Персистенция фолликула

- —
- Статьи—
- Справочники—
- Словарь терминов—
Персистенция фолликула – это наличие лидирующего фолликула в яичнике на протяжении всего менструального цикла.
Все результаты Агглютинация в спермограмме Азооспермия Азооспермия необструктивная Акне Акросом Амниоцентез Антагонист ГнРГ Антиспермальные антитела Антральные фолликулы Аспирация под контролем трансвагинального УЗИ Базальная температура тела Биопсия Биохимическая беременность Бластоциста Вазэктомия Врожденный Вспомогательные репродуктивные технологии Гиперплазия эндометрия Гипертиреоз Гипофиз Гирсутизм Гистероскопия Гонадотропины Гормон пролактин у женщин Железистый полип Зона пеллюцида Индукция суперовуляции Инсеминация Кариотипирование Клиническая беременность Кломифен цитрат Кольпоскопия Криоконсервация Культивирование эмбриона Культуральная среда Лапароскопия Лютеинизирующий гормон Матка Маточные трубы Микpохиpуpгическая аспиpация спеpматозоидов Микроманипуляция Мужской фактор бесплодия Неинвазивный пренатальный тест Обработка спермы Овариальный резерв Овуляция Оплодотворение Перенос гамет в фаллопиеву трубу Перенос зигот в фаллопиеву трубу Перенос эмбрионов Персистенция фолликула Полип Преимплантационная генетическая диагностика Прогестерон Пронуклеус Пункция яичников Редукция многоплодной беременности Семявыносящие протоки Синдром гиперстимуляции яичников Синехии крайней плоти Сперма Сперматогенез Сперматозоиды Спермограмма Суррогатная мать Т4 свободный Ультразвуковое исследование Фаллопиевы трубы Фертильность Фолликул Фолликулометрия Фолликулостимулирующий гормон (ФСГ) Цервикальная слизь Цервикальный канал Чрескожная аспирация сперматозоидов придатка яичка Шейка матки Экстракорпоральное оплодотворение (ЭКО) Экстракция сперматозоидов яичка (ТЕСЕ) Эмболизация Эмбриология Эмбрион Эндометриоз Эстрадиол Эстрогены Яичники Яйцеклетка
Здоровье от А до Я Клиники по лечению бесплодия Словарь заболеваний Словарь лекарств Словарь терминов Справочник ЖК Справочник интернет-ресурсов
Считается, что персистенция фолликула возникает в результате нарушения продукции в аденогипофизе лютеинизирующего гормона, который является основным индуктором овуляции.
Она возможна в случае ановуляторных изменений в организме женщины на фоне первичного гормонального дисбаланса.
При этом запускается порочный круг, связанный с нарушением синтеза прогестерона и других гормонов лютеиновой фазы цикла.
Нарушение менструального цикла при данном состоянии обычно представлено опсоменореей (увеличение продолжительности менструального цикла более чем до 35 дней) или гиперменореей (обильные менструации).
Персистенция фолликула обычно проявляется задержкой менструации. При этом проведение домашнего теста на беременность дает отрицательный результат. В период предполагаемой менструации могут возникать ноющие и тянущие боли внизу живота.
Диагностика
Диагноз персистенция фолликула ставится на основании опроса пациентки, а также данных биохимии крови и УЗИ.
Блок опроса включает в себя жалобы и анамнез заболевания:
- отсутствие менструации в течение длительного периода времени;
- тянущие боли в пояснице и внизу живота, появившиеся за пару дней до предполагаемой менструации;
- отрицательный тест на беременность.
Блок лабораторных и инструментальных исследований включает:
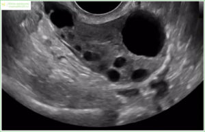
- УЗИ: наличие одного или нескольких доминантных фолликулов в яичнике, диаметр которых составляет 17-20 мм, а также отсутствие желтого тела яичника и жидкости в ретроутеральном пространстве;
- анализ крови на гормоны: высокие титры ФСГ и эстрадиола в период, соответствующий лютеиновой фазе цикла, в сочетании с низкими концентрациями ЛГ и прогестерона;
- анализ крови на гормоны щитовидной железы (Т3 и Т4);
- общий анализ крови и мочи.
Лечение
Поскольку персистенция фолликула вызвана первичным гормональным дисбалансом, то производится искусственная медикаментозная стимуляция овуляции и лютеиновой фазы овариального цикла.
Основные группы медикаментов, применяемые в данном случае, – аналоги прогестерона и антагонисты эстрогена:
- Дюфастон – химическим путём получаемый аналог прогестерона. Принимают с 11 по 25 день цикла по 10 мг на протяжении 6 циклов.
- Норколуд – препарат группы гестагенов. Применяется в суточной дозировке 0,01-0,015 г/сут с 5 дня цикла на протяжении 5-7 месяцев.
- Норэтистерон – лекарственное средство гестагенового ряда, применяется по 0,01-0,015 г/сут 5-7 месяцев.
Также назначают противоэстрогенные препараты селективного действия:
- Серофен. С 1 по 5 день цикла принимается однократно, в вечернее время, в дозировке 0,05 г/сут. Если же в прогнозируемый период менструация отсутствует, то цикл терапии Серофеном может начинаться в любой день.
- Нолвадекс. По 0,01 г назначается дважды в день с 2 по 6 день цикла.
Также в комплекс лечения могут быть назначены физиопроцедуры: лечебный массаж, лазеротерапия и ультразвуковое воздействие. Однако применение физиолечения является лишь вспомогательным элементом к базисной гормонотерапии данного заболевания.
Для диагностики и лечения нарушений менструального цикла обращайтесь в клинику «АльтраВита». Опытные врачи быстро проведут коррекцию гормонального фона.
При необходимости будет проведено лечение, направленное на восстановление естественной фертильности женщины.

Обратитесь к нашим специалистам, которые правильно поставят диагноз и назначат лечение.
Статьи и полезная информация
Беременность Женское бесплодие Мужское бесплодие ЭКО Эмбриология и генетика
Нас рекомендует SPR.ru
ИМЕЮТСЯ ПРОТИВОПОКАЗАНИЯ. НЕОБХОДИМО ПРОКОНСУЛЬТИРОВАТЬСЯ СО СПЕЦИАЛИСТОМ.
Источник:
Дюфастон как влияет на яичники

Многие врачи назначают своим пациенткам Дюфастон при мультифолликулярных яичниках. Однако на форумах встречается немало вопросов об этом препарате и его влиянии на женский организм. Прежде чем рассмотреть эти вопросы, стоит разобраться, почему появляются множественные фолликулы в яичниках.
Мультифолликулярные яичники, сокращенно МФЯ, — это диагноз, который ставят, если на УЗИ обнаружено более восьми фолликулов. Большое количество фолликулов в яичниках не считается болезнью, особенно если овуляция происходит.
Такое структурное изменение яичников нередко встречается в момент полового созревания, а также характерен для пациенток, на протяжении долгих лет принимавших оральные противозачаточные средства. МФЯ нередко путают с поликистозными яичниками, которые на самом деле требуют лечения.
Различить эти два диагноза позволяет динамическое наблюдение пациентки на УЗИ и результаты анализов на гормоны. Если обнаружены мультифолликулярные яичники и Дюфастон, и Ярина позволяют бороться с этим отклонением в работе органов.
Однако разница между ними заключается в том, что Дюфастон, в отличие от Ярины, не является контрацептивным препаратом.
Кому показан Дюфастон
Лечение МФЯ требуется только в тех случаях, когда у женщины отсутствует овуляция. При мультифолликулярных яичниках наблюдается снижение в крови концентрации лютеинизирующего гормона. Это может быть вызвано многими факторами, в том числе, резким набором или потерей веса.
В большинстве случаев женщины, у которых не происходит овуляция, но дозревает слишком большое количество фолликулов, наблюдают сбои менструального цикла, чаще всего в виде длительного отсутствия месячных. Такие сбои нередко рассматриваются врачами как начальная стадия поликистоза.
При этом требуется назначение лечения, иначе пациентка не сможет забеременеть и будет постоянно страдать от менструальных сбоев.
Если в ходе нескольких УЗИ обследований было выявлено отсутствие овуляции, а анализы показали недостаток гормонов второй фазы, назначается прием искусственного прогестерона.
Ярина и мультифолликулярные яичники — тоже частая тема, которую можно встретить на форумах. Однако стоит помнить, что Ярина входит в число оральных контрацептивов, поэтому во время его использования о беременности можно забыть.
Дюфастон же не мешает зачатию, поэтому показан тем, кто хочет нормализовать гормональный фон, и при этом планирует малыша.
Данный медикамент показан при многих гинекологических и гормональных патологиях. Его применяют при:
- эндометриозе;
- низком уровне прогестерона, который вызывает недостаточность лютеиновой фазы;
- бесплодии, причиной которого стала лютеиновая недостаточность;
- угрозе выкидыша или привычной невынашиваемости беременности, вызванной низким уровнем прогестерона;
- сбоях менструального цикла;
- ярко выраженном предменструальном синдроме;
- дисменорее и вторичной аменорее;
- мультифолликулярных и поликистозных яичниках;
- необходимости проведения заместительной гормональной терапии.
Что представляет собой препарат
Дюфастон относится к синтетическим гестагенным средствам нового поколения. По сути, он является искусственным прогестероновым гормоном, аналогичным тому, который ежемесячно выделяется в женском организме. Для производства этого синтетического гормона используется дидрогестерон, который очень близок по свойствам к природному гормону.
В отличие от других медикаментов, которые изготавливаются на основе мужского тестостерона, он не вызывает гиперандрогении, сопровождающейся повышенным ростом волос по мужскому типу, снижением голоса и другими нежелательными для женщины изменениями.
Кроме того, это средство не вызывает анаболическую, эстрогенную, термогенную и глюкокортикоидную активность.

Препарат позволяет наладить уровень прогестерона в крови, при этом снизив показатели лютеинизирующего гормона. Такая стабилизация гормонального фона, в свою очередь, способствует развитию нормального количества фолликулов.
При его приеме не только регулируется менструальный цикл, но и сохраняется возможность беременности. Некоторым пациенткам его назначают для сохранения плода при угрозе выкидыша.
Исследователи доказали, что препарат не оказывает влияния на плод.
Прогестерон вырабатывается после овуляции яичниками и желтым телом. Если в яичник мультифолликулярный, и в нем нет доминантного фолликула, овуляция не происходит и желтое тело не появляется. Это приводит к недостатку прогестерона в организме.
Нерегулярные месячные и отсутствие овуляции приводят к тому, что количество эстрогенов преобладает в крови. Такие нарушения не только вызывают бесплодие, но и повышают риск развития всевозможных опухолей.
Чаще всего мультифолликулярность заканчивается появлением поликистоза.
Побочные эффекты и достоинства
Производитель препарата заявляет о его минимальных побочных эффектах. В их число входит только избыточная сонливость и головная боль. Некоторые пациентки сталкиваются во время приема с маточными кровотечениями, однако, их легко устранить, повысив дозу.
Изредка данное средство становится причиной появления небольших отеков и аллергических реакций в виде крапивницы и сыпи. Остальные побочные эффекты встречаются в очень редких случаях.
В отличие от многих других искусственных гормональных медикаментов, препарат не оказывает влияния на свертываемость крови и не действует на кишечник или печень.
Учитывая такой короткий список негативного влияния на организм, медикамент имеет множество плюсов. К его достоинствам относятся:
- снижение риска развития опухолей эндометрия, вызванных избытком эстрогенов и недостаточностью лютеиновой фазы;
- отсутствие контрацептивного эффекта;
- регуляция менструального цикла;
- позитивное влияние процесс созревания яйцеклетки;
- возможность зачать и выносить ребенка.
Применение препарата в течение нескольких месяцев позволяет восполнить прогестероновый дефицит, что, в свою очередь, дает возможность добиться овуляции и устранить синдром мультифолликулярных яичников.
Благодаря такому позитивному влиянию, медикамент широко используется для лечения и профилактики многих гинекологических заболеваний и патологий, вызванных недостатком прогестерона.
Однако принимать Дюфастон без серьезных показаний не следует.
Лечение МФЯ Дюфастоном требует осторожности
Принимать Дюфастон для лечения мультифолликулярных яичников и устранения других патологий следует с особой осторожностью. Этот препарат назначается только после полного обследования женщины, включая динамичную фолликулометрию и сдачу анализов на гормоны.
Если врач прописал медикамент без данных результатов, это говорит о его некомпетентности и халатности. Препарат все же является гормональным, а любое беспричинное вмешательство в эндокринную и репродуктивную систему женщины чревато последствиями.
В результате пациентка сталкивается с такими явлениями, как подавленная овуляция, плохое самочувствие и бесплодие.
При лечении МФЯ и угрозе выкидыша лечение Дюфастоном в большинстве европейских стран проводится только после сдачи анализа крови на уровень прогестерона. Опытные врачи относятся к нему с большой осторожностью.
В какие дни принимать дюфастон
В подавляющем большинстве случаев этот искусственный прогестерон назначается для лечения мультифолликулярных процессов, протекающих в яичниках, после овуляции. При такой схеме препарат никак не влияет на созревание и выход яйцеклетки.
В данном случае он лишь помогает поддержать желтое тело и обеспечить его функциональность. Использование Дюфастона при МФЯ назначается в период с 11, 14 или 16 дня по 25 день цикла. Дни приема зависят от того, в какой день должна быть овуляция.
Источник:
Персистенция фолликула: что это такое, возможно ли в левом, правом или обоих яичниках и каково лечение

В организме каждой женщины постепенно происходят различные изменения гормонального характера. Зависят эти трансформации от многих показателей. В большинстве своём данные процессы влияют на обеспечение зачатия и деторождения. Для зачатия же, в свою очередь, необходим процесс овуляции. В период такой фазы начинают созревать фолликулы, в одном из которых в будущем сформируется яйцеклетка.
Что это такое?
Персистенция фолликула имеет место в том случае, когда по прошествии периода созревания разрыва фолликула не происходит, яйцеклетка не выходит наружу, оплодотворение не может произойти.
Существует данная капсула на протяжении 10 дней, далее происходит менструальное кровотечение. В процессе может возникнуть задержка до 1,5 месяца.
Обычно подобные фолликулы рассасываются сами без патологии. Но иногда, при определённых условиях, капсула может перерасти в кисту.
ВАЖНО! Именно по этой причине следует позаботиться о своём здоровье и обратиться к врачу. Задержка может длиться 1-2 месяца.

Нарушения в развитии фолликула возникают на фоне патологий в гормональном строе женщины. Причина этому кроется в недостаточной выработке прогестерона и лютеина. Её предпосылками могут быть:
- ОРВИ серьёзного характера;
- диабет;
- нарушения в работе щитовидной железы;
- новообразования в гипофизе;
- отравление токсинами и химикатами;
- травмы мозга;
- негативное влияние на организм медикаментов.
ВНИМАНИЕ! Персистирующий фолликул становится причиной задержки месячных и дальнейшей невозможности забеременеть. Если на фоне отрицательного теста на беременность менструация всё же не наступает, стоит обратиться к врачу.
Симптомы неразорвавшейся капсулы могут быть следующими:
- небольшая боль, напоминающая приход месячных;
- долгая задержка менструации;
- при наступлении поздних выделений они обильны.
Среди признаков, которые определяются при помощи диагностики, выделяют:
- повышение уровня эстрогена на фоне низкого уровня прогестерона;
- УЗИ может определить увеличенный фолликул;
- жёлтое тело, равно как и жидкость, не присутствуют в яичнике.
Если после наступивших месячных ситуация не меняется в лучшую сторону, стоит побеспокоиться о своём здоровье и обратиться к гинекологу.
Как протекает персистирующий фолликул яичника?
Как известно, яичники работают поочерёдно, но зачастую предпочтение отдаётся правому яичнику. Нередко по причине гормональных изменений и негативных влияний извне может нарушаться процесс развития доминантного фолликула.
Обычно капсула увеличивается в размерах, в процессе её разрыва происходит овуляция, а на её месте образуется жёлтое тело. В случае развития патологии разрыв не происходит, что приводит к дальнейшему увеличению фолликула и превращению его в кисту.
Левого
Как уже было сказано выше, левый зачастую работает реже, нежели правый. Конечно, в левом так же происходит овуляция, но доминантной в этом плане является правая сторона.
Персистирующий фолликул левого яичника живёт 8-9 дней, затем начинается менструация. Обычно левая сторона не имеет тенденцию перерастания в кисту, но её обследование при наличии долгих задержек менструаций без подозрений на зачатие так же важно.
Правого
Так как правая сторона в этом плане является доминирующей, у правого яичника при развитии аномалий больше шансов переродиться в кисту. Именно поэтому более глубокие исследования проводят в правой стороне половых органов женщины.
Определяется данная патология посредством УЗИ. Может потребоваться допплерография для изучения кровотока в сосудах фолликулярных стенок. Если он невелик, это может указывать на развитие персистенции.
Определение доминантного
В случае обнаружения персистирующих фолликулов планирование беременности происходит под надзором врача. Для этого гинекологу нужно выявить доминантный фолликул и изучать его деятельность перед планируемым зачатием.
УЗИ обычно проводится на 8 день менструального цикла. По истечении 4 дней начинается благоприятное время для зачатия. В этот день желательно пройти ещё одно обследование, чтобы подтвердить наличие капсулы. Дополнительно проводится тест на овуляцию.
Спустя ещё 6 дней проводится повторное УЗИ для подтверждения оплодотворения. Ещё через 10 дней можно провести тест на беременность.
ИНФОРМАЦИЯ! Иногда случается и так, что при остальных благоприятных условиях, наличии доминантного фолликула и периодичной овуляции беременность не может наступить. Такое может происходить из-за неподготовленности оболочки матки к прикреплению и развитию будущего плода.
Как правило, поочерёдно развивается только 1 фолликул. Но может произойти и так, что оба яичника продуцируют по яйцеклетке одновременно. Это приводит к высвобождению 2 яйцеклеток и к возможности многоплодной беременности. Если оба фолликула доминантны, происходит зачатие двойни.
Диагностика и постановка диагноза
Для постановки диагноза персистенции потребуется доскональное обследование.
СПРАВКА! Обследование должно быть разнонаправленным, так как при опухоли яичников так же может проявиться задержка месячных и остальные сопутствующие персистенции симптомы.

Всесторонняя диагностика включает в себя различные процедуры, среди них:
- Многочисленные анализы крови, в том числе общий и на установление уровней прогестерона, пролактина, тестостерона, эстрогена и ХГЧ;
- Если есть подозрение на появление злокачественного образования, назначается анализ на онкомаркеры. Проводится он утром натощак, кровь забирается из вены. В течение нескольких дней до прохождения исследования желательно отказаться от курения и алкоголя, убрать из рациона йодосодержащие и гормональные средства;
- Ультразвуковое исследование является обязательным анализом, в ходе которого устанавливается состояние яичника, его размеры, определяется, увеличен ли он. Выявляется наличие персистентной капсулы. Данный вид обследования проводится несколько раз, на 8, 12 и 18 дни женского цикла. В течение этих процедур выясняется, развился ли фолликул, на второй ступени результат ещё раз подтверждается, а на третьем этапе проверяется, произошла ли овуляция и последующее оплодотворение, если планируется беременность;
- Собирается полный анамнез женщины для выявления сопутствующих патологий и особенностей организма;
- Пациентка осматривается врачом, с ней проводится беседа, жалобы фиксируются и изучаются.
Методы лечения
После подтверждения, что капсула созрела, но не разорвалась, необходимо обратиться к лечению. Проводиться оно должно под контролем врача. Первоначально упор делается на медикаментозную терапию.
В этот период врачом могут назначаться препараты, содержащие прогестерон – «Прегнил», «Норколут». Препарат применяется в виде инъекций, продолжительность приёма составляет неделю, срок начала – 1,5 недели до начала месячных.
Для более лёгкого воздействия могут применяться препараты в таблетках — «Дюфастон», «Норэтистерон». Каждое подобное лекарство имеет ряд побочных действий и последствий, поэтому назначать их вправе только врач и только после обширного обследования пациента.
Другие препараты назначаются для подавления синтезирования эстрогена — «Серофен», «Кломид», «Тамоксифен». Они так же имеют ряд побочных воздействий, к примеру, возникновение судорог, повышение веса.
Хорошо помогают и физиотерапевтические процедуры. Среди них выделяют лазерное воздействие, гинекологический массаж, стимуляцию электрическим током.
ВАЖНО! Не стоит надеяться только лишь на физиопроцедуры, как на основной метод лечения. В качестве самостоятельной терапии данные способы не применяются, только лишь как дополнение к медикаментам.
Возможно оперативное вмешательство, но применяется оно в редких случаях.
Осложнения заболевания
Как бы безобиден он не был на первый взгляд, имеет ряд неприятных и серьёзных последствий при отказе от его терапии. Прежде всего, это перерождение в кисту, которая при увеличении может разорваться, а это приведёт к опасности заражения всего организма и к незамедлительному хирургическому вмешательству.
Так же недосмотр подобного недуга и его некорректное лечение приводит к бесплодию. Своевременное лечение помогает предотвратить негативные последствия и сгладить прогнозы.
Не стоит халатно относиться к задержке месячных и появлению сопутствующих ей симптомов. Персистенция фолликула – серьёзное заболевание, требующее безотлагательного обращения к гинекологу.
Источник:
Дюфастон и беременность. История пациентки

Моя история началась в 14 лет. У меня начались месячные, и как у многих девочек, поначалу они были нестабильные.
Через 2 года ситуация не изменилась — они приходили то 2 раза в месяц, то могли не приходить 3 месяца подряд.
Тогда мама повела меня к гинекологу, мне сказали, что у меня поликистоз яичников и направили в центр изучения мозга. К моей голове прилепили кучу датчиков и стали измерять активность головного мозга на компьютере.
Через час мне был поставлен диагноз — неверная работа гипофиза, который как раз и отвечал за менструальный цикл.
Мне сказали, что мне будет очень сложно забеременеть, и прописали очень много таблеток, их надо было пить строго по часам, соблюдая очередность, курс на 3 месяца.
Спустя 3 недели у меня проявились странные побочные явления, о которых нас не предупредили и которых быть не должно было — я стала плакать по любому поводу, устраивать истерики на пустом месте.

Мама выбросила таблетки, больше в центр изучения мозга мы не ходили…
Потом для нормализации менструального цикла мне прописывали Ременс и другие таблетки, но никакие из них не давали нужного эффекта. А в 19 лет я начала пить оральные контрацептивы и пила их 8 лет, месячные приходили ровно по часам.
В 27 лет я вышла замуж, и мы поняли, что хотим ребенка.
мы решили пройти полную диспансеризацию. на приеме у гинеколога я, как всегда, рассказала свою историю, принесла все бумажки… меня посмотрели на кресле, сделали узи. и я услышала все ту же фразу: «вы знаете, у вас, скорее всего, поликистоз. вам надо будет очень постараться, чтобы забеременнеть!» больше к этому гинекологу я не ходила.
я нашла хорошего врача, который наблюдал беременность от и до у трех моих подруг. все трое — мамы хорошеньких детишек. и я почувствовала, что наконец я могу довериться врачу, и мне помогут.
на первичном приеме врач выслушала мою историю, посмотрела меня на кресле и на узи. и я не услышала той страшной фразы, которой меня все пугали.
врач отменила ок и прописала дюфастон — с 16 по 25 день цикла.
дюфастон должен был помочь мне забеременеть. и мы договорились, что я приду в определенные дни цикла, и она будет смотреть меня на узи на предмет формирования доминантных фолликулов и овуляции. так мы и сделали.
первое исследование состояло из 3-х узи в разные дни цикла, но овуляции у меня не было. как не было и доминантных фолликулов.
тщательно изучив снимки узи и посовещавшись с коллегой, врач поставила мне диагноз — мультифолликулярные яичники.
мне объяснили, что это более легкая версия поликистоза, и что не все так страшно. и, вероятно, этот цикл у меня попросту может быть ановуляторным, то есть без овуляции. это в пределах нормы у женщин 1-2 цикла в год
«Продолжайте пить Дюфастон с 16 по 25 день, и приходите в следующий цикл, мы повторим исследование.»
Ну а мужу посоветовали сдать спермограмму.
Я накупила целый пакет тест-полосок на овуляцию и на беременность. Делала тесты на овуляцию чуть ли не каждый день, но всегда видела одну полоску. Результаты спермограммы пришли хорошие. Мы повторили серию УЗИ. И опять овуляции не было.
На последнем УЗИ у меня обнаружили маленький полип, который был расположен в матке так, что гипотетически мог мешать прохождению спермотозоидов и оплодотворению яйцеклетки.
Врач направила меня к своей знакомой в больницу на операцию. Операция прошла успешно, мне прижгли полип, и через неделю на повторном УЗИ подтвердили, что все зажило отлично.
Три месяца нельзя вести половую жизнь, продолжать пить Дюфастон.
Я как раз собиралась в отпуск, и после отпуска пришла еще раз к своему врачу. На УЗИ я разрыдалась, ведь овуляции мы так и не нашли. Получается, что я вообще не способна иметь детей. В каком-то тумане я выслушала врача — про ее планы делать мне внутривенные инъекции по стимуляции овуляции, про болезненные проверки проходимости труб, про какую-то операцию…
Я вышла из кабинета и села в машину. у меня было такое отчаяние, что я долго не могла успокоиться. взяла себя в руки и поехала домой. они все были правы, я не смогу иметь детей. при каждой задержке месячных я делала тесты на беременность, но вторая полоска так и не появлялась
На автомате я продолжала принимать Дюфастон, пока в феврале 2017 года не бросила его пить. Я начала принимать фолиевую кислоту, так рекомендовалось пить всем планирующим беременность. Мы решили, что мы пока больше не пойдем к врачам, и оставим тему детей.
Естественно, что через какое-то время я стала забывать пить фолиевую кислоту каждый день, пила, когда вспомню. Несколько раз мне в прямом смысле «срывало башню» после встреч с нашими друзьями с детьми. Я не могла смотреть на них без слез на глазах. Но и это прошло.
В августе мы уехали на три месяца на море, пили вино, покуривали сигары, купались.
Пару раз муж поднимал тему детей, говорил, что если не получится в ближайшее время, то по приезду домой нам надо бы проверить мои трубы. В тот момент, я помню, я чуть не упала в обморок от одной мысли о том, что мне опять надо бегать по врачам, делать операции, что я опять сяду в это страшное кресло.

За 3 недели до выезда домой я почувствовала себя плохо — меня начало укачивать в машине, чего никогда не было, я ела через силу, и меня периодически мутило, болела грудь и низ живота. «Месячные… Как раз вовремя!» — подумали мы.
Но месячные не пришли ни через день, ни через неделю. Когда я чуть не упала без сознания в магазине, муж заставил меня купить тест на беременность.
Конечно, я отнекивалась, говорила, что это бессмысленно, и я лишь снова буду плакать, видя эту одну полоску.
Следующим утром я сделала тест. И первый раз в жизни я увидела две жирных полоски. Я вихрем выбежала из ванной и разревелась, как маленький ребенок.
Муж прыгнул на кровать и стал читать инструкцию, все ли я сделала правильно. На следующее утро я опять сделала тест, и опять две жирных полоски…
По приезду в Москву мы сразу записались к одному известному гинекологу, о котором писали проверенные источники доказательной медицины. Меня посмотрели на УЗИ, и не увидели никакого поликистоза. Беременность подтвердили.
Я снова рассказала всю свою историю с самого начала, и нашему удивлению не было предела, когда нам объяснили чуть ли не на графике моего менструального цикла, почему мы не могли забеременеть все это время на Дюфастоне.
Дело в том, что стандартный менструальный цикл у женщины длится 28 дней, и овуляция наступает на 14-15 день. Дюфастон как раз и пьют с 16 по 25 день, после наступления овуляции.
Но у меня цикл не 28 дней, он у меня нестабильный и колеблется от 25 до 75 дней, что не является нормой.
Соответственно, и овуляция у меня не наступает на 15 день, а наступает позже, как раз в те дни, когда я пила Дюфастон.
Дюфастон же все это время подавлял мою овуляцию, поэтому у меня все время были ановуляторные циклы, и я просто не могла физически забеременеть…
Мы были в шоке от услышанного. Мы были в ужасе от некомпетентности врача, который мне неправильно прописал препарат, хотя знал о моем нестабильном цикле.
Сейчас, когда весь этот кошмар позади, я на 8-м месяце беременности, мы наконец-то нашли замечательного врача, который нам очень нравится. Я надеюсь, что все женщины, которым неправильно выписывали Дюфастон или другие препараты, не слишком сильно пострадали от этого и в конце концов у них все получилось, и они стали счастливыми мамами.
Удачи вам, и остерегайтесь некомпетентных врачей!
Источник:
Мультифолликулярные яичники и дюфастон, особенности назначения гормонального препарата и его влияние на организм
Многие врачи назначают своим пациенткам Дюфастон при мультифолликулярных яичниках. Однако на форумах встречается немало вопросов об этом препарате и его влиянии на женский организм. Прежде чем рассмотреть эти вопросы, стоит разобраться, почему появляются множественные фолликулы в яичниках.
Мультифолликулярные яичники, сокращенно МФЯ, —, это диагноз, который ставят, если на УЗИ обнаружено более восьми фолликулов. Большое количество фолликулов в яичниках не считается болезнью, особенно если овуляция происходит.
Такое структурное изменение яичников нередко встречается в момент полового созревания, а также характерен для пациенток, на протяжении долгих лет принимавших оральные противозачаточные средства. МФЯ нередко путают с поликистозными яичниками, которые на самом деле требуют лечения.
Различить эти два диагноза позволяет динамическое наблюдение пациентки на УЗИ и результаты анализов на гормоны. Если обнаружены мультифолликулярные яичники и Дюфастон, и Ярина позволяют бороться с этим отклонением в работе органов.
Однако разница между ними заключается в том, что Дюфастон, в отличие от Ярины, не является контрацептивным препаратом.
Дюфастон при СПКЯ
Еще одним часто используемым препаратом, при помощи которого проводят терапию гинекологической патологии, является дюфастон, СПКЯ не является исключением. Этот препарат широко используется как в гинекологической практике, так и в акушерской.
Дюфастон – это препарат синтетического происхождения, действующим веществом которого является дидрогестерон. Он не является прогестероном, однако, очень близок по структуре и свойствам к нему.
Выпускается в таблетированной форме, а его дозировка составляет 10 миллиграмм в одной таблетке.
Именно он показан к назначению при синдроме поликистозных яичников, так как он не обладает адрогенным действием.

Препарат быстро всасывается из желудочно-кишечного тракта.
Показания к назначению прогестерона:
- Эндометриоз;
- Бесплодие, вызванное недостаточностью лютеиновой фазы. Которая подтверждена лабораторно;
- Нарушения овариально-менструального цикла, которые сопровождаются дефицитом прогестерона, могут использоваться в сочетании с препаратами эстрогенов.
- Гиперплазия эндометрия;
- эпизод
Как уже указывалось, дюфастон относится к группе гормональных препаратов, поэтому ни в коем случае нельзя его назначать без консультации грамотного специалиста. Так как вы можете не только не получить желаемого положительного эффекта от его приема, но и, наоборот, усугубить существующую ситуацию.
Как пить дюфастон при СПКЯ?
При синдроме поликистозных яичников в силу избытка фракций мужских половых гормонов происходит сбой всего овариально-менструального цикла, происходит нарушение процесса овуляции в каждом цикле и фолликулы, которые не овулировали, подвергаются частичной атрезии, оставляя после себя в каждом месяце кистозные полости.
Эти образования и формируют характерную анатомическую структуру яичника, которую привыкли видеть врачи ультразвуковой диагностики на мониторах своих аппаратов.
Поэтому лечение дюфастоном СПКЯ проводится как в виде монотерапии для коррекции менструального цикла в случае с доказанной недостаточностью прогестерона, так и в комбинации с эстрогенным компонентом в первой фазе.
Схемы применения данного лекарственного препарата могут меняться, в зависимости от клинической ситуации и взгляда врача на эту проблему. Обычно назначается лечение СПКЯ дюфастоном с 14-16 дня менструального цикла до 25-26 дня. Затем после отмены препарата наступает менструальное кровотечение, которое и является первым днем нового менструального цикла.
в нем все происходит по заранее оговоренной схеме, которая применялась в предыдущем месяце.
Беременность на дюфастоне при СПКЯ
СПКЯ и дюфастон – это неразделимые понятия тогда, когда речь идет о терапии бесплодия и доказанной недостаточности фазы желтого тела. Без достаточного количества прогестерона в слизистом слое матки – эндометрие.
Не произойдут достаточные секреторные преобразования, которые так необходимы для нормальной имплантации оплодотворенной яйцеклетки, а если же все-таки имплантация и произойдет, то пониженный уровень данного гормона может спровоцировать угрозу прерывания беременности, а в некоторых случаях и самопроизвольный аборт.
Беременность при СПКЯ на дюфастоне ведется до тех пор, пока плацента внутриутробно развивающегося ребенка не станет в достаточных объемах вырабатывать прогестерон. Если женщина получила желанную беременность, принимая дюфастон, то ни в коем случае не стоит бросать его прием после ее наступления в момент, когда «заполосится» тест на беременность.
Только после тщательного обследования и консультации вашего акушера-гинеколога можно начинать постепенное снижение дозы препарата. Срок таких действий так же назначается лечащим врачом.
Как принимать дюфастон при СПКЯ и планировании беременности?
Стандартной подготовкой эндометрия при синдроме поликистозных яичников дюфастоном является его назначение на протяжении трех-шести циклов по схеме: начало приема назначается на 11 день цикла, а конец — на 25 день. Этот способ приема предназначен для женщин, которые имеют цикл длительностью 28 календарных дней.
Стандартной дозой считается назначение 20 миллиграмм в сутки как до беременности, так и после ее наступления. Отмена, как уже говорилось, осуществляется только лечащим врачом при наличии показаний на это. Однако, хочется уточнить еще раз, это стандарты, которые могут меняться в зависимости от клинической ситуации.
В некоторых случаях, женщина, не получающая гормональной терапии ни до, ни после наступления беременности, остро нуждается в назначении прогестероновых препаратов. Это происходит при возникновении угрозы прерывания беременности и низких показателях прогестерона.
Важно учитывать тот факт, что целесообразность назначения анализа на определение уровня прогестерона в крови имеется только в сроках с 16 по 22 неделю. В другие сроки, по последним данным, по результатам анализа на прогестерон не стоит ориентироваться с целью назначения поддерживающей терапии гестагенными препаратами.
Иногда в качестве прогестеронового компонента назначают утрожестан – микронизированный прогестерон, в зависимости от акушерско-гинекологическойситуации.
Каждый случай, каждая женщина с заболеванием акушерско-гинекологического профиля нуждается в индивидуальном подходе к назначению комплекса клинико-лабораторных, функциональных исследований, схем лекарственной терапии, а так же продолжительности приема того или иного препарата.
Что касается Дюфастона, то средство имеет выраженное прогестагенное действие, которое применимо при всех случаях подтвержденной недостаточности лютеиновой фазы, нормализует овариально-менструальный цикл, готовит эндометрий к беременности для успешной имплантации.
Препарат достаточно серьезный, поэтому назначает дюфастон при СПКЯ, как пить его и в каком режиме решает только компетентный в этой сфере акушер-гинеколог.
Источник:
