Какая живность водится в наших суставах

«Суставная мышь» — это подвижное костно-хрящевое или костное тело, которое свободно перемещается в человеческом суставе. Оно возникает в результате отрыва части суставного хряща с самой костью. Наиболее часто это заболевание поражает именно коленный сустав, и в редких случаях – локтевой. Намного реже суставная мышь поражает плечевой и тазобедренный суставы.
Такие инородные тела в коленном суставе могут формироваться в результате его травмирования или после перенесения определенных заболеваний. В зависимости от причин, которые привели к образованию «суставной мыши», этот костно-хрящевой осколок может состоять из рубцовой костной и хрящевой ткани. Первая из них образуется мгновенно, на месте внутрисуставного кровоизлияния.
Что касается размеров оторвавшегося тела, то его величина может соответствовать зерну чечевицы или горошине. По форме суставная мышь в колене, может быть достаточно разнообразной:
- сходна с зерном риса (рисовидные тельца), или мелкими семенами тыквы и дыни;
- круглой формы или в виде лабораторной колбы;
- в виде многогранных тел, которые по своему виду напоминают желчные камни;
- в виде бесформенных отломков из частей хряща и костной ткани.
С патологоанатомической точки зрения, различают: фиброзные, фибринозные, жировые, костные и хрящевые суставные мыши.
Основные клинические проявления этого заболевания
- Первым признаком этого недуга коленного сустава является острая и резкая боль, которая появляется во время движения, например, при подъеме на лестницу или при спуске с нее. Она может возникнуть совершенно неожиданно, без каких-либо предыдущих симптомов. Эта боль очень острая, которая заставляет больного «охнуть» и сразу же прекратить свое движение.
- Второй симптом проявления суставной мыши возникает сразу же, вслед за первым. Происходит фиксация коленного сустава в одном положении. То есть, пациент не может не двигать больной ногой, ни встать на нее, и даже сделать короткий шаг. Такая обстановка именуется «блокадой» коленного сустава.
В большинстве случаев, «разблокирование» этого сустава приходит без какой либо помощи – самостоятельно, спустя некоторое время, после осторожных движений ногой.
Несмотря на то, что боль еще сохраняется, получивший суставную мышь человек может потихоньку самостоятельно или с чьей-то помощью добраться до ближайшей больницы или места, где ему окажут необходимую медицинскую помощь. Ни в коем случае нельзя пренебрегать экстренной медицинской помощью.
У человека, вовремя не обратившегося к врачу и не получившего необходимого лечения, после приступа могут возникнуть необратимые и разрушительные последствия. Спустя пару часов или максимум через сутки, в колене, где человек ощущал невыносимую боль, появится сильное воспаление, которое приведет к скоплению жидкости в коленном суставе. В это время у больного может наблюдаться высокая температура, до 38˚С.
Первая помощь при острых болях в коленном суставе
Прежде чем больному обратиться за помощью к специалисту для постановки диагноза, ему необходимо оказать первую медицинскую помощь. Это поможет предотвратить появление новых болезненных приступов.
Помощь состоит в том, что колену необходимо создать недвижимое положение и наложить на него тугую повязку эластичным бинтом. Также, можно применить специальную повязку на коленный сустав – наколенник.
Только после создания таких условий, больного на носилках или с помощью костылей можно доставить в медицинское учреждение.
Диагностика заболевания
Установить наличие именно этого недуга доктор может после собственноручного обследования коленного сустава больного. В случае возникновения каких-то вопросов, он может назначить проведение следующих обследований:
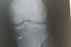
- рентген области колена – это самый простой, быстрый и доступный по цене метод диагностики.
- компьютерную томографию, которая существенно детализирует и расширяет клиническую картину при этом заболевании. Она способна выяснить точные координаты и характер смещения костных отломков.
- артроскопию – один из наиболее верных методов осмотра, который используется при некоторых неясностях клинической картины больного.
- магниторезонансную томографию (МРТ). Во время этого исследования, доктор может детально рассмотреть состояние менисков и послойно изучить хрящевую и костную ткань коленного сустава.
Дополнительно больному назначаются некоторые анализы крови: ревмопробу (комплекс иммунологических анализов крови), биохимический и общий.
Методика лечения заболевания
На сегодняшний день лечение осуществляется одним единственным способом – операцией. Не так давно для удаления таких патологических инородных тел специалистам приходилось с помощью скальпеля вскрывать сустав на колене. После этого производилось обязательное наложение громоздких гипсовых повязок на пару недель.

Благодаря современной медицине и новейшим технологиям теперь хирурги проводят подобные операции с помощью артроскопии. Она заключается в проделывании в области коленного сустава нескольких проколов, через которые внедряется специальная оптическая система. С ее помощью и проходит удаление «суставных мышек». В этом случае и лечение, и восстановление после него занимает куда меньший срок.
Оперативное вмешательство может проводиться с применением спинномозговой или местной анестезии. Это позволяет сделать лечение практически безболезненным.
После такой операции больному не требуется соблюдать долгий постельный режим, терпеть неудобства от тяжелой гипсовой повязки и длительное хождение на костылях.
Как делают артроскопию коленного сустава
В этом видео очень подробно рассказано и показано как производится артроскопия колена. Если вам предстоит операция, обязательно посмотрите. Это поможет развеять все ваши страхи.
Нажмите на кнопку любимой социальной сети и выздоровление наступит раньше!
Источник:
Суставная мышь коленного сустава: лечение, симптомы, рентген

Суставная мышь – это патология, при которой образовывается осколок, плавающий в суставной полости. Он может застревать между суставами, из-за чего появляется боль. Такой осколок кости или хряща получил название мышь.
По размеру она может быть очень маленькой, как рисовое зернышко, или же крупным бесформенным обломком. Очень часто болезнь поражает область коленного сустава. Рассмотрим, как происходит лечение суставной мыши коленного сустава.
Почему развивается данное заболевание
Суставная мышь может появиться по следующим причинам:
- После травмы конечности, вывиха, перелома, из-за резких движений, вследствие которых растягиваются мышцы, сухожилия, отрываются частицы хряща или косточки;
- Эта болезнь может появиться в суставах вследствие воспалительных, дегенеративных заболеваний конечностей, при разрушении хрящевой ткани с образованием костных наростов;
- Люди, которые выполняют тяжелые физические работы, могут начать страдать болезнью Кенига. Постоянные нагрузки а также микротравмы в больших костях приводят к нарушению процессов питания, из-за чего начинают развиваться дегенеративные изменения. Через некоторое время закругленный конец кости отмирает, попадая в полость сустава. Поэтому очень часто суставная мышь появляется в области коленного сустава, причиняя человеку дискомфорт и боли;
- Мышь может появиться в суставной полости из-за такой болезни, как артроз, при котором суставная жидкость обогащается фибрином. Начинают разрастаться ворсины синовиальной оболочки, которые отрываются. При артрозе важно строго следить за своим самочувствием. Старайтесь полноценно правильно питаться. Пользуйтесь специальными ортопедическими наколенниками.
Суставная мышь может быть фиброзной, фибринозной, жировой, костной, хрящевой.
Симптоматика суставной мыши
Прежде чем начать лечение коленного сустава, доктор должен провести осмотр пациента, чтобы понять какие симптомы имеются. Симптомы появления мыши в коленном суставе:
- Если суставная болезнь спрячется в области заворота синовиальной оболочки, она может никак о себе не давать знать. Дефект в колене можно обнаружить только путем осмотра с тщательным прощупывания сустава;
- Мышь может заблокировать сустав, из-за чего появляются сильные боли, и человек не может нормально двигаться. При смене положения тела, боль может внезапно пропасть, как и внезапно снова появится;
- После блокады в области колена появляется отек с воспалением. Если приступы повторяются систематически, хрящевая ткань с большей силой повреждается. Через некоторое время сочленения коленного сустава начинают очень сильно болеть и фиксируются на одном месте, что приводит к неподвижности ноги;
- Симптомы появления проблемы вследствие получения травмы следующие. На возникновение патологии не обращают внимания, так как думают, что произошло растяжение связок, сильный ушиб или обострился артрит. Заблуждение появляется из-за того, что частичка хряща или косточки до конца не отрывается, а еще некоторое время крепко держится за хрящ или кость. Только когда мышь полностью оторвется, что спровоцирует защемление коленного сустава, доктор поймет что нужно лечить именно ее. Поэтому врачу нужно внимательно изучить все симптомы, чтобы правильно назначить лечение.
Интересный факт. Очень редко, но встречаются ситуации, когда в коленном суставе образовывается не одна мышь, а несколько. Такие обломки костей напоминают собой маленькие камешки в мешочке. Поэтому надо при болях в колене, внимательно прощупывать сустав, своевременно провести рентген и начать лечение.

Если своевременно не обратиться за медицинской помощью, спустя сутки колено сильно опухает и набирается жидкостью. Начинается воспалительный процесс, при котором у пациента может даже повысится температура тела выше 38 градусов.
Правила первой помощи
Чтобы предотвратить развитие новых болевых ощущений и повреждение здоровых хрящей коленного сустава, прежде чем доставить пострадавшего в больницу, ему нужно оказать первую медицинскую помощь.
Поврежденное колено нужно затянуть тугой повязкой из эластичного бинта. Или же можно воспользоваться наколенником.
Пока вы будете фиксировать ногу, вызовите или скорую помощь или такси для доставки пациента в больницу.
Как проводится обнаружение мыши в коленном суставе
Чтобы провести диагностику дефекта в колене нужно сделать рентген, ультразвуковое обследование, компьютерную томографию, артроскопию. Рентген покажет наличие мыши в суставе. С помощью ультразвука специалист детально рассмотрит, где она находится и в каком состоянии.
Благодаря артроскопии доктор извлечет обломок кости или сустава из колена. Компьютерная томография поможет врачу оценить, в каком состоянии находятся мениски, хрящевая, костная ткань коленного сустава. Кроме этих методов обнаружения мыши, уточняются все симптомы и назначаются анализы.
Лечение коленного сустава
Избавится от суставной мыши с помощью консервативных методов невозможно. Поэтому доктора вынуждены проводить хирургические вмешательства. Перед операцией уточняются размеры образований. Лечение с помощью операции (артротомии) в каждом случае разное. Особенно если сустав очень часто блокируется и человек не может нормально самостоятельно передвигаться.
Лечение суставной мыши операцией происходит следующим образом. Вскрывается суставная полость, удаляется мышь и проводится пластика дефектов тканей, которая предотвратить появление новых мышей в колене. После оперативного вмешательства важно чтобы нога была зафиксирована в одном положении. Через некоторое время больной проходит реабилитацию – физиотерапию и лечебную физкультуру.
Доктор подскажет пациенту, когда ему уже можно приступать к реабилитации. Лечение суставной мыши проводится и путем выполнения артроскопии. Процедура меньше травмирует кости и хрящи, и процесс восстановления проходит намного быстрее. Во время операции специалисты делают два отверстия в суставе.
В одну дырочку вводится оптический прибор – артроскоп, который на мониторе телевизора будет показывать все, что происходит внутри колена. Через вторую дырочку с помощью специальных инструментов проводится извлечение осколка кости или хряща. Операция при артроскопии проводится под местной или же спинномозговой анестезией, которая выполняет лечение безболезненно.
Через неделю после такой операции пациент может уже начинать восстанавление. Запомните! Если мышь в коленном суставе появилась не из-за травмы, важно серьезно и комплексно обследоваться и пролечится. Теперь вы знаете, что такое суставная мышь коленного сустава, как она образовывается, как ее можно обнаружить и удалить. Самое главное вам знакомы симптомы данного заболевания.
Если вы почувствовали острую боль в колене, обратитесь за консультацией к доктору, чтобы своевременно провести лечение. Берегите свое здоровье!
Вам также может понравиться
Источник:
Свободные внутрисуставные тела коленного сустава

Тканевые структуры, свободно «плавающие» в полости сустава (элементы хряща, кости или менисков), а также инородные тела могут считаться нефиксированными внутрисуставными свободными телами.
Фиксированными называются внутрисуставные тела, частично или полностью прилегающие к капсуле или другим структурам сустава.
Этиология
Возникновению свободных тел может способствовать множество причин. Хрящевые и костно-хрящевые внутрисуставные свободные тела чаще всего формируются при дегенеративно-дистрофических заболеваниях, скол суставного хряща в виде чешуйки может стать результатом травмы.
Кроме того, свободными телами являются фрагменты менисков, крестообразных связок при их разрыве, а также фиброзированные ворсины синовиальной оболочки (из области инфрапателлярной складки) и фрагменты опухолей.
Реже источником свободных тел служат свободные фиксаторы – скобы, винты, остатки костного цемента после эндопротезирования сустава. Крайне редко внутрисуставными свободными телами становятся инородные объекты (иглы, частицы металлов, камешки).
Клиническая картина
Как правило, пациенты жалуются на периодическое заклинивание сустава. В некоторых случаях основными жалобами становятся боль, рецидивирующие синовиты или болезненное заклинивание, связанное с нестабильностью сустава.
Кроме того, возможно ограничение объёма движения. Крупные свободные тела в передних отделах сустава могут приводит к дефициту разгибания, свободные тела в задних отделах вызывают ограничение сгибания.
Диагностика
Специфических клинических тестов для диагностики свободных внутрисуставных тел нет. Очень крупные свободные тела легко прощупываются, и врач или пациент в состоянии перемещать их под кожей вперед и назад. Хруст и щелчки при движениях в суставе говорят о выраженном поражении хряща в результате интермиттирующего заклинивания нефиксированного свободного тела.
При рентгенографическом исследовании выявляются только хотя бы частично кальцифицированные свободные тела. Свободные тела, полностью состоящие из хряща, встречаются наиболее часто и совершенно неразличимы на рентгенограммах.
Во всех случаях необходимо выполнить рентгенографию в двух проекциях. Для чёткой оценки межмыщелковой вырезки рекомендовано исследование в проекции Розенберга (переднезадняя проекция в положении сгибания в коленном суставе на 45°).
Другим вариантом для этих целей является туннельная проекция Фрика. В некоторых случаях необходимы дополнительные косые (30°, 45°) или функциональные проекции. Проекция с максимальным сгибанием в коленном суставе обеспечивает наиболее чёткую картину передней межмыщелковой области для подтверждения или исключения наличия свободных тел, оссификатов или краевых остеофитов.
При оценке рентгенограмм могут возникать ошибки, причиной которых наиболее часто являются:
Нередко встречающаяся мелкая сесамовидная кость, локализующаяся в области прикрепления латеральной головки двуглавой мышцы. При выраженных случаях остеоартроза, фабелла может определяться на рентгенограммах как образование неправильной формы с нечёткими контурами.
- Медиальная фасетка надколенника.
При рентгенографии, выполняемой после вывиха надколенника с разрывом медиального ретинакулюма, могут появляться участки оссификации и кальцификации ретинакулюма.
При тангенциальных проекциях они приобретают округлый вид, что позволяет заподозрить интраартикулярные свободные тела.
Однако во время артроскопии в этой области свободные тела практически никогда не обнаруживаются, поскольку оссификаты и кальцинаты почти всегда располагаются подкожно и недоступно для артроскопии.
Для уточнения причины необъяснимого заклинивания в суставе и локализации внутрисуставных свободных тел может быть полезным выполнение МРТ.
При этом следует заметить, что данные МРТ для планирования лечения малоприменимы, поскольку при выявлении на томограммах свободного тела показано его артроскопическое удаление, а при отсутствии признаков свободных тел артроскопия остаётся единственно возможным методом дальнейшей диагностики и лечения.
Артроскопические данные
- Наиболее частая локализация.
Крупные свободные тела локализуются в достаточно вместительных для них зонах сустава (передняя межмыщелковая область; медиальный, латеральный, заднемедиальный, заднелатеральный и верхний завороты).
Небольшие свободные тела могут легко мигрировать в тесные труднодоступные области сустава, где их тяжело обнаружить.
Чаще всего миграция происходит через hiatus popliteus и через подменисковые пространства, поэтому в случаях, когда предполагается наличие свободного тела, для осмотра подменискового пространства следует приподнимать латеральные и медиальные мениски от плато большеберцовой кости.
Иногда удобно приподнимать мениски при помощи ирригационной канюли. Поток жидкости притягивает свободные тела к отверстию канюли и, зачастую, они эвакуируются из полости сустава непосредственно через неё.
Диаметр свободных тел может варьировать от нескольких миллиметров до нескольких сантиметров. Оценка размеров свободных тел имеет большое значение для планирования лечения. Размер свободного тела можно определить по разметке на артроскопическом щупе.

Крупные свободные тела (диаметром более двух см) редко приводят к блокадам сустава, являясь чаще всего причиной хронических синовитов или ограничения подвижности сустава, обычно интермиттирующего. Мелкие и средние свободные тела, в свою очередь, чаще мигрируют в область суставной щели, становясь причиной эпизодов острого заклинивания в суставе.
Большинство свободных тел при артроскопии выглядит как округлые образования бледной окраски. Форма и цвет могут указывать на их хрящевое или костно-хрящевое происхождение. Свободные тела с острыми краями формируются при свежем хрящевом или костно-хрящевом переломе и выявляются при артроскопии, выполненной в первые дни после травмы.
Свободные тела с острыми краями, находящиеся в суставе длительное время, приобретают округлую форму, что происходит не в результате трения при движении в суставе, а в результате возросшей активности фибробластов, которые заполняют неровности поверхности остроконечных фрагментов, формируя округлое свободное тело.
В связи с отложением в нем солей кальция свободное тело может увеличиваться в размерах или частично кальцифицироваться.
Очень крупные свободные тела, кажущиеся твёрдыми на первый взгляд, очень часто при пальпации щупом или захвате артроскопическими щипцами оказываются довольно рыхлыми.
Однородный внешний вид далеко не всегда указывает на плотную консистенцию, и поэтому инструмент, которым свободное тело захватывается для удаления, следует размещать крайне осторожно, во избежание образования множества мелких фрагментов разрушенного тела.
Из фиброзных ворсин синовиальной оболочки, фрагментов менисков или волокон крестообразных связок формируются внутрисуставные свободные тела, имеющие резиноподобную консистенцию.
- Фиксированные или нефиксированные свободные тела.
Степень фиксации свободных тел можно определить путём прощупывания. У фиксированных свободных тел необходимо осмотреть и оценить область прикрепления. Иногда плоское свободное тело имеет обширную зону синовиального контакта и может быть почти полностью погружено в синовиальную оболочку. В других случаях фиксированное свободное тело прикрепляется при помощи узкого тканевого мостика.
- Происхождение свободного тела.
Источник образования свободных тел следует установить в обязательном порядке, поскольку это имеет большое значение для дальнейшего лечения, а также прогноза заболевания. Если свободное тело является результатом хрящевого перелома или болезни Кенига, лечебные мероприятия должны включать обработку поверхности хряща с целью индукции роста фиброзной ткани и даже трансплантацию хряща.
Крайне важно выявить все вторичные изменения, вызванные ущемлением свободного тела. Нередко встречаются хрящевые переломы мыщелков бедренной кости с формированием линии перелома в переднезаднем направлении. Свободные тела также могут стать причиной хрящевых переломов с обнажением субхондральной кости.
Лечение
У пациентов с блокадами и заклиниваниями в суставе не стоит применять консервативную тактику, так как, вероятно, у них уже имеется довольно глубокое поражение хрящевого покрова. Методом выбора является хирургическое удаление свободных тел.
После локализации свободного тела необходимо выяснить, фиксировано оно или нет. Фиксированные свободные тела могут вызывать блокады сустава, соскальзывая в межмыщелковое пространство. Цель операции – удаление свободного тела и выявление причины его образования, а также лечение вторичных повреждений.
Послеоперационное ведение
Если вмешательство заключалось только в удалении фиксированного или нефиксированного свободного тела, при отсутствии болевого синдрома или отёчности пациенту рекомендуются дозированные нагрузки (от 50% до полной к третьему дню послеоперационного периода).
Удаление швов выполняется с четвёртого по шестой день послеоперационного периода. При появлении выпота в суставе показан лимфодренажный массаж. В остальном, послеоперационный протокол реабилитации зависит от сопутствующих внутрисуставных повреждений.
Источник:
Суставная мышь коленного сустава: лечение, удаление

Суставная мышь — это патология, которая представляет собой костное или хрящевое тело. Это некий осколок, свободно плавающий в коленной или локтевой полости и причиняющий боль. Часто мышь застревает между иными суставами, чем причиняет еще больший дискомфорт. Благодаря природе своего образования и поведения патология и получила название в честь шустрого и подвижного грызуна.
Мышь может быть разных размеров: от крохотного рисового зернышка до огромных бесформенных обломков. Наиболее часто недуг поражает коленный сустав. Но иногда встречаются случаи заболевания локтевого, тазобедренного и плечевого участков тела. Какова бы ни была локализация патологии, она в любом случае требует грамотного и своевременного лечения.
Механизм формирования
Чаще всего суставная мышь образуется в результате полученной травмы — сильного ушиба. Во время удара от хрящевой или костной ткани откалывается кусочек, который свободно ерзает в полости сустава и причиняет боль. Кроме этой причины, патология может стать последствием следующих недугов: остеохондрита, деформирующего артроза, артрита, болезни Кенига и гемартроза.
В результате данных заболеваний в суставной полости происходит отторжение частиц. Они и формируют так называемую капсулу, которая пребывает в постоянном движении. Данное образование представляет собой небольшой сгусток высокомолекулярного неглобулярного белка — фибрина. В дальнейшем он обрастает соединительной тканью, образуя осколок, похожий на кусочек кости.
Симптомы
Суставная мышь имеет симптоматику, которая поможет отличить патологию от других заболеваний. Основными признаками недуга являются:
- Сильная боль в колене, сопровождающаяся его частичным обездвиживанием. Это случается, когда осколок заблокировал весь сустав. Болевые ощущения имеют непостоянный характер. Они появляются, когда человек меняет положение тела.
- Отек и воспаления колена (локтя). К этому приводит постоянная блокировка сустава. Самые неприятные последствия — повреждение хрящевой ткани и полное обездвиживание конечности.
- Дискомфорт в суставе. Многие люди списывают неприятные ощущения на ушиб или травму, хотя они могут быть первым сигналом начавшегося процесса образования откола.
Суставная мышь коленного сустава может и не проявляться. Характерные симптомы патологии отсутствуют, если осколок спрятался в области заворота синовиальной оболочки.
Операция
Удаление суставной мыши, скорее всего, будет показано пациенту. К сожалению, данная патология не поддается консервативному лечению.
На объемы хирургического вмешательства влияют в первую очередь такие факторы: степень запущенности болезни, ее форма, размер образования и так далее. Срок проведения операции определяется индивидуально.
Но если суставная мышь приводит к частичному или полному обездвиживанию конечности, то вмешательство будет назначено как можно скорее.
Операция, во время которой удаляют образование, называется артротомией. Сначала врач вскрывает полость сустава, затем удаляет мышь и проводит пластику костной и хрящевой тканей. Это поможет в дальнейшем избежать деформации сустава. После этого ногу иммобилизируют — фиксируют ее, обеспечивая тем самым неподвижное состояние конечности.
Лечение после хирургического вмешательства
После того как была удалена суставная мышь, пациент нуждается в восстанавливающей терапии:
- Для улучшения циркуляции крови в поврежденном месте выписывают «Андекалин», «Ангиотрофин», «Калликреин Депо».
- Если есть воспалительный процесс, назначают «Гордокс» или «Контрикал».
- Рекомендовано пить лекарства, которые питают ткани в области сустава: «Солкосерил», «Актовегин», витамины группы В.
- Больному также нужды медикаменты, помогающие восстановить оставшуюся часть суставного хряща. Это, например, «Гликозамин» или «Хондроитина сульфат».
- Обязательно выписывают новый, но уже успевший положительно себя зарекомендовать препарат «Пиаскледин». Он дорогой, зато очень эффективно уберегает хрящ от дальнейшего разрушения.
- Необходимо пройти курс инъекций гиалуроновой кислоты. Она играет роль натуральной суставной смазки, поэтому существенно уменьшает болезненное трение.
Не обойтись и без согревающих лекарств, увеличивающих приток крови к прооперированному месту, — компрессов с «Димексидом» или «Бишофитом».
Малоинвазивная операция
Малоинвазивными методами также удаляется суставная мышь. Лечение оперативное может быть проведено при помощи артроскопии. Такой метод менее травматичен по сравнению с обыкновенным хирургическим вмешательством.
Медик при помощи специального прибора — артроскопа — делает два отверстия в колене. В одно вводит оптическую технику, рассматривая с ее помощью внутреннее состояние патологии. При этом картинка транслируется на экране. Во второе отверстие врач вводит инструмент для манипуляции.
Таким образом, повреждения у пациента минимальны. Уже через неделю можно начинать реабилитацию.
Физиотерапевтические методы лечения
После хирургического вмешательства пациент обязан пройти еще ряд процедур, чтобы больше не проявляла себя суставная мышь коленного сустава. Лечение при помощи физиотерапевтических методов подразумевает следующие манипуляции:
- Массаж сустава.
- Ультразвуковое лечение.
- Грязетерапия.
- Принятие ван: радоновых и скипидарных.
- Воздействие динамического тока.
- Электрофорез серы, лития и цинка для восстановления обменных процессов в суставе.
- Гальванизация с ферментами, убирающими «плохую» ткань.
- Фонофорез с анальгетиками для снятия воспаления.
Подобные процедуры можно пройти в поликлинике или больнице, где имеется соответствующее оборудование и высококвалифицированный персонал.
Что предлагают народные медики?
Еще раз напомним: только посредством оперативного вмешательства устраняется суставная мышь коленного сустава. Лечение народными средствами может быть предложено только в качестве вспомогательного элемента или для послеоперационного восстановления, но не в качестве альтернативной терапии. В этом случае можно делать компрессы по таким рецептам:
- Столовую ложку меда смешиваем с 3 ст. л. яблочного уксуса. Смазываем смесью пораженный сустав, после чего прикладываем к нему лист свежей капусты. Заворачиваем ногу полиэтиленом и теплым шарфом. Держим, пока лист не высохнет. Курс — 1 месяц.
- Берем по одной столовой ложке красной и голубой глины. Смешиваем порошок с водой так, чтобы образовалась масса, консистенция которой похожа на сметану. На чистую хлопчатобумажную ткань выкладываем глину двумя слоями, прикладываем к суставу. Утепляем эту зону и выдерживаем два часа.
Помогает снять боль и специальная ванночка. Для ее приготовления нужно взять полтора килограмма листьев топинамбура. Их мелко шинкуем и заливаем 8 литрами кипятка.
Когда вода остынет и станет приемлемой для проведения процедуры, опускаем в нее ногу так, чтобы пораженное место было полностью погружено в отвар. Выдерживаем полчаса. Такую ванночку рекомендовано делать раз в день на протяжении 10 суток.
Благодаря этим народным методам восстановление после операции пройдет быстрее, а сама реабилитация будет безболезненной и эффективной.
Источник:
Суставная мышь коленного сустава
Дополнительное тело внутри сустава любой формы и происхождения – это суставная мышь. Как правило, это кусочек ткани, который отсоединился от любой внутрисуставной структуры.
Что такое суставная мышь (артремфит)
Сустав – место соединения 2 и более костей. Он покрыт капсулой и укреплён связками, мышцами снаружи, чтобы удерживать кости в правильном положении.
Концы костей покрыты гиалиновым хрящом. Он гладкий, прочный в отличие от шероховатых костей.
Благодаря этому суставные концы скользят друг по другу без сильного трения. У колена есть дополнительная структура, обеспечивающая движение, – суставной мениск. Это хрящевая прослойка между бедренной и большеберцовой костью, которая фиксирована по краям к капсуле коленного сустава.
Причины возникновения заболевания
Чаще всего суставная мышь имеет хрящевое строение. То есть фрагмент хряща теряет связь со своей первоначальной структурой совсем или держится на тонкой ножке, находится внутри суставной капсулы и мешает движению. Причинами такого отделения хрящевой ткани могут быть:
- Воспаление хряща;
- Травма колена;
- Дегенеративные заболевания.
С возрастом, при избыточной массе тела, нарушениях обмена веществ ухудшаются условия питания хряща, постепенно меняются его свойства. Он становится более хрупким, подвергается фрагментации.

Известны случаи, когда суставная мышь образуется не из хряща, а из сгустков крови (фибрина), постепенно уплотнившихся из-за отложения в них солей кальция. Само тело имеет фибринное происхождение.
Если откалывается не только хрящ, но и кусочек кости, суставная мышь будет иметь костно-суставное строение. К этому может привести травма, болезнь Кенига, остеохондропатии, асептический остеонекроз.
Фиброзно-хрящевые внутрисуставные тела образуются из менисков.
Фиброзные (из соединительной ткани) образуются, если в выросты суставной сумки происходит кровоизлияние. В дальнейшем этот очаг не рассасывается, а пропитывается солями кальция. Становится твёрдым, при некоторых положениях коленного сустава может попадать между поверхностями костей и проявляться клиническими симптомами.
В редких случаях между костями попадает инородное тело (при травмах). Участки опухолевой ткани также могут стать «мышью».
Первая помощь при блокаде колена
Ногу необходимо обездвижить, наложить импровизированную шину. Обезболивающие помогут снять боль и уменьшить последующее воспаление. Больного необходимо доставить в больницу для обследования и выбора дальнейшей тактики лечения. На повреждённую область сразу после блокады (в течение 2 часов) можно положить холод.
Как узнать, что у вас артремфит коленного сустава
Характерны блокады (заклинивания) сустава, периодически повторяющиеся и сменяющиеся бессимптомным периодом. Во время обследования врач проверяет объём движений в колене, наличие признаков воспаления (покраснение кожи над суставом, она горячая на ощупь, отёчная, болезненная при надавливании).
Иногда крупные суставные тела можно прощупать через кожу, оценить степень их подвижности, плотности, болезненности.
Для подтверждения диагноза проводят дополнительные методы исследования:
- Рентгенограмму коленной области;
- Компьютерную томограмму.
Они наглядно демонстрируют дополнительное плотное образование, не связанное с какими-либо суставными структурами. Если это образование не выявляется во время рентгенограммы, выполняют снимок с контрастированием воздухом (пневмоартрография) или двойным контрастированием (контрастное вещество и воздух).
Артроскопия – эндоскопический метод обследования. Для этого делают 2 небольших разреза сбоку от коленного сустава. В 1 вводят артроскоп. Он оснащён камерой, которая передаёт получаемые изображения внутри сустава на большой экран. Через другой разрез вводят инструмент, который может осуществлять различные манипуляции. При небольших телах можно провести сразу их извлечение.
Какой формы бывает суставная мышь
Форма может быть самая разнообразная: круглая, плоская, треугольная, неправильная.
Размеры от нескольких мм до нескольких см.
Располагаться «мышь» может между суставными поверхностями, выше или ниже менисков, в боковых отделах суставной сумки, рядом с надколенником.
Удаление суставной мыши
Оторвавшийся кусочек ткани не имеет питания, иннервации. Со временем его структура меняется: происходят дистрофические изменения, тело обызвествляется или рассасывается, может фиксироваться в каком-либо месте внутри коленного сустава и там прирасти.
Почти всегда он травмирует внутреннюю синовиальную оболочку, вызывает в ней воспалительные изменения. Поэтому суставную мышь удаляют оперативным путём.
Необходима ли операция или можно ее избежать
Если артремфит небольших размеров и не мешает движению, можно не оперировать, а лечить консервативно и с помощью лазера.
При тяжёлых сопутствующих заболеваниях (декомпенсация при хронических болезнях почек, сердца, печени, сахарном диабете), у лиц преклонного возраста лечение проводят без операции. Консервативно влияют на воспалительный или дегенеративный процесс в тканях.
При небольших размерах возможно удаление «мыши» в ходе артроскопической манипуляции. В этом случае заживление идёт быстрее, чем при традиционной открытой операции. Это связано с меньшей травматизацией тканей. Реже присоединяются послеоперационные воспалительные осложнения. Проводят артроскопию и удаление суставной мыши под местным или общим обезболиванием.
Как проходит операция
Открытая операция на коленном сочленении называется артротомия. МРТ перед операцией помогает всесторонне изучить расположение, форму, плотность внутрисуставного тела, а также индивидуальные особенности строения коленной области, ход нервов, сосудов.

Если причиной артремфита была травма колена, операцию проводят через 1 – 2 недели после рассасывания очагов кровоизлияния и стихания отёка, воспаления.
В тех случаях, когда внутрисуставное тело можно пропальпировать, его фиксируют иглой, после этого делают разрез над ним. Иногда рентгенограмму делают непосредственно на операционном столе для уточнения местоположения мыши.
Проводят разрез, удаляют мешающие ткани из полости коленного сустава. Если хрящ сильно повреждён, проводят сразу пластику суставных поверхностей костей. Костно-хрящевую ткань берут с соседних участков, которые испытывают наименьшую нагрузку, – боковых мыщелков бедренной кости, области межмыщелковой ямки перед местом крепления крестообразной связки.
Осложнения, которые наступят без лечения
Не фиксированный твёрдый фрагмент перемещается внутри суставной сумки во время движений нижней конечности. Он травмирует близлежащие ткани, вызывает реактивное воспаление.
Отёк, наступающий при этом, ухудшает кровоснабжение и функцию всего коленного соединения. Со временем может наступить полное обездвиживание в коленной области.
Человек становится инвалидом, нуждается в посторонней помощи для самообслуживания. Выходом может стать протезирование колена, но эта операция не всем может быть проведена с учётом возраста и противопоказаний.
Реабилитация после хирургического вмешательства
Необходимо исключить нагрузку на конечность: после операции иммобилизация длится до 1 месяца, через 1,5 месяца допускается дозированная нагрузка, с 2 месяцев – полная.
Сроки ориентировочные, зависят от степени поражения в каждом конкретном случае, возраста, массы тела больного человека. Рекомендуют в течение 2 – 3 месяцев пользоваться костылями или тростью при ходьбе.
Колено фиксируют при помощи эластического бинта, или носят наколенник.
Медикаментозная
— Назначают препараты, улучшающие кровоснабжение коленного сустава. Сопутствующее воспаление синовиальной оболочки уменьшают НПВС (нестероидные противовоспалительные средства). Они же снимают боль, отёк повреждённой ноги.
— Ходропротекторы защищают хрящ от разрушения и образования новых отломков. Хондроитинсульфаты и глюкозамины идут на построение новых хрящевых клеток. Препараты, которые вводятся в сустав, выполняют функцию синовиальной жидкости и питают, смазывают все элементы внутри суставной капсулы.
Физиолечение
— Применяют ударно-волновую терапию с помощью ASA-лазера 1 раз в неделю. Курс – 10 процедур. Это стимулирует рост новых капилляров, нормализует объём и состав внутрисуставной жидкости. Амортизирующие свойства хряща улучшаются, он становится толще, прочнее, более устойчив к травмам и нагрузкам.
— Используют воздействие электрическим и магнитным полем, при помощи ультразвука вводят в патологическую область лекарства.
— В домашних условиях можно применять аппарат Витафон. Он воздействует на ткани микровибрацией и стимулирует обменные процессы в костях, мышцах, суставах, связках.
ЛФК
Разрабатывать ногу нужно постепенно, после купирования острых симптомов или операции. Объём движений увеличивают сначала без нагрузки на ногу (в положении лёжа, сидя). Важно проводить физкультуру под наблюдением врача, соблюдая рекомендованные сроки, количество и тип упражнений.
Через время можно добавлять движения с опорой на ногу. При правильном выполнении человек возвращается к привычной жизни, многие спортсмены успешно продолжают карьеру.
Народные методы
— Крем-воск «Здоров» на основе продуктов пчеловодства. Сюда входят прополис, пчелиный яд и воск, экстракт подмора для пчёл, оливковое масло, витамины группы В и С, экстракт конского каштана. Он улучшает трофику суставного хряща, делает его более прочным и эластичным, повышает устойчивость к травмам. Его наносят на область коленного сустава.

От суставной мыши такое средство не избавит, но уменьшит выраженность реактивного воспаления сустава, боль и отёк тканей. Людям, перенесшим операцию по поводу удаления внутрисуставного тела, пчелиный воск замедлит дальнейшее разрушение хряща, ускорит срастание костей и хрящей после травм.
— Другое эффективное средство на основе растений – Flekosteel. В него входит золотой ус, масло пихты, корица, розмарин, камфора. Вместе эти компоненты снимают боль, отёк, улучшают восстановление и эластичность тканей. Наносят гель утром и вечером.
— Мазь Випросал содержит яд гадюки, живицу сосны, камфору, салициловую кислоту. Уменьшает дегенеративные изменения в костно-суставной системе, снижает риск появления суставной мыши.
Профилактика
Меры направлены на предотвращение травм колена и своевременное лечение патологических процессов, которые могут привести к появлению внутрисуставной мыши. Чтобы избежать травм, нужно носить подходящую обувь, при необходимости пользоваться ортопедическими стельками.
Это позволяет правильно распределить нагрузку на элементы ноги, не перегружать отдельные связки, мышцы. Тренировку всегда следует начинать с разминки, так как не «разогретые» мышцы чаще повреждаются.
Поддержать правильное строение и функцию хряща помогают регулярные дозированные нагрузки, разнообразное питание. Избыточный вес человека – дополнительное испытание для костно-суставной системы каждый день. Поэтому нормализация веса, отказ от вредных привычек также способствуют здоровью коленей.
Лучше уделить внимание здоровью ног с молодости, чтобы не сталкиваться с такими проблемами, как боль, ограничение подвижности, деформация, блокады в коленях.
Источник:
