Кокковая флора в мазке у женщин: причины, симптомы и лечение

16.01.2018
23.1 тыс.
15.5 тыс.
6 мин.
Время чтения: 6 мин.
Микрофлора влагалища здоровой женщины представлена различными видами бактерий: полезными и условно-патогенными. В норме они находятся в определенном соотношении.
Если по какой-либо причине этот баланс нарушается, риск развития мочеполовых инфекций у женщины возрастает. Обильная кокковая флора часто наблюдается в результатах гинекологического мазка именно при таком дисбалансе.
Золотым стандартом диагностики в гинекологии является исследование мазка, взятого из заднего свода влагалища и цервикального канала. В норме могут быть обнаружены:
- 1Ацидофильные палочки Додерляйна (лактобактерии). В норме их количество должно составлять не менее 85-95% от всей флоры или 106-108 копий в образце.
- 2Бифидобактерии (около 10%).
- 3Пептострептококки, эубактерии, превотеллы, бактероиды, фузобактерии и другие анаэробные бактерии (5%).
- 4Другие кокки и грибы (в малом количестве).
- 5Эпителий (немного, его количество зависит от фазы менструального цикла).
- 6Лейкоциты (до 10 клеток).
Такое соотношение микроорганизмов способно длительно поддерживать слабокислую среду, позволяет бороться с патогенными бактериями, обеспечивает естественное увлажнение и местный иммунитет. Состояние микрофлоры влагалища оценивается с помощью лабораторных методов и имеет свою условную классификацию.
2. Степени чистоты влагалища
Понятие о степенях чистоты было введено для того, чтобы своевременно выявить женщин из группы риска по воспалительным заболеваниям половых органов (вагинит, цервицит, эндометрит и так далее). Об этом подробнее можно прочитать в другой нашей статье (перейдите по внутренней ссылке). Их выделяют на основании результатов простого мазка на флору и GN:
- 1Первая степень (второе название — нормоценоз): кислая среда. Нормальное количество лактобактерий, немного клеток эпителия, кокки отсутствуют. Встречается редко, как правило, наблюдается сразу после лечения, применения антибиотиков.
- 2Вторая степень: кислая среда. Число лактобактерий несколько снижено, появляются лейкоциты (до 10) и мелкие диплококки. Количество кокков незначительное (один или два плюса).
- 3Третья степень: среда становится слабокислой или щелочной. Количество палочек Додерляйна значительно ниже нормы, много эпителия, лейкоциты 10-30, кокковая или бациллярная флора преобладает, может обнаруживаться мицелий грибков. Это состояние и называют дисбиозом (дисбактериозом). Таким женщинам необходимо наблюдаться и вовремя получать лечение.
- 4Четвёртая степень: щелочная среда. Лактобациллы могут вовсе отсутствовать, большое количество клеток эпителия, лейкоцитов (выше нормы), много кокков или других патогенных бактерий. Эта степень соответствует вагиниту, следовательно, лечение женщины обязательно.
По мере сдвига pH в щелочную сторону меняется качество и количество флоры. Постепенно уменьшается уровень ацидофильных палочек, размножаются кокки, затем присоединяются грибы и другие бактерии.
Щелочная среда губительна для палочек Додерляйна, что приводит к развитию дисбактериоза влагалища.
Стоит отметить, что в нормальных мазках могут встречаться следующие микроорганизмы: гемолитический стрептококк, золотистый, эпидермальный и сапрофитный стафилококк, пептококки, микрококки, зелёный стрептококк и другие. Все они в небольшом количестве не представляют угрозы для здоровья и являются условно-патогенными представителями влагалищной флоры.
При 3-4 степени чистоты влагалища чаще всего можно обнаружить следующие виды кокков:
- 1Стрептококки. Как уже говорилось выше, эти микроорганизмы допускаются в небольшом количестве, но усиленное их размножение приводит к возникновению воспалительного процесса — вагиниту.
- 2Энтерококк фекальный. Часто встречается в кишечнике, при попадании в мочеполовые пути способен вызывать цистит или кольпит. Обнаружение его в мазках в большом количестве говорит о нарушении правил интимной гигиены, в том числе и во время секса.
- 3Стафилококк – условно-патогенный микроорганизм, в норме обитающий на коже. При усиленном его размножении способен вызвать серьёзное воспаление с поражением наружных и внутренних половых органов.
- 4Диплококк встречается при дисбиозе влагалища с нарушением нормального состава микрофлоры слизистой.
Существуют и другие кокки, они обычно вызывают неспецифические кольпиты.
Важно! Если в гинекологическом мазке выявлен золотистый стафилококк, то есть вероятность его обнаружения и на слизистых верхних дыхательных путей (ротоглотка, полость носа).
3. Причины появления кокков в гинекологическом мазке
Кокковая флора в мазке у женщин может наблюдаться по нескольким причинам:
- Несоблюдение женщиной правил личной гигиены. Сюда можно отнести неправильный и нерегулярный уход за половыми органами, редкая смена нижнего белья, постоянное использование ежедневных прокладок, применение щелочного мыла.
- Длительное бесконтрольное употребление антибиотиков.
- Частая смена половых партнёров, отказ от барьерных методов контрацепции, неправильное чередование анального, орального и вагинального секса в пределах одного полового акта, несоблюдение правил гигиены секса.
- Злоупотребление спринцеваниями, особенно с антисептиками (вымывание нормальной микрофлоры).
- Начало сексуальной жизни до 15 лет, отсутствие грамотности в плане интимной гигиены.
- Гормональные изменения у женщин в период менопаузы, при беременности, нарушениях менструального цикла.
- Общие соматические заболевания, хронические инфекции, прием глюкокортикоидов, которые ослабляют иммунитет.
- Механическое повреждение слизистой оболочки (нарушение естественной барьерной функции).
4. Какие симптомы могут наблюдаться?
Активное размножение кокковой флоры рано или поздно приведёт к появлению клинических симптомов заболевания. Признаки воспалительного процесса во влагалище неспецифичны, то есть по ним нельзя определить, какие именно кокки размножаются в половых путях.

Изменение состава микрофлоры женщина может заподозрить по следующим симптомам:
Симптомы кольпита достаточно яркие, не заметить их невозможно. Если игнорировать признаки заболевания, то инфекция может привести к следующим осложнениям:
- 1Неспецифический цервицит (воспаление слизистой оболочки шейки матки).
- 2Эндометрит, сальпингоофорит (появляются при снижении местного или общего иммунитета).
- 3Цистит, пиелонефрит часто развиваются на фоне вульвовагинита, имеют хроническое течение с частыми рецидивами. Они связаны с половым актом, при котором происходит занос флоры из половых путей в уретру.
- 4Присоединение патогенной флоры (трихомонады, грибы Кандида, хламидии). Нарушение микрофлоры способствует заражению ИППП при наличии инфицированного полового партнера.
- 5Осложнения нормальной беременности.
5. Мазки во время беременности
В последнее время число воспалительных заболеваний и дисбиоза половых органов у беременных женщин увеличивается.
Это может быть связано с бесконтрольным приемом некоторых антибиотиков, гормонов (контрацепция перед планированием или для лечения бесплодия), неправильным питанием, образом жизни, снижением иммунитета. Появление кокковой флоры в мазках у беременных резко повышает вероятность присоединения патогенной флоры, чему способствуют:
- Изменение гормонального фона.
- Ослабление местного иммунитета на фоне вынашивания ребёнка.
Кроме того, многие препараты не рекомендованы для лечения беременных женщин, поэтому при появлении избыточной коккобациллярной микрофлоры возможности терапии значительно снижаются.
Активное размножение условно-патогенных бактерий влечёт за собой развитие воспаления слизистой влагалища, шейки матки, мочевого пузыря. Опасность их заключается в повышении риска внутриутробной инфекции с задержкой развития плода, невынашивания и других осложнений.
6. Методы диагностики
Выявление кокков во влагалище у женщин возможно с помощью трех лабораторных анализов: простого мазка на флору, теста «Фемофлор» в модификации Фемофлор 8 (10) или Фемофлор 16 (17) и бакпосева.
Чаще всего у женщин используется простой мазок. Забор материала для исследования проводится из 2 или 3 точек: слизистая заднего свода влагалища, шейки матки и иногда уретры.
Перед взятием материала не следует спринцеваться, применять свечи с антисептиками, принимать антибиотики, заниматься сексом, так как результат будет искажён.
Биоматериал наносится на стерильные стёкла и изучается под микроскопом. При необходимости делается посев на питательные среды с определением чувствительности к антибиотикам.
Иногда исследования лишь мазков на флору бывает недостаточно для постановки диагноза, поэтому прибегают к дополнительным обследованиям (Фемофлор, ПЦР в режиме реального времени, УЗИ, PAP-тест, кольпоскопия и др.).
7. Препараты для лечения
Лечение зависит от характера выявленной микрофлоры, симптомов заболевания и общего состояния женщины. При обнаружении большого количества кокков и лейкоцитов в мазке показана местная терапия в виде вагинальных свечей, овулей и капсул:
- 1Гексикон (хлоргексидин в виде свечей).
- 2Флуомизин (деквалиния хлорид).
- 3Тержинан, Полижинакс.
- 4Клиндамицин.
- 5Макмирор (нифурантел).
- 6Нео-Пенотран.
- 7Бетадин (сейчас используется все реже, часто вызывает неприятные ощущения, зуд, жжение).
- 8Местные антисептики в растворах — Мирамистин, Хлоргексидин.
При тяжелом воспалительном процессе назначаются системные антибиотики: цефтриаксон, цефиксим, амоксиклав и др.
Дополнительно могут быть назначены средства для восстановления нормальной вагинальной микрофлоры. Полноценных исследований по их применению не проводилось, однако этот вопрос активно изучается. Пробиотики не показаны при молочнице, так как могут спровоцировать ее рецидив.
Местные пробиотики в виде вагинальных свечей или таблеток:
- 1Вагинорм-С с аскорбиновой кислотой закисляет среду влагалища и нормализует состав микрофлоры, используют по 1 таблетке вагинально перед сном 6 дней.
- 2Ацилакт с живыми ацидофильными бактериями по 1 свече 2 раза за день 7-10 дней.
- 3Лактонорм по 1 вагинальной капсуле 2 раза в день 7 дней.
После лечения повторно берутся мазки для контроля эффективности терапии. При отсутствии эффекта назначаются альтернативные схемы или продлевается основной курс антибиотиков в виде вагинальных форм.

Лечиться можно амбулаторно, в домашних условиях. Из народных средств могут быть рекомендованы сидячие ванночки с ромашкой, календулой, раствором фурацилина.
8. Профилактика
Для предупреждения нарушений баланса микрофлоры половых путей нужно по возможности устранить все провоцирующие факторы:
- Устранить гормональный дисбаланс (ЗГТ при климаксе, оральные контрацептивы по показаниям).
- Соблюдать ежедневную интимную гигиену, а также во время менструации и секса. Отказаться от спринцеваний без назначения врача.
- Использовать презервативы.
- Вести здоровый образ жизни, быть активной, заниматься спортом или лечебной гимнастикой, правильно питаться, избегать частого употребления антибиотиков, беречь свой организм от инфекций.
- Одним из способов профилактики также является регулярное посещение гинеколога и лечение хронических заболеваний не только половой системы, но и других органов.
- 1Vaginal Dysbiosis from an Evolutionary Perspective. Natalia Schlabritz-Loutsevitch, Scott E Gygax,Edward Dick, Jr., William L. Smith, Cathy Snider, Gene Hubbard, and Gary Ventolini. Sci Rep. 2016; 6: 26817.
- 2The laboratory diagnosis of bacterial vaginosis. Deborah Money, MD FRCSC. Can J Infect Dis Med Microbiol. 2005 Mar-Apr; 16(2): 77–79.
- 3Гинекология.
Национальное руководство / Под ред. Кулакова В.И. и др. – М., 2009 год – 1088 с.
- 4Гинекология / под редакцией В.Е.Радзинского, А.М.Фукса. ̶ М.: ГЭОТАР-Медиа, 2014. ̶ 1000 с.
- 5The Changing Landscape of the Vaginal Microbiome / Bernice Huang, Jennifer M. Fettweis, J. Paul Brooks et al. // Clin Lab Med. ̶ 2014 December ; 34(4): 747–761. doi:10.1016/j.cll.2014.08.006.
- 6
Источник:
Ключевые клетки в мазке

Ключевые клетки в мазке – достаточно часто встречающееся среди представительниц слабого пола отклонение от нормы.
Естественно, женщины интересуются вопросом о том, насколько это опасно, и что это вообще значит. Ведь хочется сохранить свое здоровье в хорошем состоянии, сберечь репродуктивную функцию.
Нарушение которой из-за различных проблем встречается в современном мире довольно часто.
Каковы причины ключевой клетки в мазке, хотят знать женщины и девушки, и насколько опасно подобное отклонение в анализе.
Как скорректировать отклонение, защитив себя от осложнений, и есть ил какая-то связь с процессом беременности?
Что такое ключевые клетки
Плоский эпителий в норме является основной составляющей слизистой половых органов. Этот эпителий способствует выработке особого секрета. Помогает поддерживать в области влагалища среду, в которой не могут размножаться болезнетворные бактерии. Способствует поддержанию этой среды также нормальная микрофлора, представленная в основном лактобактериями.
Нормальная среда влагалища имеет слегка закисленную среду. Это нормально. Так как при подобном уровне pH болезнетворные бактерии теряют свою способность к размножению частично или полностью.
А ведь условно-патогенных микроорганизмов, способных наносить вред половым органам, в области влагалища довольно много. Это и гарднереллы, и стафилококки, и уреаплазмы с микоплазмами, и грибок кандида.
Ситуация в корне меняется, как только кислая среда влагалища меняет уровень своей pH по каким-либо причинам. В этом случае патогенные микроорганизмы начинают активно размножаться, нанося серьезный урон в первую очередь эпителиальным клеткам.
Результат предсказуем: патогенные и условно-патогенные микроорганизмы выходят из-под контроля. В итоге появляются ключевые клетки в мазке у женщин. Они представляют собой сшелушенные клетки эпителия, облепленные мелкими патогенными бактериями.

Однако не всегда присутствие подобных клеток в мазке – следствие именно воспалительных изменений вследствие инфекции. Клетки ключевого типа могут оказываться в анализе также при онкологическом перерождении тканей. Или на фоне эрозивных процессов в органах репродуктивной системы.
В связи с этим пациенткам рекомендуется тщательно следить за этим показателем в течение всей жизни.
Причины появления ключевых клеток в мазке
Если в мазке обнаружены ключевые клетки – это первый тревожный сигнал, являющийся свидетельством того, что женщине стоит озаботиться собственным здоровьем. Однако не так-то просто подобрать варианты исправления ситуации, если не знать причины появления отклонений в анализах.
Доктора выделяют следующие причины появления патологических клеток в результатах анализов:
- различные циклические возрастные изменения, происходящие в организме любой женщины (период беременности и лактации, менархе у девочек, начало половой жизни, менопаузальный период и др.)
- бесконтрольный, нерациональный прием антибактериальных средств, не контролируемый доктором
- использование препаратов из группы цитостатиков, антигрибковых средств без контроля со стороны медицинского работника
- заражение патологиями, распространяющимися через сексуальные связи
- игнорирование в течение длительного времени признаков заражения ИППП
- различные врожденные или приобретенные в результате перенесенных травм аномалии в развитии половых органов
- присутствие в полости матки инородного тела (чаще всего речь идет о маточной спирали, создающей условия постоянного асептического воспалительного процесса)
- пренебрежение рекомендациями относительно интимной гигиены, неверное использование ухаживающих за интимной зоной средств
- нерациональное применение препаратов спермицидного ряда и др.
Доктора отмечают, что способствовать негативным реакциям со стороны эпителия также могут бесконтрольные половые связи. Даже в том случае, если пара не пренебрегает презервативами.
Разнообразие причин должно стать весомым поводом для того, чтобы женщина обратилась за медицинской помощью к доктору.
Все же вагиноз – довольно серьезное заболевание, пренебрегать симптомами которого категорически не рекомендуется. Тем более, что оно может привести к развитию опасных осложнений.
Самым серьезным из которых является утрата репродуктивной способности, то есть невозможность выносить и родить ребенка.
Гарднерелла в мазке и вагиноз бактериального типа
Вопрос о том, что такое ключевые клетки, остался позади. Однако многие пациентки склонны забывать, почему эти клетки появляются. В основном в том случае, если в области влагалища развивается такая патология, как бактериальный вагиноз.
Недуг характеризуется воспалительной реакцией, которая вызывается патогенными микроорганизмами или бактериями условно-патогенного типа. В большинстве случаев признаки патологии ассоциированы с гарднереллой. Но выделяются и другие бактерии, способные вызывать аналогичные реакции со стороны слизистой оболочки влагалища.
Естественно, у здоровой женщины, чья микрофлора находится в естественном равновесии, симптомы вагиноза будут отсутствовать. Даже в том случае, если есть незначительное количество ключевых клеток или патогенных микроорганизмов.
Однако стоит равновесию под действием негативных внешних факторов нарушиться, как безобидное состояние превратится в полноценное заболевание. Вагиноз сам по себе не представляет угрозы для женской жизни. Умереть от этого недуга невозможно.
Однако опасные его осложнения, неминуемо развивающиеся в том случае, если болезнь запустить. Например, семейная пара может годами лечиться от бесплодия. А причина будет крыться в когда-то перенесенном или все еще существующем вагинозе.
Клинические жалобы пациентов при гарднерелле в мазке
Часто женщины интересуются вопросом о том, какие симптомы при наличии их будут беспокоить? При наличии гарднереллы или иных патогенных микроорганизмов, сопровождающихся образованием ключевых клеток.

Как отмечают доктора, в течение большого промежутка времени какие-либо проблемы со здоровьем вообще могут отсутствовать. Со временем, по мере прогрессирования заболевания, больная начнет жаловаться на неприятные ощущения в области влагалища.
Среди них:
- чувство зуда, жжения
- жалобы на болезненность во время коитусов, которой ранее никогда не было
- появление специфических выделений с неприятным запахом
- в некоторых случаях возможно появление проблем с мочеиспускательным процессом у представительниц прекрасного пола
Симптомы в первое время довольно неяркие, могут не вызвать у женщины настороженности. Однако если гарднерелла в мазке обнаруживается в большом количестве, это зачастую связано с яркой симптоматикой.
Запах, как отмечают доктора, является одной из самых характерных особенностей патологии.
Представительницы прекрасного пола жалуются на появление рыбного аромата, что является причиной формирования комплексов.
Рыбный запах из влагалища – одна из самых частых причин обращения женщин к гинекологам.
Ключевые клетки в мазке: связь с беременностью
Период беременности – время, когда ключевые клетки в мазке выявляются у значительного числа представительниц прекрасного пола.
Подобное изменение в организме связано. Как отмечают доктора, прежде всего с гормональными перестройками в организме. Это оказывает влияние, в том числе, и на состав микрофлоры влагалища.
Беременность вообще считается процессом, снижающим защитные силы организма. Ведь чтобы выносить и родить здорового малыша, женщина должна не просто пожертвовать огромными ресурсами собственного организма.
Но и подавить собственную иммунную систему, которая неминуемо будет воспринимать ребенка, как инородное тело.
Поэтому снижение иммунитета является вторым фактором, способствующим частому развитию вагинозов у беременных.
Помимо гормональных перестроек. Как и вне беременности, в беременность симптомы заболевания игнорировать категорически запрещено.
В родах вагиноз может стать серьезной проблемой, так как способен приводить к инфекционным осложнениям. Также остро протекающий воспалительный процесс легко может поставить под угрозу беременность, а чем пациентки часто забывают.
Тесты для выявления гарднереллы
Если в мазке обнаружена гарднерелла – это не всегда повод ставить диагноз бактериального вагиноза. Как отмечают доктора, сегодня существует 4 критерия, по которым можно сделать выводы о наличии заболевания.
К ним относят:
- наличие выделений из половых путей, имеющих зачастую сероватый цвет, густую консистенцию, неприятный рыбный запах, что невозможно игнорировать
- определение с помощью специального теста уровня pH во влагалище выше 4,5
- положительные результаты аминотеста, суть которого состоит в смешении биологического материала, полученного от пациентки, с раствором KOH (положительный результат – появление неприятного рыбного запаха)
- обнаружение специфических ключевых клеток в мазке
Важно понимать, что нужно знать, как готовиться к мазку на ключевые клетки.
Ничего сложного в подготовке нет. Как и в случае с забором материала по иным поводам, женщинам рекомендуется не подмываться минимум 12 часов, отказаться от сексуальных контактов, не ходить в туалет 3-4 часа.
Естественно, антибиотики и антисептики также должны быть исключены из обращения минимум на несколько суток. Чтобы результаты обследования были точными.
Ключевые клетки в мазке: к какому врачу идти
Часто больные интересуются вопросом о том, куда обратиться, если появились симптомы бактериального вагиноза. Или обнаружены его признаки в одном или нескольких анализах.
Существует два основных варианта:
Венерология специализируется на работе с недугами, передающимися половым путем.
Гарднереллез и вагиноз, вызываемый другими микроорганизмами, условно можно отнести к этой группе. Следовательно, венеролог сможет оценить симптомы болезни и дать рекомендации по коррекции патологического состояния.
Врачом, специализирующимся на болезнях женских половых органов, является гинеколог.

Доктор занимается не только неинфекционными, но и инфекционными патологиями при необходимости. Он знает, как скорректировать нарушение баланса микрофлоры во влагалище, чтобы вернуть пациентке нормальное здоровье. Главное – чтобы женщина не стеснялась обратиться к врачу за помощью.
Часто на приеме у доктора звучит вопрос о том, могут ли у мужчин обнаружиться ключевые клетки. Как отмечают врачи, гарднерелла – сугубо женский обитатель половых путей.
Для мужчины присутствие этого микроорганизма ненормально и связано с рядом патологических реакций. К тому же у мужчины нет эпителия влагалища, который мог бы заселять микроорганизм. Поэтому гарднереллы у него обнаруживаться могут, а вот ключевые клетки уже нет.
Рекомендации по лечению ключевых клеток в мазке
Лечение ключевых клеток в мазке должно базироваться в первую очередь на устранении патогенной микрофлоры, что привела к их появлению. Для этого придется использовать препараты антибактериального ряда.
К сожалению, без антибиотиков в борьбе с гарднереллами или иными бактериями обойтись нельзя. Даже если пациентка по каким-либо причинам не желает их использовать.
Из антибактериальных средств могут использоваться:
- Метронидазол, который пьется в течение недели по полграмма дважды в сутки
- Клиндамицин, который принимают курсом в неделю по 0,3 г тоже дважды в сутки
- Орнидазол, применяемый курсом в 10 дней минимум по полграмма два раза в день
Помимо антибиотиков для коррекции микрофлоры могут назначаться специальные свечи. В их состав которых будут входить лактобактерии.
Суппозитории помогут организму женщины быстрее восстановиться после болезни. Они сгладят неприятные побочные эффекты от приема антибиотиков. Чтобы лечение вагиноза бактериального типа было полноценным, дополнительно рекомендуется прием иммуностимуляторов и препаратов витаминного ряда. Эти средства активизируют иммунную систему, помогут быстрее победить болезнь.
Главное – принимать их в соответствии с назначение доктора.
Анализ после лечения: критерии чистоты влагалища
Чтобы убедиться, что терапия прошла успешно, и заболевание осталось позади, женщине рекомендуется сдать анализ после лечения. Оценивая результаты, доктор ориентируется на критерии чистоты влагалища.
Допускается присутствие следующих показателей:
- небольшое количество плоского эпителия, что выстилает область влагалища (избыток этого эпителия, как и его полное отсутствие – тревожный симптом, свидетельствующий об отклонениях в организме)
- не более 15 лейкоцитов в поле зрения (если их больше, делается вывод о наличии воспалительного процесса)
- палочковая микрофлора, представленная в основном лактобациллами, что и отвечают за поддержание нормальной среды в области влагалища
- допускается присутствие небольшого количества стафилококков
Ключевые клетки в мазке всегда должны полностью отсутствовать. А вот норма присутствия гарднереллы в мазке строго фиксирована.
Наличие этого микроорганизма допускается, если его количество не превышает отметку в 10 в 4 степени копий на пробирку.
Ключевые клетки в мазке: рекомендации по профилактике
Профилактика гарднереллеза важна для любой представительницы прекрасного пола, что заботится о состоянии своего здоровья. Ведь недуг легко способен причинить большое количество неудобств, если его лечению не посветить время. К сожалению, специфической профилактики на сегодня не существует.
Женщинам рекомендуется соблюдать правила безопасного секса, не пренебрегать барьерными средствами контрацепции. Даже если партнер настаивает на обратном.
Также рекомендуется не пренебрегать правилами личной гигиены области половых органов. Нужно внимательно относиться к выбору средств для ухода за областью влагалища.
Естественно, женщинам рекомендуется носить хорошо подобранное белье. Избегать воздействия различных факторов, способных негативно сказаться на их состоянии.

Бактериальный вагиноз – серьезная патология, которая хоть и не несет угрозы жизни, может быть опасна своими осложнениями.
Главное – при первых же признаках отклонений от нормы посетить врача, чтобы получить квалифицированную помощь.
При появлении ключевых клеток в мазке обращайтесь к автору этой статьи – венерологу в Москве с многолетним опытом работы.
Источник:
Ключевые клетки в мазке: почему появляются и как лечить

Ключевые клетки в мазке являются признаками дисбиоза влагалища.
Это значит, что половые пути женщины заселены бактериями, которых должно быть в норме минимальное количество.
Ключевые клетки в мазке: что это?
Во влагалище женщины обитают различные микроорганизмы.
В норме большую часть – свыше 90% — должны составлять лактобактерии.
Они продуцируют молочную кислоту и перекись водорода.
Как результат, другие бактерии погибают.
По этой причине их очень мало во влагалище.
Иногда это соотношение меняется.
Если часть лактобактерий погибает, факторов защиты вырабатывается меньше.
Кислотность влагалища смещается в щелочную сторону.
Среда становится более благоприятной для роста анаэробной и другой микрофлоры.
Увеличивается количество гарднерелл и прочих бактерий.
При этом количество лактобацилл продолжает уменьшаться.
Это явление называют дисбиозом влагалища.
В его развитии выделяют такие этапы:
1. Адгезия.
Микробные клетки прикрепляются к эпителиальным.
Они облепляют их.
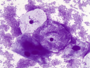
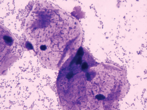
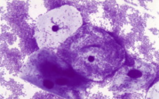
Как результат, в мазке обнаружены ключевые клетки – они крупные, с нечеткими контурами.
Это эпителиоциты с прикрепленными на поверхности бактериями.
2. Размножение.
Прикрепленные к клеткам бактерии начинают делиться.
В результате их количество стремительно увеличивается.
3. Преодоление защитных барьеров.
Бактерии могут проникать внутрь эпителиальных клеток.
Появляются выделения или признаки воспаления влагалища.
Врач может констатировать при проведении микроскопии мазка его воспалительный тип.
Нередко диагностируется бактериальный вагиноз.
Именно на третьей стадии у женщины появляются жалобы и она может обращаться к ними к доктору.
4. Генерализация инфекции.
Происходит редко.
При эффективной работе иммунитета область поражения ограничивается влагалищем.
Изредка инфекция может распространяться на мочевой пузырь, вышележащие отделы репродуктивной системы.
Ключевые клетки в мазке у женщин
Если врач выявляет данный лабораторный признак, он констатирует наличие бактериального вагиноза.
Данное состояние не считается инфекционным или воспалительным процессом.
Для него характерно значительное снижение количества или полное исчезновение лактобацилл в мазке.
Обнаруживаются ключевые клетки, микробные ассоциации.
При этом отсутствует повышенное содержание лейкоцитов, характерное для воспаления.
В основном увеличивается концентрация анаэробов, в том числе гарднерелл.
Другие признаки бактериального вагиноза:
- обильное вагинальное отделяемое;
- запах рыбы при добавлении 10% калия гидроксида;
- pH влагалища больше 4,5.
Ключевые клетки обнаруживаются в мазке, который окрашивали по Граму.
Они также могут быть выявлены в нативном препарате.
Причины появления ключевых клеток
У большинства женщин биоценоз влагалища нормальный.
Он состоит из лактобактерий с небольшим количеством других микробов.
Но у отдельных пациенток биоценоз нарушается.

Это происходит под влиянием определенных причин.
Таковыми могут быть внешние и внутренние факторы, приводящие в первую очередь к снижению популяции лактобацилл.
То, что происходит после этого, является следствием снижения продукции молочной кислоты и других факторов сдерживания роста бактерий.
Их вырабатывает нормальная микрофлора влагалища.
Эндогенные триггерные факторы:
- гормональные всплески;
- рождение ребенка;
- беременность;
- её прерывание (самопроизвольное или медицинское);
- снижение местного иммунитета;
- системные иммунодефициты;
- попадание большого количества бактерий во влагалище из кишечника.
Экзогенные факторы:
- длительный прием антибиотиков;
- использование цитостатиков, глюкокортикоидов;
- облучение;
- применение спермицидов в качестве основного средства контрацепции;
- инородные тела в половых путях (пессарии, тампоны, внутриматочные спирали);
- венерические болезни.
Изменяется не только количество лактобацилл под действием этих факторов.
Страдает также их «качество».
Лактобациллы начинают вырабатывать меньше перекиси водорода.
Поэтому увеличивается количество Gardnerella vaginalis и Bacteroides peptococcus.
Возрастает общая популяция бактерий, которая может достигать 10 в 11 степени на мл.
Результатом роста анаэробов становится гиперпродукция аномальных аминов.
При увеличении рН влагалища они становятся летучими, поэтому дают характерный для бактериального вагиноза запах.
Он усиливается при добавлении 10% калия гидроксида.
Механизм появления ключевых клеток
Если выявляются ключевые клетки и гарднереллы в мазке, это признак баквагиноза.
Откуда берутся эти клетки?
Во влагалище образуются бактериальные полиамины, а также органические кислоты.
Прежде всего это уксусная кислота и сукциновая.
Они оказывают цитотоксическое действие.
В результате происходит отторжение эпителиоцитов.
В наибольшей мере десквамации эпителия способствует гарднерелла.
Эти клетки облеплены бактериями.
Именно их называют ключевыми клетками или влагалищным песком.
Появление таких клеток имеет большое значение в дифференциальной диагностике воспалительных поражений влагалища, половых инфекций и бактериального вагиноза.
Норма гарднереллы в мазке
Раньше гарднерелла считалась единственным или, по крайней мере, основным виновником дисбиоза влагалища.
Понятия бактериальный вагиноз и гарднереллез считались синонимами.
Но сегодня это мнение пересмотрено врачами-гинекологами.
Было установлено, что:
1. У многих женщин выявляются гарднереллы во влагалище.
При этом количество лактобактерий остается нормальным.
Ключевые клетки и другие признаки дисбиоза влагалища не определяются.
2. У женщин с баквагинозом не всегда определяются гарднереллы во влагалище.
Таким образом, не только эта бактерия, но и многие другие анаэробы играют роль в возникновении данной патологии.
Определять одну только гарднереллу нет смысла.
Для оценки состояния биоценоза необходимо оценивать количество и других бактерий.
Основные показатели нормы:
- гарднереллы в мазке и другие анаэробы не превышают 10% от общего количества бактерий, а в идеале их не больше 1%;
- общее количество бактерий – 10 в 6 – в 8 степени;
- доля лактобактерий не меньше 80%;
- количество микоплазм, кандид, уреаплазм – не больше 10 в 4 степени.
У здоровых женщин нормальная микрофлора составляет 97-98%, а минимальная граница нормы это 90%.
Если доля лактобактерий составляет от 20 до 80%, это умеренный дисбиоз влагалища.
У некоторых женщин они не определяются вообще.
Являются ли ключевые клетки проблемой?
Некоторые женщины страдают от симптомов бактериального вагиноза.

У них присутствуют обильные выделения из влагалища.
Нередко отмечается неприятный запах.
Эта симптоматика может сохраняться годами.
Она снижает качество жизни.
Но часто никаких симптомов нет.
Ключевые клетки и другие признаки баквагиноза выявляются случайно при обследовании у гинеколога.
Некоторые женщины полагают, что тогда лечение им не требуется.
Потому что симптомов нет, воспалительные процессы отсутствуют.
На самом деле это не так.
Присутствие ключевых клеток говорит о повышенном риске:
- замершей беременности;
- хориоамнионита;
- послеродового воспаления матки;
- осложнений после хирургических вмешательств на тазовых органах.
Увеличивается риск заражения венерическими инфекциями и ВИЧ.
Поэтому если в мазке выявлена гарднерелла и ключевые клетки, требуется лечение.
В том числе в случаях, когда нет симптомов.
Ключевые клетки в мазке – лечение
Лечение дисбиоза проводится в 2 этапа.
На первом этапе необходимо уничтожить микрофлору, которая заселила влагалище, вытеснив при этом лактобактерий.
Затем следует второй этап терапии.
Он начинается не раньше, чем через 1-2 недели после первого.
Целью его является заселение влагалища нормальной микрофлорой.
На первом этапе назначают нитроимидазолы.
Используют орнидазол, метронидазол или тинидазол.
Курс лечения длится в среднем 2 недели.
Но он подбирается индивидуально, исходя из:
- состояния биоценоза влагалища;
- количества гарднерелл в мазке;
- наличия симптомов;
- сопутствующей патологии.
Дополнительно могут применяться свечи с антисептиками или антибиотиками.
При необходимости излечиваются сопутствующие ЗППП, кандидоз, уреаплазмоз или другие патологии.
Спустя 1-2 недели после окончания антибиотикотерапии приступают ко второму этапу.
Назначаются пробиотики в виде влагалищных свечей.
Использовать их в период антибактериального лечения или сразу после него нет никакого смысла.
Потому что лактобактерии – такие же микроорганизмы, как и все прочие.
Они тоже чувствительны к антибиотикам и погибают под их воздействием.
Поэтому в период антибактериального лечения пробиотики будут неэффективными.
Нет также смысла заселять влагалище лактобактериями до уничтожения анаэробов.
Потому что они будут подавлять нормальную микрофлору.
В результате лактобактерии не приживутся, и дисбиоз не будет устранен.
Поэтому так важно соблюдать двухэтапную систему лечения.
У большинства женщин она дает хороший результат.
Однако в дальнейшем возможны рецидивы.
Они происходят в случае сохранения тех факторов, что привели к развитию бактериального вагиноза.
Могут ли у мужчин обнаружиться ключевые клетки
Иногда у мужчин тоже выявляются ключевые клетки.
Это происходит при анаэробном поражении репродуктивных органов.
Доказано, что при половом контакте мужчине может передаться транзиторная флора от женщины.
В том числе это могут быть гарднереллы.
Но у большинства половых партнеров они сразу же погибают.
Это происходит в течение нескольких суток.
Лишь у некоторых гарднереллы приживаются и провоцируют воспалительные процессы.
Риск анаэробного баланопостита выше у пациентов, которые:
- перенесли половые инфекции или страдают ими в настоящее время;
- болеют хроническим простатитом;
- часто используют антисептики (например, для профилактики венерических болезней) или спермициды (для контрацепции).
Все эти факторы снижают антибактериальную защиту.
Они делают уретру и головку члена более восприимчивой к поражению гарднереллами и другой анаэробной флорой.
Норма гарднереллы в мазке у мужчин
При исследовании мазка методом ПЦР у многих пациентов мужского пола определяются гарднереллы.

Бессимптомное носительство обычно обусловлено наличием гарднерелл во влагалище женщины.
Мужчину ничего не беспокоит.
Данное состояние не требует лечения.
С помощью ПЦР возможно количественное определение ДНК гарднерелл.
Однако на основании количественных показателей решение о лечении не принимают.
Терапия необходима только в случае появления клинических или лабораторных признаков воспалительного процесса.
Гарднерелла может вызывать анаэробный баланопостит.
Иногда она становится причиной уретрита.
При этом всегда имеется лейкоцитарная реакция (в отличие от женщин).
При микроскопии мазка обнаруживаются ключевые клетки.
Данное состояние требует назначения антибактериальной терапии.
Она проводится теми же препаратами, что и у женщин.
Профилактика появления ключевых клеток
Для предотвращения появления в мазке ключевых клеток требуется исключить все внешние факторы риска дисбиоза.
По возможности необходимо бороться и с внутренними факторами.
Для профилактики заболевания необходимо:
- не принимать антибиотики без назначения врача;
- при необходимости использовать курс пробиотиков спустя некоторое время после окончания антибиотикотерапии;
- следить за биоценозом влагалища в процессе лечения цитостатиками или получения лучевой терапии;
- не использовать без назначения врача кортикостероиды;
- использовать презерватив при половых контактах с новыми партнерами, чтобы не заразиться половыми инфекциями;
- избавиться от хронических очагов инфекций в своем организме, в частности в репродуктивной системе;
- излечиваться от уреаплазмоза, кандидоза, микоплазмоза и других патологий даже при их бессимптомном течении.
Необходимо следить за состоянием здоровья в целом, укреплять иммунитет.
Для этого следует полноценно питаться, принимать витамины, избавиться от вредных привычек, закаляться или хотя бы чаще бывать на свежем воздухе.
В случае развития иммунодефицита необходимо пройти лечение у иммунолога, направленно на восстановление нормальной работы иммунной системы.
Ключевые клетки в мазке: куда обратиться?
Если у вас в мазке обнаружены ключевые клетки, вам требуется медицинская помощь.
Получить её вы можете в нашей клинике.
Здесь работают опытные венерологи и гинекологи.
Они помогут избавиться от проявлений дисбиоза.
У нас используются современные методы оценки биоценоза влагалища.
С помощью посева или ПЦР можно узнать точное количество и соотношение бактерий.
Затем мы проведем коррекцию состава микрофлоры.
В результате лечения влагалище будет заселено лактобактериями.
Поэтому исчезнут все симптомы дисбактериоза и связанные с ним риски.
Чтобы избежать рецидива, врач проведет полноценное обследование.
Он выяснит, что стало причиной дисбактериоза влагалища.
Устранение всех патогенетических факторов позволит не допустить повторного нарушения состава вагинальной микрофлоры.
При выявлении ключевых клеток в мазке обращайтесь к автору этой статьи – венерологу в Москве с многолетним опытом работы.
Источник:
