практически сразу. Однако с помощью УЗИ и КТ сложно точно определить перегородки, утолщения, повышенную плотность кисты.
Лучше всего с этим справляется МРТ.
УЗИ-диагностика является обязательным обследованием при подозрении на кисту почек
Однако магнитно-резонансная томография, несмотря на все свои преимущества, не является стандартным способом исследования почечных кист.
Обычно к МРТ прибегают в тех случаях, когда у пациента наблюдаются сильные нарушения функционирования почек, и есть аллергия на внутривенное контрастирующее вещество, использующееся при КТ.
Одним из недостатков МРТ является низкая способность к обнаружению кальцификации и очень высокая стоимость.
МРТ почек является информативным методом, но его назначают далеко не всегда, так как в большинстве случаев достаточно УЗИ и КТ
Внутривенная пиелография имеет преимущество в том случае, если у пациента аллергия на контрастное вещество и нарушение функций почек, так как используется минимальное количество средства. Из минусов можно отметить лучевую нагрузку, которую испытывает пациент после проведения рентгеновских снимков. Беременным женщинам это исследование противопоказано.
Внутривенная пиелография назначается далеко не всегда, чтобы избежать излишней лучевой нагрузки
Нефросцинтиграфия — безопасное исследование, так как вводится очень малое количество радиоактивного вещества, и эту процедуру можно проводить даже младенцам. Полученное облучение у пациента даже меньше, чем при выполнении рентгеновского снимка. Единственным недостатком является высокая стоимость нефросцинтиграфии.
Нефросцинтиграфия — очень необычное исследование, которое помогает выявить нарушения в работе почек
Ангиография противопоказана беременным женщинам из-за рентгеновского облучения. Также она может представлять опасность в случае различных заболеваний щитовидной железы. У некоторых пациентов могут наблюдаться осложнения после введения препарата с йодом.
Ангиография почек необходима при подозрении на опухоль, чтобы выявить увеличение количества сосудов в новообразовании
Кисты почек могут быть очень опасными, поэтому при первых признаках патологии необходимо обратиться к врачу.
Если вы часто чувствуете боли в пояснице, артериальное давление скачет, а в моче периодически видны следы крови, то это может свидетельствовать о наличии новообразований в почках. Для диагностики специалисты назначат вам различные лабораторные исследования мочи и крови.
Помимо этого, для визуализации и определения точного нахождения кисты понадобится пройти УЗИ и ряд других диагностических процедур.
- Екатерина Сергеевна
- Распечатать
Источник:
Смотрите, какая тема — Анализы при кисте почки

Киста почки чаще всего встречается у категории людей старше 40 лет. В 70% выявленных случаев образование доброкачественное, в процессе роста может достигать более чем 10 сантиметров. Какие анализы делают при кисте почки и что они означают?
Как делают диагностику?
Диагноз ставят на основании доступной информации.
| Жалобы | В какой момент в моче впервые была выявлена кровь, когда начала болеть поясница, повысилось давление |
| Анамнез жизни | Какие операции и болезни были перенесены |
| Анализ крови (общий) | Покажет, идет ли в организме воспалительный процесс (СОЭ) |
| Анализ мочи (общий) | Эритроциты и лейкоциты покажут, есть ли признаки воспаления почек |
| Анализ крови (биохимический) | Определит, есть ли сбои в работе почек, увеличен ли продукт обмена белка |
| МРТ | Позволяет послойно изучить почки и определить, злокачественного или доброкачественного типа образование |
| КТ | Дает пространственное отображение почки и дает возможность тщательно изучить структуру кисты |
| Нефросцинтиграфия | Позволяет оценить правильную фильтрацию и функцию почек |
| Пункция | Пункция позволяет обнаружить и изучить клетки под микроскопом, это необходимый анализ при подозрении на рак |
| УЗИ | Оценивается структура, размер почек, величина и форма кисты |
| Урография (внутривенно) | Внутривенно вкалывают рентгенпозитивный состав, и через несколько минут выводится почками. Позволяет сделать оценку мочевыводящих путей, определить местоположение и размер кисты |
Какие анализы?
Какие значения должны показать анализы и есть ли отклонения от нормы?
Общий анализ крови
Поможет определить, есть ли воспаление в организме в целом, в том числе в почках. Слишком быстрый процесс оседания эритроцитов, стабильно повышенные лейкоциты говорят о воспалении, хронической или острой инфекции. Анализ сдается утром, на голодный желудок. Кровь берут из пальца.
Биохимический анализ крови
Включает в себя численное определение белка, в том числе подсчитывается мочевина, кератинин, мочевая кислота, калий, натрий.
- У взрослого человека эта норма составляет 62-83 г/л. Если белок понижен, это может говорить о заболевании почек.
- Норма мочевины для взрослого 3,5 – 8,3 ммоль/л. Если показатель выше, вероятнее всего нарушена выделительная функция почек.
- Показания кератинина зависят от пола больного и мышечной массы, у мужчин норма 44-100 мкмоль/л., у женщин 44-88 мкмоль/л. При кисте почек эти показатели повышаются.
- Показания мочевой кислоты также зависят от половой принадлежности. У мужчин – 0,10-0,40 ммоль/л., у женщин – 0,24-0,50 ммоль/л. Если показатели выше, это говорит о патологии.
Общий анализ мочи
Это исследование поможет выявить, есть ли патология или киста почек. Перед забором нужно принять душ и в стерильную емкость собрать биоматериал, необходима первая утренняя моча.

Если цвет мочи мутный, это говорит о сбоях в правильной работе фильтрации почек. Повышенное число лейкоцитов, эритроцитов, белка свидетельствует о нарушении работы мочевыводящих путей.
В отдельных случаях больному необходимо дополнительно пройти коагулограмму и кардиограмму, это поможет сделать оценку свертываемости крови. Эти анализы при кисте почек необходимы, если пациент ложится в стационар и предполагается оперативное вмешательство.
Все анализы выполняются на базе специализированных лабораторий. Могут быть выполнены как по направлению лечащего врача или по собственной инициативе.
А если не лечить кисту почек?
Если анализы показали наличие кисты почек, необходим своевременный медицинский контроль. В противном случае возможны такие осложнения как:
- развивается хроническая почечная недостаточность;
- водянка почки (мед. термин гидронефроз);
- гнойный пиелонефрит;
- в кисте собирается гной;
- киста разрывается и происходит перитонит;
- синдром железодефицита;
- стабильно повышенное артериальное давление.
И в заключение
Способов и анализов для диагностики кисты множество, но если беспокоят характерные симптомы, лучше сразу обратиться к доктору. Своевременная диагностика крайне важна, чтобы исключить возможные осложнения. Если киста не беспокоит, за ней достаточно наблюдать, когда беспокоит дискомфорт, как правило, кисту удаляют хирургическим путем.
Источник:
Киста на почке: опасно ли это, как лечится и излечима
Киста на почке – опасно ли это, и какое лечение необходимо? Обычно этот вопрос урологи слышат от пациентов, у которых по результатам диагностики выявлено доброкачественное новообразование. Ответ врача: «Зависит от размеров кисты, ее вида, расположения, сопутствующих заболеваний и степени нарушения функций органа».
Причины патологии
Термином «киста» в медицине обозначается образование, имеющее полость и окруженное сверху капсулой. Внутри этой полости скапливается серозная жидкость. Кисты на почках в 5% случаев – врожденные, в остальных – приобретенные.
Врожденная патология результат инфекционных болезней матери.
Приобретенные могут быть следствием:
- инфекционных и воспалительных патологий почек:
- травм поясничной области;
- мочекаменной болезни;
- гломерулонефрита;
- туберкулеза почечной ткани;
- старения организма;
- сниженного иммунитета;
- гормонального дисбаланса;
- заболеваний, протекающих с почечной недостаточностью.
У мужчин кисты на почках образуются чаще по сравнению с женщинами, причиной этого могут стать аденома простаты и курение.
Размеры кисты бывают от самых минимальных в 1–2 см до 10 см и более. Опасно для здоровья крупное образование, но и мелкие в редких случаях вызывают тяжело поддающиеся лечению осложнения.
Характерные симптомы
Незначительные в размерах кисты практически всегда выявляются случайно во время диспансеризации, или во время прохождения УЗИ органов брюшной полости по поводу других заболеваний. Такие новообразования не приводят к появлению болей и иных симптомов. Но по мере прогрессирования их роста у пациента могут появиться:
- Боли в пояснице или под ребрами тянущего и ноющего характера.
- Неприятные ощущения в области почки при значительной физической нагрузке.
- Периодическое повышение АД.
- Изменение цвета мочи на розоватый, что свидетельствует о примеси крови в урине.
Присоединение воспалительного процесса или нагноение кисты приводит к повышению температуры тела, к ознобу, к усилению болей. Образование большого размера можно пропальпировать (прощупать пальцами).
Быстро увеличивающаяся киста и ее нагноение грозит разрывом капсулы, что приводит к выходу серозного секрета или гнойных масс в брюшную полость. Это вызывает перитонит, при развитии которого хирургическая помощь больному должна быть оказана в первые часы.
Виды кист
Кисты на почках подразделяют в зависимости от расположения и состава жидкости внутри полости.
По локализации образование может быть:
- Субкапсулярным. Возникает между паренхимой почки и ее внешней капсулой. Почечную лоханку не затрагивает, поэтому практически не нарушает функции органа и длительное время не вызывает никаких изменений в самочувствии.
- Кортикальным. Располагается в корковом слое, на отток мочи практически не влияет. Опасны кортикальные кисты, образующиеся в результате травмы, так как внутри их полости может скапливаться кровь и гной.
- Интрамедуллярным. Растет в мозговом веществе органа, поэтому нарушает функцию фильтрации, что может неблагоприятно отразиться на работе почек.
- Околоханочным. Расположено рядом с лоханкой, часто образуется из лимфатического сосуда. Большие околоханочные образования негативно влияют на процесс мочеиспускания.
- Дивертикулом лоханки. Располагается в лоханке почки, встречается относительно редко. Образования с такой локализацией провоцируют застойные явления, вследствие чего в почке развивается инфекция и больного начинает беспокоить сопутствующая симптоматика.
По составу жидкости почечные кисты бывают:
- серозные;
- геморрагические;
- гнойные.
В составе жидкости присутствуют и кальцинаты – отдельные очаги солей кальция. Кисты с кальцинатами, гнойными массами и кровью могут перерождаться в раковые опухоли.
По структуре кисты на почках бывают однокамерные и многокамерные, то есть состоящие из нескольких отдельных полостей, отделенных друг от друга перегородками.
Особо выделяют паразитарный вид кисты, она развивается по причине присутствия в организме эхинококкового цепня. Такие образования подлежат хирургическому удалению.
Классификация по Bosniak
В 1986 году разработана классификация по Босняку (Bosniak), применяется для установления вероятности злокачественного перерождения опухоли.
Категория кист определяется на основании данных гистологии, результатов томографии и ряде других диагностических процедур.
Классификация по Босняку позволяет выяснить необходимость применения хирургического вмешательства. Всего выделяют 4 категории кист:
- К первой категории относят тонкостенное образование без перегородок и кальцификатов. Риска малигнизации нет;
- Вторая категория – кисты, которые могут внутри содержать несколько перегородок, в стенках возможно наличие небольших кальцификатов. Считаются доброкачественными;
- Категория IIF. Образование с перегородками, в стенках возможны участки кальцификатов. При обследовании определяется «кажущееся контрастирование». Небольшой процент таких образований озлокачествляется;
- К категории III относят сомнительные кисты с утолщенными перегородками и стенками, отличающиеся накоплением контрастного вещества. При таких образованиях необходимо постоянное наблюдение. В половине случаев они перерождаются в раковую опухоль;
- Категория IV. Обладают всеми признаками образований третьей категории, кроме того сдержат компоненты, хорошо накапливающие контраст. Имеют признаки злокачественной опухоли, подлежат хирургическому удалению во всех случаях.
Принципы лечения
Терапия подбирается исходя из размеров образования, во внимание берется вероятность его озлокачествление и влияние на функции почки. Лечится патология как консервативными, так и хирургическими методами.
Операция не требуется, если киста до 4–5 см в диаметре и при этом не ухудшает функции организма. Но при таких опухолях больной должен систематически (раз в полгода) проходить УЗИ и сдавать анализы.
Схема лечения включает в себя применение лекарственных средств, диетотерапию и хирургическое вмешательство в случае роста кисты и при появлении осложнений. Лечебное питание помогает снизить нагрузку на почки, улучшает обменные процессы в органе, уменьшает вероятность развития воспалений. Для этого больному необходимо:
- Свести к минимуму употребление жирных, соленых и жареных блюд, острых специй;
- Готовить пищу на пару или запекать;
- Есть дробно, небольшими порциями;
- Ограничить употребление кофе и крепкого чая;
- Отказаться от алкоголя;
- Пить больше воды;
- Уменьшить поступление в организм животных белков.
Питаться по предложенному рациону нужно постоянно. При незначительных кистах диетотерапия в сочетании с медикаментозной терапией позволяет избавиться от образования без хирургического вмешательства.
Медикаментозное лечение
Принимать лекарства при кистах почек нужно только те, которые назначит врач. Если заболевание сопровождается воспалительным процессом, то необходима антибактериальная терапия. Дополняют ее уросептиками и спазмолитиками, для снятия болей.
При неэффективности медикаментозного лечения уролог может предложить чрескожную пункцию. Во время процедуры содержимое кисты отсасывается и на это место вводится склерозирующий препарат, что постепенно приводит к спаданию стенок и замещению соединительной тканью.
Хирургическое вмешательство
Операция назначается в следующих случаях:
- Размеры кисты более 5 см и отмечается прогрессирование роста;
- При нагноении;
- В случае риска озлокачествления кисты;
- Если отсутствует эффект от консервативной терапии;
- При выраженном ухудшении оттока мочи и сильных болях;
- При паразитарной кисте;
- При стойкой гипертензии, связанной с образованием на почках.
Во время операции кисту удаляют через брюшную полость. Если есть признаки озлокачествления, то вместе с образованием удаляют часть почечной ткани. После процедуры биоматериал отправляют на гистологическое исследование.
В послеоперационный период больному назначают антибиотики, диетотерапию, уросептики.
Народная медицина
Бороться с кистами на почках народными средствами бесполезно. Применение всевозможных фитопрепаратов может только снизить вероятность инфицирования образования и положительно влияет на мочевыделительную функцию органа. Чтобы не навредить своему организму перед использованием любого «бабушкиного рецепта» следует его согласовать с врачом.
При кистах на почках применяют:
- Сок лопуха, принимая его по столовой ложке трижды в день в течение двух месяцев;
- Сок калины с медом. Свежеотжатый калиновый сок в объеме 200 г нужно перемешать с двумя столовыми ложками разжиженного меда. Приготовленный напиток пить ежедневно по четверти стакана на протяжении месяца;
- Настойку золотого уса. Готовят ее из 50 суставчиков растения и 500 мл водки, настаивают 10 дней. Начинают принимать один раз в день по 10 капель, каждый последующий день это количество увеличивают на одну каплю. Через месяц дозировку уменьшают в обратном порядке.
Рассасываются ли кисты почек сами
Исчезновение диагностированных кист возможно и без лечения и хирургического вмешательства. Такой вариант развития болезни наиболее вероятен, если образования являются следствием воспалительного процесса и их размеры не превышают 2–3 см.
Прогноз
Прогноз для пациентов зависит от размера образования, его локализации, риска озлокачествления. По результатам диагностических процедур каждому больному подбирается индивидуальная схема лечения.
Вероятность прогрессирования роста опухоли и появления осложнений зависит и от точного соблюдения всех рекомендаций врача.
Без последствий излечима небольшая киста с серозным содержимым, не склонная к росту.
Злокачественные кисты могут привести к смерти. Такой исход наиболее вероятен, если диагноз поставлен не своевременно и наблюдается метастазирование опухоли.
Зависимость выздоровления от размеров кисты
Пациентам, у которых кисты не превышают 5 см в диаметре и при этом не сопровождаются изменениями в функционировании органа, предлагается только динамическое наблюдение. Иногда они исчезают сами или не беспокоят в течение всей жизни.
При образованиях размерами свыше 5 см лучше провести хирургическое удаление, так как возможны осложнения:
- Разрыв капсулы кисты;
- Хроническая недостаточность почек;
- Перитонит.
Опасность осложнений при кистах почек достаточно высока. Поэтому при появлении признаков, указывающих на возможное формирование образования, нужно незамедлительно пройти обследование, по результатам которого врач назначит подходящее лечение.
Источник:
