Киста большеберцовой кости у детей

Многие годы пытаетесь вылечить СУСТАВЫ?
Глава Института лечения суставов: «Вы будете поражены, насколько просто можно вылечить суставы принимая каждый день средство за 147 рублей…
Читать далее »
Кость неоднородна по структуре, она состоит из множества слоёв, которые образованы различными типами клеточек:
НАШИ ЧИТАТЕЛИ РЕКОМЕНДУЮТ!
Для лечения суставов наши читатели успешно используют Sustalaif. Видя, такую популярность этого средства мы решили предложить его и вашему вниманию.
Подробнее здесь…
- Остеоциты – минерализированные клеточки, которые по форме припоминают снежинку. Они обеспечивают твердость ткани и поддерживают форму. Слабо способны к скорому размножению.
- Остеобласты – это относительно мягенькие клеточки, производящие межклеточное вещество, которое обеспечивает диффузное питание остеоцитов. Остеобласты могут плодиться и делиться. Это процесс наиболее выражен в ростов на дону части кости.
- Остеокласт – предшественник натуральной костной клеточки. Он вырабатывается в костном мозге и опосля выхода в кровяное русло средством множества сложнейших реакций становится остеоцитом или остеобластом.
Ежели слои развиваются неравномерно или травмируются, меж ними возникает полость, которая и становится кистой.
Определение
Киста кости — это полость в ней, содержащая жидкость, которая возникает из-за нарушения кровообращения снутри кости.
Со временем костной ткани не хватает питательных веществ и кислорода, она начинает разрушаться, как следствие активируются ферменты, содержащиеся в большом количестве в воды, которая заполняет кисту.
Ферменты оказывают разрушительное действие на костную ткань, повсевременно ее разрушают.
В неких вариантах активность ферментов может понижаться, тогда киста кости равномерно потухает, а ее полость зарастает костной тканью.
Традиционно болезнь возникает у детей от 10 до 16 лет, пореже у взрослых до 30 лет.
Сама по для себя костная киста не приносит вреда организма, но она может спровоцировать появление патологических переломов без созидаемой предпосылки и повреждение сустава, который находится поблизости.
Потому вылечивать болезнь () необходимо непременно, чем у детей занимается доктор ортопед-травматолог.
Понятие и статистические отданные
Киста кости представляет собой болезнь с соответствующим формированием полости в кости человека. Схожие проявления на начальных стадиях не манят суровых заморочек. Максимум, что испытывает человек – это маленькие болевые чувства во время движений или при физической перегрузке.
Предпосылкой образования обрисовываемых пустот служит нарушение внутрикостного кровообращения, локализованных в одной кости.
Средством обстоятельств происходят деструктивные конфигурации в коллагенах и протеинах, что влечет появление кисты кости, которую в медицине принято относить к опухолеподобным болезням.
Согласно статистическим отданным кисты кости появляются у детей в возрасте от 10 до 15 лет. Что же касается поражения костей взрослых, то таковые варианты фиксируются изредка. Основная часть нездоровых составляют люди в возрасте от 20 до 30 лет.
Механизм образования
Доподлинно выявить этиологический фактор образования кистозной полости тяжело ввиду медленного формирования в течение 1–2 лет.
Патогенез включает в себя два звена:
- Нарушение микроциркуляции;
- Активность ряда ферментативных веществ.
В первом варианте:
При изменении циркуляции ткани кости возникает «зона отчуждения». Недочет нужных компонентов, кислорода, макро- и микроэлементов ослабляет костные структуры и приводит к разрушению. В процесс врубается иммунный ответ с увеличивающий активность лизосомных ферментов способных расплавлять соединения белка, полисахаридов, волокон коллагена.

Во 2-ое варианте:
На фоне деструкции и кистовидной перестройки формируется доброкачественная опухоль костной ткани. Ферментные вещества стимулируют повышение кисты в размеру за счет скопления экссудативного содержимого. Снутри отмечается завышенное гидростатическое и осмотическое давление. Равномерно внутрикапсульное напряжение понижается, киста замещается костной тканью.
Киста кости — это полость в ней, содержащая жидкость, которая возникает из-за нарушения кровообращения снутри кости. Со временем костной ткани не хватает питательных веществ и кислорода, она начинает разрушаться, как следствие активируются ферменты, содержащиеся в большом количестве в воды, которая заполняет кисту.
Ферменты оказывают разрушительное действие на костную ткань, повсевременно ее разрушают.
В неких вариантах активность ферментов () может понижаться, тогда киста () кости равномерно потухает, а ее полость зарастает костной тканью ().
Традиционно болезнь возникает у детей от 10 до 16 лет, пореже у взрослых до 30 лет.
Сама по для себя костная киста не приносит вреда организма, но она может спровоцировать появление патологических переломов без созидаемой предпосылки и повреждение сустава, который находится поблизости.
Потому вылечивать болезнь необходимо непременно, чем у детей занимается доктор ортопед-травматолог.
Четкие предпосылки, почему возникает киста не узнаваемы, так как не ясно из-за чего возникает нарушение () кровообращения и питание костной ткани. Но есть причины, которые наращивают риск возникновения кисты у детей:
- нехорошее питание, авитаминоз, вследствие которого могут происходить нарушения работы всего организма;
- травмы разной тяжести от ушибов до переломов;
- воспалительные процессы в мягеньких тканях и суставах.
В зависимости от места появления бывает:
- киста бедренной кости;
- киста большеберцовой кости;
- плечевой кости;
- пяточные .
Также костные кисты подразделяют на:
- Солитарную, которая возникает традиционно у мальчишек, она заполнена жидкостью и поражает длинноватые кости.
- Аневризмальную, которая возникает почаще у девченок, она заполнена кровью.
Традиционно от болезни мучаются мальчишки от 10 до 16 лет, но в мед практике встречались редкие варианты возникновения новообразования у малышей до года. У взрослых таковая патология встречается изредка и почаще всего она остается опосля перенесенного в детстве болезни.
Почаще всего болезни возникает в трубчатой бедренной или плечевой кости, проходит оно бессимптомно, в редких вариантах может появляться слабенькая боль, которая стремительно проходит.
Ежели костная киста огромного размера, могут происходить нарушения двигательной активности () в суставе рядом с пораженной костью и появляться хромота.
На исходной стадии новообразование трудно найти без особого исследования, так как опухоль мягеньких тканей отсутствует, так же как и уплотнения. Пациент может обычно двигаться, кожа не становится горячей и не возникает венозной сетки на поверхности.
Почаще всего первым признаком заболевания становится патологический перелом, который вынуждает пациента обратиться к доктору. Возникает он традиционно из-за незначимой травмы или вообщем без нее. Боль при таковом переломе может быть наименее интенсивной, чем при обыкновенном травматическом.
Ежели не вышло патологического перелома, то болезнь может и не быть найдено, в таковом варианте () новообразование продолжает выращивай, возникает нарушение двигательной активности сустава, который находится поблизости и возрастает риск появления перелома. Через год опосля появления патологии киста кости теряет питание и равномерно зарастает костной тканью, в таковом варианте возникает излечение ноги.

Таковая киста возникает пореже, чем солитарная, возникает в большей степени у девченок от 10 до 16 лет, поражает традиционно тазовые кости и позвоночник.
Предпосылкой ее появления, как правило становится травма, ткани вокруг кости (
constans (родительный падеж constantis) — «постоянный, стойкий») мощно отекают, возникает резкая боль.
Снаружи патология себя проявляет, на кожи видна венозная сетка, мощный отек, двигательная активность сустава, находящегося поблизости, нарушается. Ежели поражен позвоночник, то появляются неврологические симптомы, связанные с поражением нервных окончаний.
Существует 2 вида аневризмальных кист:
- Центральная;
- Эксцентрическая.
Так же как и солитарная киста, аневризмальная равномерно теряет питание и миниатюризируется в размере, остается остаточная полость или участок патологического разрастания костной ткани.
Предпосылки и механизм образования
Болезнь возникает в итоге развития 2-ух главных не нормальных состояний:
- нарушения циркуляции крови на определенном участке костной структуры;
- активности определенных ферментов, что ведет к разрушению органического костного вещества.
Но предпосылки этих не нормальных состояний до конца не изучены.
Образование псевдоопухоли начинается с нарушенного внутрикостного кровоснабжения определенного участка.
Недостаток кислорода, микроэлементов, остальных принципиальных веществ ведет к постепенному разрушению ткани и провоцирует активность ферментов, способных расщеплять белковые соединения, включая коллагеновые волокна и полисахариды, приводя к деструктивным действиям.
Заместо костной ткани на участке дегенеративных конфигураций формируется полость с жидкостью – киста костной ткани. Эти же ферменты стимулируют предстоящий рост стен капсулы и скопление в ней экссудата.
Существует предположение, что на пуск механизма образования кистозной капсулы влияют:
- приобретенные травмы – ушибы, переломы;
- внутриутробное нарушение формирования костной ткани у эмбриона;
- патологии, ведущие к вымыванию кальция;
- воспалительные процессы и инфекционные очаги в организме;
- пониженная иммунная защита, как местная, так и общественная;
- плохое питание с нехваткой микроэлементов и витаминов.
- Лечение
- Народные средства
- Симптомы
- Суставы
Источник:
Киста яичника у девочки подростка: симптомы и лечение в 14, 15 и 16 лет

Киста яичника может возникнуть у девочки подростка по разным причинам. Чаще всего это связано с гормональной перестройкой организма и началом менструального цикла. В большинстве случаев патологию выявляют в возрасте 12 – 15 лет в период полового созревания. Но встречаются ситуации, когда новообразование возникает у новорожденных детей.
В большинстве случаев патологию яичников выявляют в возрасте 12 – 15 лет в период полового созревания.
Провоцирующие факторы
Кистозные опухоли представляют собой плотную капсулу с жидким содержимым. Чаще всего они локализуются на правом яичнике. Из-за недостаточной развитости половых желез возникают нарушения в их деятельности, что провоцирует появление кисты. Существуют причины, которые увеличивают риск образования:
Могут сказаться перенесенные воспалительные процессы, инфекционные заболевания, стресс.
- нарушения эндокринного характера;
- избыточный вес, а также ожирение какой-либо стадии;
- новообразования появляются из-за раннего начала менструаций;
- если проводилась гормональная стимуляция яичников либо гормоны назначались для лечения каких-либо заболеваний, риск появления кисты увеличивается;
- воспалительные процессы и инфекционные заболевания;
- длительное охлаждение;
- стресс;
- вредные привычки;
- наследственная предрасположенность.
Причины появления кисты яичника у новорожденных девочек пока недостаточно изучены.
Виды кистозных образований
Существует классификация, согласно которой киста на яичнике у девочки-подростка может относиться к одной из следующих разновидностей:
- фолликулярная. Процесс появления связан с овуляцией. Во время стандартного менструального цикла фолликул по какой-либо причине не разрывается. Он наполняется жидкостью и со временем перерождается в кисту. При этом типе утолщение достигает 10 см в диаметре. Менструации становятся более длительными и болезненными;
- киста желтого тела. Чаще всего связана с незрелостью репродуктивных органов. В связи с бурным созреванием яйцеклеток желтое тело сильно разрастается. Киста наполнена жидкостью с кровяными сгустками. В большинстве случаев спровоцировать развитие может длительное охлаждение, чрезмерные нагрузки или использование некоторых препаратов;Киста наполнена жидкостью с кровяными сгустками.
- муцинозная. Этот тип напоминает фолликулярное новообразование на яичнике. Отличие состоит в избыточном скоплении слизи. Если процесс запущен, то поражаются оба яичника, что со временем приводит к поликистозу.
Поликистоз у подростков
Это опасная разновидность уплотнений, которая поражает оба яичника. Двустороннее новообразование бывает вызвано гормональными сбоями, инфекционными процессами и прочими нарушениями в работе внутренних органов. Из-за осложненного течения процесс может стать причиной бесплодия.
Из-за осложненного течения процесса может стать причиной бесплодия.
Определить наличие поликистоза яичников можно по следующим признакам:
- менструации имеют непостоянный характер;
- в промежутках между циклами возможно появление мажущих выделений;
- повышается жирность кожи, образуются прыщи;
- замедляется обмен веществ, в результате чего повышается вес;
- в большом количестве начинают расти волоски на теле;
- в обоих яичниках чувствуется слабая непостоянная боль (иногда болит также поясница);
- повышается температура.
Симптомы патологии яичника у подростков
В большинстве ситуаций определить наличие кисты яичника у подростка сложно, поскольку она редко проявляет себя.
Только осложненные формы и большие размеры доброкачественной опухоли приводят к появлению симптомов. Это в первую очередь нерегулярные менструации.
Однако в подростковом возрасте циклы нередко нарушаются из-за незрелости половой системы. Поэтому на это редко обращают внимание.

Еще один возможный симптом – появление мажущих выделений в промежутках между менструациями. Если возникает перекручивание ножки кисты, ее самопроизвольный разрыв или прочие осложнения, признаки становятся более явными:
В зависимости от причины, боль бывает разной степени интенсивности.
- боль в брюшной полости. В зависимости от причины, вызвавшей ее, бывает разной степени интенсивности. Иногда болевой синдром распространяется на область заднего прохода;
- усиливаются позывы к мочеиспусканию, но при этом возникает ощущение неполного опорожнения мочевого пузыря;
- могут возникать запоры или, напротив, диарея;
- появляется тошнота либо рвота;
- ухудшается общее самочувствие (вплоть до обморока);
- повышается температура.
При наличии этих симптомов требуется срочная помощь и госпитализация.
Чем грозит отсутствие лечения от кисты яичников?
В подростковом возрасте нельзя игнорировать проблему, поскольку это чревато развитием опасных осложнений. К наиболее распространенным относят:
- увеличение кисты в размерах. Если она достигает большого диаметра, то начинает давить на прочие внутренние органы, доставляет сильный дискомфорт;
- нагноение содержимого, развитие воспалительного процесса;
- возникают случаи перекрута кисты. Представлены такими симптомами, как резкая приступообразная боль, повышение температуры, рвота и проч.;
- самопроизвольный разрыв оболочек. При попадании содержимого в брюшную полость развивается воспаление, происходит интоксикация;Из-за разрыва оболочек кисты возможно воспаление.
- в редких случаях возможно перерождение новообразования в злокачественную опухоль;
- увеличивается риск спаечного процесса, при котором грозит бесплодие;
- в наиболее запущенных случаях потребуется удаление яичника, на котором расположена киста.
Диагностика кист яичника
Если уплотнение уже можно прощупать пальцем, то гинеколог сможет выявить его на плановом осмотре. При отсутствии осложнений или воспалительного процесса девочка не почувствует боли при надавливании на стенки опухоли. Болевой синдром характерен для осложненных процессов.
Если уплотнение уже можно прощупать пальцем, то гинеколог сможет выявить его на плановом осмотре.
Чтобы уточнить диагноз и определить точные размеры и место локализации новообразования, врач назначит УЗИ, а также дополнительные анализы крови и мочи. После проведения обследования подбираются методы лечения овариальной кисты.
Методы лечения
Терапия, которую назначают девочкам в подростковом возрасте, обычно отличается от той, что применяют для лечения взрослых женщин. Это связано с незрелостью и нестабильностью половой системы.
Врач может занять выжидательную позицию и наблюдать за тем, не изменяется ли опухоль в яичнике в размерах.
Часто встречаются случаи, когда она рассасывается самопроизвольно через несколько менструальных циклов.
Если этого не произошло, обычно применяют гормональную терапию. Препараты подбирают индивидуально. В отдельных случаях может потребоваться операция по удалению кисты яичника.
Медикаментозная терапия
Чаще всего медикаменты назначают, когда присутствуют сбои в менструальном цикле. Также они требуются при увеличении новообразования на яичнике в размерах. В список препаратов входят оральные контрацептивы, которые содержат женские гормоны. Для восстановления правильной деятельности внутренних органов обычно достаточно трех месяцев приема.
Чаще всего медикаменты назначают, когда присутствуют сбои в менструальном цикле.
В каждом случае медикаменты должны назначать индивидуально. Учитывают вес, рост, возраст пациентки, результаты проведенных анализов на гормоны.
Только в этом случае можно добиться хорошего результата и не навредить. При прохождении лечения необходимо регулярно посещать врача, чтобы контролировать происходящие изменения. Также необходимо отказаться от физических нагрузок.
Оперативное вмешательство
Хирургическое вмешательство при наличии кисты у девочек в подростковом возрасте назначают очень редко. Врачи прибегают к нему лишь в тех ситуациях, когда существует угроза жизни или здоровью пациентки. При наличии воспалительного процесса может потребоваться дополнительный прием антибиотиков, после которого могут назначить операцию.
Хирургическое вмешательство для подростков назначают в редких случаях.
Процедуру проводят в тех случаях, когда произошло нагноение содержимого, есть перекручивание ножки опухоли яичника, возник самопроизвольный разрыв стенок капсулы.
Если потребовалось хирургическое вмешательство, удаляют полость вместе с содержимым стандартным иссечением или при помощи лапароскопии. В редких ситуациях потребуется удаление не только кисты, но яичника, на котором она располагается.
Народные методы терапии
Любые народные средства, которые вы планируете использовать для улучшения состояния, необходимо согласовать с врачом. Гинекологи против применения таких средств у девочек в подростковом возрасте, поскольку их организм чувствительно реагирует на любые вмешательства.
Настойку пиона разводят в воде и пьют дважды в день.
Если лечащий врач одобрит использование народных методов, то для замедления роста кисты можно употреблять обычную настойку пиона. 1 ч. л. средства разводят в стакане воды и пьют дважды в день. Курс длится 10 суток.
Хороший эффект дает сочетание меда и сока калины. Их смешивают в одинаковых пропорциях и употребляют по 1 – 2 столовых ложки ежедневно на протяжении месяца.
Профилактические меры
Если развитие новообразования на яичнике связано с гормональными сбоями, сложно предотвратить развитие кисты. Однако существуют общие рекомендации, которые позволят снизить риск появления уплотнения:
- требуются регулярные осмотры у гинеколога. Плановые визиты к врачу позволят выявить новообразование на ранней стадии;Требуются регулярные осмотры у гинеколога.
- в подростковом возрасте важно обеспечить ребенку стабильное эмоциональное состояние. Родители должны следить за тем, чтобы девочка не испытывала стресса, и постараться оградить ее от возможного негатива;
- необходимо отслеживать любые изменения самочувствия. При выявлении воспалительных процессов их требуется устранить;
- в подростковом возрасте должна присутствовать физическая активность, однако нужно избегать перегрузок. Из-за гормональной перестройки на организм ложится большая нагрузка и лишняя активность ни к чему;
- избегайте приема гормональных препаратов. Используйте их только по назначению лечащего врача;
- родителям нужно контролировать, нет ли у ребенка вредных привычек. В подростковом возрасте они могут привести к непоправимым последствиям.
Киста на яичнике может быть опасна для здоровья девочки в подростковом возрасте. Чаще всего новообразование рассасывается самопроизвольно, но иногда приводит к развитию осложнений.
Если игнорировать проблему, со временем могут образоваться спайки, что вызовет бесплодие у пациентки. Для лечения доброкачественной опухоли назначают гормональную терапию, реже – операцию.
В редких случаях может потребоваться удаление не только капсулы, но и самого яичника.
Источник:
Оперативное вмешательство при болезни Шляттера коленного сустава у подростков

Болезнь Шляттера (код МКБ – 10:М92.5) – это поражение опорно-двигательного аппарата, при котором страдают определенные участки трубчатых костей. Ее относят к остеохондропатии – группе патологий, которые зачастую проявляются у детей и подростков.
На сегодняшний день истинные причины возникновения заболеваний не установлены. Все же мнение специалистов сводится к тому, что болезнь Шляттера коленного сустава у подростка развивается в результате дисбаланса развития костей и нарушения функционирования кровеносных сосудов.
Все это возникает на фоне серьезных физических нагрузок.
Болезнь сопровождается болями
Возрастная категория подверженности болезни
Болезнь Осгуда Шляттера является возрастным заболеванием, и в основном с ним сталкиваются подростки и дети в возрасте от 10 лет до 18 лет. Именно в этот период они начинают интенсивно расти.
При этом есть некоторые отличия между девочками и мальчиками. Так как у девочек половое созревание начинается раньше, то и риск развития патологии припадает на возрастной период 11-12 лет.
У мальчиков он составляет 13-14 лет.

Болезнь является очень распространенной. Согласно статистике, ее диагностируют у 11% всех детей. Особенно это касается тех, кто активно занимается спортом. Недуг начинает развиваться на фоне полученной травмы, даже незначительной.
Итак, к основным факторам риска можно отнести:
- Возраст. Зачастую патология развивается у детей и подростков до 18 лет. Во взрослом возрасте риск минимален. Основной признак – шишка под коленом.
- Пол. Синдром Шляттера бугристости большеберцовой кости зачастую наблюдается у мальчиков, так как они больше всего увлекаются различными видами спорта. В результате риск получения травм у них очень высок.
- Вид спорта. В зону риска попадают дети, которые занимаются активными видами спорта, такими как футбол, баскетбол, хоккей и другие. Иногда болезнь возникает на фоне сопутствующих заболеваний, таких как плоскостопие. Как известно, военкомат отмечает наличие такого недуга в карте призывника.
Чтобы предотвратить возникновение осложнений, необходимо своевременно обратиться за помощью к специалисту, но для этого нужно знать основные симптомы недуга.
Зачастую болезнь поражает детей и подростков
Характер боли
Заболевание сопровождается различной симптоматикой. Одним из главных симптомов являются боли в области коленного сустава. Их характер напрямую зависит от индивидуальных особенностей организма.
Так, некоторые дети ощущают незначительные боли при выполнении определенных движений и упражнений, таких как прыжки или бег.
Другие же – страдают от изнурительных и постоянных болей не только в ноге, но и в спине.
Как правило, патология поражает только одну конечность, но бывают и исключения. При поражении обеих ног подросток чувствует характерные боли и дискомфорт. Симптоматика будет продолжаться до тех пор, пока не закончится период роста костей. При острой форме потребуется квалифицированное лечение, вплоть до проведения операции.
Причины проявления болезни
Причины развития недуга заключаются не только в физических нагрузках, но и в особенностях строения опорно-двигательного аппарата. Все трубчатые кости, расположенные в конечностях, имеют определенные зоны роста. Они расположены на их концах и представлены в виде хрящевой ткани, которая обладает меньшей прочностью, чем кости.
В результате недостаточной прочности и воздействия физических нагрузок зоны роста подвергаются повреждениям. Это проявляется в их отечности и возникновении болей. Помимо этого, при физической активности можно растянуть сухожилия. На фоне этого четырехглавая мышца, которая соединяет большеберцовую кость и чашечку, натягивается. Помимо этого, при активном росте питание апофиза нарушается.
Под влиянием таких факторов начинает развиваться воспаление, которое приводит к оссификации не сформированной до конца кости. При этом наблюдается ненормальное разрастание костной ткани в области апофиза. Таким образом, под коленом формируется бугорок, который является основным симптомом синдрома Шляттера.
Важно! Не до конца сформированная кость очень хрупка и плохо противостоит повреждениям, которые возникают при нагрузках, поэтому заболевание в основном возникает у подростков.
Физические нагрузки сопутствуют развитию синдрома Шляттера
Возможные осложнения
Осложнения и негативные последствия заболевания встречаются очень редко. Зачастую недуг отличается доброкачественным течением. Самостоятельный регресс возникает после того, как человек перестает расти.
А это значит, что в любом случае в возрасте 23-25 лет заболевание перестает прогрессировать. Это связано с тем, что после достижения этого предела ростковые зоны костей закрываются.
В результате основные причины возникновения и развития недуга исчезают.
В некоторых случаях, особенно при запущенной стадии, у человека остается внешний дефект. Он представлен в виде бугорка, который размещен под коленом. Несмотря на наличие такого образования, оно не влияет на функционирование коленного сустава и самой конечности, хотя бывают и исключения.

В редких случаях под воздействием различных факторов заболевание протекает с осложнениями. Прежде всего, это касается фрагментации бугристости.
Иными словами, происходит отрыв связки и отсоединение секвестра от большеберцовой кости. Фрагментация сопровождается нарушением функционирования сочленения и конечности.
Единственным решением является хирургическое вмешательство, в процессе которого восстанавливается целостность связки.
Диагностика болезни
Диагностировать болезнь Шляттера не составляет труда для квалифицированного врача. Для этого достаточно просто выполнить несколько простых процедур:
- Осмотр пациента и сбор необходимой информации. В результате пальпации специалист может определить наличие воспалительного процесса, что свидетельствует о патологии. Помимо этого ему необходима вся информация о присущих симптомах. К вниманию также берется описание прошлых или сопутствующих заболеваний, а также о приеме препаратов на сегодняшний день.
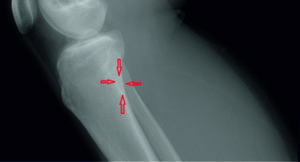
- Рентгенологическое обследование (рентген). Проводится для того, чтобы подтвердить диагноз. В данном случае проводится обследование сочленения в боковой проекции. На рентгеновском снимке видна остеохондропатия бугристости большеберцовой кости и ее фрагментация, если таковая имеется.
Если в результате таких исследований врач сомневается в поставленном диагнозе, то пациенту назначается КТ, УЗИ и МРТ. Что касается лабораторных исследований, то в них нет надобности, так как анализ крови и мочи будет в пределах нормы.
При диагностике часто применяют рентгенологическое исследование
Киста яичника у девочки подростка: симптомы, причины, лечение

Киста яичника у девочки подростка – заболевание мочеполовой системы с появлением новообразований, наполненных жидкостью и железистыми клетками. Киста может появиться в репродуктивном возрасте, начиная с 12 лет. Чаще возникновению образований подвержены подростки до 15 лет, с момента появления первой менструации.
Как появляется кистозное новообразование
В период менструации фолликул, где происходит развитие яйцеклетки, увеличивается и наполняется жидкостью. В середине цикла он подвергается деградации, освобождает яйцеклетку и образует «желтое тело». Если этого не происходит, то у ребенка развиваются образования, похожие на пузырьки, приводящие к кисте.
Киста яичника у девственницы может развиться так же легко, как и у девочки, которая уже живет половой жизнью. Доброкачественная киста может рассосаться самостоятельно за пару месяцев, при этом, не оказывая влияния на организм.
Если новообразование прогрессирует, увеличивается в размерах, вызывает боли внизу живота врач, может заподозрить озлокачествление кисты, которое требует лечение.
Разновидности
Помимо деления на доброкачественность и злокачественность, кисты различаются по симптоматике и образованию заболевания. Чаще всего поражается правый яичник. Выделяют такие типы кисты яичника у подростка:
- Фолликулярная. Жидкость скапливается в неразорвавшихся фолликулах. Во время чего происходит отмирание яйцеклетки, разрушение гранулезных клеток и удлинение болезных менструаций, часто с обильным кровоотделением. Причина возникновения кроется в нарушенной работе гормонов и воспалениях мочеполовой системы. Данный тип кисты может достигать длины в 10 см.
- Киста желтого тела. Появление жидкости с кровяными примесями в «желтом» тельце, которое выстлано лютеиновыми клетками. Побудить возникновение недуга может переохлаждение, употребление аспириносодержащих лекарств и чрезмерная физическая активность.
- Муцинозная. Похожа на фолликулярную. Отмечается обильное выделение слизи.
- Двухсторонняя. Повреждаются оба яичника, что приводит к поликистозу.
Все формы кисты сопровождаются ноющими болями в нижней части живота во время менструаций и общей ослабленностью организма.
Причины появления кисты яичника у подростка
Основная причина возникновения заболевания у ребенка – пубертатный период с гормональными изменениями, сопровождаемыми болями. Кроме того, возникновение болезни зависит от факторов:
- особенностей строения детских органов;
- инфекций половой системы;
- гормонального сбоя;
- проблем в работе щитовидной железы;
- раннего начала или нерегулярности месячных;
- лишнего веса;
- стрессов, депрессии;
- вредных привычек;
- наследственности;
- тяжелых нагрузок.
Вышеуказанные причины вызывают перестройку яичников, блокируя возможность яйцеклетки покинуть фолликул, что приводит к нарушениям работы кровеносной системы и накоплению жидкостей.
Симптомы
Всеобщая жалоба у больных девочек – ноющие боли в нижней части живота. Большая часть симптомов слабовыраженная, а потому определение кисты затруднительно. Чаще всего девочки 12-15 лет никак не ощущают наличие новообразования на яичнике. Врачи рекомендуют периодически проходить УЗИ органов малого таза.

В запущенных случаях, когда киста достигает больших размеров, появляются такие симптомы:
- нерегулярность и болезненность месячных;
- боли во время мочеиспускания;
- нарушение дефекации;
- повышенная температура тела;
- боль в нижней части живота, которая иногда отдает в ногу, поясницу, пах.
- быстрая утомляемость.
Диагностирование заболевания
Первоначальная диагностика заключается в гинекологическом осмотре. Проводится пальпация органов малого таза на предмет уплотнения. Появление болезненности во время осмотра может свидетельствовать о больших размерах кисты. Далее девочка должна пройти УЗИ, которое поможет обнаружить новообразование, его форму, характер и размер.
При выявлении кисты назначается наблюдение и лечение, которое бывает двух видов в зависимости от тяжести болезни: медикаментозное и хирургическое.
Профилактика
К сожалению, каких-либо профилактических мер предотвращения появления кисты яичника у девочек не существует.
Родителям следует тщательно наблюдать за регулярностью менструального цикла, обеспечить ребенку спокойное психоэмоциональное состояние, снизить физические нагрузки и посещать гинеколога каждые полгода.
Маме нужно поговорить с дочкой про половую жизнь, рассказать, что боль во время секса – тревожный симптом. Также необходимо постараться ограничить ребенка от вредных привычек, походов в солярий. Соблюдение данных мер предосторожности уменьшит риск возникновения кисты яичника у детей.
Источник:
Киста яичника у подростка – причины, симптомы, лечение
Функциональная киста яичника – доброкачественное опухолевидное образование, которое возникает из-за скопления жидкости. Если жидкость накапливается в фолликуле, то формируется фолликулярная киста, если в желтом теле – киста желтого тела.
Причины кисты у девочек подростков
Основная причина образования кисты в подростковом возрасте не выявлена. Однако доказана связь между возникновением заболевания и рядом предрасполагающих факторов.
Это:
- инфекционные болезни;
- общее переохлаждение;
- стрессовые состояния;
- курение.
Перечисленные факторы вызывают гормональную стимуляцию яичников.
- Невозможность выхода яйцеклетки из-за неразорвавшегося своевременно фолликула приводит к образованию фолликулярной кисты.
- Нарушения в работе кровеносной и лимфатической систем задерживают выход жидкости из желтого тела. Она накапливается и формируется киста.
Симптомы кисты яичника у подростков
Киста яичника у девочки подростка может быть неосложненной и осложненной. Первый вариант часто протекает без симптомов, и киста может случайно обнаружиться при проведении УЗИ или гинекологическом обследовании.
Если осложнений нет, то общее состояние ребенка без изменений, удовлетворительное, анализ крови в норме, температура тела не повышается. Редко могут быть задержки менструаций или незначительные кровянистые выделения в периоды между ними.
Кратко о том, что такое киста яичника
Признаки осложненного течения
Встречаются два типа осложнений фолликулярной кисты: разрыв и перекрут. Их провоцируют:
- травмы в области яичников;
- резкие движения;
- поднятие тяжестей;
- половой акт;
- интенсивные занятия спортом.
Симптомы разрыва и перекрута кисты представлены в таблице.
| Разрыв фолликулярной кисты | Разрыв кисты желтого тела | Перекрут кисты |
|
|
|
В случае возникновения перечисленных симптомов показана срочная госпитализация.
Как лечить кисту яичника у подростков
Часто доброкачественные образования фолликула и желтого тела проходят самостоятельно. Лечение кисты яичника у подростков, протекающей бессимптомно и имеющей небольшие размеры (до 4 см) основано на наблюдении в течение 3 месяцев.
Медикаментозное лечение
В осложненных случаях лечение направлено на устранение воспалительного процесса и боли. В остром периоде назначают:
- постельный режим;
- лед на область яичников;
- противовоспалительные средства (НПВП: ацеклофенак, ибупрофен, мелоксикам и другие);
- внутривенные инъекции натрия хлорида или глюкозы;
- биогенные стимуляторы (витамины, экстракт алоэ, внутримышечно).
- Возможно назначение антибактериальных препаратов.
Оперативное лечение
В следующих случаях проводят оперативное лечение:
- При скоплении крови в брюшной полости при разрыве кисты;
- При перекруте кисты;
- При отсутствии уменьшения или наличии роста кисты после трех месяцев лекарственной терапии.
Оперативное вмешательство выполняют путем лапароскопии или лапаротомии. При первом варианте операцию делают через проколы стенки живота, при втором – разрезая брюшную стенку для прямого доступа к органу.
Часто при разрывах производят резекцию яичника (удаление его части). В тяжелых случаях (при перекруте с некрозом или злокачественном течении) яичник удаляют полностью (овариэктомия).
Как проводят лапароскопию кисты яичника
Чем грозит отсутствие лечения кисты яичника у подростков
Отсутствие своевременного лечения кисты яичников приводит к негативным последствиям:
- рост опухоли вызывает смещение и сдавление мочевого пузыря, мочеточников, кишечника;
- в брюшной полости может развиться спаечный процесс;
- киста может имплантироваться в брюшину;
- возможно нагноение стенки или содержимого опухоли в случае присоединения вторичной инфекции;
- развивается некроз (омертвление, разложение) опухоли;
- переход опухоли в злокачественную форму.
В результате все это может привести к удалению яичника и/или бесплодию.
Памятка для родителей
Родители должны контролировать своевременное и регулярное посещение ребенком врача.
- Необходимо обеспечить подростку положительную психоэмоциональную атмосферу, устранить ситуации, провоцирующие стрессы.
- При наличии каких-либо инфекционных заболеваний – заняться их лечением.
- Если девочка курит, следует убедить ее отказаться от этой привычки.
Для предотвращения повторного образования кисты или ее роста в период лечения, ребенок должен придерживаться некоторых правил:
- не поднимать тяжести;
- избегать долгого пребывания на солнце или в солярии;
- избегать резких движений;
- снизить интенсивность физической нагрузки.
Соблюдение мер профилактики и бережное отношение к своему здоровью обеспечит успешное зачатие и счастливое материнство в будущем.
Опыт лечения кисты яичника – рассказ пациентки
Источник:
